Unsupported Browser
The American College of Surgeons website is not compatible with Internet Explorer 11, IE 11. For the best experience please update your browser.
Menu
Become a member and receive career-enhancing benefits

Our top priority is providing value to members. Your Member Services team is here to ensure you maximize your ACS member benefits, participate in College activities, and engage with your ACS colleagues. It's all here.

Become a Member
Become a member and receive career-enhancing benefits

Our top priority is providing value to members. Your Member Services team is here to ensure you maximize your ACS member benefits, participate in College activities, and engage with your ACS colleagues. It's all here.

Become a Member
ACS
Case Reviews in Surgery

Malrotation Identified during Pancreaticoduodenectomy: A Case Report and Review of Literature

Various case studies over the years have reported asymptomatic to mildly symptomatic intestinal rotation in adult patients.

February 24, 2021

Abstract

Background

We present an 84-year-old male with glucagon-producing pancreatic neuroendocrine tumor (PNET) and asymptomatic complete intestinal malrotation who underwent a pancreaticoduodenectomy.

Summary

The malrotation actually made the pancreaticoduodenectomy easier, as there was no need to take down the ligament of Treitz. We elected not to do a Ladd procedure due to the absence of obstructing Ladd bands after the pancreaticoduodenectomy and no prior history of abdominal complaints in our 84-year-old patient.

Conclusion

To conclude, this is a rare case of asymptomatic malrotation in an elderly male presenting with a glucagon-producing PNET. In this case, the lack of a ligament of Treitz actually facilitated resection and reconstruction and no vascular anomalies were noted; however, variations in bowel and vascular anatomy seen in patients with intestinal malrotation require caution and care on the part of the surgical team during dissection.

Key Words

Pancreaticoduodenectomy, Whipple Procedure, Intestinal Malrotation, Pancreatic Neuroendocrine Tumor, PNET, Ligament of Treitz


Case Description

Various case studies over the years have reported asymptomatic to mildly symptomatic intestinal rotation in adult patients.1-6 While malrotation is estimated to occur in 1 in 2,500 to 1 in 3,000 individuals, the incidence of asymptomatic intestinal malrotation that does not present in childhood is hard to ascertain.7 The incidence has been estimated to be as low as 0.2%.8 The case we present is especially interesting because our patient was undergoing pancreaticoduodenectomy for a pancreatic glucagon-producing neuroendocrine tumor, which, in and of itself, is rare. The annual incidence of glucagonoma is 0.01 to 0.1 new cases per 100,000 people.9 We found only five previous case reports of pancreaticoduodenectomy reported in patients with intestinal malrotation.10-14

The patient is an 84-year-old male who presented with a two to three month history of right-sided abdominal pain that was worsening in severity. The pain was associated with anorexia and twenty-pound unintentional weight loss. He denied rash or worsening of his pre-existing diabetes mellitus.

The patient’s past medical history was significant for coronary artery disease with a three vessel coronary artery bypass surgery, stroke without residual significant neurologic deficit, hypertension, mild dementia, type II diabetes mellitus since 1994, mild reflux disease, and chronic kidney disease stage G3a/A2. He did not report chronic abdominal pain prior to his acute illness.

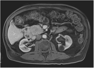
Lab studies revealed an elevated chromogranin A level of 88 and a glucagon level of 1332 mg/dL, diagnostic for glucagonoma. All other NET markers were negative. A magnetic resonance imaging (MRI) study with and without contrast revealed a 5.4 x 3.8 centimeter hyperintense mass (Figure 1) in the uncinate process of the pancreas without evidence of metastatic disease.

Figure 1: MRI showing 5.4 x 3.8 cm hyperintense mass in the uncinate process of the pancreas without evidence of metastatic disease.
Figure 1: MRI showing 5.4 x 3.8 cm hyperintense mass in the uncinate process of the pancreas without evidence of metastatic disease.

Figure 1: MRI showing 5.4 x 3.8 cm hyperintense mass in the uncinate process of the pancreas without evidence of metastatic disease.

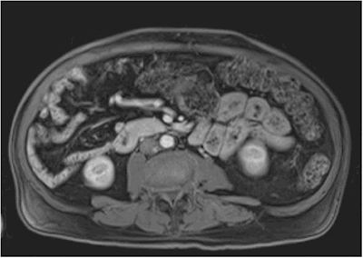
On retrospective review of preoperative imaging, the C-loop of the duodenum did not traverse the midline posterior to the superior mesenteric vessels with the small bowel on the right side of the abdomen (Figure 2). Despite multiple reviews of the preoperative imaging at a multidisciplinary tumor conference and in clinic, the malrotation was not noted. As this is uncommon and unexpected, it was unnoticed, highlighting the biases in the way physicians think.

Figure 2: Preoperative imaging showing C-loop of the duodenum not traversing the midline posterior to the superior mesenteric vessels leaving the small bowel on the right side of the abdomen.
Figure 2: Preoperative imaging showing C-loop of the duodenum not traversing the midline posterior to the superior mesenteric vessels leaving the small bowel on the right side of the abdomen.

Figure 2: Preoperative imaging showing C-loop of the duodenum not traversing the midline posterior to the superior mesenteric vessels leaving the small bowel on the right side of the abdomen.

An endoscopic ultrasound (EUS) confirmed a round, hypoechoic mass measuring 4.5 x 3.8 cm identified at the pancreatic head, with no evidence of vascular invasion. One enlarged lymph node was visualized in the peripancreatic region measuring 7 mm at its maximum diameter. Fine needle aspiration and cytologic analysis of the primary mass was consistent with a neuroendocrine neoplasm of the pancreas immunoreactive for cytokeratin and synaptophysin. The lymph node was not biopsied.

After cardiac evaluation for risk assessment, the patient was then taken to the operating room for pancreaticoduodenectomy. Upon entering the abdomen, we noted that his colon was on the left side, including the appendix, which was lying in the mid-abdomen toward the left upper quadrant, not tethered to the right abdominal wall. As we kocherized the duodenum, it quickly became obvious that he had a malrotation, with his duodenal C loop not passing beneath the superior mesenteric vessels and his entire small bowel on the right side of the abdomen. He did not have obstructing Ladd’s bands, though the duodenum made a sharp turn to the right and inferiorly between D2 and D3 with some narrowing and kinking (Figure 3), which was relieved with resection. We ran the small bowel from the duodenum to the cecum and aside from the intraabdominal position this was normal.

Figure 3: Small bowel in the right upper quadrant and a high lying cecum, CBD is common bile duct.
Figure 3: Small bowel in the right upper quadrant and a high lying cecum, CBD is common bile duct.

Figure 3: Small bowel in the right upper quadrant and a high lying cecum, CBD is common bile duct.

His malrotation actually made the operation easier, as we did not need to mobilize the ligament of Treitz as it was not present. Likewise, we did not have to bring the jejunum retrocolic to perform our reconstruction, as it sat in the patient’s right upper quadrant (Figure 3). Reconstruction proceeded in standard fashion otherwise, with end-to-side pancreaticojejunostomy, end-to-side hepaticojejunostomy, and gastrojejunostomy.

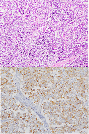
Given his age and cardiac comorbidities, he was monitored in the ICU overnight despite a smooth intraoperative course. In the early morning of POD#2 the patient experienced progressive delirium. Workup revealed hypoxia and pulmonary embolism (PE) protocol CT demonstrated bilateral pulmonary emboli despite appropriate DVT prophylaxis. At this time, our patient was heparinized and transitioned to apixaban, with no respiratory sequelae. His delirium progressively improved. The patient otherwise did well postoperatively and was discharged home on postoperative day 6. Final pathology showed a glucagon and somatatostatin-producing PNET (Figure 4), with 2 of 20 lymph nodes positive for metastatic disease (T2N1).

Figure 4: Final pathology showing glucagon and somatostatin-producing PNET, above image is H&E stain at 10x magnification, below image is glucagon stain at 20x magnification.
Figure 4: Final pathology showing glucagon and somatostatin-producing PNET, above image is H&E stain at 10x magnification, below image is glucagon stain at 20x magnification.

Figure 4: Final pathology showing glucagon and somatostatin-producing PNET, above image is H&E stain at 10x magnification, below image is glucagon stain at 20x magnification.

Discussion

Intestinal malrotation occurs during embryology in the 10th-12th week of gestation as a result of the failure of small bowel rotation and fixation.5,15 It is common in this scenario for the patient to form a Ladd band, or adhesion spanning the right lateral abdominal wall to the cecum. A Ladd band is named after William Ladd, a pediatric surgeon, who first described the adhesion in 1936. As a result of this band, most patients present during the perinatal period to first month of life with an acute obstruction.

There are three categories of intestinal malrotation: incomplete (Figure 5A), non-rotation (Figure 5B), and reverse rotation (Figure 5C).

Figure 5: Types of malrotation: (A) depicts incomplete rotation, (B) depicts reverse rotation, (C) depicts nonrotation.
Figure 5: Types of malrotation: (A) depicts incomplete rotation, (B) depicts reverse rotation, (C) depicts nonrotation.

Figure 5: Types of malrotation: (A) depicts incomplete rotation, (B) depicts reverse rotation, (C) depicts nonrotation.

In incomplete rotation, the duodenum is incompletely rotated and the ligament of Treitz is either absent or to the right of the midline. The colon can also be incompletely rotated with the formation of Ladd’s bands. In non-rotation, the patient has a rotation of less than 90° with no ligament of Treitz as well as a non-fixed cecum. In reverse rotation, which is the most rare, the gut is rotated in a clockwise fashion. According to these categories, our patient had a non-rotation malrotation of the intestine with the duodenum right to the midline and high lying cecum which predisposes to volvulus, especially in the presence of Ladd’s bands (Figure 3). He had some fibrous adhesions from the cecum toward the right abdominal wall, kinking the duodenum where it would normally pass under the ligament of Treitz, but instead headed toward his right side (Figure 3). This was not completely obstructing and did not tether the cecum, likely explaining why he never presented acutely with an obstruction during his 84 years of life.

When adults are diagnosed with malrotation they have a variety of presentations ranging from acute bowel obstruction as seen in children, to a more indolent course.4-6 Patients can be completely asymptomatic or just have a mild and chronic abdominal pain.1 Interestingly, some patients’ only symptomology is gastrointestinal reflux disease, which was seen in our patient.1 It has been reported that some adults can have a long history of mild abdominal pain followed by an acute volvulus obstructive episode.16 Unfortunately, many of these symptoms are neither sensitive nor specific for intestinal malrotation, resulting in a difficulty to diagnose adults with malrotation. Because of this, it is difficult to say for certain whether or not our patient’s past medical history of GERD was related to his malrotation, but it is entirely possible. The patient’s presenting symptoms, however, can more easily be attributed to his pancreatic tumor. The diagnosis of malrotation in an adult with chronic abdominal pain can be established with an upper GI series, CT scan, or other abdominal imaging documenting a duodenum that does not traverse the midline or a pathognomonic whirl pattern around the SMA.17

In adults, the treatment of malrotation depends on the acuity of illness and ranges from emergent laparotomy with hemodynamic resuscitation to a total lack of treatment across a lifetime due to the condition being asymptomatic. Chronic symptoms can be treated surgically with an elective Ladd procedure, in which the surgeon assesses for volvulus with counterclockwise detorsion, and divides the Ladd band and inter-mesenteric band between loops of bowel. The Ladd procedure then proceeds with a prophylactic appendectomy due to the aberrant location of the appendix to prevent future confusion. Our patient was asymptomatic from his malrotation. The subtle Ladd’s bands were taken down during the mobilization and resection of the duodenum. Given his lack of symptoms and age, appendectomy and fixation of the cecum were not performed. A six-year review determined that close observation is acceptable in asymptomatic or mildly symptomatic patients, as in our patient with reflux disease.18 A decision analysis actually reports that there is an increased advantage of observation after the second decade of life and that the rare occurrence of midgut volvulus does not justify a prophylactic Ladd procedure in most adults.19

While the reason surgery was performed was for his glucagon-producing PNET, the emphasis of this review is on malrotation and its management during a Whipple operation. However, we found it interesting to have diagnosed and managed both of these rare entities in one patient. There have been several reported cases of pancreaticoduodenectomy in the setting of malrotation, though none for PNET. In all reported cases, the patients lacked a ligament of Treitz. Saito and colleagues report a 74 year old male patient with cholangiocarcinoma treated with pancreaticoduodenectomy.10 Unlike our patient, this patient had an SMV rotation sign, in which the SMV was left of the SMA. His postoperative course was uneventful. Another case of malrotation in the setting of pancreaticoduodenectomy was described in a 59 year-old male patient with common bile duct cancer.11 This particular patient had levocardia, malrotation, and situs ambiguous, in which the patient had a right-sided stomach and spleen, midline liver, and multiple vascular variations around the celiac axis. His postoperative course was also uncomplicated and surgery was successful. Kawahara reports a 63 year-old patient with incomplete fixation malrotation and a circulatory disorder of the small intestine making dissection very difficult.12

A review of these cases and report of a patient with pancreatic adenocarcinoma cautions the necessity of understanding the underlying vascular variants in association with malrotation.13 A vascular variant has been described in a 61 year-old male with common bile duct cancer in which the patient had a replaced common hepatic artery arising from a branch from the SMA, which coursed through the pancreas.14 The surgical team for this case removed the branches to the pancreas, but emphasized the importance of preserving blood flow to the liver. Lastly, three additional cases of pancreaticoduodenectomy within the setting of malrotation are recorded in which each patient had variations in arterial and venous supply around the celiac and mesenteric vessels, respectively.20 Outcomes in these patients were again favorable due to diligent dissection and identification of vascular structures before parenchymal division and vessel ligation. The common theme among these reports holds that diligent vascular dissection is necessary during pancreaticoduoenectomy in the setting of intestinal malrotation. Our patient had normal vascular anatomy.

Conclusion

To conclude, this is a rare case of asymptomatic malrotation in an elderly patient diagnosed during a Whipple operation for a glucagon-producing PNET. As his malrotation was an incidental finding, the subtle Ladd’s bands were taken down in the course of the operation, and he had made it to the age of 84 with minimal symptomology, the decision to perform a concomitant formal Ladd procedure was deferred. In this case, the lack of a ligament of Treitz actually facilitated resection and reconstruction and no vascular anomalies were noted. However, variations in bowel and vascular anatomy seen in patients with intestinal malrotation require caution and care on the part of the surgical team during dissection.

Lessons Learned

Asymptomatic malrotation can be missed on imaging. Pancreaticoduodenectomy in malrotated patients does not require takedown of the ligament of Treitz or bringing the jejunum retrocolic for reconstruction. While surgical dissection should be prepared for possible vascular anomalies, a concomitant prophylactic Ladd procedure is unlikely justified in the asymptomatic elderly.

Authors

Nina S. Pollack, BA
Department of Surgery
University of Arizona College of Medicine, Tucson, AZ

Kelvin Memeh, MD
Department of Surgery
University of Arizona College of Medicine, Tucson, AZ

Taylor S. Riall, MD, PhD
Department of Surgery
University of Arizona College of Medicine, Tucson, AZ

Correspondence Author

Taylor S. Riall, MD, PhD
1501 N Campbell Ave
Tucson, AZ 85724
520-626-2635
tsriall@surgery.arizona.edu

Author Contributions

All authors participated in the case.

NSP drafted the report and did an extensive literature review.

TSR and KM critically revised the draft and reviewed the literature.

Disclosure Statement

The authors whose names are listed immediately above certify that they have NO affiliations with or involvement in any organization or entity with any financial interest (such as honoraria; educational grants; participation in speakers’ bureaus; membership, employment, consultancies, stock ownership, or other equity interest; and expert testimony or patent-licensing arrangements), or non-financial interest (such as personal or professional relationships, affiliations, knowledge or beliefs) in the subject matter or materials discussed in this manuscript.

References

  1. von Flüe M, Herzog U, Ackermann C, Tondelli P, Harder F. Acute and chronic presentation of intestinal nonrotation in adults. Dis Colon Rectum. 1994 Feb;37(2):192-8.
  2. Gamblin TC, Stephens RE Jr, Johnson RK, Rothwell M. Adult malrotation: a case report and review of the literature. Curr Surg. 2003 Sep-Oct;60(5):517-20.
  3. Yanez R, Spitz L. Intestinal malrotation presenting outside the neonatal period. Arch Dis Child.1986 Jul;61(7):682-5.
  4. Devlin HB, Williams RS, Pierce JW. Presentation of midgut malrotation in adults. Br Med J. 1968 Mar 30;1(5595):803-7.
  5. Buchmiller T. Intestinal malrotation in adults. In: UpToDate, Post TW (Ed), UpToDate, Waltham, MA. (Accessed on July 24, 2017.)
  6. Durkin ET, Lund DP, Shaaban AF, Schurr MJ, Weber SM. Age-related differences in diagnosis and morbidity of intestinal malrotation. J Am Coll Surg. 2008 Apr;206(4):658-63.
  7. Schluman J, Edmonds LE, McClearn AB, Jensvold N, Shaw GM. Surveillance for and comparison of birth defect prevalences in two geographic areas - Unites States, 1983–1988. MMWR Morb Mort Wkly Rep. 1993;42:1–8.
  8. Dietz DW, Walsh RM, Grundfest-Broniatowski S, Lavery IC, Fazio VW, Vogt DP. Intestinal malrotation: a rare but important cause of bowel obstruction in adults. Dis Colon Rectum 2002;45:1381-6.
  9. Jensen RT, Cadiot G, Brandi ML, et al. ENETS Consensus Guidelines for the management of patients with digestive neuroendocrine neoplasms: functional pancreatic endocrine tumor syndromes. Neuroendocrinology. 2012;95(2):98-119. Epub 2012 Feb 15
  10. Saito Y, Miyamoto A, Maeda S, et al. A case of cholangiocarcinoma with intestinal malrotation treated with pancreaticoduodenectomy. Gan To Kagaku Ryoho. 2015 Nov;42(12): 1729-31. Japanese
  11. Lim HK, Choi YS, Lee SE, Kang H. Pancreaticoduodenectomy performed in a patient with situs ambiguous accompanied with isolated levocardia, malrotation, and normal spleen. Ann Surg Treat Res. 2014 Dec;87(6):340-4.
  12. Kawahara R, Horiuchi H, Nogita H, et al. A case of cancer of the ampulla of Vater accompanied by malrotation. Kurume Med J. 2013;60(1):33-6.
  13. Plackett TP, Takamori R, Izawa M. Pancreaticoduodenectomy in the setting of intestinal malrotation. Hawaii Med J. 2011 Nov;70(11):237-8.
  14. Hayashi T, Takano S, Kimura F, et al. A Case of cholangiocarcinoma with hepatomesenteric trunk and intestinal malrotation treated with pancreaticoduodenectomy. Gan To Kagaku Ryoho. 2010 Nov;37(12):2723-5. Japanese.
  15. Panksy, Ben. Review of Medical Embryology. New York: Macmillan, 1982. Print.
  16. Fung AT, Konkin DE, Kanji ZS. Malrotation with midgut volvulus in an adult: a case report and review of the literature. J Surg Case Rep. 2017 May 10;2017(5):rjx081.
  17. Shahverdi E, Morshedi M, Allahverdi Khani M, Baradaran Jamili M, Shafizadeh Barmi F. Utility of the CT scan in diagnosing midgut volvulus in patients with chronic abdominal pain. Case Rep Surg. 2017;2017:1079192.
  18. McVay MR, Kokoska ER, Jackson RJ, Smith SD. Jack Barney Award. The changing spectrum of intestinal malrotation: diagnosis and management. Am J Surg. 2007 Dec;194(6):712-7.
  19. Malek MM, Burd RS. The optimal management of malrotation diagnosed after infancy: a decision analysis. Am J Surg. 2006 Jan;191(1):45-51.
  20. Mateo R, Stapfer M, Singh G, Sher L, Jabbour N, Selby RR, Genyk Y. Pancreaticoduodenectomy in adults with congenital intestinal rotation disorders. Pancreas. 2005 Nov;31(4):413-5.