Unsupported Browser
The American College of Surgeons website is not compatible with Internet Explorer 11, IE 11. For the best experience please update your browser.
Menu
Become a member and receive career-enhancing benefits

Our top priority is providing value to members. Your Member Services team is here to ensure you maximize your ACS member benefits, participate in College activities, and engage with your ACS colleagues. It's all here.

Become a Member
Become a member and receive career-enhancing benefits

Our top priority is providing value to members. Your Member Services team is here to ensure you maximize your ACS member benefits, participate in College activities, and engage with your ACS colleagues. It's all here.

Become a Member
ACS
ACS Case Reviews

Cystic Invasive Mucinous Adenocarcinoma Mimicking Pulmonary Echinococcal Disease

August 1, 2022

Abstract

Background

Primary invasive mucinous adenocarcinoma of the lung is a very rare mucus-producing pulmonary adenocarcinoma. It is associated with various presenting symptoms and poor prognosis.

Summary

We report a patient who presented with respiratory failure and acute respiratory distress syndrome after percutaneous drainage of a pleural effusion. Radiological features, patient demographics, and evidence of anaphylactic shock were suggestive of a ruptured echinococcal hydatid cyst. Given instability, he was managed with the percutaneous aspiration-injection-reaspiration (PAIR) procedure followed by interval thoracotomy and en bloc excision. Pathological examination revealed invasive mucinous adenocarcinoma with necrotic pulmonary infection secondary to bronchopleural fistula.

Conclusion

Cystic invasive mucinous adenocarcinoma can mimic echinococcal disease. It is important to keep a comprehensive working differential diagnosis in a patient with acute respiratory failure. The PAIR procedure can improve pulmonary aeration before formal operative intervention in patients with hemodynamic instability and severe respiratory distress.

Key Words

mucinous carcinoma; hydatid cyst; PAIR procedure


Case Description

A 64-year-old man with a past medical history of diabetes mellitus and smoking presented to an outside hospital with worsening shortness of breath and hemoptysis for one week. Chest x-ray was suggestive of right pleural effusion for which a percutaneous chest tube was placed. After only 200 ccs of dark, bloody material was drained, the drain clotted. Fluid aspirate demonstrated a negative Gram stain, and no organisms were identified. The patient's condition worsened within 24 hours to acute hypoxic respiratory failure requiring intubation. He was transferred to our facility for further care. Per the family report, the patient had a lung cyst potentially related to animal contact found in 2006 and occasional hemoptysis for two years. Upon arrival, the patient respiratory failure quickly deteriorated, requiring FiO2 of 100% and paralytics to improve oxygenation and ventilation.

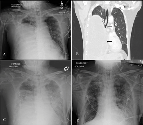
Chest CT showed a large complex mixed density cyst in the right lower thorax concerning for hydatid cyst measuring 17.1 × 15.9 × 20 cm with a compressive effect on the right mainstem bronchus and leftward mediastinal shift (Figure 1B). Bedside thoracic ultrasound was equivocal for daughter cysts. CT scan of the head, abdomen, and pelvis was negative for disseminated disease. Admission labs were significant for leukocytosis with no eosinophilia. Blood cultures on admission were negative and respiratory cultures were positive for mixed respiratory flora. Echinococcal antibodies were sent on admission to the CDC Prevention lab and were reported as negative two weeks later. No malignant cells were seen on fluid cytology. Subsequent chest x-rays showed new airspace opacities throughout the left lung concerning for pneumonia. The presumed diagnosis was a pulmonary hydatid cyst with secondary respiratory failure and shock of uncertain etiology, potentially from ruptured cysts from chest drainage and anaphylaxis. After consultation with infectious disease specialists, Albendazole was started, given presumed rupture of the cyst with worsening respiratory status and circulatory shock. IV fluids, vasopressors, and broad-spectrum antibiotics were initiated due to evidence of sepsis and left lung pneumonia on interval chest x-rays. Standing doses of steroids and antihistamines were added, given the reported incidence of anaphylaxis with a ruptured hydatid cyst.

After a multidisciplinary discussion, the patient underwent a bedside percutaneous aspiration-injection-reaspiration procedure under close monitoring, given the patient's hemodynamic instability and anticipated intolerance to operative intervention. The patient oxygen saturation was in the mid-80s despite APRV ventilatory mode under ARDS protocol with FiO2 of 100% and paralysis. Under ultrasound guidance in a sterile fashion, we performed a bedside percutaneous placement of a 24Fr chest tube followed by aspiration of the cyst contents. We initially aspirated 400 ccs of dark thick malodorous gelatinous material. We upsized the chest tube to 28Fr with Seldinger technique, allowing another 800 ccs of the same material (Figure 2A). We followed that by injecting 500 ccs of 15% hypertonic saline into the cyst. We clamped the tube for 15 minutes, followed by reaspiration drainage. Gram-positive cocci were seen, later identified as MRSA. Fluid cultures were negative for fungi, acid-fast bacilli, and ova or parasites. Postprocedural plain films demonstrated improvement in aeration in the right hemithorax (Figure 1C).

Figure 1. CT Scans. Published With Permission

A and B) CXR and CT scan of chest consistent with massive right cystic mass (black arrow) in right hemithorax with bronchial compressive effect (white arrow); C) status post-PAIR with better aeration in right and new airspace opacities throughout left lung; and D) status post-en bloc right lower lobectomy.

On postprocedural day 2, the patient's oxygenation improved, decreasing the FiO2 requirement to 60%. The patient was taken to the operative room for definitive source control. He underwent right posterolateral thoracotomy, en bloc right lower lobectomy, and full decortication. We noted that the entire right lower lobe was completely necrotic and full of cystic and gelatinous material upon entering the chest cavity. The patient had a significant air leak from the open bronchi from the bronchopleural fistulas that had developed due to necrosis. We proceeded with decortication of the right lower lobe and mobilization, followed by en bloc resection (Figure 2B). He was then transported to the ICU in guarded but stable condition (Figure 1D).

Figure 2. Bedside Percutaneous Aspiration of Cyst Content. Published With Permission

A) Injection of hypertonic saline; and B) extensive necrosis of right lower lobe with multicystic gelatinous component.

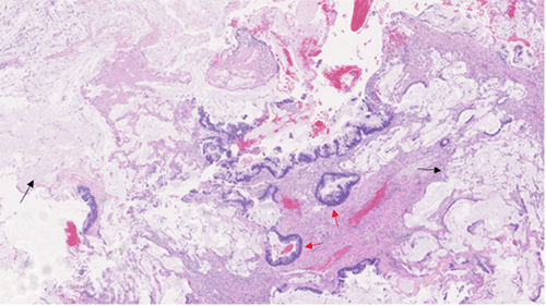
The patient completed a course of vancomycin for multifocal MRSA hospital-acquired pneumonia. Albendazole was discontinued after a lack of pathological evidence of echinococcal disease. The hospital course was complicated by a prolonged stay, liver injury, and respiratory failure requiring a tracheostomy and eventually discharge to a skilled nursing facility. The surgical specimen revealed a cystic mass with abundant tan-brown mucoid material, which was adherent to the inner lining of the cyst. Microscopically, the cyst consisted of abundant mucus-filled dilated spaces lined by atypical columnar cells confirming the diagnosis of invasive mucinous adenocarcinoma (Figure 3). Next-generation sequencing was performed on the tumor and revealed a KRAS p.Gly13Asp gain of function mutation confirming mucinous carcinoma. The patient was referred to the oncology outpatient clinic for systemic chemotherapy for presumed stage IV disease with gross spillage into the thoracic cavity.

Figure 3. Histopathology of Invasive Mucinous Adenocarcinoma at 4x Magnification. Published With Permission

Large mucin-filled spaces (black arrows) and infiltrative acini (red arrows).

Discussion

Invasive mucinous adenocarcinoma is an exceptionally rare primary lung cancer with an incidence as low as 0.2%.1 It is associated with variable presenting symptoms.2 Diagnosis can be challenging, with up to one-third being misdiagnosed initially as pneumonia given multifocal consolidative appearance.3 CT scans can show peripheral lesions with variable appearances. Histologically, clusters of neoplastic cells float in the mucin, which fills the alveolar spaces. KRAS mutations are observed in a high proportion of mucinous adenocarcinomas.4 Because of its rarity, the management of this disease is controversial. Prognosis is generally poor, with modest response to chemotherapy.3

Ibáñez et al. reported a patient with a similar diagnostic dilemma as ours with a large colonic mass. On imaging, the patient had a history of chronic abdominal pain with evidence of a multi-septate cystic mass in the right colon, mimicking a hydatid cyst.5 Pathologically, mucinous carcinoma was identified. In our case, patient demographics, history of relevant animal contact, and known cyst for years with the cystic features of the mass on imaging were all convincing of hydatid disease, considering quick deterioration in the clinical status to ARDS and shock after the percutaneous drainage before transfer from the outside facility. Our patient's hemodynamic instability was initially contraindicated by prompt operative intervention, and thus we performed a PAIR procedure that helped with his oxygenation. We believe that the option of PAIR followed by interval thoracotomy can be considered for patients with a ruptured hydatid cyst and instability.

Conclusion

Retrospectively, this patient likely had a mucinous cyst that degenerated into invasive adenocarcinoma. This insidious, malignant process advanced locally, significantly reducing the volume of the right hemothorax, causing dyspnea and hemoptysis, predisposing the patient to necrotizing MRSA pneumonia. Placing the pigtail for the presumed effusion caused a diffuse SIRS response followed by features of septic shock. Given the patient's origin, animal contact history, and known cyst, we believed he had a ruptured hydatid cyst in his right lung. By performing PAIR, we improved his oxygenation, which temporized the patient for definitive resection in the OR. No evidence of parasitic infestation was noted on pathology, and echinococcal antibodies were negative. Pathological features were typical for mucinous carcinoma, including KRAS mutation.

Lessons Learned

Invasive mucinous adenocarcinoma is a rare primary pulmonary malignancy with variable presentations. PAIR procedure may temporarily stabilize patients with similar diagnostic dilemmas until they are more stable for formal operative resection.

References

  1. Moon SW, Choi SY, Moon MH. Effect of invasive mucinous adenocarcinoma on lung cancer-specific survival after surgical resection: a population-based study. J Thorac Dis. 2018;10(6):3595-3608. doi:10.21037/jtd.2018.06.09
  2. Liu Y, Zhang HL, Mei JZ, et al. Primary mucinous adenocarcinoma of the lung: A case report and review of the literature. Oncol Lett. 2017;14(3):3701-3704. doi:10.3892/ol.2017.6615
  3. Rajeev LK, Thottian AGF, Amirtham U, et al. Primary mucinous carcinomas of the lung: Clinical characteristics and treatment outcomes. Lung India. 2020;37(6):491-494. doi:10.4103/lungindia.lungindia_52_20
  4. Cagle P, Miller R, Craig Allen T. In: Leslie KO, Wick MR. Practical Pulmonary Pathology a Diagnostic Approach. Philadelphia, PA: Elsevier; 2018.
  5. Ibáñez N, Fernández JÁ, Gómez ÁJ, Parrilla P. Right-colon mucinous adenocarcinoma mimicking a hydatid cyst. Rev Esp Enferm Dig. 2018;110(3):196-197. doi:10.17235/reed.2017.5041/2017

Authors

Alwatari Ya; Karrs Jb; McBride N-TDa; Shah RDa; Pillappa Rb; Cassano ADa

Author Affiliations

  1. Virginia Commonwealth University, Department of Surgery, Richmond, VA, 23298
  2. Virginia Commonwealth University, Department of Pathology, Richmond, VA, 23298

Corresponding Author

Yahya Alwatari, MD
Department of Surgery
Virginia Commonwealth University
1200 E. Marshall Street
Richmond, VA 23298
Phone: (804) 418-5858
Email: yahya.alwatari@vcuhealth.org

Disclosure Statement

The authors have no conflicts of interest to disclose.

Funding/Support

The authors have no relevant financial relationships or in-kind support to disclose.

Received: April 8, 2020
Accepted: December 4, 2020