Unsupported Browser
The American College of Surgeons website is not compatible with Internet Explorer 11, IE 11. For the best experience please update your browser.
Menu
Become a member and receive career-enhancing benefits

Our top priority is providing value to members. Your Member Services team is here to ensure you maximize your ACS member benefits, participate in College activities, and engage with your ACS colleagues. It's all here.

Become a Member
Become a member and receive career-enhancing benefits

Our top priority is providing value to members. Your Member Services team is here to ensure you maximize your ACS member benefits, participate in College activities, and engage with your ACS colleagues. It's all here.

Become a Member
ACS
Case Reviews in Surgery

A Rare Case of Sigmoid Adenocarcinoma Presenting with Coloenteric, Colosubcutaneous, and Colovesicular Fistulas

A Rare Case of Sigmoid Adenocarcinoma Presenting with Coloenteric, Colosubcutaneous, and Colovesicular Fistulas

March 9, 2020

Abstract

Background

A 67-year-old female patient presented with vague and subtle subjective complaints of which was found to have locally advanced sigmoid adenocarcinoma complicated by multiple fistulous complications.

Summary

We describe a 67-year old female whose colon cancer was diagnosed after presenting with symptoms related to fistulous complications. Her chief complaint was 2 weeks of progressive, left-sided flank pain. On computed tomography (CT) she was found to have a large subcutaneous fluid collection with air along her left flank with a fistula extending to a 6cm mass in the sigmoid colon along with additional fistulas between the mass and the urinary bladder and ileum. Flexible sigmoidoscopy with biopsies confirmed an obstructing adenocarcinoma of the sigmoid colon. Initial source control of infectious complications was performed with a left flank incision, drainage, and washout. There was no evidence of metastatic disease, thus curative surgical management was pursued with left hemicolectomy with end colostomy. The mass and fistulous tracts were resected which also required a small bowel resection. Post-operatively the patient has recovered well and has received adjuvant chemotherapy.

Conclusion

We describe this unusual case of a sigmoid colon adenocarcinoma initially presenting with extensive fistulous complications and discuss the etiologies and clinical symptoms of various colonic fistulas. These complications typically present with a wide variety of symptoms including weight loss, diarrhea, abdominal pain, and feculent discharge from both vagina and urethra.

Key Words

sigmoid, fistula, coloenteric, colovesical, colocolic, colovaginal


Case Description

A 67-year-old, morbidly obese female presented to the emergency department with a two-week history of fatigue and left-sided flank pain. Her medical history included breast cancer treated three years prior with chemoradiotherapy and radical mastectomy and chronic iron deficiency anemia. Her risk of developing colorectal cancer was considered that equal to the general population and she did not undergo routine screening. Patient was a non-toxic appearing, obese female with tender fluctuance along her left flank. Laboratory analysis showed microcytic anemia (hemoglobin-9.7 gm/mL, MCV-75), leukocytosis (total leukocyte count-14,800 cells/mm3), and acute kidney injury (creatinine 3.2 mg/dL, serum urea-88 mg/dL). Computed tomography without contrast showed a large subcutaneous air/fluid collection concerning for abscess along the left lateral abdominal wall with a fistulous communication to the sigmoid colon (Figure 1 and Figure 2). There were also inflammatory changes within the sigmoid colon with additional fistulas to the ileum and urinary bladder. The patient was started on intravenous fluids, antibiotics, and analgesics. Flexible sigmoidoscopy revealed a circumferential, obstructing, fungating, and friable sigmoid mass concerning for adenocarcinoma (Figure 3) which was confirmed by biopsy. Incision, drainage and washout of the flank abscess was performed for source control which yielded copious feculent material. Metastatic disease was absent on staging CT imaging thus surgical management with curative intent was pursued.

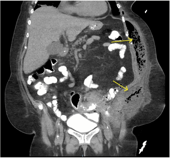
Figure 1. Inflammatory changes about the sigmoid colon with a fistulous connection to the left lateral abdominal wall with a large collection of air, fluid and likely fecal material (yellow arrows).
Figure 1. Inflammatory changes about the sigmoid colon with a fistulous connection to the left lateral abdominal wall with a large collection of air, fluid and likely fecal material (yellow arrows).

Figure 1. Inflammatory changes about the sigmoid colon with a fistulous connection to the left lateral abdominal wall with a large collection of air, fluid and likely fecal material (yellow arrows).

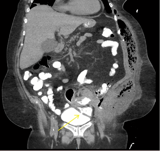
Figure 2. Enteric contrast opacifies the bladder with a fistulous connection to sigmoid colon (yellow arrow).
Figure 2. Enteric contrast opacifies the bladder with a fistulous connection to sigmoid colon (yellow arrow).

Figure 2. Enteric contrast opacifies the bladder with a fistulous connection to sigmoid colon (yellow arrow).

Figure 3. Endoscopic appearance of near circumferential, fungating and friable sigmoid mass.
Figure 3. Endoscopic appearance of near circumferential, fungating and friable sigmoid mass.

Figure 3. Endoscopic appearance of near circumferential, fungating and friable sigmoid mass.

The sigmoid colon was dissected free from the abdominal wall, revealing the fistulous connection to the left flank. The abdominal wall excised back to healthy tissue, but due to the necrotic nature of the tissue, frozen sections were not pursued. The tumor also formed fistulae to the bladder wall and to the terminal ileum, approximately 20 cm from the ileocecal valve. Fifteen centimeters of the terminal ileum was resected with the colon specimen. The fistula to the bladder was then excised. A leak test was performed which did not show any clear defect, so no repair was necessary. A left hemicolectomy with transverse end colostomy was ultimately performed.

Pathology of the sigmoid mass revealed a 6-cm x 5-cm moderately differentiated adenocarcinoma with clear margins and 0/19 lymph nodes positive consistent with pT4bN0M0 consistent with stage IIC. Within the resected ileum, extensive serosal adhesive disease with inflammation and mural abscesses was encountered though devoid of malignant extension. Following multiple washouts and debridements, her flank wound was eventually closed. Post-operatively she recovered well. Adjuvant chemotherapy with capecitabine was initiated due to concern for residual tumor in the abdominal wall.

Discussion

Though colorectal cancer is complicated by spontaneous perforation in up to 12% of cases, fistulas are an uncommon occurrence, albeit a recognized complication.1,2,3,8,11 Fistulous complications occur in less than 10% of colon cancers as a result of locally advanced disease.1 Patients with fistulous complications typically present with gastrointestinal hemorrhage, and obstruction. In contrast, our patient presented with non-specific symptoms of flank pain and fatigue. Fistulizing colonic adenocarcinoma occur most often in the sigmoid colon and can involve adjacent colon (colocolic), urinary bladder (colovesical), small intestine (coloenteric), abdominal wall (colocutaneous) and/or vagina (colovaginal).2,5 Among patients with sigmoid colon cancer, approximately 20% develop fistulas as a result of local necrosis. Fistulas are associated with intra-abdominal abscesses approximately 44% of the time.10 The morbidity associated with fistulous disease can be minimized early as the formation of fistulae are a late complication of detection of tumor growth.6

Patients with fistulous complications may be asymptomatic but usually present with systemic illness, abdominal or urinary complaints, depending on the involved organs and patency of the fistulous tracts. Sepsis, volume depletion, electrolyte imbalances, and bleeding are the most common presenting symptoms. As an example, coloenteric fistulas can present with diarrhea and nutrient deficiencies. Diarrhea may be caused by short bowel syndrome, bile salt deficiency, or small intestinal bacterial overgrowth. Malnutrition and micronutrient deficiencies can present with macrocytic anemia, alopecia, dermatitis, night blindness, cachexia and unintentional weight loss.7,9,10 Colovaginal and colovesicular fistulas often present with feculent vaginal fluid or urine, respectfully.

Etiologies for sigmoid fistulous disease includes colonic adenocarcinoma, complicated diverticulitis, Crohn's disease, stercoral ulcerations, vasculitis and ischemia. In addition to history and physical examination, abdominal CT and endoscopy are often sufficient for diagnosis and should be utilized early in presentation. CT is the most accurate modality in demonstrating small fistulous tracts which appear as mucosal wall thickening with adjacent inflammatory changes/pericolic fat stranding with associated air pockets. Endoscopy has advantages of direct visualization with tissue acquisition. With the addition of fluoroscopy, it is possible, although sometimes difficult to localize fistulae if not conspicuous.4 Treatment focuses on addressing the underlying etiology, as in our case with early definitive surgical infection control, tumor resection, staging, and adjuvant chemotherapy.

Rarely do patients have fistulous complications as an initial presentation of their colon cancer. We speculate that this patient's colon adenocarcinoma had an exuberant inflammatory component given extensive fistulizing disease without local or distant metastasis.

Conclusion

This case highlights that locally advanced colonic adenocarcinoma may present with fistulous complications and subtle subjective complaints. To our knowledge this is the first reported case of a patient initially presenting with multiple fistulous complications as a result of a locally advanced sigmoid adenocarcinoma.

Lessons Learned

The presence of fistulous complications associated with sigmoid adenocarcinoma does not necessarily indicate metastatic disease. Early detection of colonic neoplasm can minimize morbidities associated with surgical management to repair fistulous complications.

Authors

Zachary S. Neubert, DO
Naval Medical Center San Diego
United States Navy
Departments of Gastroenterology & Surgery
San Diego, CA

Jan-Michael Van Gent, DO
Naval Medical Center San Diego
United States Navy
Departments of Gastroenterology & Surgery
San Diego, CA

R. Daniel Lawson, MD
Naval Medical Center San Diego
United States Navy
Departments of Gastroenterology & Surgery
San Diego, CA

Correspondence Author

MAJ Zachary S. Neubert, DO
United States Navy
Department of Gastroenterology
Naval Medical Center San Diego
San Diego, CA 92134
Phone: 619-253-9725
Email: zachary.s.neubert.mil@mail.mil

Disclosure Statement

The authors have no conflicts of interest to disclose.

The views expressed in this article are those of the author(s) and do not necessarily reflect the official policy or position of the Department of the Navy, Department of Defense, or the U.S. Government.

References

  1. Yamada K, Miyakura Y, Koinuma K, Horie H, Lefor A, Yasuda Y, Fukushima N, Oyama Y, Nemoto Y, Azuma H. Primary and secondary adenocarcinomas associated with anal fistulae, Surgery Today. 2014;44:5.
  2. Lim C, Kim S, Kim J, Cho Y, Park J, Lee I. Successful palliation of a gastrocolic fistula secondary to gastric cancer by insertion of a covered colonic stent. Gastrointest Endosc. 2011;73:1314-1317.
  3. Nagaraja R, Kudva A, Prasad N. Spontaneous colocutaneous fistula: A rare presentation of colon carcinoma. Internet J Surg. 2008;15:1.
  4. Speights V, Johnson M, Stoltenberg P, Rappaport E, Helbert B, Riggs M. Colorectal cancer: Current trends in initial clinical manifestations. South Med J. 1991;84:575-578.
  5. Tenreiro N, Ferreira C Silva S. Locally advanced colon cancer with cutaneous invasion: case report. BMC Res Notes. 2017;10:113.
  6. Jethwani U, Bansal A, Kandwal V. Spontaneous enterocutaneous fistula due to colonic malignancy: A rare case report. Archives of International Surgery. 2013;3:147-149.
  7. Vergara-Fernandez O, Gutierrez-Grobe Y, Lavenant-Borja Y. Gastrocolic fistula secondary to adenocarcinoma of the transverse colon: a case report. J Med Case Rep. Oct 2015;27:9:263.
  8. Zanghi G, Leanza V, Vecchio R. Neoplastic sigmoid-uterine fistula. An exceptional complication of large intestine cancer. G Chir. Jan 2017;38:37-40.
  9. Zhou B, WeiHua L. A Case of Gastrocolic Fistula Secondary to adenocarcinoma of the colon. International Journal of Surgery Case Reports. 2015;15:46-49.
  10. Griseldan P, Rudresh H, Aishwaryab K, Tippani D, Aruna C. Malignant Colojejunal Fistula First Discovered on CT: A Case Report. J Clin Diagn Res. Nov 2014;8(11):01-03.
  11. Wadhwani N, Deepak K. Localised perforation of locally advanced transverse colon cancer with spontaneous colocutaneous fistula formation: a clinical challenge. BMJ Case Reports. Apr2018.