Unsupported Browser
The American College of Surgeons website is not compatible with Internet Explorer 11, IE 11. For the best experience please update your browser.
Menu
Become a member and receive career-enhancing benefits

Our top priority is providing value to members. Your Member Services team is here to ensure you maximize your ACS member benefits, participate in College activities, and engage with your ACS colleagues. It's all here.

Become a Member
Become a member and receive career-enhancing benefits

Our top priority is providing value to members. Your Member Services team is here to ensure you maximize your ACS member benefits, participate in College activities, and engage with your ACS colleagues. It's all here.

Become a Member
ACS
ACS Case Reviews

Laparoscopic Repair of Traumatic Intrapericardial Diaphragmatic Hernia

May 8, 2023

Abstract

Background

Traumatic intrapericardial diaphragmatic hernia (IDH) is a very rare type of diaphragmatic hernia, with less than 85 cases reported to date, 48 of which were due to trauma, and only five patients were operated on laparoscopically. Blunt abdominal trauma is the leading cause of such injury. The diagnosis of traumatic IDH is a clinical challenge owing to variations in its presentation: it can be asymptomatic or symptomatic, involving abdominal, respiratory, or cardiac symptoms. Because the symptoms referable to adult IDH can be incapacitating or life-threatening, it is important to arrive at a correct diagnosis preoperatively. Further, because the defect is located in the central diaphragm below the heart, a laparoscopic abdominal approach is preferred to minimize postoperative complications and improve patients' outcomes. The existing literature describes open, laparoscopic, transthoracic, and transabdominal interventions for IDH.

Summary

We presented the case of a 49-year-old man who sustained blunt thoracoabdominal and pelvic trauma after falling from a height. At presentation, he was hypotensive and responded to intravenous fluid resuscitation. Computed tomography showed a herniated stomach in the pericardial space incurring pressure on the heart, leading to cardiac tamponade. We performed a nasogastric tube insertion and decompressed the patient's stomach to reduce herniation, easing pressure on the heart and improving blood pressure. Subsequently, laparoscopic repair of the diaphragm defect was performed using a nonabsorbable suture and mesh. The surgery was uneventful, and the patient recovered postoperatively with no complications.

Conclusion

An unusual presentation of cardiac tamponade due to a herniated stomach in cases of trauma can be lethal; however, this can be temporarily resolved by inserting a nasogastric tube to reduce herniation before surgery. If adequate facilities and expert surgeons are available, laparoscopic intervention to repair the ruptured diaphragm is an acceptable option to minimize postoperative morbidities and shorten hospital stays.

Key Words

blunt abdominal trauma; herniated stomach; intrapericardial diaphragmatic hernia; laparoscopic repair; ruptured diaphragm

Abbreviations

intrapericardial diaphragmatic hernia: IDH
intravenous fluid: IVF
nasogastric tube: NGT
traumatic diaphragmatic hernia: TDH


Case Description

A 49-year-old man presented to the emergency department after falling from a height of approximately ten meters while performing construction work. The patient was transported in an ambulance within 25 minutes of the incident. On arrival, the patient complained of left-sided chest pain and hip pain. The primary survey for trauma was performed; he was conscious and alert, his blood pressure was 60/40 mmHg, and his pulse rate was 123 beats/min. Intravenous (IV) lines were inserted, and his blood was sent for blood grouping and cross-matching. Intravenous fluid (IVF) resuscitation with 2 L of Ringer's lactate solution was initiated; his blood pressure increased to 100/70 mmHg, and oxygen saturation was above 95% on a nasal cannula, with a flow rate of 2 L/min. He had tenderness on both sides of the chest wall, with a mild decrease in air entry on the left side; the abdomen was soft, with tenderness in the epigastric area and left side of the pelvis. He could not move his left leg, and a pelvic binder was applied.

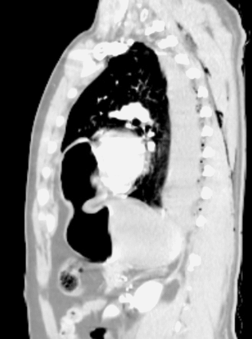
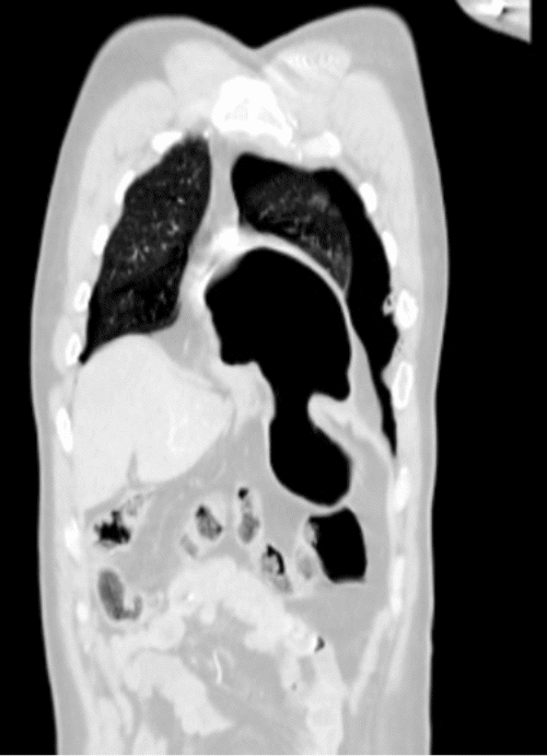
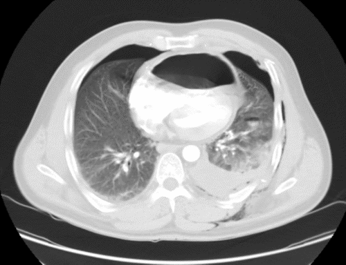
The patient's condition stabilized, and the pain was controlled with analgesia. CT showed no brain injury, but there were multiple left-sided comminuted rib fractures with displacement along the posterior and lateral aspects. In addition, it revealed the presence of hydropneumothorax; lung contusion with thoracic wall subcutaneous emphysema; right-sided mild pneumothorax; undisplaced fracture of the sternal body; herniation of the stomach into the pericardial cavity (Figure 1); no intraabdominal fluid or air and no solid organs injury; fracture of the transverse processes of the L3/L4 and L5 vertebrae; fractures of the left glenoid bone and left pelvic bone; multiple comminuted displaced fractures involving the iliac, acetabular, and pubic bones, with the displacement of the iliac bone fractures; right inferior pubic ramus nondisplaced fractures; and fracture of the left sacral alar and proximal left sacral segments (Figure 2).

Figure 1. CT of Herniated Stomach into Pericardial Space. A) Scout, (B) Axial, (C) Sagittal, and (D) Coronal Views. Published with Permission

A) Scout View
A) Scout View
B) Axial View
B) Axial View
C) Sagittal View
C) Sagittal View
D) Coronal View
D) Coronal View

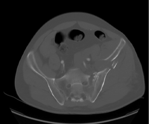
Figure 2. Bone CT of Pelvic Fracture. A) Axial, B) Sagittal, and C and D) Coronal Views. Published with Permission

A) Axial View
A) Axial View
B) Sagittal View
B) Sagittal View
C) Coronal View
C) Coronal View
D) Coronal View
D) Coronal View

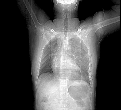
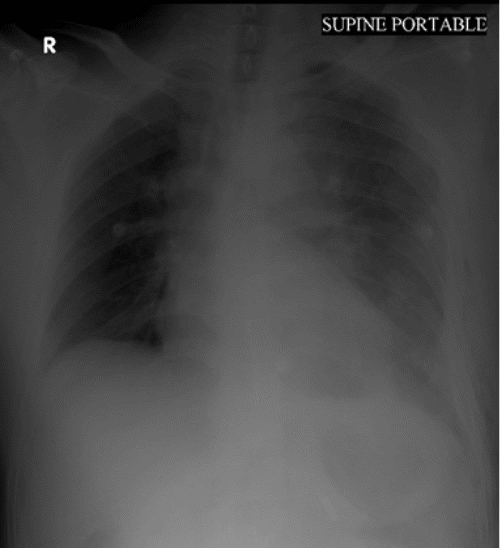
The patient was admitted to the intensive care unit (ICU) for further assessment before the surgery; his blood pressure was approximately 90/50 mmHg, and his pulse rate was 120 beats/min, which might be related to the herniated stomach inside the pericardial cavity, causing cardiac tamponade with hypotension and tachycardia. The nasogastric tube (NGT) was inserted, and approximately 300 mL (0.3 × 10-3 m3) of gastric content was aspirated. The patient felt better, which could be related to the reduction of the herniated stomach inside the abdominal cavity from the pericardial space. A few minutes later, his blood pressure increased to 105/75 mmHg, and his pulse rate decreased to 100 beats/min. A portable chest X ray film showed the absence of gastric gas in the pericardial space and NGT in the stomach (Figure 3).

Figure 3. Portable Chest Radiography Showing Absence of Gastric Gas in Pericardium After Inserting Nasogastric Tube. Published with Permission

As the patient was hemodynamically stable and there was no internal bleeding, we decided to proceed with laparoscopic surgery with the possibility of conversion at any time if the patient became hypotensive. The patient signed the consent form and underwent surgery after proper preparation. Following induction of anesthesia, bilateral 28-Fr chest tubes (Polymed Medical Devices, Haryana, India) were inserted; 200 mL (0.2 × 10-3 m3) of blood was drained from the left tube, while the right tube did not have any observable output. The patient was stable enough to proceed to laparoscopic surgery. The abdominal cavity was approached from a supraumbilical incision using the open Hasson technique. Two 5-mm trocars (Covidien, Mansfield, MA, USA) were inserted from the left and right subcostal areas under laparoscopic visualization. Upon entering the abdominal cavity, we observed a central diaphragmatic defect communicating with the pericardial space. The heart was seen beating through the 8 cm diaphragmatic defect, with no perceptible damage or free blood in the abdomen (Figure 4). There was a small injury on the edge of the left lobe of the liver without any active bleeding, the stomach was mildly distended with no perceptible injury, there was no splenic injury, and the bowel and mesentery looked normal and healthy. The defect was closed by running a 2-0 tension-free, nonabsorbable suture; three interrupted stitches were placed along the suture line for reinforcement, and a composite mesh of 10 × 15 cm (Symbotex™ composite mesh; Covidien, Walpole, MA, USA) was used to cover the repair and was fixed to the diaphragm with absorbable tacks (AbsorbaTack™; Covidien, Walpole, MA, USA) (Figure 5).

Figure 4. Intraoperative View of Ruptured Central Diaphragm with Clear Window to Pericardial Space. A) Remote and B) Close Views. Published with Permission

A) Remote View
A) Remote View

Figure 5. Intraoperative Laparoscopic Repair of Diaphragmatic Defect. A and B) Defect Closure; C) Composite Mesh Applied After Defect Closure. Published with Permission

A) Defect Closure
A) Defect Closure
B) Defect Closure
B) Defect Closure
C) Composite Mesh Applied After Defect Closure
C) Composite Mesh Applied After Defect Closure

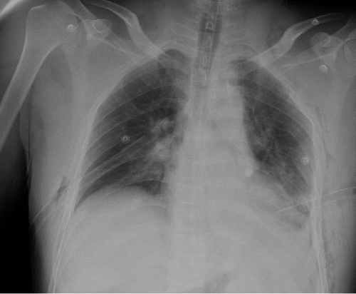
The surgery was uneventful, and the patient was stable throughout the procedure. After surgery, he was kept intubated and transferred back to the ICU for close observation (Figure 6). He received two units of blood during and after surgery. The patient was extubated after less than 12 hours in the ICU and started on clear fluid in less than 24 hours post-surgery. After two days, he was transferred to the regular surgical ward and was followed up for bilateral pneumothorax and pelvic fracture by the thoracic and orthopedic teams. He resumed a regular diet 72 hours later without any complications. He was discharged four days post-surgery and was followed up by the orthopedic team; the chest tubes on the right and left sides were removed three and five days post-surgery, respectively.

Figure 6. Post-surgery Chest Radiography Showing Bilateral Chest Tubes in Place. Published with Permission

Discussion

Traumatic diaphragmatic hernia (TDH) remains a diagnostic challenge. The associated injuries determine the outcome in cases identified early, whereas the outcome of latent cases depends on the consequence of the diaphragmatic rupture.1 A blunt diaphragmatic injury is detected in approximately 0.8%-1.6% of trauma patients admitted to the hospital. However, because the diagnosis is missed in 7%-66% of multiple trauma cases, the actual incidence may be slightly higher than that reported.1 Although most studies report that blunt thoracoabdominal trauma is the most common cause of TDH, few studies have reported penetrating trauma as responsible in the reported cases. Pericardial hernia, defined as the protrusion of the abdominal viscera through the central tendon of the diaphragm into the pericardium, is an extremely rare type of diaphragmatic hernia, the exact incidence of which is unknown.2 Its clinical presentation varies from being completely asymptomatic to exhibiting abdominal, respiratory, or cardiac symptoms. It can also lead to cardiac tamponade.2

The largest systematic review published in December 2019, concerning pericardial hernias of all causes in 85 patients, reported that most causes (56.5%) were related to trauma, followed by iatrogenic interventions (30.6%). Pericardial hernia mainly affects men aged 30-60 years;2 this is consistent with a retrospective review of 50 cases of classic TDH, which reported a more common incidence of pericardial hernia in men than in women, with a male/female ratio of 5.25:1.3 In another review, TDH was diagnosed preoperatively in 20 patients (40%).3 According to this review, the transverse colon and greater omentum were the most frequently herniated abdominal organs, followed by the stomach.4 In our case, the patient was a 49-year-old man who presented to our hospital after a fall from a height of 10 meters, which resulted in a massive blunt thoracoabdominal injury and pericardial hernia; this was contrary to the findings of the above review that stated that the stomach is the frequently herniated organ.

The general mechanics of blunt injuries, as in vehicle accidents and falls from great heights, result from a sudden increase in the intraabdominal pressure, causing an increase in the transdiaphragmatic pressure in the thorax, which can be ten-fold of the normal pressure gradient. It more commonly affects the left side because the liver protects the right side. Moreover, there is a theory that the left hemidiaphragm is weak at its points of embryonic fusion.1 Acute diaphragmatic injuries may be life-threatening owing to ventilation impairment, but more commonly, the associated injuries are the major life-threatening entities. The patient in our case presented with a concurrent severe chest wall injury resulting in bilateral hemopneumothorax, pelvic fractures, and vertebral fractures. In addition, he presented with shock, which is expected to be multifactorial in a polytrauma patient. Cardiac tamponade was a potential diagnosis because hypotension and tachycardia did not completely improve with IVF resuscitation but improved shortly after the insertion of an NGT and aspiration of the gastric content, which caused cardiac compression and tamponade. Preoperative NGT insertion helps eliminate gastric distention, enabling cardiopulmonary decompression and facilitating organ reduction.1 In our case, the prompt insertion of an NGT and aspiration of 300 mL (0.3 × 10-3 m3) of gastric content relieved the cardiac compression, improved the blood pressure and heart rate and facilitated the reduction of the preoperative herniated stomach.

The diagnosis of pericardial rupture, similar to classic diaphragmatic injury, is not easily made and mainly depends on heightened awareness. However, in cases of severe trauma with a large diaphragmatic defect, intra-abdominal organ herniation develops immediately, with significant clinical and radiological findings, which facilitate early diagnosis and proper immediate management,1 similar to our case. CT is a valuable imaging modality with a sensitivity and specificity of 54%-73% and 86%-90%, respectively.1 In addition, it is the gold standard for diagnosing pericardial hernia as it reveals the herniation of abdominal organs into the pericardial space.2 In our case, contrast-enhanced, full-body trauma CT was performed, which revealed intrapericardial gastric herniation causing restriction of the pericardial cavity and displacement of the heart. Moreover, it was sufficient to confirm the diagnosis of a pericardial hernia.

In cases with herniated organs, surgical reduction and closure of the diaphragmatic defect are the treatment of choice.1,2 Surgical dogmas suggest that in cases of acute herniation secondary to thoracoabdominal trauma, especially on the left side, and in pericardial hernias, abdominal approaches provide the best mode of diaphragmatic repair, providing excellent exposure to the diaphragmatic defect and allowing for the concomitant treatment of any abdominal injury.1,2 The laparoscopic or thoracoscopic approach can be considered for acute and stable cases,1. Still, in cases of pericardial hernia, cardiac tamponade due to gas insufflation is a possible complication of the laparoscopic approach.2 In this case, the herniated stomach was reduced before surgery, eliminating such complications. Recent meta-analyses have favored laparoscopic evaluation and minimally invasive approaches to repair TDH, especially if expertise is available and no extensive injuries are noted. The benefits of a laparoscopic approach include shorter stay, less post-surgical pain, earlier return to work, and reduced rate of complications.2,3 In our case, the patient was stabilized, diagnosis of pericardial hernia was confirmed without significant intrathoracic or intraabdominal organ injury. Thus, as good laparoscopic expertise was available, laparoscopic exploration and repair was the approach of choice. Preoperative bilateral chest tube insertion was adequate to manage the concurrent bilateral hemopneumothorax.

Usually, lacerations are repaired with one layer of no. 0 or 1 monofilament nonabsorbable interrupted, tension-free, watertight sutures,3 while some authors advocate a two-layer closure for defects >2 cm.1 The use of a prosthetic mesh may be indicated occasionally for patients with large defects.1 Zhang et al. showed that mesh augmentation of hiatal hernias had better results in terms of recurrence than simple suturing of the diaphragmatic defect.2 According to The Organ Injury Scaling Committee of the American Association for the Surgery of Trauma classification of diaphragmatic injuries from grade I to V, our case with a defect of 8 cm was classified as grade III (laceration 2–10 cm)1; hence, we preferred to support this large defect with a prosthetic mesh. Postoperative ventilatory support may be required in significant thoracic or multiple trauma cases and postoperative atelectasis; respiratory complications can be minimized with aggressive pulmonary support.1

In the literature, mortality rates vary from 1% to 28%, depending on proper management and the associated injuries.1 However, because the available data concerning morbidity and mortality are limited and extend over six decades, we cannot reach safe conclusions by comparing the laparoscopic with the open approach.2 According to a systematic review, 75% of patients remained in the hospital for less than 11 days postoperatively.2 In our case, the postoperative period was uneventful. The patient was discharged after four days; however, the concurrent orthopedic injuries required further care and resulted in a longer hospital stay.

Conclusion

Traumatic diaphragmatic rupture is common in patients with severe polytrauma. Still, its subcategory—the intrapericardial type of hernia—is extremely rare and can be associated with critical cardiac compression and tamponade. The patient's survival depends on concomitant injuries, early recognition, diagnosis, and suitable management; laparoscopic repair has a good outcome in selective stable cases.

Lessons Learned

Traumatic intrapericardial hernia post-blunt thoracoabdominal injuries are rare and lethal if not diagnosed early and managed correctly. In our case, the herniated stomach pressured the pericardial space, causing cardiac tamponade. Nasogastric tube insertion stabilized the patient before surgery; thus, trauma patients can undergo laparoscopic surgery after appropriate perioperative care.

Acknowledgments

We want to thank Editage (www.editage.com) for English language editing.

Authors

Maasher Aa; Hassan Sb; Yehya Mc; AlDulaimi Qb

Author Affiliations

Department of Surgery, Saqr Hospital, Emirates Health Services, Ras Al Khaimah, United Arab Emirates

Corresponding Author

Ahmed Maasher, MD, FACS
Department of General, Thoracic & Vascular Surgery
Saqr Hospital, Emirates Health Services
PO Box 5450
Ras Al Khaimah
United Arab Emirates
Email: maashermd@gmail.com

Disclosure Statement

The authors have no conflicts of interest to disclose.

Funding/Support

The authors have no relevant financial relationships or in-kind support to disclose.

Received: April 18, 2021
Revision received: July 19, 2021
Accepted: August 19, 2021

 

References

  1. Schizas D, Katsaros I, Karatza E, et al. Pericardial hernias in adults: a systematic review of the literature. Interact Cardiovasc Thorac Surg. 2020;30(3):353-358. doi:10.1093/icvts/ivz292
  2. Reina A, Vidaña E, Soriano P, et al. Traumatic intrapericardial diaphragmatic hernia: case report and literature review. Injury. 2001;32(2):153-156. doi:10.1016/s0020-1383(00)00151-0
  3. Keith A. Remarks on diaphragmatic herniae. Br Med J. 1910;2(2600):1297-1298. doi:10.1136/bmj.2.2600.1297
  4. van Loenhout RM, Schiphorst TJ, Wittens CH, Pinckaers JA. Traumatic intrapericardial diaphragmatic hernia. J Trauma. 1986;26(3):271-275. doi:10.1097/00005373-198603000-00011