Unsupported Browser
The American College of Surgeons website is not compatible with Internet Explorer 11, IE 11. For the best experience please update your browser.
Menu
Become a member and receive career-enhancing benefits

Our top priority is providing value to members. Your Member Services team is here to ensure you maximize your ACS member benefits, participate in College activities, and engage with your ACS colleagues. It's all here.

Become a Member
Become a member and receive career-enhancing benefits

Our top priority is providing value to members. Your Member Services team is here to ensure you maximize your ACS member benefits, participate in College activities, and engage with your ACS colleagues. It's all here.

Become a Member
ACS
ACS Case Reviews

Torsion of a Mesenchymal Hamartoma in an Accessory Liver

May 8, 2023

Abstract

Background

An otherwise healthy 17-year-old male presented to the hospital with four days of dull, unrelenting right upper quadrant and epigastric pain.

Summary

Laboratory evaluation revealed normal hepatic function, white blood cell count, and chemistry profile. Our patient underwent radiographic work-up revealing a cystic mass in the right upper quadrant closely associated to the porta hepatis. There was no apparent connection with the biliary tree or evidence of cholelithiasis. An exhaustive work-up failed to determine the exact etiology of the structure. On surgical exploration, a mass was identified in the sub-hepatic space inferior to segment 4B of the liver with evidence of inflammation. The mass was connected by a torsed pedicle inferiorly to the porta hepatis. The pedicle was controlled with suture ligation. Pathology was consistent with a mesenchymal hamartoma in an accessory liver with evidence of torsion. He was discharged home on postoperative day 1. The patient recovered well and had resolution of his pain.

Conclusion

Mesenchymal hamartomas are a rare entity, especially in older children and adults. It is exceedingly rare to be present in an accessory liver. This presentation of abdominal pain due to torsion of an accessory liver hamartoma is one of only three reported in the literature. This case highlights the role of surgical exploration when the diagnosis is unclear.

Key Words

accessory liver; mesenchymal hamartoma; torsion


Case Description

A 17-year-old male presented to the emergency room with four days of right upper quadrant and dull epigastric abdominal pain, ranking 6-8 out of 10 in intensity. There was no relation to eating, and nothing made the pain better. He denied having any prior episodes. Associated symptoms included several episodes of nausea and non-bilious, non-bloody emesis. The patient had no other medical problems, surgical history, or medications. His family history included peptic ulcer disease in his mother at age 25. On physical examination, he was afebrile with normal vitals and a flat abdomen with mild tenderness at the mid-right costal margin.

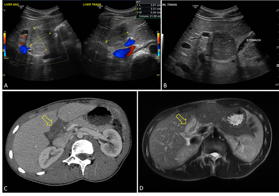
Laboratory evaluation revealed: white blood cell count 5.3 thou/mcL, hemoglobin 13.2 g/dL, creatinine 1.0 mg/dL, total bilirubin 1.4 mg/dL, alkaline phosphatase 159 unit/L, AST 32 units/L, ALT 39 units/L, and lipase 193 units/L. A right upper quadrant ultrasound was obtained and revealed a 36 × 33 × 34 mm cystic collection within the porta hepatis (Figure 1). The mass abutted the proximal duodenum, displaced the extrahepatic biliary ducts, and contained debris. The collection did not appear to communicate with the biliary system. An MRI was then obtained, which re-demonstrated the cystic mass. The contents were T1 hyperintense and appeared to have intraluminal debris. There was no communication to the biliary tree to suggest a choledochal cyst. The gall bladder was unremarkable. A HIDA scan was obtained and demonstrated prompt uptake in the gall bladder and normal flow into the duodenum. The ejection fraction was 47%. There was no evidence of communication with the cystic structure. After this work-up and improvement in symptoms, he was discharged home with a leading diagnosis of an inflamed duplication cyst.

Figure 1. Ultrasound Images and CT Scans. Published with Permission

A) Oval collection in porta hepatis isoechoic relative to liver parenchyma measuring 3.6 × 3.3 × 3.4 cm; B) Mass in subhepatic space, anterior to distal end of stomach; C) CT with cystic lesion and small amount of surrounding fluid; D) T2 MRI with cystic mass, slight mural thickening. No communication to biliary tree was found on magnetic resonance cholangiopancreatography.
A) Oval collection in porta hepatis isoechoic relative to liver parenchyma measuring 3.6 × 3.3 × 3.4 cm; B) Mass in subhepatic space, anterior to distal end of stomach; C) CT with cystic lesion and small amount of surrounding fluid; D) T2 MRI with cystic mass, slight mural thickening. No communication to biliary tree was found on magnetic resonance cholangiopancreatography.

The patient was re-admitted five days later with continued symptoms. Given the family history of peptic ulcer disease and the possibility that this contained a perforation from a duodenal ulcer, the patient tested negative for Helicobacter pylori. An esophagogastroduodenoscopy was also obtained and was negative for ulcer disease. The following day he was taken to the operating room for diagnostic laparoscopy. After port placement, the liver was retracted cephalad, and a mass in the sub-hepatic space marginally inferior to segment 4B was identified. There was evidence of inflammation in the area. The mass was bluntly freed from the liver until the mass was only attached by a torsed stalk extending down to the area of the portal triad (Figure 2). The stalk was approximately 2 cm long and thin. We did not attempt to dissect this further to clarify the origin. An endoloop polydioxanone suture was used to ligate the stalk prior to transection. The mass was then placed in a retrieval bag and removed. On gross inspection, the mass was firm and well-circumscribed.

Figure 2. Laparoscopic Images. Published with Permission

A) Mass elevated with grasper demonstrating torsed pedicle. B) Endoloop suture passed around pedicle with mass retracted inferiorly; C) thrombosed lumen of pedicle. D) In situ view of specimen (with small area of torn capsule).
A) Mass elevated with grasper demonstrating torsed pedicle. B) Endoloop suture passed around pedicle with mass retracted inferiorly; C) thrombosed lumen of pedicle. D) In situ view of specimen (with small area of torn capsule).

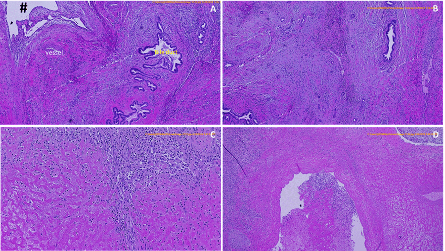
Pathologic examination was consistent with a liver mesenchymal hamartoma with hepatic parenchymal coagulative necrosis with a narrow vascular pedicle. Figure 3 demonstrates the abundant fibromyxoid mesenchymal stroma, abnormal bile ducts with periductal collaring of stromal cells, cystic structures (#), blood vessels, and hepatic tissue (*). Bile duct structures show abnormal configuration accompanying periductal collaring of stromal cells. Vessels were identified with evidence of organizing thrombus.

Figure 3. Hematoxylin and Eosin Histology. Published with Permission

A) Mesenchymal hamartoma consisting of abundant fibromyxoid mesenchymal stroma, abnormal bile ducts with periductal collaring of stromal cells, cystic structures (#), blood vessels and hepatic tissue (*) B) Bile duct structures show abnormal configuration accompanying periductal collaring of stromal cells and abundant fibromyxoid stroma. Bile ducts tortuous and small C) Hepatocyte coagulative necrosis with peripheral organizing changes D) Hepatocyte coagulative necrosis and intravascular organizing thrombus
A) Mesenchymal hamartoma consisting of abundant fibromyxoid mesenchymal stroma, abnormal bile ducts with periductal collaring of stromal cells, cystic structures (#), blood vessels and hepatic tissue (*) B) Bile duct structures show abnormal configuration accompanying periductal collaring of stromal cells and abundant fibromyxoid stroma. Bile ducts tortuous and small C) Hepatocyte coagulative necrosis with peripheral organizing changes D) Hepatocyte coagulative necrosis and intravascular organizing thrombus

The patient did well and was discharged home on postoperative day 1. At his clinic visit four weeks later, his symptoms had resolved, and he was pain-free.

Discussion

Accessory hepatic lobes are extremely rare.1 Most cases are asymptomatic, making true incidence difficult to establish. They can occur in various anatomic locations, are frequently associated with the liver proper, and have a wide base. Rarely are the lobes pedunculated with a narrow vascular pedicle.2 Torsion of a pedunculated accessory lobe can result in acute abdominal pain.2-4 Radiographic findings are typically consistent with liver parenchyma, making the preoperative diagnosis more apparent.

Mesenchymal hamartoma of the liver is the second most common benign liver tumor in children.5 These are typically identified in children under five as an asymptomatic abdominal mass. Very few cases have presented in adults.6 Acute presentations can occur in infants due to perinatal tumor rupture, symptomatic ascites, intratumoral bleeding, and heart failure. These tumors tend to undergo slow growth;5-7 however, rare cases of incomplete regression have been reported.8 Sporadic cases of malignant transformation to undifferentiated sarcoma have also been reported.9 This has led to the recommendation of complete surgical excision at diagnosis. Torsion of a hepatic hamartoma is exceedingly rare.7,10-11 The diagnosis, in this case, proved quite challenging given the patient's older age and bland radiographic features. Gastrointestinal duplication cyst and choledochal cyst were much higher on the differential.

The pathogenesis of mesenchymal hamartomas is not entirely understood but is thought to be related to the aberrant progression of the stromal element within the portal triad.12-13 In 1993, Lennington postulated that an anomalous vascular supply with subsequent vascular insult played a role in the pathogenicity of mesenchymal hamartomas.11 He reported the histologic similarities of three children with intraparenchymal liver hamartomas compared to a torsed accessory liver. The appearance of the thin pedicle with a thrombosed artery and the acute onset of pain in our case supports an acute insult in our patient. The presence of the well-developed fibrous stroma would suggest the hamartoma was a more chronic process.

Conclusion

Torsion of an accessory liver involving a hepatic hamartoma is an exceedingly rare cause of acute abdominal pain. Preoperative diagnosis can be challenging. Laparoscopic resection can lead to quick recovery and complete symptom relief.

Lessons Learned

Earlier diagnostic laparoscopy should be considered when the diagnosis is ambiguous. In retrospect, this may have hastened our patient's recovery and would have aided with the diagnostic dilemma.

Authors

Mansfield SAa; Zhang Jb; Boulden TFc; Jancelewicz Ta

Author Affiliations

  1. Division of Pediatric Surgery, Le Bonheur Children's Hospital, University of Tennessee Health Science Center, Memphis, TN 38112
  2. Department of Pathology and Laboratory Medicine, Le Bonheur Children's Hospital, University of Tennessee Health Science Center, Memphis, TN 38112
  3. Department of Radiology, Le Bonheur Children's Hospital, University of Tennessee Health Science Center, Memphis, TN 38112

Corresponding Author

Timothy Jancelewicz, MD, MA, MS, FAAP, FACS
Le Bonheur Children's Hospital
51 N Dunlap Street, Ste. 230
Memphis, TN, 38112
Phone: (901) 545-9973
Email: tjancele@uthsc.edu

Disclosure Statement

The authors have no conflicts of interest to disclose.

Funding/Support

The authors have no relevant financial relationships or in-kind support to disclose.

Received: November 4, 2020
Revision received: December 14, 2020
Accepted: February 1, 2021

References

  1. Corbitt N, Rellinger EJ, Hernanz-Schulman M, Chung DH. Accessory hepatic lobes in the pediatric population: A report of three cases of torsion and literature review. J Pediatr Surg Case Rep. 2017;16:15–18
  2. Thakral CL, Shivalingam G, Dar FM, Thakral N. Torsion of an Accessory Hepatic Lobe with Embedded Gallbladder: In an 11-Month-Old Boy. European J Pediatr Surg Rep. 2017;5(1):e62-e64. doi:10.1055/s-0037-1607218
  3. Natarajan S, Jayasudha, Periasamy M, Rangasamy S. Torsion of Accessory Hepatic Lobe. J Indian Assoc Pediatr Surg. 2017;22(1):55-56. doi:10.4103/0971-9261.194628
  4. Elmasalme F, Aljudaibi A, Matbouly S, Hejazi N, Zuberi MS. Torsion of an accessory lobe of the liver in an infant. J Pediatr Surg. 1995;30(9):1348-1350. doi:10.1016/0022-3468(95)90502-2
  5. Stringer MD, Alizai NK. Mesenchymal hamartoma of the liver: a systematic review. J Pediatr Surg. 2005;40(11):1681-1690. doi:10.1016/j.jpedsurg.2005.07.052
  6. Yesim G, Gupse T, Zafer U, Ahmet A. Mesenchymal hamartoma of the liver in adulthood: immunohistochemical profiles, clinical and histopathological features in two patients. J Hepatobiliary Pancreat Surg. 2005;12(6):502-507. doi:10.1007/s00534-005-1025-9
  7. Vázquez-Lima I, Vázquez JL, Gallego M, Fernández R, Fernández P. Torsed pedunculated hepatic hamartoma. Pediatr Radiol. 2009;39(1):62-65. doi:10.1007/s00247-008-1007-6
  8. Barnhart DC, Hirschl RB, Garver KA, Geiger JD, Harmon CM, Coran AG. Conservative management of mesenchymal hamartoma of the liver. J Pediatr Surg. 1997;32(10):1495-1498. doi:10.1016/s0022-3468(97)90574-1
  9. Mathews J, Duncavage EJ, Pfeifer JD. Characterization of translocations in mesenchymal hamartoma and undifferentiated embryonal sarcoma of the liver. Exp Mol Pathol. 2013;95(3):319-324. doi:10.1016/j.yexmp.2013.09.006
  10. Bašković M, Đinkić M, Župančić B, Stepan J, Čizmić L. Torsion of a mesenchymal hamartoma of the liver in a 1-year-old boy. Acta Chir Belg. 2017;117(2):128-130. doi:10.1080/00015458.2016.1239459
  11. Lennington WJ, Gray GF Jr, Page DL. Mesenchymal hamartoma of liver. A regional ischemic lesion of a sequestered lobe. Am J Dis Child. 1993;147(2):193-196. doi:10.1001/archpedi.1993.02160260083027
  12. von Schweinitz D, Dammeier BG, Glüer S. Mesenchymal hamartoma of the liver--new insight into histogenesis. J Pediatr Surg. 1999;34(8):1269-1271. doi:10.1016/s0022-3468(99)90166-5
  13. Wu H, Ferguson W, Castro E, Finegold M, Patel K. Pediatric Mesenchymal Hamartomas of the Liver can Show Both Foregut and Hindgut Phenotype. Pediatr Dev Pathol. 2017;20(6):490-497. doi:10.1177/1093526617706817