Unsupported Browser
The American College of Surgeons website is not compatible with Internet Explorer 11, IE 11. For the best experience please update your browser.
Menu
Become a member and receive career-enhancing benefits

Our top priority is providing value to members. Your Member Services team is here to ensure you maximize your ACS member benefits, participate in College activities, and engage with your ACS colleagues. It's all here.

Become a Member
Become a member and receive career-enhancing benefits

Our top priority is providing value to members. Your Member Services team is here to ensure you maximize your ACS member benefits, participate in College activities, and engage with your ACS colleagues. It's all here.

Become a Member
ACS
Case Reviews in Surgery

Concomitant Duodenal Atresia and Hirschsprung Disease

Concomitant Duodenal Atresia and Hirschsprung Disease

March 1, 2021

Abstract

Background

Duodenal atresia (DA) and Hirschsprung disease (HD) are rare congenital anomalies involving the gastrointestinal tract; their co-existence is a diagnostic and management challenge.

Summary

A full-term, three-day old Caucasian male with polyhydramnios was taken to the operating room on the third day of life for an exploratory laparotomy due to persistent bilious emesis. A type 1 duodenal atresia was found and a Kimura-type duodenoduodenostomy was performed. Postoperative recovery was uneventful. At six weeks of age, the patient was readmitted for symptoms of bowel obstruction and failure to gain weight. Full-thickness rectal biopsies (FTRB) revealed colonic aganglionosis. A staged Soave endorectal pull-through with colostomy reversal was performed at five months of age without complications. The child continues to gain weight and has had no complications related to HD or DA.

Conclusion

Although rare, DA and HD may co-exist, even in the absence of trisomy-21. When managing a neonate with small bowel atresia, a concomitant lower gastrointestinal tract anomaly should be included in the differential diagnosis. When managed appropriately, patients with co-existing DA and HD can have excellent long-term outcomes.

Key Words

Duodenal atresia; Hirschsprung disease; colonic aganglionosis; trisomy-21


Case Description

Congenital anomalies of the gastrointestinal tract are uncommon, and are more likely to occur in patients with genetic disorders.1,2 Duodenal atresia (DA) is a congenital anomaly resulting in proximal intestinal obstruction due to failure of midgut recanalization. DA presents as a proximal bowel obstruction in early neonatal life, requiring definitive surgical repair and has an incidence of one in 10,000 live births with a slight predominance in preterm males.3,4 DA may be associated with additional anomalies including intestinal malrotation, trisomy 21, or congenital heart disease.3-8 Hirschsprung disease (HD) is a congenital neurenteric abnormality resulting in a failure of cranio-caudal migration of neural crest cells that results in variable lengths of intestinal aganglionosis.5,6 HD has a varied presentation. Failure to pass meconium in the first 24 hours of life may be missed, with a later diagnosis made only after the occurrence of persistent constipation.6 The incidence of HD is approximately one in 5-10,000 live births.5,6 Trisomy 21 is associated with both DA and HD.9 Concomitant DA and HD has been reported but is extremely rare. We report a patient with coexistent DA and HD, without trisomy 21, and add an additional previously unreported case to a literature review of similar cases.1,4,7,8,10-12

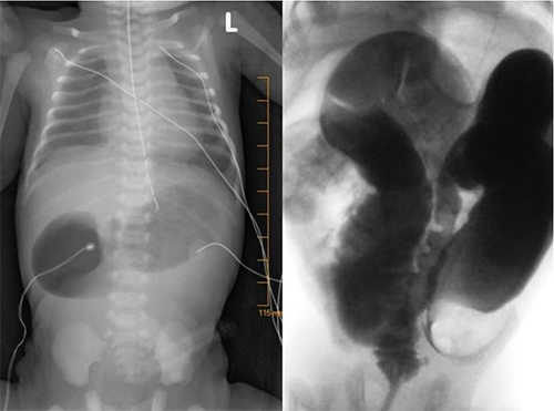
A Caucasian male was born at 39 weeks of gestation to a 20-year-old primipara via elective cesarean section secondary to polyhydramnios. DA was identified on a routine prenatal ultrasound at 31 weeks of gestation. Cell-free DNA testing revealed no fetal aneuploidy. On first day of life (DOL), the neonate developed bilious emesis, and a plain abdominal radiograph demonstrated a double bubble in the mid-abdomen without distal bowel gas (Figure 1a). The neonate was electively taken to the operating room on DOL3 for an exploratory laparotomy. Intraoperatively, a type 1 DA involving the second portion of the duodenum was repaired via a Kimura-type duodenoduodenostomy. The rest of the small bowel was unremarkable. The postoperative course was uneventful, with bowel function on postoperative day nine and discharge home at three weeks old. The patient was re-admitted four days later for constipation and intermittent vomiting and discharged two days later after symptom resolution following nonoperative management. At six weeks old, the patient was readmitted for progressive bilious vomiting, abdominal distension, obstipation, and failure to gain weight. Plain abdominal radiograph revealed dilated loops of small bowel with multiple air fluid levels. Upper gastrointestinal imaging revealed no proximal obstruction or malrotation. A lower gastrointestinal study showed a transition point at the proximal-mid sigmoid colon (Figure 1b) and FTRB revealed colonic aganglionosis.

Figure 1a and 1b. Double bubble on KUB and Transition point on contrast enema.
Figure 1a and 1b. Double bubble on KUB and Transition point on contrast enema.

Figure 1a and 1b. Double bubble on KUB and Transition point on contrast enema.

A leveling descending loop colostomy was performed at age two months and additional biopsies were taken at the pathologic transition point determined at the level of proximal sigmoid colon (Figure 2a, 2b). A Soave endorectal pull-through with colostomy reversal was performed at five months of age. Postoperative course was uneventful and the patient was most recently seen in clinic at eight months of age, weighing 7.4 kg (between the 9th and 10th percentile for his age). He has had no complications related to HD or DA to-date.

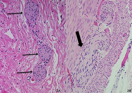
Figure 2a and 2b. Rectosigmoid aganglionosis (Hirschsprung disease)- Hypertrophic nerves are present in the submucosa (thin arrows, fig 2A, HE stain, x200) and muscularis propria (bold arrow, 2B, HE stain, x200). NO submucosal or myenteric ganglion cells are seen (2A and 2B, HE stain, x200).
Figure 2a and 2b. Rectosigmoid aganglionosis (Hirschsprung disease)- Hypertrophic nerves are present in the submucosa (thin arrows, fig 2A, HE stain, x200) and muscularis propria (bold arrow, 2B, HE stain, x200). NO submucosal or myenteric ganglion cells are seen (2A and 2B, HE stain, x200).
Figure 2a and 2b. Rectosigmoid aganglionosis (Hirschsprung disease)- Hypertrophic nerves are present in the submucosa (thin arrows, fig 2A, HE stain, x200) and muscularis propria (bold arrow, 2B, HE stain, x200). NO submucosal or myenteric ganglion cells are seen (2A and 2B, HE stain, x200).

Discussion

DA is often diagnosed by prenatal ultrasonography with close to half of affected pregnancies demonstrating polyhydramnios.3,13 The incidence of additional congenital anomalies in newborns with DA is high (55-78 percent), and 24-31 percent of DA cases occur in the presence of Down syndrome.1-3,7,14 A number of co-existing proximal gastrointestinal anomalies, including tracheo-esophageal fistulas, intestinal atresias, malrotation, midgut volvulus, enteric duplication cysts, annular pancreas, and biliary tract anomalies have been reported in babies with DA.3,7 The true incidence of various combinations of these anomalies is unknown. Extrapolation from the incidence of the isolated abnormalities probably underreports the true incidence in those patients with a common genetic predisposition. Newborns with DA usually present with bilious emesis, however as many as 20 percent demonstrate nonbilious vomiting due to preampullary obstruction.1,15 Abdominal radiography typically demonstrates the classic double bubble sign and absence of distal bowel gas.3 To identify any associated anomalies, an echocardiogram, plain chest radiograph, and renal and bladder ultrasound are recommended.7

Neonates with HD usually present with failure to pass meconium in the first 24 hours of life. Severe constipation, abdominal distension, and vomiting may be recognized in the first days of life, or much later.16 A minority of newborns with HD present with either a colonic atresia or bowel perforation.17,18 A variety of congenital anomalies have been associated with HD, and approximately 12 percent of cases are associated with trisomy 21.16 Most patients have standard-segment HD, with aganglionosis confined to the rectosigmoid colon, as was present in our patient.5,6 A water-soluble contrast enema is often useful in preoperative planning and may offer osmotic relief of inspissated stool burden.19 FTRB demonstrating absence of ganglion cells in the myenteric and submucosal plexuses confirms the diagnosis.20 Surgical correction includes resection of the aganglionic segment and anastomosis of the normally innervated bowel to the anus using various methods. Persistent growth and developmental compromise and Hirschsprung associated enterocolitis have been reported after surgical reconstruction.21 Approximately half of individuals with standard-segment disease are reported to experience enterocolitis, constipation, or incontinence following definitive surgery.22-24

The co-existence of DA and HD is exceedingly rare.7 We have found 11 previously reported cases all of which occurred in the setting of a chromosomal abnormality, commonly trisomy 21 (Table 1). One of the senior authors (MRL) had a previous patient with trisomy 21 that is included in the table, but has not otherwise been reported.

Table 1. Reported cases of duodenal atresia combined with Hirschsprung disease. aNo further case details or patient characteristics provided in the literature.

The current case presented with concomitant DA and HD without trisomy 21. This has not been previously reported. It is important to note that HD and other distal obstructive anomalies of the gastrointestinal tract may be clinically masked by proximal obstruction from DA. Indeed, HD discovered intraoperatively at the time of DA repair has been reported only once. All other cases, including our two, were diagnosed after repair of the DA due to constipation and abdominal distension. These findings should alert the surgeon to the possibility of HD. Kimble et al advocate obtaining a lower gastrointestinal series and suction rectal biopsies when DA and trisomy 21 are encountered together.7It may be reasonable to obtain a contrast enema on patients with duodenal atresia due to the co-existence of malrotation in babies with DA with incidence as high as 53 percent.25,26Another option is to look specifically for rotational abnormalities at the time of duodenal repair. Whether a contrast enema would show findings of HD in a baby with a DA is unknown. To date, a preoperative diagnosis based on this study has not been reported. Since trisomy 21 is associated with many problems of surgical importance, a careful evaluation for these anomalies should occur before repair of the DA.9,25,27Our case demonstrates the importance of close clinical follow-up after repair of DA. Timely recognition of HD allows prompt surgical management resulting in good long-term outcomes in neonates with DA who also have HD.

Conclusion

Although rare, DA and HD may co-exist, even in the absence of trisomy 21. When managing a neonate with small bowel atresia, a concomitant lower gastrointestinal tract anomaly should be included in the differential diagnosis. When managed appropriately, patients with co-existing DA and HD can have excellent long-term outcomes.

Lessons Learned

Neonates with clinical features of duodenal atresia, with or without trisomy 21, may have additional gastrointestinal anomalies including Hirschsprung disease, which should be included in the differential diagnosis of infants who are constipated following DA repair. Close clinical follow-up and staged operative management can result in good long-term outcome.

Authors

Chotai PNa,b, Tumen Aa, Langham Jr. MRa, Zhang Jc, Islam Sd, Jancelewicz Ta

Correspondence Author

Tim Jancelewicz, MD
Assistant Professor, Division of Pediatric Surgery
Le Bonheur Children’s Hospital, University of Tennessee Health Science Center
49 N Dunlap Street, 2nd Floor
Memphis, TN 38105
901-287-6300
tjancele@uthsc.edu

Author Affiliations

  1. Department of Surgery, Division of Pediatric Surgery, Le Bonheur Children’s Hospital, University of Tennessee Health Science Center, Memphis, TN.
  2. Department of Surgery, Vanderbilt University Medical Center, Nashville, TN.
  3. Department of Pathology and Laboratory Medicine, Le Bonheur Children's Hospital, University of Tennessee Health Science Center, Memphis, TN.
  4. Department of Surgery, Division of Pediatric Surgery, Shands Hospital, University of Florida, Gainesville, FL.

References

  1. Touloukian RJ. Diagnosis and treatment of jejunoileal atresia. World J Surg. 1993;17(3):310-317.
  2. Mirza B, Sheikh A. Multiple associated anomalies in patients of duodenal atresia: a case series. J Neonat Surg. 2012;1(2):23.
  3. Dalla Vecchia LK, Grosfeld JL, West KW, Rescorla FJ, Scherer LR, Engum SA. Intestinal atresia and stenosis: a 25-year experience with 277 cases. Arch Surg. 1998;133(5):490-496; discussion 496-497.
  4. Coppens B, Vos A. Duodenal atresia. Pediatr Surg Intl. 1992;7(6):435-437.
  5. Sullivan PB. Hirschprung's disease. Arch Dis Childhood. 1996;74(1):5-7.
  6. Obermayr F, Hotta R, Enomoto H, Young HM. Development and developmental disorders of the enteric nervous system. Nat Rev Gastroenterol Hepatol. 2013;10(1):43-57.
  7. Kimble RM, Harding J, Kolbe A. Additional congenital anomalies in babies with gut atresia or stenosis: when to investigate, and which investigation. Pediatr Surg Int. 1997;12(8):565-570.
  8. Akhtar J, Guiney EJ. Congenital duodenal obstruction. Br J Surg. 1992;79(2):133-135.
  9. Torfs CP, Christianson RE. Anomalies in Down syndrome individuals in a large population-based registry. Am J Med Genetics. 1998;77(5):431-438.
  10. Khong TY, Ford WD, Haan EA. Umbilical cord ulceration in association with intestinal atresia in a child with deletion 13q and Hirschsprung's disease. Arch Dis Child Fetal Neonatal Ed. 1994;71(3):F212-213.
  11. Ikeda K, Goto S. Additional anomalies in Hirschsprung's disease: an analysis based on the nationwide survey in Japan. Z Kinderchir. 1986;41(5):279-281.
  12. Piper HG, Alesbury J, Waterford SD, Zurakowski D, Jaksic T. Intestinal atresias: factors affecting clinical outcomes. J Pediatr Surg. 2008;43(7):1244-1248.
  13. Lloyd JR, Clatworthy HW, Jr. Hydramnios as an aid to the early diagnosis of congenital obstruction of the alimentary tract; a study of the maternal and fetal factors. Pediatrics. 1958;21(6):903-909.
  14. Choudhry MS, Rahman N, Boyd P, Lakhoo K. Duodenal atresia: associated anomalies, prenatal diagnosis and outcome. Pediatr Surg Int. 2009;25(8):727-730.
  15. Rattan KN, Singh J, Dalal P. Neonatal Duodenal Obstruction: A 15-Year Experience. J Neonat Surg. 2016;5(2):13.
  16. Amiel J, Sproat-Emison E, Garcia-Barcelo M, et al. Hirschsprung disease, associated syndromes and genetics: a review. J Med Genet. 2008;45(1):1-14.
  17. Kim PC, Superina RA, Ein S. Colonic atresia combined with Hirschsprung's disease: a diagnostic and therapeutic challenge. J Pediatr Surg. 1995;30(8):1216-1217.
  18. Newman B, Nussbaum A, Kirkpatrick JA, Jr. Bowel perforation in Hirschsprung's disease. AJR. 1987;148(6):1195-1197.
  19. De Lorijn F, Reitsma JB, Voskuijl WP, et al. Diagnosis of Hirschsprung's disease: a prospective, comparative accuracy study of common tests. J Pediatr. 2005;146(6):787-792.
  20. Kapur RP. Practical pathology and genetics of Hirschsprung's disease. Sem Pediatr Surg. 2009;18(4):212-223.
  21. Fullerton BS, Sparks EA, Hall AM, et al. Growth morbidity in patients with cloacal exstrophy: a 42-year experience. J Pediatr Surg. 2016;51(6):1017-1021.
  22. Rintala RJ, Pakarinen MP. Outcome of anorectal malformations and Hirschsprung's disease beyond childhood. Sem Pediatr Surg. 2010;19(2):160-167.
  23. Conway SJ, Craigie RJ, Cooper LH, et al. Early adult outcome of the Duhamel procedure for left-sided Hirschsprung disease—a prospective serial assessment study. J Pediatr Surg. 2007;42(8):1429-1432.
  24. Jarvi K, Laitakari EM, Koivusalo A, Rintala RJ, Pakarinen MP. Bowel function and gastrointestinal quality of life among adults operated for Hirschsprung disease during childhood: a population-based study. Ann Surg. 2010;252(6):977-981.
  25. Fonkalsrud EW, DeLorimier AA, Hays DM. Congenital atresia and stenosis of the duodenum. A review compiled from the members of the Surgical Section of the American Academy of Pediatrics. Pediatrics. 1969;43(1):79-83.
  26. Zerin JM, Polley TZ, Jr. Malrotation in patients with duodenal atresia: a true association or an expected finding on postoperative upper gastrointestinal barium study? Pediatr radiol. 1994;24(3):170-172.
  27. Stoll C, Dott B, Alembik Y, Roth MP. Associated congenital anomalies among cases with Down syndrome. Eur J Med Genet. 2015;58(12):674-680.