Unsupported Browser
The American College of Surgeons website is not compatible with Internet Explorer 11, IE 11. For the best experience please update your browser.
Menu
Become a member and receive career-enhancing benefits

Our top priority is providing value to members. Your Member Services team is here to ensure you maximize your ACS member benefits, participate in College activities, and engage with your ACS colleagues. It's all here.

Become a Member
Become a member and receive career-enhancing benefits

Our top priority is providing value to members. Your Member Services team is here to ensure you maximize your ACS member benefits, participate in College activities, and engage with your ACS colleagues. It's all here.

Become a Member
ACS
ACS Case Reviews

Managing Duodenal Ischemia in Bouveret Syndrome: A Case of Complex Gastrointestinal Reconstruction

Abstract

Background

Bouveret syndrome represents a rare and critical acute condition characterized by complete gastric outlet obstruction secondary to the impaction of a large gallstone. This occurs when severe cholecystitis leads to the formation of a cholecystoduodenal or, less commonly, a cholecystogastric fistula, allowing the gallstone to migrate into the proximal gastrointestinal tract. The estimated incidence of this syndrome is exceptionally low, affecting approximately 3 in 100,000 individuals with cholelithiasis. While endoscopic retrieval of the obstructing gallstone is often the initial management strategy, complex surgical decision-making and intervention may become necessary, particularly in the presence of complications.

Summary

An 83-year-old man presented with a four-day history of nausea, vomiting and worsening abdominal pain. Laboratory studies revealed hypochloremia, hypokalemia, and a significant metabolic acidosis. Axial CT imaging identified an ovoid foreign body lodged in the distal duodenum, causing severe proximal duodenal and gastric dilation. Concomitant findings included dependent air suggestive of duodenal pneumatosis and pneumobilia. Although esophagogastroduodenoscopy (EGD) was considered, open surgical intervention was prioritized due to the CT findings raising concern for ischemic necrosis of the duodenum. Exploratory laparotomy confirmed a cholecystoduodenal fistula along the anterior surface of the duodenal bulb as the source of pneumobilia. The impacted gallstone was extracted from the third duodenal portion via a duodenotomy. Subsequent intraoperative findings of persistent duodenal ischemia necessitated resection of the compromised segment, followed by a bypass procedure. The patient's postoperative course, though prolonged, was ultimately successful, with full recovery and no infectious complications.

Conclusion

Bouveret syndrome is a rare cause of gastric outlet obstruction that can lead to severe complications such as duodenal ischemia. Establishing a prompt diagnosis presents a significant clinical challenge due to its rarity and often nebulous presentation. While endoscopic removal of the impacted gallstone is the preferred first-line intervention, surgical management becomes imperative when there are signs of bowel ischemia or questions regarding intestinal viability.

Key Words

Bouveret syndrome; gallstone ileus; gastric outlet obstruction; cholecystoduodenal fistula; duodenal ischemia


Case Description

An 83-year-old male presented to an external community hospital emergency department via private vehicle with a four-day history of intractable nausea, vomiting, and obstipation. He reported being in his usual state of health prior to symptom onset and denied ingesting any foreign bodies, such as animal bones. His symptoms rapidly progressed to intolerance of oral intake and significantly reduced urine output. His past medical history was significant for hypertension, atrial fibrillation (managed with oral anticoagulation), gastroesophageal reflux disease (treated with a proton pump inhibitor), obstructive sleep apnea (utilizing nightly continuous positive airway pressure), and coronary artery disease status post-percutaneous intervention in 2014. He had no prior abdominal surgical history but was aware of chronic cholelithiasis identified on previous imaging.

Upon initial evaluation, vital signs were: heart rate 108 beats/minute, blood pressure 123/74 mmHg, respiratory rate 18 breaths/minute, oxygen saturation 97% on 2 liters/minute supplemental oxygen via nasal cannula, and temperature 36.8°C (98.3°F). Pertinent laboratory findings included hypokalemia (3.1 mmol/L), hypochloremia (87 mmol/L), and acute kidney injury with creatinine of 2.97 mg/dL. Liver function tests showed a total bilirubin of 0.7 mg/dL and an alkaline phosphatase of 116 U/L. Sepsis workup revealed a markedly elevated lactate of 13.1 mmol/L and significant leukocytosis (17,800/uL). Physical examination demonstrated moderate abdominal distension with mild epigastric tenderness, without rebound tenderness or guarding. A non-contrast computed tomography (CT) scan of the abdomen and pelvis revealed significant gastric distension with copious intraluminal fluid, an ovoid foreign body measuring 8.3 cm × 3.7 cm × 3.6 cm impacted between the second and third portions of the duodenum, associated with surrounding duodenal pneumatosis (Figure 1). Pneumobilia was also evident (Figure 2). Following aggressive intravenous fluid resuscitation for acute renal failure and lactic acidosis, a nasogastric tube was inserted, yielding an immediate return of three liters of dark gastric fluid. His anticoagulation was reversed with prothrombin complex concentrate, and empiric broad-spectrum antimicrobial therapy with intravenous fluconazole 400 mg and piperacillin-tazobactam 2.25 g was administered. The patient was subsequently transferred to our tertiary care center for urgent hepato-pancreato-biliary surgical consultation.

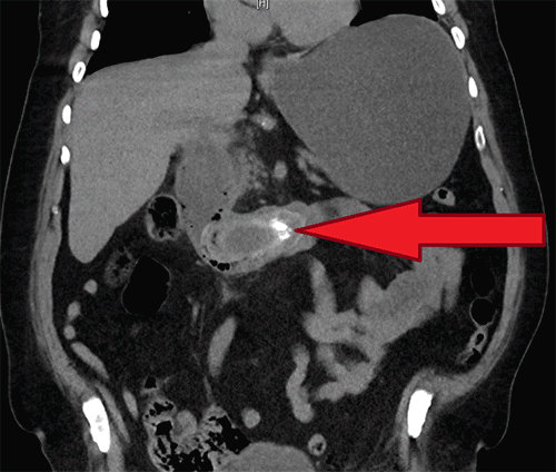
Figure 1. Coronal CT Demonstrating Impacted Duodenal Gallstone and Associated Pneumatosis. Published with Permission

Non-contrast coronal CT of the abdomen. The image shows a large, ovoid intraluminal filling defect (arrowhead), consistent with the impacted 8.3 cm gallstone, within the second and third portions of the duodenum, associated with surrounding pneumatosis intestinalis
Non-contrast coronal CT of the abdomen. The image shows a large, ovoid intraluminal filling defect (arrowhead), consistent with the impacted 8.3 cm gallstone, within the second and third portions of the duodenum, associated with surrounding pneumatosis intestinalis

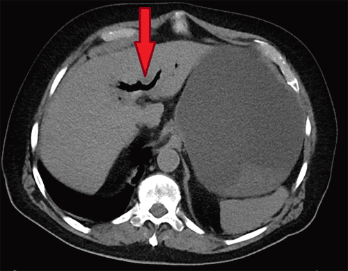
Figure 2. Axial CT Demonstrating Pneumobilia. Published with Permission

Non-contrast axial CT of the upper abdomen at the level of the liver. This image reveals branching, low-attenuation areas within the intrahepatic biliary tree (arrow), consistent with pneumobilia, secondary to a cholecystoenteric fistula
Non-contrast axial CT of the upper abdomen at the level of the liver. This image reveals branching, low-attenuation areas within the intrahepatic biliary tree (arrow), consistent with pneumobilia, secondary to a cholecystoenteric fistula

The patient was taken emergently to the operating room for exploratory laparotomy. Although esophagogastroduodenoscopy (EGD) was considered for stone extraction, open surgical intervention was prioritized due to CT findings of duodenal pneumatosis, necessitating direct assessment for and definitive management of potential intestinal ischemia. Intraoperatively, the gallbladder was found to be severely chronically inflamed and densely adherent to the duodenal bulb and porta hepatis. After entering the lesser sac, mobilizing the ascending colon and hepatic flexure, and performing a Kocher maneuver to fully expose the duodenum, a large foreign body was identified impacted within the third duodenal segment. The third and fourth portions of the duodenum exhibited significant vascular congestion and a dusky appearance. Attempts to manually advance the foreign body proximally into the stomach or distally beyond the ligament of Treitz were unsuccessful. Consequently, a transverse anterior duodenotomy was performed between the second and third duodenal portions, allowing extraction of an ovoid, coarse-textured gallstone measuring approximately 9 cm × 4 cm (Figure 3).

Figure 3. Gross Specimen of Extracted Gallstone Following Duodenotomy. Published with Permission

The specimen is an ovoid, calculus with a coarse texture, measuring approximately 9 cm in its longest dimension, consistent with the cause of the duodenal obstruction
The specimen is an ovoid, calculus with a coarse texture, measuring approximately 9 cm in its longest dimension, consistent with the cause of the duodenal obstruction

Despite removal of the obstructing gallstone, the third portion of the duodenum remained visibly ischemic. The decision was made to proceed with resection of the compromised segment, encompassing the duodenum from its distal second portion through the fourth portion. The ligament of Treitz and its avascular attachments were divided, and the proximal jejunum was transected approximately 10 cm distal to the ligament using a 75 mm gastrointestinal anastomotic (GIA) stapler. Inspection of the proximal duodenum through the existing duodenotomy revealed a large cholecystoduodenal fistula, approximately 8 cm in length, at the level of the duodenal bulb just distal to the pylorus; multiple small gallstones were removed from the fistula tract. Cholecystectomy was deferred due to the extensive inflammation and dense adhesions obscuring the porta hepatis, which precluded safe identification of critical biliary and vascular structures. The pylorus was confirmed to be patent. The distal second portion of the duodenum was then carefully transected with a 75 mm GIA stapler, ensuring preservation of the Ampulla of Vater, whose location was verified through the duodenotomy (which was incorporated proximal to the duodenal transection line).

For reconstruction, a retrocolic vertical mesenteric defect was created, and the proximal jejunal limb was mobilized to the right upper quadrant. A hand-sewn, antecolic, antimesenteric side-to-side duodenojejunostomy was fashioned using 3-0 silk and 3-0 polydioxanone sutures. An omental flap was mobilized and secured over the anastomosis. A 19-French closed-suction drain was placed posterolateral to the anastomosis. To prevent internal herniation, the jejunal limb was secured to the transverse mesocolon approximately 20 cm distal to the anastomosis with a single 3-0 silk suture. Distal to this point, a 16-French feeding jejunostomy tube was placed and brought out through the left abdominal wall. Following copious irrigation, the fascia was closed with a running #1 PDS suture, and the skin was closed with staples.

Postoperatively, the patient was transferred to the ICU and successfully extubated. The surgical critical care team continued resuscitation and electrolyte correction, leading to the resolution of his metabolic acidosis. Enteral nutrition via the feeding jejunostomy was initiated and advanced. An upper gastrointestinal study performed with Gastrografin via the nasogastric tube on postoperative day two confirmed anastomotic integrity without extravasation. On postoperative day nine, the patient developed nausea and vomiting, prompting nasogastric tube reinsertion for decompression. A CT scan with oral contrast administered via the nasogastric tube showed no evidence of anastomotic leak or abscess. The gastroparesis resolved with continued decompression and promotility agents (metoclopramide 5 mg every 8 hours), and by POD 13, he resumed oral intake. He was discharged to an inpatient rehabilitation facility on postoperative day sixteen, tolerating over 75% of his nutritional requirements orally. Final pathology of the resected duodenum revealed vascular congestion and mucosal hemorrhage; the gallstone measured 9.0 cm × 4.0 cm × 4.5 cm.

Discussion

Bouveret syndrome is an exceedingly rare and severe variant of gallstone ileus, characterized by gastric outlet or duodenal obstruction caused by a large gallstone impacted in the duodenum or pylorus. This obstruction can subsequently lead to complications such as pressure necrosis and ischemia of the duodenal wall. While gallstone ileus itself occurs in only 0.3% to 0.5% of patients with cholelithiasis, Bouveret syndrome accounts for a mere 1% to 3% of these gallstone ileus cases, underscoring its rarity.1 The underlying pathophysiology involves chronic gallbladder inflammation leading to the formation of a cholecysto-duodenal or, less commonly, a cholecysto-gastric fistula. This abnormal communication allows passage of a large gallstone into the proximal gastrointestinal tract, where it typically becomes impacted proximal to the ligament of Treitz. The considerable size of the stone can induce significant local inflammation and exert direct pressure, compromising mural blood flow and leading to necrosis of the surrounding intestinal wall. Factors increasing the risk of failed stone passage and subsequent impaction include gallstone diameter exceeding 2.5 cm,2 pre-existing surgically altered gastrointestinal anatomy, or areas of intrinsic gastrointestinal stenosis.3

Diagnosing Bouveret syndrome presents a significant challenge due to its infrequency and often nonspecific initial symptoms. Furthermore, many gallstones are isodense or only faintly visible on conventional radiography or even non-contrast CT scans. The presence of Rigler’s triad—gastric outlet obstruction, pneumobilia, and an ectopic gallstone—is highly suggestive but not universally present.1-5 While surgical intervention remains the cornerstone of treatment, endoscopic techniques for stone fragmentation or retrieval have been reported with variable success rates, ranging from 29% to 43%.3,5 Given the rarity of Bouveret syndrome and the wide spectrum of clinical and radiographic presentations, a standardized surgical strategy has not been established. Successful outcomes hinge on meticulous intraoperative assessment of the severity of surrounding inflammation, the viability of the affected gastrointestinal segment, and careful evaluation of the duodenal papilla’s integrity, as involvement may necessitate complex biliary reconstruction.

Conclusion

This case of an 83-year-old male underscores the significant morbidity associated with Bouveret syndrome, particularly when complicated by duodenal ischemia secondary to pressure necrosis from a large, impacted gallstone. The condition necessitated extensive duodenal resection and complex gastrointestinal reconstruction. Bouveret syndrome, by virtue of its rarity and diverse clinical and radiographic presentations, remains a formidable diagnostic and operative challenge.

Lessons Learned

Delayed presentation can exacerbate complications like duodenal ischemia, especially given the duodenum’s vulnerable retroperitoneal location and complex vascular supply. This case highlights the critical need for prompt diagnosis and intervention, preparedness for extensive surgical reconstruction including potential biliary procedures, and the value of subspecialist hepatobiliary surgical expertise in managing such intricate and infrequent pathologies. Surgeons encountering suspected Bouveret syndrome must be cognizant of its potential severity and the limits of their own experience, seeking timely consultation when appropriate.

Authors

Zaskey MA; Lee JR

Author Affiliation

Department of Surgery, East Tennessee State University, Johnson City, TN 37614

Corresponding Author

Michael Zaskey, MD
Department of Surgery
East Tennessee State University
1276 Gilbreath Drive
Johnson City, TN 37614
Email: zaskey@etsu.edu

Disclosure Statement

The authors have no conflicts of interest to disclose.

Funding/Support

The authors have no relevant financial relationships or in-kind support to disclose.

Received: July 16, 2023
Revision received: October 23, 2023
Accepted: January 2, 2024

References

  1. Caldwell KM, Lee SJ, Leggett PL, Bajwa KS, Mehta SS, Shah SK. Bouveret syndrome: current management strategies. Clin Exp Gastroenterol. 2018;11:69-75. Published 2018 Feb 15. doi:10.2147/CEG.S132069
  2. Qasaimeh GR, Bakkar S, Jadallah K. Bouveret’s syndrome: an overlooked diagnosis. A case report and review of literature. Int Surg. 2014;99(6):819-823. doi:10.9738/INTSURG-D-14-00087.1
  3. Turner AR, Kudaravalli P, Al-Musawi JH, Ahmad H. Bouveret syndrome (Bilioduodenal fistula). In: StatPearls. Treasure Island (FL): StatPearls Publishing; March 13, 2023.
  4. Jin L, Naidu K. Bouveret syndrome-a rare form of gastric outlet obstruction. J Surg Case Rep. 2021;2021(5):rjab183. Published 2021 May 19. doi:10.1093/jscr/rjab183
  5. Ferhatoğlu MF, Kartal A. Bouveret’s syndrome: a case-based review, clinical presentation, diagnostics and treatment approaches. Sisli Etfal Hastan Tip Bul. 2020;54(1):1-7. Published 2020 Mar 25. doi:10.14744/SEMB.2018.03779