Unsupported Browser
The American College of Surgeons website is not compatible with Internet Explorer 11, IE 11. For the best experience please update your browser.
Menu
Become a member and receive career-enhancing benefits

Our top priority is providing value to members. Your Member Services team is here to ensure you maximize your ACS member benefits, participate in College activities, and engage with your ACS colleagues. It's all here.

Become a Member
Become a member and receive career-enhancing benefits

Our top priority is providing value to members. Your Member Services team is here to ensure you maximize your ACS member benefits, participate in College activities, and engage with your ACS colleagues. It's all here.

Become a Member
ACS
ACS Case Reviews

Surgical Intervention for Rapidly Progressing Obstruction Identified in a Patient with Intussusception

March 20, 2024

Abstract

Background

Intussusception is a rare cause of large bowel obstruction. Although it typically carries a good prognosis in pediatric patients, the outcome can be ominous in adults. Malignancy frequently underlies the condition in adults, prompting surgical intervention as the initial step to identify and treat the lead point effectively. Delays in diagnosis and nonoperative treatment approaches can result in complete obstruction, perforation, and an overall increase in mortality and morbidity.

Summary

We describe the case of an 83-year-old female who presented with rapidly progressing obstructive symptoms and was found to have a long segment of large bowel to large bowel intussusception. Associated cecal dilation warranted emergent surgical intervention, with the removal of the lead point and compromised surrounding bowel, as indicated in adult patients. Pathologic analysis was consistent with T3 colon adenocarcinoma, Stage IIA (T3N0Mx), according to the eighth edition of the AJCC guidelines. Based on the patient’s age and postoperative progress, the oncologist recommended conducting follow-up examinations, including laboratory tests, imaging at regular intervals, and a colonoscopy one year after surgery.

Conclusion

For adults, intussusception is a rare cause of obstructive symptoms. Expeditious workup and intervention for patients with large bowel obstructions are of great importance due to the risk of perforation and associated morbidity and mortality. When due to intussusception, swift surgical intervention is required to resect the affected colon and remove the pathologic lead point.

Key Words

intussusception; large bowel obstruction; colon cancer; colon adenocarcinoma


Case Description

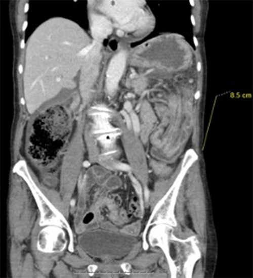
An 83-year-old female with no prior abdominal surgery was evaluated in the emergency room due to approximately 24 hours of acute onset abdominal pain and distention. She denied bright red blood per rectum but ascribed to decreased flatus and decreased stool output. Initial clinical examination demonstrated a mildly tender, distended abdomen with no associated peritonitis, rigidity, or guarding. Her most recent colonoscopy was ten years prior, at which time multiple polyps were identified but no large tumor. Abdominal computer tomography (CT) scan with intravenous contrast revealed the presence of large bowel to large bowel intussusception in the descending colon. The intussuscepted segment was approximately 8.5 cm in length (Figure 1).

Figure 1. CT Abdomen Showing Intussuscepted Segment Approximately 8.5 cm in Length. Published with Permission

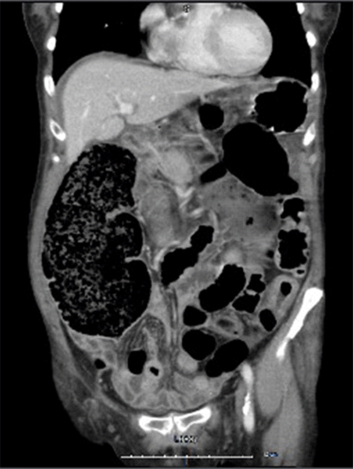
Proximal to the lesion, there was significant colonic dilation, with the cecum measuring approximately 9.5 cm in diameter (Figure 2). Fat stranding in the left mid abdomen and a moderate amount of ascites in the abdomen and pelvis was also identified. Laboratory values were significant for white blood cell (WBC) count of 12.8 × 103.0 cells/uL (reference range 3.7-10.68 × 103.0 cells/uL) with a shift of 84.6% (normal limit 40-70%) and lactic acid of 0.8 mmol/L (normal limit 0.5 to 2.2 mmol/L) as well as CEA 2.0 ng/mL (normal limit 0-2.5 ng/mL).

Figure 2. CT Abdomen Showing Colonic Dilation with Cecum Measuring Approximately 9.5 cm in Diameter. Published with Permission

She was taken to the operating room for exploration, and upon entering the abdomen, the intussuscepted descending colon segment was identified and resected. The resected segment was 17.2 cm long grossly and was opened in the operating room, demonstrating what appeared to be multiple separate polypoid masses (Figure 3). Due to a significant size discrepancy between the dilated proximal colon and decompressed distal colon, an end colostomy and mucous fistula were created rather than a primary anastomosis.

Figure 3. Intraoperative Findings. Published with Permission

A.

A) Intussuscepted segment prior to resection
A) Intussuscepted segment prior to resection

B.

B) opening of the resected segment of the colon showing multiple separate polypoid masses
B) opening of the resected segment of the colon showing multiple separate polypoid masses

The final pathology was consistent with a single 7.8 × 3.4 × 2.3 cm circumferential adenocarcinoma, acting as a lead point for the intussusception. On histology, the mass was found to extend through the muscular wall into the subserosal adipose tissue, consistent with a T3 lesion.1 Fourteen lymph nodes were identified, and none of them exhibited signs of tumor involvement. The final pathology, according to AJCC guidelines,2 was pT3N0M0, Stage IIA, poorly differentiated adenocarcinoma. Genetic studies demonstrated mutations in mismatch repair proteins compatible with loss of expression of MLH1 and PMS2 as well as BRAF-mutation. Oncology recommendations were to observe and continue with conservative management. In addition, a colonoscopy was recommended a year after the surgery. With her history of polymyalgia rheumatica (chronically on prednisone), the use of immunologics was not endorsed.

Discussion

Intussusception is one of many causes of bowel obstruction, occurring due to an intraluminal or extraluminal lead point allowing the bowel to telescope into another segment, i.e., intussusceptum (affected segment) into intussuscipiens (receiving segment).3 Although there is a higher incidence in children less than two years of age,4 adult presentation remains rare and often heralds a diagnosis of malignancy acting as a lead point. While a lead point can be benign or malignant, extra measures are required when the etiology of intussusception is believed to be malignant.

Classically, the presenting symptoms of intussusception consist of abdominal pain, currant-jelly (dark bloody) stools, and tender abdominal palpable mass; however, these symptoms are far more common in children, and the presentation in adults varies greatly, making early diagnosis and intervention challenging. Common symptoms reported in adult patients include intermittent cramping abdominal pain with signs of bowel obstruction, bleeding per rectum, and peritonitis if progressed.4 Interestingly, our patient did not have preceding intermittent cramping abdominal pain but rather developed acute sharp pain with associated obstructive symptoms. Given the rarity of intussusception in adults, it is unique to find the acute presentation of our patient with adenocarcinoma as a lead point, as she had no other chronic symptoms often associated with colon cancer (i.e., bleeding, abdominal pain, slowly progressive changes in stools).

Treatment approaches vary significantly between intussusception diagnosed in children and adults, as the etiology giving rise to intussusception varies. In pediatric cases, pneumatic or hydrostatic enemas are first-line treatments with a reduction rate of 83% and 70%, respectively.5 The recurrence rate in pediatrics after successful reduction is 10 to 20% within the first 72 hours, but recurrences are often amenable to repeat enema reduction.6 Identification of intussusception in adults typically requires a stern approach to intervention. Due to the involvement of a malignant lead point in 65% of adult cases7,8 (which itself carries a risk of perforation, dissemination of malignant cells, and complications with anastomosis due to inflammation present within the bowel8,11,12), treatment in adults centers around surgical intervention7,9,10 to relieve the obstruction, while also resecting the malignant lead point, with the goal of oncologic resection if possible. The patient’s imaging studies and physical exam were concerning for obstruction with dilated cecum requiring emergent intervention.

Treatment for malignancy found with resection of the bowel involved will be dependent on the pathological findings. While surgery remains a mainstay for resectable lesions, chemotherapy is stage-dependent. Adjuvant chemotherapy in stage 2 patients has been a controversial topic.13 Oncological resection with negative lymph node findings can undergo observation. However, recent studies have shown benefits with the use of adjuvant chemotherapy for patients with micrometastasis and involvement of lymphovascular invasion locally.14 While our patient did have pathological findings of small lymphovascular invasion, she had no other findings suggestive of high-risk features. Fourteen lymph nodes were acquired, all of which were identified to be negative for metastasis. Due to her age and other comorbidities, the decision was made to observe with follow-up levels of CEA and serial imaging.

Conclusion

Intussusception presents a diagnostic challenge in adults, particularly when caused by malignancy acting as a lead point. Unlike pediatric cases, adult presentations often lack classical symptoms, making early diagnosis difficult. Our patient’s acute presentation with adenocarcinoma as a lead point highlights the importance of considering intussusception in adults with obstructive symptoms, even without preceding chronic symptoms associated with colon cancer.

Treatment approaches differ between pediatric and adult cases, with surgical intervention being the mainstay for adults due to the high incidence of malignant lead points. In our patient’s case, emergent surgical intervention was required due to the presence of obstruction with a dilated cecum.

Overall, this case underscores the importance of vigilance in diagnosing and managing intussusception in adults, particularly when malignancy is implicated, and highlights the need for individualized treatment strategies based on pathological findings and patient factors.

Lessons Learned

Large bowel obstruction due to intussusception is uncommon; however, in older adults, it should raise concern about the etiology of the lead point and often requires expeditive operative intervention.

Authors

Patel V; Evans S; Shim JK

Author Affiliation

Bassett Medical Center, Cooperstown, NY 13326

Corresponding Author

Vrutant Patel, MD
Department of Surgery
Bassett Medical Center
1 Atwell Road
Cooperstown, NY 13326
Email: vrutant.patel@bassett.org

Disclosure Statement

The authors have no conflicts of interest to disclose.

Funding/Support

The authors have no relevant financial relationships or in-kind support to disclose.

Received: May 16, 2021
Revision received: July 13, 2021
Accepted: July 27, 2021

References

  1. Benson AB, Venook AP, Al-Hawary MM, et al. Colon Cancer, Version 2.2021, NCCN Clinical Practice Guidelines in Oncology. J Natl Compr Canc Netw. 2021;19(3):329-359. Published 2021 Mar 2. doi:10.6004/jnccn.2021.0012
  2. Amin MB, Edge S, Greene F, Byrd DR, Brookland RK, Washington MK, Gershenwald JE, Compton CC, Hess KR, et al. (Eds.). AJCC Cancer Staging Manual (8th edition). Springer International Publishing: American Joint Commission on Cancer; 2017
  3. Marinis A, Yiallourou A, Samanides L, et al. Intussusception of the bowel in adults: a review. World J Gastroenterol. 2009;15(4):407-411. doi:10.3748/wjg.15.407
  4. Mandeville K, Chien M, Willyerd FA, Mandell G, Hostetler MA, Bulloch B. Intussusception: clinical presentations and imaging characteristics. Pediatr Emerg Care. 2012;28(9):842-844. doi:10.1097/PEC.0b013e318267a75e
  5. Sadigh G, Zou KH, Razavi SA, Khan R, Applegate KE. Meta-analysis of Air Versus Liquid Enema for Intussusception Reduction in Children. AJR Am J Roentgenol. 2015;205(5):W542-W549. doi:10.2214/AJR.14.14060
  6. Whitehouse JS, Gourlay DM, Winthrop AL, Cassidy LD, Arca MJ. Is it safe to discharge intussusception patients after successful hydrostatic reduction?. J Pediatr Surg. 2010;45(6):1182-1186. doi:10.1016/j.jpedsurg.2010.02.085
  7. Nagorney DM, Sarr MG, McIlrath DC. Surgical management of intussusception in the adult. Ann Surg. 1981;193(2):230-236. doi:10.1097/00000658-198102000-00019
  8. Haas EM, Etter EL, Ellis S, Taylor TV. Adult intussusception. Am J Surg. 2003;186(1):75-76. doi:10.1016/s0002-9610(03)00108-9
  9. Begos DG, Sandor A, Modlin IM. The diagnosis and management of adult intussusception. Am J Surg. 1997;173(2):88-94. doi:10.1016/S0002-9610(96)00419-9
  10. Namikawa T, Okamoto K, Okabayashi T, Kumon M, Kobayashi M, Hanazaki K. Adult intussusception with cecal adenocarcinoma: Successful treatment by laparoscopy-assisted surgery following preoperative reduction. World J Gastrointest Surg. 2012;4(5):131-134. doi:10.4240/wjgs.v4.i5.131
  11. Marinis A, Yiallourou A, Samanides L, et al. Intussusception of the bowel in adults: a review. World J Gastroenterol. 2009;15(4):407-411. doi:10.3748/wjg.15.407
  12. Efficacy of adjuvant fluorouracil and folinic acid in B2 colon cancer. International Multicentre Pooled Analysis of B2 Colon Cancer Trials (IMPACT B2) Investigators. J Clin Oncol. 1999;17(5):1356-1363.
  13. Varghese A. Chemotherapy for Stage II Colon Cancer. Clin Colon Rectal Surg. 2015;28(4):256-261. doi:10.1055/s-0035-1564430