Unsupported Browser
The American College of Surgeons website is not compatible with Internet Explorer 11, IE 11. For the best experience please update your browser.
Menu
Become a member and receive career-enhancing benefits

Our top priority is providing value to members. Your Member Services team is here to ensure you maximize your ACS member benefits, participate in College activities, and engage with your ACS colleagues. It's all here.

Become a Member
Become a member and receive career-enhancing benefits

Our top priority is providing value to members. Your Member Services team is here to ensure you maximize your ACS member benefits, participate in College activities, and engage with your ACS colleagues. It's all here.

Become a Member
ACS
ACS Case Reviews

A Rare Case of Metastatic and Dystrophic Calcium Deposition in a Liver Transplant Recipient

December 19, 2024

Abstract

Background

Liver transplant recipients may develop ectopic calcifications, and transplant surgeons therefore need to be knowledgeable about the three distinct processes (dystrophic, metastatic, and calciphylaxis) that result in these calcifications. Dystrophic calcifications occur in abnormal tissues in the setting of normal calcium metabolism. Metastatic calcifications occur in normal tissues in the setting of abnormal calcium and phosphate levels. Calciphylaxis occurs when calcium deposits are present in the small and medium vessels of the dermis subcutaneous tissues and results in overlying skin necrosis.

Summary

We present a case of a 46-year-old woman with end-stage liver disease due to alcohol (MELD score=29) who underwent orthotopic liver transplantation complicated by acute kidney injury requiring hemodialysis and acute rejection. Shortly after liver transplantation, she developed calcifications of her abdominal wall, liver allograft; and later, diffused subcutaneous calcium deposits. This case represents both dystrophic and metastatic calcium deposits after liver transplantation that were initially misdiagnosed as calciphylaxis.

Conclusion

Ectopic calcium deposits after liver transplantation can occur in any location and can result from dystrophic calcifications, metastatic calcifications, and/or calciphylaxis.

Key Words

liver transplantation; calciphylaxis; dystrophic calcification; metastatic calcifications; calcium


Case Description

A 46-year-old woman with end-stage liver disease (MELD score=29) secondary to alcoholic cirrhosis underwent an orthotopic liver transplant. The case was notable for significant blood loss (5L) requiring multiple transfusions (620mL autologous blood, 5u RBC, 4u FFP, 1u platelets). The patient received 3,800 mg of calcium chloride intraoperatively, but her albumin corrected calcium levels were persistently low on postoperative days (POD) 1 through 5 (6.6 to 8.4mg/dL). On POD 2 and 3, she developed acute kidney injury requiring hemodialysis. Her total bilirubin remained elevated, and liver duplex showed normal vascular flow in the hepatic artery, portal vein, and hepatic veins. She underwent liver biopsy on POD 9 that was suggestive of cholestasis and acute cellular rejection. The rejection was treated with high-dose steroids and by increasing the FK506 target level. She underwent endoscopic retrograde cholangiopancreatography (ERCP) on POD 11, which showed no evidence of either biliary leak or obstruction.

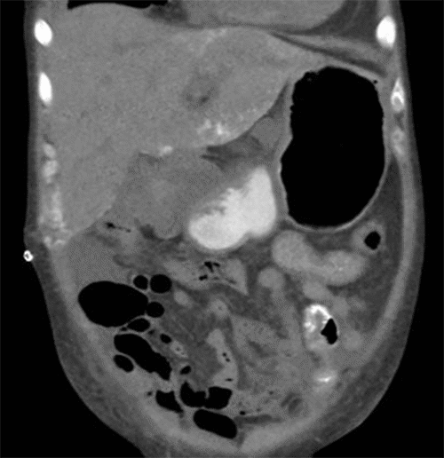
On POD 16, the patient developed severe left-sided abdominal pain with significant tenderness over her left flank and incision. She underwent an abdominal CT scan (Figure 1) and targeted biopsy of a calcified region of her allograft (Figure 2). Other studies demonstrated an elevated parathyroid hormone level (483pg/mL) with normal calcium levels, elevated phosphorous (6.8 to 7.6 mg/dL), and low vitamin D (17.9ng/mL). Given the initial concern for calciphylaxis, sodium thiosulfate therapy was initiated. The patient developed an upper GI bleed and underwent EGD, which showed hemobilia thought to be due to her recent liver biopsy. On POD 21, she developed worsening abdominal pain, hypotension, and tachycardia. Abdominal CT showed pneumoperitoneum, and she was taken to the OR for exploration. No source of pneumoperitoneum was found. She was subsequently noted to have a firm, pale liver, which was biopsied. On POD 40, our team discovered several firm subcutaneous nodules on her forearms, shoulders, and head (Figure 3).

Figure 1. Coronal CT Abdomen/Pelvis with Oral Contrast. Published with Permission

Heterogeneous calcifications involving the right upper quadrant (RUQ) liver periphery and adjacent abdominal wall are evident, near the incision site with visible skin staples. Additional findings include ascites and anasarca
Heterogeneous calcifications involving the right upper quadrant (RUQ) liver periphery and adjacent abdominal wall are evident, near the incision site with visible skin staples. Additional findings include ascites and anasarca

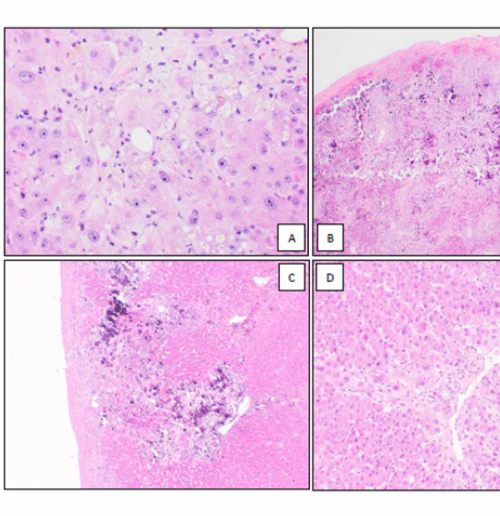
Figure 2. Liver Biopsy Findings (H&E Stain). Published with Permission

A) High-power magnification demonstrates marked cholestasis and cholate stasis; B, low-power magnification of the liver wedge biopsy reveals marked subcapsular calcifications, hemorrhage, and inflammation; C, High-power magnification of the liver wedge biopsy shows an additional subcapsular area with dense calcifications; D, High-power magnification of the liver wedge biopsy demonstrates cholestatic changes around a central vein without involvement by calcifications
A) High-power magnification demonstrates marked cholestasis and cholate stasis; B, low-power magnification of the liver wedge biopsy reveals marked subcapsular calcifications, hemorrhage, and inflammation; C, High-power magnification of the liver wedge biopsy shows an additional subcapsular area with dense calcifications; D, High-power magnification of the liver wedge biopsy demonstrates cholestatic changes around a central vein without involvement by calcifications

Figure 3. Right Medial Scapula. Published with Permission

Close-up view reveals a cluster of six 3 mm white-yellow papules with surrounding erythema. The papules appear firm and tender upon palpation
Close-up view reveals a cluster of six 3 mm white-yellow papules with surrounding erythema. The papules appear firm and tender upon palpation

Discussion

Although more common in kidney transplant recipients, liver transplant recipients may also develop ectopic calcium deposits after transplantation. The presentation of ectopic calcifications in liver transplant recipients is often confusing and can have multiple etiologies. Basic knowledge of the different types of ectopic calcifications and their presentation and treatments may assist transplant physicians and surgeons who are faced with this challenging clinical entity. These complications can be debilitating; therefore, early diagnosis and treatment is essential for good patient outcomes.

There are three distinct processes that may result in ectopic calcium deposits: dystrophic calcifications, metastatic calcifications and calciphylaxis (Table 1). Dystrophic calcification is the most common form and occurs in abnormal soft tissues in the presence of normal calcium and phosphate—this is most commonly associated with autoimmune diseases.

Metastatic calcification is characterized by abnormal calcium and phosphate metabolism resulting in calcifications in normal tissues, and it most commonly occurs in the setting of chronic kidney failure, sarcoidosis, and malignant neoplasms.

Calciphylaxis is defined as calcification of the media of small- and medium-sized blood vessels in the dermis and subcutaneous tissues, resulting in overlying skin necrosis. Additionally, iatrogenic calcifications may occur because of intravenous calcium administration with extravasation at the site of administration, resulting in both tissue damage and local sites of elevated calcium.

Definition Risk Factors Diagnosis Treatment
Dystrophic Occurs in abnormal tissues with normal calcium and phosphate metabolism Tissue ischemia, trauma Calcifications after surgery or ischemic process with normal systemic calcium
Metastatic Occurs in normal tissues in setting of abnormal calcium and phosphate metabolism Acute or chronic kidney disease, sarcoidosis, malignancy, secondary hyperparathyroidism Elevated calcium and phosphate levels, usually multiple locations
Calciphylaxis Calcification of the media of small and medium vessels in dermis and subcutaneous tissue resulting in skin necrosis End-stage renal disease, cirrhosis, connective tissue disorders, primary hyperparathyroidism, malignancy, autoimmune disease, protein C deficiency Requires biopsy showing calcium deposits in small- and medium-sized arteries
Iatrogenic Extravasation of intravenously administered calcium resulting in locally elevated calcium levels and tissue damage None Soft tissue or skin injury after extravasation of intravenous calcium
Table 1. Summary of Ectopic Calcification Processes
Definition Risk Factors Diagnosis Treatment
Dystrophic Occurs in abnormal tissues with normal calcium and phosphate metabolism Tissue ischemia, trauma Calcifications after surgery or ischemic process with normal systemic calcium
Metastatic Occurs in normal tissues in setting of abnormal calcium and phosphate metabolism Acute or chronic kidney disease, sarcoidosis, malignancy, secondary hyperparathyroidism Elevated calcium and phosphate levels, usually multiple locations
Calciphylaxis Calcification of the media of small and medium vessels in dermis and subcutaneous tissue resulting in skin necrosis End-stage renal disease, cirrhosis, connective tissue disorders, primary hyperparathyroidism, malignancy, autoimmune disease, protein C deficiency Requires biopsy showing calcium deposits in small- and medium-sized arteries
Iatrogenic Extravasation of intravenously administered calcium resulting in locally elevated calcium levels and tissue damage None Soft tissue or skin injury after extravasation of intravenous calcium

Our patient developed ectopic calcium deposits at multiple locations including her abdominal wall at the site of her incision, her liver allograft, and later, multiple skin locations. Initially, upon identifying her ectopic calcifications, she was misdiagnosed with calciphylaxis and was started on sodium thiosulfate. That said, her biopsies were not consistent with calciphylaxis, and she never developed skin necrosis of her overlying soft tissue calcium deposits. Her calcium deposits were not at the site of calcium administrations; hence, an iatrogenic etiology was not in the differential diagnosis. She appeared to have developed a combination of dystrophic (at the site of abdominal incision and allograft) and metastatic calcifications (diffuse subcutaneous nodules).

In review of the literature, liver calcifications have been found to occur after extensive ischemia. This process is driven by dystrophic calcifications (normal calcium metabolism and abnormal tissues) and is physiologically akin to bone mineralization.1,2 Microcalcifications are not uncommonly detected in transplanted livers due to ischemia reperfusion injury, but macrocalcifications are rare and may themselves cause graft dysfunction.

On the other hand, metastatic calcification occurs in normal tissues when there is a disturbance in calcium homeostasis. The proposed process by which metastatic calcification occurs in liver transplant recipients begins with transfusion of citrated blood products and citrate accumulation during the anhepatic phase. This process results in chelation of calcium to citrate leading to hypocalcemia. This hypocalcemia may increase parathyroid hormone with mobilization of calcium from bone, and consequent increasing calcium-phosphate product. At the same time, these patients are often given multiple infusions of calcium, leading to transient—and possibly under-detected periods of elevated calcium and phosphate that result in metastatic calcifications.3 Calcifications can occur in various locations, including in the pulmonary alveolar septa or even myocardium. They can also often occur after a significant normal postoperative interval and may result in significant morbidity.3,4 Coexisting renal impairment and secondary hyperparathyroidism may increase the risk of metastatic calcifications in liver transplant recipients.1

It is important to differentiate between dystrophic and metastatic clarifications and calciphylaxis to provide the best treatment; however, all three processes may occur simultaneously or sequentially in transplant recipients. Calciphylaxis can be confirmed with a biopsy demonstrating calcium depositions in small and medium sized arteries, which may lead to skin necrosis. Lesions most often occur in the lower extremities but can occur elsewhere in the body (usually in areas of fat deposition). Most commonly, patients with calciphylaxis have end-stage renal disease; however, there have been reports of occurrences in patients with alcoholic cirrhosis, connective tissue disorders, primary hyperparathyroidism, malignancy, and autoimmune disease. Of note, there are limited reports of calciphylaxis occurring in liver transplant recipients with postoperative acute kidney injury or in combined liver and kidney transplant recipients.

Sodium thiosulfate is the treatment for calciphylaxis, and it works through the chelation of calcium, resulting in calcium thiosulfate, a compound more soluble than other calcium salts and thereby more readily cleared from the body. Additionally, broad-spectrum antibiotics and local wound care are important to prevent secondary infection of calciphylaxis skin lesions. Hyperbaric oxygen treatment can also be used to improve wound healing. Protein C deficiency is a risk factor for calciphylaxis and is often present in patients with cirrhosis as well as those on hemodialysis.

Conclusion

Ectopic calcifications after liver transplantation are not uncommon, and transplant surgeons and physicians should be familiar with the different etiologies of this entity. Dystrophic and metastatic calcifications are best prevented by limiting tissue damage, allograft ischemia, and abnormal calcium and phosphate levels postoperatively. Calciphylaxis should be suspected in patients presenting with necrotic skin lesions, and the treatment of choice is sodium thiosulfate, wound care, and hyperbaric oxygen if calciphylaxis is confirmed by lesion biopsy.

Lessons Learned

This case highlights the multiple different processes that result in ectopic calcifications in patients after liver transplantation. Although transplant surgeons/physicians may be most familiar with calciphylaxis, the entities of metastatic and dystrophic calcifications may occur in liver transplant recipients. Transplant surgeons and physicians should understand the differential diagnoses related to these abnormal calcium metabolism processes.

Authors

Gardner IHa; Washington Ka; Brinkerhoff Bb; Orloff Sa; Connelly Ca

Author Affiliations

  1. Department of Surgery, Oregon Health & Science University, Portland, OR 97239
  2. Department of Pathology and Laboratory Medicine, Oregon Health & Science University, Portland, OR 97239

Corresponding Author

Christopher Connelly, MD
3181 SW Sam Jackson Park Road
Mail Code L223
Portland, OR 97239
Email: connelch@ohsu.edu

Disclosure Statement

The authors have no conflicts of interest to disclose.

Funding/Support

The authors have no relevant financial relationships or in-kind support to disclose.

Received: May 30, 2022
Revision received: August 3, 2022
Accepted: September 6, 2022

References

  1. Lateo S, Charlton F, Hudson M, Lawrence CM. Cutaneous calcification following liver transplantation. Clin Exp Dermatol. 2005;30(5):484-486. doi:10.1111/j.1365-2230.2005.01793.x
  2. Kalantari F, Miao D, Emadali A, et al. Cellular and molecular mechanisms of abnormal calcification following ischemia-reperfusion injury in human liver transplantation. Mod Pathol. 2007;20(3):357-366. doi:10.1038/modpathol.3800747
  3. Charokopos A, Dua S, Beasley MB, et al. Radiographically Progressive Metastatic Pulmonary Calcification in a Three-Time Liver Transplant Recipient Requiring Intraoperative Resuscitation. Am J Respir Crit Care Med. 2021;203(4):502-503. doi:10.1164/rccm.202001-0027IM
  4. Deguchi K, Ueno T, Matsuura R, et al. Disseminated Metastatic Tissue Calcification After Orthotopic Liver Transplantation: A Case Report. Transplant Proc. 2016;48(1):251-254. doi:10.1016/j.transproceed.2015.12.033
  5. Jucglà A, Sais G, Curco N, Marcoval J, Moreno A, Peyri J. Calcinosis cutis following liver transplantation: a complication of intravenous calcium administration. Br J Dermatol. 1995;132(2):275-278. doi:10.1111/j.1365-2133.1995.tb05026.x
  6. Frunza-Stefan S, Poola-Kella S, Silver K. Non-uraemic calciphylaxis (NUC) postliver transplantation. BMJ Case Rep. 2018;2018:bcr2018226537. Published 2018 Oct 24. doi:10.1136/bcr-2018-226537
  7. Nseir V, Bradauskaite G, Pedroza M, Minimo C, Zaki R, Chewaproug D. A Rare Case of Calciphylaxis in an Orthotopic Liver Transplant Recipient with Acute Kidney Injury. Exp Clin Transplant. 2021;19(4):382-385. doi:10.6002/ect.2017.0123
  8. Prabhakar S, Tuffaha AM. Non Uremic Calciphylaxis Post Liver Transplantation: A Case Report and Literature Review of an Unusual Presentation of a Rare Disease. Am J Case Rep. 2018;19:118-122. Published 2018 Feb 1. doi:10.12659/ajcr.906981