Unsupported Browser
The American College of Surgeons website is not compatible with Internet Explorer 11, IE 11. For the best experience please update your browser.
Menu
Become a member and receive career-enhancing benefits

Our top priority is providing value to members. Your Member Services team is here to ensure you maximize your ACS member benefits, participate in College activities, and engage with your ACS colleagues. It's all here.

Become a Member
Become a member and receive career-enhancing benefits

Our top priority is providing value to members. Your Member Services team is here to ensure you maximize your ACS member benefits, participate in College activities, and engage with your ACS colleagues. It's all here.

Become a Member
ACS
Case Reviews in Surgery

Both Benign and Life-Threatening Pneumatosis Intestinalis in a Single Liver Transplant Patient

A liver transplant patient developed a life-threatening and benign pneumatosis intestinalis in a single hospitalization.

December 3, 2020

Abstract

Background

A liver transplant patient developed a life-threatening and benign pneumatosis intestinalis in a single hospitalization.

Summary

An 80-year-old male with a past medical history of liver transplantation presented with one day of fevers and chills in the setting of two months of post-prandial, epigastric pain. Imaging studies demonstrated suspected superior mesenteric artery ischemia and pneumatosis of the right colon and the patient was taken for hemicolectomy. Several days later, the patient became symptomatic with nausea, vomiting, shortness of breath, and hypotension. Computed tomography (CT) demonstrated severe pneumatosis of the stomach and esophagus. Due to the morbidity and mortality that would be associated with gastrectomy and esophagectomy, conservative management was pursued. The patient recovered, and a subsequent CT demonstrated resolution of pneumatosis. Pneumatosis intestinalis is a poorly understood condition of the bowel. Its significance is difficult to determine, and prognosis is based on the etiology of the pneumatosis.

Conclusion

Pneumatosis is a radiographic and physical finding of uncertain significance. The authors present a case of both life-threatening and benign pneumatosis in a single patient within the same hospitalization. This case highlights the need for continued research into the causes and prognosis associated with pneumatosis. Further, this paper emphasizes the critical importance of determining the etiology of pneumatosis in selecting appropriate management.

Key Words

Pneumatosis intestinalis; transplant


Case Description

Pneumatosis is a radiographic and physical finding of nonspecific significance. The authors report an unusual case of a patient who developed pneumatosis intestinalis twice in a single hospitalization. One of these episodes was deemed to be from a perilous cause, and the other from a benign cause that resolved with conservative management.

The patient is an 80-year-old male with a history of alcoholic cirrhosis and hepatocellular carcinoma who has received liver transplantation in 2001 and again in 2004 after chronic rejection of the first transplant. He has been maintained on mycophenolate and sirolimus immunosuppression. Other health issues include hypertension, diabetes, chronic kidney disease, hyperlipidemia, and ventral hernia. He presented to this institution with two months of intolerance to solid food and 24 hours of chills and tremors.

His initial workup included blood labs that demonstrated electrolyte abnormalities, including hypokalemia, hypocalcemia and anion gap metabolic acidosis. The patient was admitted to the medical intensive care unit for further management. Due to a diminished renal status, contrast imaging was deferred until volume resuscitation could be achieved.

Initial ultrasonography demonstrated adequate perfusion to the transplanted liver. Computed tomography (CT) on hospital day two demonstrated some mild pneumatosis of the ascending colon; however, the patient’s symptoms at this time were improving and not concerning for a hazardous intraabdominal pathology. On hospital day four, the patient developed vomiting, diarrhea, and hypotension. Pressor support was initiated, and transplant surgery was consulted.

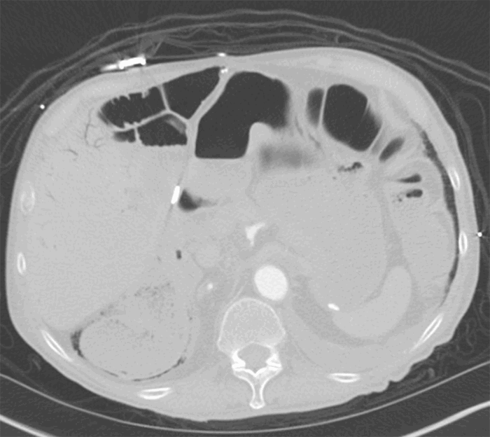
CT angiogram was pursued and demonstrated worsening pneumatosis of the right colon, superior mesenteric artery with small caliber distal branches, and portal venous gas (Figure 1). Arterial lactic acid was elevated to 2.8 mmol/L. At this time, SMA ischemia was suspected, and surgical management was undertaken. The patient received right hemicolectomy, end ileostomy, and mucus fistula. A small colonic perforation was noted intraoperatively.

Figure 1. CT image, axial view. Pneumatosis intestinalis of the ascending colon with suspected free air. Portal venous gas can be seen within the liver.

Figure 2. A) Gross specimen demonstrating terminal ileum, ileocecal valve and diseased ascending colon; B) area of ascending colon with necrosis and small perforation; C) microscopic pathology showing submucosal cystic areas consistent with pneumatosis intestinalis.

Following this procedure, the patient recovered well; however, on hospital day 14, the patient once again developed nausea, emesis, and hypotension. The decision was made to transfer to the surgical intensive care unit (SICU). Non-contrast CT at this time demonstrated severe pneumatosis of the stomach and esophagus without perforation and without an obvious etiology (Figure 2). Arterial lactic acid slightly elevated to 1.4 mmol/L (normal 0.4-1.3). Conservative management was selected since a surgical approach would have yielded a highly morbid procedure in an already frail patient. In the SICU, the patient received nasogastric decompression of his stomach, support with vasopressors, fluid resuscitation, and antimicrobial agents (vancomycin, piperacillin/tazobactam, micafungin).

Two days following the initiation of treatment the patient received repeat CT imaging after chest crepitus was identified on physical exam, and there was concern for esophageal perforation. The repeat imaging demonstrated complete resolution of the pneumatosis without any perforation to the foregut.

Figure 3. CT image, coronal view demonstrating pneumatosis of the stomach and esophagus.

Discussion

Pneumatosis intestinalis is a condition of the gut where gas collects under the mucosa or submucosa of the intestinal wall.1,2 In the adult patient population, it is associated with chronic obstructive pulmonary disease, immunosuppression, endoscopic intervention, and ischemia to the bowel.3 In regards to pneumatosis of the esophagus and stomach, there have been many cases documented demonstrating association with upper endoscopy, Mallory-Weiss tear, and dilation of the stomach.4,5 While no large study has looked at the incidence of pneumatosis in the transplant population, several small studies have demonstrated a common occurrence, especially when compared to other solid organ transplant. Most studies have assessed for pneumatosis within the first two weeks of transplantation. The majority of pneumatosis in this population is benign, with malignant pneumatosis associated with hypotension and fever.6,7 Currently, there is no consensus on the mechanism of pneumatosis, but there are two leading theories for its development: mechanical and biological.

The mechanical theory is that of elevated intraluminal pressures developing into transmural gas collection or dissection of gas into the bowel wall. The biological theory posits an increase in intramural gas, producing bacteria that develops secondary to mucosal damage or disease.1,8 In this case, the patient had ischemia to the colon that led to pneumatosis and subsequent perforation, which necessitated surgical intervention. Days later, he developed pneumatosis of the foregut from an unknown etiology (possibly intraabdominal pressure changes or tears from retching/vomiting) that responded to conservative management.

Current treatment of pneumatosis suspected from a benign etiology includes watchful waiting and the use of inspired oxygen or hyperbaric oxygen.9 The proposed mechanism of action of this treatment includes increasing the diffusion gradient of non-oxygen gases in the intramural space when compared with the blood. This leads to diffusion of the gas into the blood and subsequent metabolism.10

In juxtaposition to the management of benign pneumatosis is the surgical management mandated for pneumatosis of life-threatening etiology. Pneumatosis, like that seen at the beginning of this patient’s hospitalization, involves necrosis of the bowel necessitating the removal of affected tissue. Life-threatening pneumatosis is often associated with ischemia to the bowel, obstruction, ileus, and toxic megacolon. The pathophysiology for these causes likely represents both increased intraluminal pressure and damage to the mucosa. Portal venous gas in this setting portends a grave outcome.11,12 In this case, initial CT angiogram demonstrate insufficient blood supply to the ascending colon, which helped identify the etiology of initial pneumatosis. The radiographic evidence of portal venous gas was a useful prognostic finding.

Conclusion

This case highlights the nonspecificity of radiographic pneumatosis and reinforces the recommendation that the suspected cause be considered when making treatment decisions. Even two different areas of pneumatosis in the same patient can signify different etiology and prognosis.

Lessons Learned

Pathology causing pneumatosis intestinalis is the most important factor in prognosis. It is crucial for the surgeon to evaluate the pneumatosis and treat the suspected pathology.

Authors

Grunvald M, Blanco J, Pool M, Hertl M, Chan EY

Corresponding Author

Miles Grunvald, MD
Department of Surgery
1653 W Congress Parkway, 7th Floor Jelke
Chicago, IL 60612
Phone: (802) 999-6439
E-mail: miles_w_grunvald@rush.edu

Author Affiliation

Rush University
Department of Surgery
Chicago, IL 60612

Disclosure Statement

The authors have no conflicts of interest to disclose.

References

  1. Gagliardi G, Thompson IW, Hershman MJ, Forbes A, Hawley PR, Talbot IC. Pneumatosis coli: a proposed pathogenesis based on study of 25 cases and review of the literature. Int J Colorectal Dis. 1996;11(3):111-118. doi:10.1007/s003840050031
  2. St Peter SD, Abbas MA, Kelly KA. The spectrum of pneumatosis intestinalis. Arch Surg. 2003;138(1):68-75. doi:10.1001/archsurg.138.1.68
  3. Ho LM, Paulson EK, Thompson WM. Pneumatosis intestinalis in the adult: benign to life-threatening causes. AJR Am J Roentgenol. 2007;188(6):1604-1613. doi:10.2214/AJR.06.1309
  4. Muhammad MN, Sadough M, King R, Singh G. Pneumatosis of the esophagus and intestines with portal venous air: a rare presentation. J Community Hosp Intern Med Perspect. 2017;7(4):255-257. Published 2017 Sep 19. doi:10.1080/20009666.2017.1356188
  5. Mclaughlin SA, Nguyen JH. Conservative management of nongangrenous esophageal and gastric pneumatosis. Am Surg. 2007;73(9):862-864.
  6. Gemma V, Mistrot D, Row D, et al. Pneumatosis intestinalis in solid organ transplant recipients. J Thorac Dis. 2018;10(3):1984-1997. doi:10.21037/jtd.2018.02.52
  7. Kwon H-J, Kim KW. Pneumatosis intestinalis after liver transplantation. Eur J Radiol. 80(3):629-636.
  8. Braumann C, Menenakos C, Jacobi CA. Pneumatosis intestinalis--a pitfall for surgeons?. Scand J Surg. 2005;94(1):47-50. doi:10.1177/145749690509400112
  9. Wayne E, Ough M, Wu A, et al. Management algorithm for pneumatosis intestinalis and portal venous gas: treatment and outcome of 88 consecutive cases. J Gastrointest Surg. 2010;14(3):437-448. doi:10.1007/s11605-009-1143-9
  10. Masterson JS, Fratkin LB, Osler TR, Trapp WG. Treatment of pneumatosis cystoides intestinalis with hyperbaric oxygen. Ann Surg. 1978;187(3):245-247. doi:10.1097/00000658-197803000-00005
  11. Kernagis LY, Levine MS, Jacobs JE. Pneumatosis intestinalis in patients with ischemia: correlation of CT findings with viability of the bowel. AJR Am J Roentgenol. 2003;180(3):733-736. doi:10.2214/ajr.180.3.1800733
  12. Abboud B, El Hachem J, Yazbeck T, Doumit C. Hepatic portal venous gas: physiopathology, etiology, prognosis and treatment. World J Gastroenterol. 2009;15(29):3585-3590. doi:10.3748/wjg.15.3585