Unsupported Browser
The American College of Surgeons website is not compatible with Internet Explorer 11, IE 11. For the best experience please update your browser.
Menu
Become a member and receive career-enhancing benefits

Our top priority is providing value to members. Your Member Services team is here to ensure you maximize your ACS member benefits, participate in College activities, and engage with your ACS colleagues. It's all here.

Become a Member
Become a member and receive career-enhancing benefits

Our top priority is providing value to members. Your Member Services team is here to ensure you maximize your ACS member benefits, participate in College activities, and engage with your ACS colleagues. It's all here.

Become a Member
ACS
ACS Case Reviews

To Boldly Go Where No Mango Has Gone Before: A Bezoar Case of Small Bowel Obstruction

October 10, 2024

Abstract

Background

Small bowel obstruction (SBO) is a prevalent cause of acute abdomen among surgical patients, representing approximately 16% of surgical hospital admissions and affecting over 300,000 individuals annually. Postoperative adhesions are the most common cause, accounting for 74-83% of SBO cases. Conversely, bezoar-related obstructions are less common, accounting for only 0.4% to 4.8% of cases. Bezoars are an indigestible agglomeration of indigestible material formed in the intestinal tract, typically categorized as phytobezoars (composed of plant materials such as fibers, fruits, and skins and seeds of vegetables), trichobezoars (consisting of ingested hair), lactobezoars (containing milk protein in milk-fed infants), and pharmacobezoars (resulting from medications).

Summary

A 46-year-old man, who is partially edentulous and has never undergone abdominal surgery, presented to the hospital with severe fluctuating abdominal pain, nausea, and vomiting for two days duration. Laboratory studies demonstrated leukocytosis and an elevated venous lactate. A CT scan showed an intraluminal mass with a transition point in the left lower quadrant, along with potential signs of pneumatosis and mesenteric edema, raising concerns about ischemic changes. The patient underwent a diagnostic laparoscopy and small bowel resection, during which a phytobezoar consisting of whole, undigested, dried mango slices was identified as the cause of the obstruction.

Conclusion

Phytobezoars are a rare cause of small bowel obstructions, and it is important for surgeons to be aware of this potential cause. Edentulous patients are at higher risk due to the difficulty in proper mastication. Therefore, clinicians should maintain a clinical suspicion for bezoars in cases where an otherwise healthy edentulous patient, with no prior abdominal surgeries, presents with symptoms of small bowel obstruction.

Key Words

small bowel obstruction; acute abdomen; bezoar; phytobezoar

 


Case Description

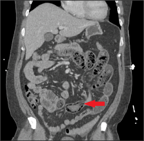
A partially edentulous and otherwise healthy 46-year-old man presented to the hospital with severe waxing-and-waning abdominal pain, nausea, and vomiting for the past two days. The pain was localized in the epigastrium and was unrelieved by sitting or standing. He was afebrile on arrival, and his vital signs were within normal limits. Physical examination showed a soft, rotund abdomen with tenderness in the epigastrium upon palpation. Laboratory studies were notable for a white blood cell count of 18.4 × 103 cells/μL (normal range: 4.5-11.0) and a venous lactate of 3.81 mmol/L (normal range: 0.40-1.30). Subsequent CT scan demonstrated an obstructing intraluminal mass in the left lower quadrant, with dilated loops of bowel proximal to the transition point and and signs suggestive of possible bowel ischemia, including pneumatosis and mesenteric edema.

Figure 1. Abdominopelvic CT with Contrast (coronal view). Published with Permission

Red arrow points to an obstructing intraluminal mass in the distal small bowel
Red arrow points to an obstructing intraluminal mass in the distal small bowel

The patient was diagnosed with small bowel obstruction, prompting immediate transfer to the operating theater for an emergent diagnostic laparoscopy. Intraoperatively, an obstructive mass was discovered in the terminal ileum, accompanied by mesenteric edema but no signs of pneumatosis or perforation. This mass was felt to be immobile, raising concern for the presence of an intraluminal malignancy. Consequently, an 8 cm segment of the small bowel was resected, and a side-to-side functional end-to-end stapled anastomosis was performed. Once extracted from the abdominal cavity, the contents of the resected ileum were exposed, revealing a clump of several thin, yellow, fibrous objects resembling whole dried mango slices.

Figure 2. Resected and Exposed Section of Terminal Ileum Containing Whole, Dried Mango Slices. Published with Permission

After being settled into his hospital room, the patient mentioned that he had been consuming dried mango slices at home until they lost their sweetness. Due to discomfort while chewing, he would then swallow them whole. He did not endorse eating other dried fruits or following a high-fiber diet. The patient's postoperative course was complicated by an ileus requiring nasogastric tube decompression, and he was discharged to home on postoperative day 3 in his usual state of health.

Discussion

Small bowel obstruction (SBO) is a common cause of acute abdomen, contributing to approximately 16% of surgical hospital admissions and exceeding 300,000 cases annually. While adhesions are by far the most common cause of SBO, bezoars—clusters of indigestible material in the gastrointestinal tract—constitute only a small fraction.2,3 Bezoars come in various types: phytobezoars, trichobezoars, lactobezoars, and pharmacobezoars.4 The word "bezoar" orginates from the Farsi word padzahr, meaning "antidote" or "antitoxin," reflecting ancient beliefs as animal bezoars were considered a panacea.5 While bezoars can form in any part of the digestive tract, they typically form in the stomach, where they are generally asymptomatic.3 However, when they migrate past the pylorus or form in the small intestines, they can cause obstruction.6 Bezoars that traverse the ileocecal valve are generally passed per rectumwithout issue. Most SBOs caused by bezoar occur approximately 50 to 70 cm proximal to the ileocecal valve, where the intestinal diameter is narrowest.3 In our patient, the phytobezoar was impacted in the terminal ileum, which is consistent with prior literature.

The abdominopelvic CT of our patient also demonstrated pneumatosis intestinalis (PI), the radiographic finding of gas infiltration in the walls of the intestines.7 PI can be classified as primary or secondary and is diagnosed via plain film or CT imaging.8 There are competing theories regarding its cause, such as bacterial translocation across the luminal membrane with subsequent hydrogen gas formation deep into the mucosa or submucosa. The clinical significance of PI remains unclear. While PI itself may not indicate pathology,7 in certain clinical contexts (e.g., severe abdominal pain, small bowel obstruction), its presence can suggest ischemic changes in the bowel wall, potentially indicating life-threatening mesenteric ischemia.9 While surgical decisions should not solely rely on the presence of PI, it can add to the surgeon's clinical gestalt regarding the urgency of surgical treatment.

The gastrointestinal dysfunctions associated with bezoars are numerous and may be divided into mechanical and chemical disturbances.5 Previous gastric surgery such as vagotomy and gastrectomy, along with factors like high-fiber diets, and poor dentition, are especially associated with phytobezoars.10 The incidence of phytobezoars varies geographically and among ethnic groups, often associated with dietary habits rich in high-fiber foods, typical in the Mediterranean and Southeast Asia. High-fiber diets contribute to bezoar formation by increasing insoluble material in the digestive tract and providing more material for bezoar formation.3,4 Certain fruits and vegetables like persimmons,11 apricots,4 and bell peppers12 are particularly known to cause phytobezoars. Dried fruits are particularly hazardous as their volume progressively expands through water absorption during enteric transit.4,13 In our patient's case, despite not having a high-fiber diet, his dietary habits and edentulousness led to the formation of a bezoar.

While laparotomy remains the most commonly utilized surgical approach for treating SBO, accounting for approximately 65% of surgical cases,2 laparoscopic small bowel resection (SBR) offers distinct advantages. These include fewer subsequent intra-abdominal adhesions, lower morbidity rates, shorter hospital stays, and faster recovery times. Laparoscopic SBR is safe and effective in the management of bezoar-induced SBO.14 However, if the diagnosis of bezoar-related SBO is confirmed perioperatively, the need for resection may be avoided entirely through techniques such as "milking" the bezoar through the ileocecal valve.11 Other options include endoscopic fragmentation, removal, and enterotomy.15 Our case reiterates these findings. In our patient, the mass seen on CT was not identified as a bezoar, and the immobility of the mass during diagnostic laparoscopy raised concern for an intra-luminal malignancy, so we opted for an up-front laparoscopic resection of the affected small bowel segment.

Conclusion

Our case highlights the importance of clinical suspicion for bezoar-related obstruction as a potential diagnosis in an otherwise healthy patient with no prior abdominal surgeries who presents with symptoms suggestive of small bowel obstruction. This is particularly important when additional risk factors could contribute to the formation of a bezoar.

Lessons Learned

Perioperative identification of phytobezoars as the causal agent for small bowel obstruction remains challenging. Edentulousness and regional food habits increase the risk for phytobezoar-induced small bowel obstruction. Engaging with primary care physicians to identify patients at risk for bezoar formation, provide patient education, and work to minimize reversible risk factors may help reduce the number of phytobezoar-induced SBO.

Authors

Bresler TEa,b; Chisum MSc; Tschirhart JHd

Author Affiliations

  1. Washington State University, Elson S. Floyd College of Medicine, Spokane, WA 99202
  2. Los Robles Hospital & Medical Center, Department of Surgery, Thousand Oaks, CA 91360
  3. Swedish Medical Center, First Hill Campus, General Surgery Residency, Seattle, WA 98122
  4. Swedish Surgical Specialists First Hill, Seattle, WA 98104

Corresponding Author

Tamir E. Bresler, MD
Los Robles Hospital & Medical Center
215 W. Janss Road
Thousand Oaks, CA 91360
Email: bresler.research@gmail.com

Disclosure Statement

The authors have no conflicts of interest to disclose.

Funding/Support

The authors have no relevant financial relationships or in-kind support to disclose.

Received: January 18, 2022
Revision received: May 12, 2022
Accepted: June 22, 2022

References

  1. Long B, Robertson J, Koyfman A. Emergency Medicine Evaluation And Management Of Small Bowel Obstruction: Evidence-Based Recommendations. J Emergency Med. 2019;56(2):166-76.
  2. Jafari MD, Jafari F, Foe-Paker JE. Adhesive Small Bowel Obstruction in the United States: Has Laparoscopy Made an Impact? Am Surg. 2015;81(10):1028-33.
  3. Iwamuro M, Okada H, Matsueda K, Inaba T, Kusumoto C, Imagawa A, Yamamoto K. Review of the diagnosis and management of gastrointestinal bezoars. World J Gastrointest Endosc. 2015;7(4):336-45.
  4. Kukeev I, Replyansky I, Czeiger D, Atias S. Jewish Holiday "Tu Bishvat" or Two Cases of Small Bowel Obstruction with Dried Apricot. Ann Surg Perioper Care. 2021;6(1):1047.
  5. Manning EP, Vattipallly V, Niazi M, Shah A. Phytobezoar Induced Small Bowel Obstruction in a Young Male with Virgin Abdomen. J Gastrointest Dig Syst. 2015;5(2):266.
  6. Razavianzadeh N, Foroutan B, Honarvar F, Forozeshfard M. Small bowel obstruction attributable to phytobezoar. Oxf Med Case Reports. 2016;2016(12):omw092.
  7. Ho LM, Paulson EK, Thompson WM. Pneumatosis intestinalis in the adult: benign to life-threatening causes. AJR Am J Roentgenol. 2007;188(6):1604-13.
  8. Grunvald M, Blanco J, Pool M, Hertl M, Chan EY. Both Benign and Life-Threatening Pneumatosis Intestinalis in a Single Liver Transplant Patient. ACS Case Reviews. 2020;3(1):43-6.
  9. Graber SD, Sinz S, Turina M, Alkadhi H. Pneumatosis intestinalis in abdominal CT: predictors of short-term mortality in patients with clinical suspicion of mesenteric ischemia. Abdom Radiol (NY). 2022;47(5):1625-35.
  10. Kement M, Ozlem N, Colak E, Kesmer S, Gezen C, Vural S. Synergistic effect of multiple predisposing risk factors on the development of bezoars. World J Gastroenterol. 2012;18(9):960-4.
  11. Krausz MM, Moriel EZ, Ayalon A, Pode D, Durst AL. Surgical aspects of gastrointestinal persimmon phytobezoar treatment. Am J Surg. 1986;152(5):526-30.
  12. Mohseni M, Kruse B. An Unusual Mimic of Intermittent Bowel Obstruction. Am J Case Rep. 2019;20:1920-2.
  13. Puckett Y, Nathan J, Dissanaike S. Intussusception caused by dried apricot: A case report. Int J Surg Case Rep. 2014;5(12):1254-7.
  14. Yau KK, Siu WT, Law BKB, Cheung HYS, Ha JPY, Li MKW. Laparoscopic approach compared with conventional open approach for bezoar-induced small-bowel obstruction. Arch Surg. 2005;140(10):972-5.
  15. Dikicier E, Altintoprak F, Ozkan OV, Yagmurkaya O, Uzunoglu MY. Intestinal obstruction due to phytobezoars: An update. World J Clin Cases. 2015;3(8):721-6.