Unsupported Browser
The American College of Surgeons website is not compatible with Internet Explorer 11, IE 11. For the best experience please update your browser.
Menu
Become a member and receive career-enhancing benefits

Our top priority is providing value to members. Your Member Services team is here to ensure you maximize your ACS member benefits, participate in College activities, and engage with your ACS colleagues. It's all here.

Become a Member
Become a member and receive career-enhancing benefits

Our top priority is providing value to members. Your Member Services team is here to ensure you maximize your ACS member benefits, participate in College activities, and engage with your ACS colleagues. It's all here.

Become a Member
ACS
ACS Case Reviews

Giant Thoracic Lipomas: An Uncommon Presentation of a Common Malady

January 31, 2024

Abstract

Background

While typically small and easily accessible, benign lipomas can grow to massive sizes and appear anywhere in the body. Three patients presented with giant thoracic lipomas growing in unusual and difficult-to-access locations.

Summary

Patient number one presented with a 9.4 cm lipoma arising from his anterior right chest wall, diving under his clavicle superiorly and growing into his neck. Patient number two was found to have a large retrocardiac mass compressing her esophagus, causing dysphagia, measuring 17.8 cm and consistent with lipoma. Patient number three presented with chest wall pain and was found to have a 9.2 cm lipoma sandwiched between her left pectoralis major and minor muscles. All three patients underwent resection. Using the same techniques for small, easily accessible lipomas, the encapsulated masses were all easily freed from surrounding structures using blunt dissection. Surgeons should not be hesitant to attempt the removal of these large lesions based on the proximity of other major structures.

Conclusion

Benign lipomas are generally small, but they remain well-encapsulated and easy to remove—even when they are large and in inaccessible regions. Size and location should be assessed preoperatively but do not necessarily signify a difficult operation or potential incomplete resection. We present three cases of giant thoracic lipoma, all of which were resected in their entirety using the general tenets of simple lipoma surgery.

Key Words

lipoma; chest wall; thoracic surgery


Case Description

The initial case features a 47-year-old male who presented with an axillary lipoma persisting for eight to ten years. He noticed its size increase, causing pressure and discomfort when sleeping, and beginning to protrude visibly above the clavicle. Despite the proximity to the brachial plexus and major axillary vessels, the patient experienced no sensory or motor deficits in the right arm. Upon examination and CT imaging, a large mass measuring 7.6 × 9.4 × 6.6 cm was identified as growing along his lateral chest wall, deep into his axilla, and up into his neck on the right side. The mass extended posterior to the clavicle before emerging in his neck, pushing his axillary artery and vein far from their normal position (Figure 1).

The patient underwent resection with planned right axillary and supraclavicular incisions. The pectoralis major was lifted laterally to expose the mass from the axillary incision. The majority of the dissection was performed bluntly by palpation, following the same principles of a smaller, simple lipoma excision. It was well encapsulated and easily separated from all surrounding structures once in the right place. An additional infraclavicular incision was needed due to its large size to mobilize it from behind the clavicle. Operative time was 228 minutes. The patient was discharged on postoperative day two with two soft tissue drains in place due to the large space. He had mild arm numbness and issues with hand coordination postoperatively, which was resolved by the four-week postoperative visit.

Figure 1. (A and B) 3D Reconstruction (mass in red), C) Axial CT Scan (green arrow denotes mass), and D) Resected Lipoma. Published with Permission

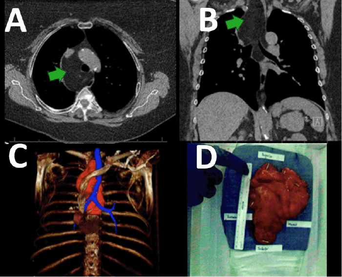
The second case involves a 65-year-old female who presented after a chest X ray was performed for a traumatic rib injury, revealing a retrocardiac mass abutting her esophagus. This measured 6.5 × 8.2 × 13.0 cm on CT scan (Figure 2). The patient underwent esophagogastroduodenoscopy with esophageal ultrasound and fine-needle aspiration. Histology was consistent with a lipoma. As a result of the large size, associated compressive effects on adjacent mediastinal structures, and a theoretical risk of degeneration into a malignancy for long-standing giant lipomas, surgical intervention was recommended. The patient underwent resection via a right lateral thoracotomy. Nearly the entire dissection was performed bluntly by palpation, with the mass easily shelling out and off of surrounding structures in one piece. Operative time was 104 minutes. The lipoma was much larger than the imaging revealed, measuring 17.8 × 13.2 × 3.1 cm. Postoperatively, the patient experienced no adverse effects and was discharged on day 5 without complications on follow-up.

Figure 2. A) Axial CT Scan (green arrow denotes mass), B) Coronal CT Scan (green arrow denotes mass), C) 3D Reconstruction (mass in red), and D) Resected Lipoma. Published with Permission

The third case is of a 40-year-old female who originally presented to the emergency room with chest pain. A CT scan discovered a left chest wall intramuscular mass, sandwiched between the pectoralis major and minor. Radiographic features were consistent with lipoma. At that time, it measured 8.1 × 5.0 × 3.6 cm. She did not present to the thoracic surgery clinic for another year and a half, at which time her chest wall pain had worsened, and the mass now measured 9.4 × 4.6 × 5.7 cm (Figure 3). She underwent resection via an incision lateral to her pectoralis major muscle. The muscle was lifted, and the mass bluntly separated off the pectoralis major and minor muscles. Blind palpation was utilized for the majority of the dissection. A drain was placed in the space, and she was discharged on POD 1. Operative time was 76 minutes. The final measurements were 9.2 × 6.7 × 4.6 cm.

Figure 3. A) Axial CT Scan (green arrow denotes mass), B) Sagittal CT Scan (green arrow denotes mass), C) 3D Reconstruction (mass in purple, airway in blue), and D) Resected Lipoma. Published with Permission

Discussion

Lipomas are subcutaneous tumors composed of adipose tissue, typically encased within a fibrous sac,1 that have been found to occur in 0.1% of the population.2,3 The majority of lipomas stabilize in size around 2 to 3 cm4, with one study finding 78% of lipomas were <5 cm in size and only 14% of patients had multiple lipomas.2 Surgical excision is almost always an elective procedure, typically for cosmetic reasons, as there is a very low risk of malignancy;3 however, success rates are high with very few serious complications.5 Recurrence of lipomas after surgical excision is uncommon and typically only occurs if the entire lipoma and its surrounding fibrous sac are not completely removed.6

A lipoma is considered a "giant lipoma" when it exceeds 10 cm in any direction or weighs more than 1000 g.7 Treatment is typically similar to the excision of a smaller lipoma. Old age, the presence of thick septa, the presence of nodular or non-adipose areas, and decreased percentage of fat composition are warning signs for liposarcoma rather than benign lipoma.8 Large size is sometimes regarded as a risk factor for liposarcomas; however, none of the three cited cases were found to be malignant despite growing very large. For this reason, if the other features of a giant lipoma are consistent with a benign lipoma, they should be treated the same as a small lipoma. Despite the significant variation in the size, location, and composition of some lipomas, most can be freely removed completely intact once the fibrous capsule has been dissected in the proper plane from the surrounding tissues to which it was adhered.

Though the vast majority of lipomas are small, predictable, and benign, a review of the literature shows that lipomas can rarely occur in almost any location and can grow to immense sizes.9 We present three giant lipomas in uncommon locations. Despite the size and complex locations, they were easily removed using the same tenets of small lipoma excisions—dissect in the correct plane and blunt dissection to shell out the lesion. These operations are often elective, and physical discomfort or cosmetic appearance is the most common reason patients seek removal.

In the first case, the lipoma was steadily growing and causing some minor discomfort; however, aesthetics was the primary reason for removal. This is the most common reason lipomas are removed, as they can be perceived as unsightly and obtrusive. The second and third cases demonstrate the other most common reason for lipoma removal: functional issues related to mechanical obstruction. In some cases, this may be an impingement of nerves or a mass effect on surrounding structures. Despite different indications for the lipoma excision, all three patients had commonalities in the procedure, most notably the ease with which the mass was removed once the capsule was freed from surrounding structures. Despite their massive size, the lipomas all acted in a manner characteristic of smaller lipomas in that they were removed completely intact within their fibrous capsules, which dramatically increases the chance of complete removal, diminishing the likelihood of recurrence.

Conclusion

Most benign lipomas, even of giant size, are generally well encapsulated. The size and location are important in determining many of the risks of surgery, but these alone do not distinctly signify a difficult or incomplete excision. Our cases demonstrate the propensity for even the largest and most inconveniently located lipomas to remain encapsulated and be easily removed once the fibrous casing has been dissected from the surrounding tissues.

Lessons Learned

Giant thoracic lipoma is an unusual tumor that can cause discomfort, compression of surrounding structures, and significant deformity. While the size and location of imaging may lead to concerns about resectability, most are well-encapsulated and can be easily removed. The usual principles of simple lipoma resection should be followed.

Acknowledgments

The authors thank the Huntsman Cancer Institute and the University of Utah Division of Cardiothoracic Surgery.

Authors

Mitzman Ba,b; Armstrong Bb; Clark Ra; Stringham Ja,c; Varghese TK Jra,c

Author Affiliations

  1. Division of Cardiothoracic Surgery, University of Utah, Salt Lake City, UT 84132
  2. University of Utah School of Medicine, Salt Lake City, UT 84132
  3. Huntsman Cancer Institute, Salt Lake City, UT 84112

Corresponding Author

Brian Mitzman, MD, FACS
University of Utah
Division of Cardiothoracic Surgery
30 N. 1900 East, #3C127 SOM
Salt Lake City, UT 84132
Email: brian.mitzman@hsc.utah.edu

Disclosure Statement

Dr. Brian Mitzman is a proctor for Intuitive Surgical.

Funding/Support

The authors have no relevant financial relationships or in-kind support to disclose.

Received: March 9, 2022
Revision received: May 10, 2022
Accepted: May 25, 2023

References

  1. Charifa A, Azmat CE, Badri T. Lipoma Pathology. In: StatPearls. Treasure Island (FL): StatPearls Publishing; December 5, 2022.
  2. Rydholm A, Berg NO. Size, site and clinical incidence of lipoma. Factors in the differential diagnosis of lipoma and sarcoma. Acta Orthop Scand. 1983;54(6):929-934. doi:10.3109/17453678308992936
  3. Morrell N, Quinn R, Miller J. Lipoma. OrthoInfo. Retrieved from https://orthoinfo.aaos.org/en/diseases--conditions/lipoma.
  4. Kolb L, Yarrarapu SNS, Ameer MA, Rosario-Collazo JA. Lipoma. In: StatPearls. Treasure Island (FL): StatPearls Publishing; August 8, 2023.
  5. Salam GA. Lipoma excision. Am Fam Physician. 2002;65(5):901-904.
  6. Al-basti HA, El-Khatib HA. The use of suction-assisted surgical extraction of moderate and large lipomas: long-term follow-up. Aesthetic Plast Surg. 2002;26(2):114-117. doi:10.1007/s00266-002-1492-1
  7. Gungor M, Sir E, Aksoy A, Agirbas S. Giant lipoma extending into two thigh canals: A case report. Acta Orthop Traumatol Turc. 2017;51(3):270-272. doi:10.1016/j.aott.2017.03.010
  8. Kransdorf MJ, Bancroft LW, Peterson JJ, Murphey MD, Foster WC, Temple HT. Imaging of fatty tumors: distinction of lipoma and well-differentiated liposarcoma. Radiology. 2002;224(1):99-104. doi:10.1148/radiol.2241011113
  9. Mello DF, Manica MZ, Junior AH. Giant lipomas: a 14-case series. Rev Bras Cir Plást. 2015;30:33–7.