Unsupported Browser
The American College of Surgeons website is not compatible with Internet Explorer 11, IE 11. For the best experience please update your browser.
Menu
Become a member and receive career-enhancing benefits

Our top priority is providing value to members. Your Member Services team is here to ensure you maximize your ACS member benefits, participate in College activities, and engage with your ACS colleagues. It's all here.

Become a Member
Become a member and receive career-enhancing benefits

Our top priority is providing value to members. Your Member Services team is here to ensure you maximize your ACS member benefits, participate in College activities, and engage with your ACS colleagues. It's all here.

Become a Member
ACS
Case Reviews in Surgery

Meckel Diverticulum Leading to a Partial SBO after a History of Roux-en-Y Gastric Bypass Surgery in a 60-Year-Old

A patient presented with a partial small bowel obstruction after a laparoscopic Roux-en-Y gastric bypass and was discovered to have a band between the jejunojejunostomy and a Meckel diverticulum

November 27, 2020

Abstract

Background

A 60-year-old female presented with a partial small bowel obstruction (pSBO) after a laparoscopic Roux-en-Y gastric bypass and was discovered to have a band between the jejunojejunostomy and a Meckel diverticulum.

Summary

The patient, a 60-year-old female, presented to the emergency room with a partial distal small bowel obstruction after a history of laparoscopic Roux-en-Y gastric bypass. The patient was taken for diagnostic laparoscopy reduction of a distal small bowel obstruction. The authors found dilation of the gastric remnant from the mid-jejunum biliopancreatic limb to the small bowel, distal to the jejunojejunostomy. At this point, a portion of the distal jejunum was found to have a band between the jejunojejunostomy and what appeared to be a Meckel diverticulum. Running the remainder of the jejunum to the terminal ileum showed a Meckel diverticulum. This finding of a Meckel band associated with an obstruction in a bariatric surgical patient is especially rare.

Conclusion

This a unique case study of a Meckel diverticulum causing a pSBO after a history of a laparoscopic bariatric procedure.

Key Words

Meckel diverticulum; obstruction; small bowel obstruction, Roux-en-Y bypass; history of bariatric surgery


Case Description

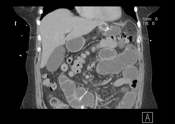
A 60-year-old female patient presented to the emergency room complaining of nausea and vomiting for three days, along with right upper quadrant (RUQ) abdominal pain. The patient described the RUQ pain as a gnawing, spasm-type pain that became severe at the time. The patient then underwent an ultrasound of the RUQ, which revealed mild dilation of CBD at upper limits of normal, no gallbladder wall thickening, and no cholelithiasis. Patient was also sent for an abdominal X ray (Figure 1) and CT of the abdomen and pelvis (Figure 2), which showed a partial distal small bowel obstruction (pSBO) with a normal gallbladder.

Figure 1. Abdominal X-Ray in ER, showing pSBO

Figure 2. Abdominal CT in ER, showing pSBO

Of note, the patient’s medical history was pertinent for hyperlipidemia, gastroesophageal reflux disease, and hiatal hernia as well as a Roux-en-Y gastric bypass in 2013 (without complications). Her medications included Protonix and Ultram. Prior to presenting at the ER, the patient’s last bowel movement was four days. At the ER, the patient reported continued abdominal pain, nausea, and vomiting, professed to passing a small amount of flatus that morning, and denied any chest pain, shortness breath, fever, or chills.

The patient’s nausea and vomiting were controlled with antiemetics. We elected to not place a nasogastric tube prior to OR due to the patient’s history of a Roux-en-Y bypass, as the patient would not have been completely decompressed due to her having a biliopancreatic limb and remnant stomach. Laboratory testing revealed no leukocytosis. A complete metabolic panel with liver function, including BUN, tests were ordered and were within normal limits.

The differential diagnosis consisted of an internal hernia causing a small bowel obstruction in a gastric bypass patient, followed by adhesions due to previous surgery, peptic ulcer disease, and a recurrence of a hiatal hernia. The patient was taken to the OR for diagnostic laparoscopy reduction of distal small bowel obstruction; the abdomen was prepped and draped in a usual sterile fashion; a trocar was placed in left upper quadrant and pneumoperitoneum was established; laparoscopic trocar ports were placed for this procedure. Upon this, we found dilation of the gastric remnant from the mid-jejunum biliopancreatic limb and small bowel distal to the jejunojejunostomy. At this point, distal jejunum was found to have a band between the jejunojejunostomy and what appeared to be a Meckel diverticulum (Figure 3 and Figure 4).

Figure 3. Meckel diverticulum with adhesive band taken down.

The band was lysed with a Harmonic scalpel. Running the remainder of the jejunum to the terminal ileum showed a Meckel diverticulum, which was resected with a stapling device without difficulty and removed.

The remaining small bowel was run from the terminal ileum to the jejunojejunostomy showing normal anatomic position. The biliopancreatic limb was in normal anatomic position as well as the Roux limb up to the gastrojejunostomy.

Figure 4. Another view of the Meckel diverticulum

The patient tolerated advancement of diet well postoperatively, her pain was controlled, and she had no issues with bowel function. She was discharged the next day. The patient followed-up in the bariatric clinic two weeks later with resolved symptoms of obstruction. Additionally, she was tolerating a diet, passing flatus, and having bowel movements.

Discussion

Although there has been research published on intestinal obstruction with a Meckel diverticulum in adults, including findings of an incarcerated Meckel diverticulum in a Spigelian hernia,1 an internal hernia with small bowel incarceration due to Meckel diverticulum,2 and an international case study report elaborating on recurrent intussusception in an open gastric bypass patient with incidental Meckel diverticulum,3 our unique case presentation outlines a very rare finding in regards to intestinal obstruction involving a Meckel band in a previous laparoscopic bariatric surgical patient.

Meckel diverticulum is commonly discovered as an incidental finding in children using the popular two percent rule: in two percent of patients, two feet from the ileocecal valve, two types of ectopic tissue can be present, gastric or pancreatic.2-4 Resection in children is typical due to the high incidence of symptoms, even if incidental. In adults, resection is atypical unless the patient is symptomatic. With the incidence of having gastric and pancreatic ectopic tissue in the Meckel diverticulum, an ulcer can form from the secretions on the adjacent area of the bowel and should prompt the provider to be on high-alert in children with painless bleeding.5

It is also noteworthy that the CT will not show abnormalities in 26 percent of the patients with internal herniation.6

In adults, these ectopic tissues, if present, are likely atrophied, and the so-called symptom of painless bleeding is typically absent.7 In this case, there was an adhesive band from this patient’s Meckel diverticulum to the JJ anastomosis of the Roux-en-Y bypass, causing a distal pSBO and leading to dilation of the biliopancreatic limb and the Roux limb. The thick adhesive band was lysed, the mesentery of the diverticulum was taken down with the Harmonic scalpel, and the diverticulum itself was transected with an endoscopic stapler.

The authors proceeded with a diagnostic laparoscopy instead of an exploratory laparotomy because the patient was clinically stable, able to tolerate pneumoperitoneum, and had a history of only a laparoscopic procedure, and there were no peritoneal signs. The authors also weighed the risks versus benefits of being able to convert to an open procedure if warranted in the setting of extensive adhesions or profuse contamination. Laparoscopy has shown to provide a quicker return to bowel function, a decreased use of pain medications, and decreased hospitalization.8

The authors also elected to not place a nasogastric tube in this bariatric surgical patient prior to surgery since the tube would not decompress the biliopancreatic limb. Although the patient appeared to initially have RUQ pain, her symptoms progressively worsened, and due to the nature of a Roux-en-Y bypass history, the incidence of an internal hernia being as high as nine percent, and the possibility of strangulation, the patient was taken to the OR promptly once the diagnosis of pSBO was established.4

The patient also had her appendix, and the authors elected to not resect it during the operation due to it being normal and the increase in morbidity with unwarranted increased risks to the patient for leaks and surgical site infection.

The common etiologies of a small bowel obstruction after a Roux-en-Y gastric bypass are internal herniation at the mesenteric defect, a Peterson defect (an opening between the mesentery of the alimentary loop and the mesocolon of the transverse colon), extensive adhesions, adhesions at the jejunojejunostomy, and intussusception at the jejunojejunal anastomosis.7,9 The estimated incidence of an internal hernia is 0.9 percent to 4.5 percent after laparoscopic Roux-en-Y bypass.9 Of note, the patient had her mesenteric and hernia defects closed in the initial surgery (Roux-en-Y bypass) and during the second surgery, there were no hernia defects noted and all defects remained closed.

Conclusion

Bariatric patients who present with pSBO are at a high risk for strangulation. This patient had a rare case of a Meckel diverticulum with an adhesive band causing an internal hernia.

Lessons Learned

This is an unique case study of a Meckel diverticulum causing a pSBO after a history of a bariatric procedure. It is important for surgeons to be vigilant with any obstructive symptoms in bariatric surgery patients and to always maintain a high index of suspicion to take the patient back to the operating room for exploration due to the high risk of strangulation.

Authors

Authors

Viradia R; Rossi S

Corresponding Author

Ravi Viradia, MD
Chief Surgery Resident, PGL V
WVU Department of Surgery
3100 MacCorkle Ave.
Charleston, WV 25311
Phone: (304) 444-9286
E-mail: rviradia1@gmail.com

Author Affiliation

West Virginia University/Charleston Area Medical Center
Department of Surgery
Charleston, WV 25311

Meeting Presentation

Morbidity and Mortality Conference, Charleston WV, August 2018 sponsored by West Virginia University Department of Surgery

Disclosure Statement

The authors have no conflicts of interest to disclose.

References

  1. Dixon E, Heine JA. Incarcerated Meckel's diverticulum in a Spigelian hernia. Am J Surg. 2000;180(2):126. doi:10.1016/s0002-9610(00)00438-4.
  2. Wang, M., et al. Internal Hernia with Small Bowel Incarceration due to Meckel’s Diverticulum. SAGES Abstract Archive. 2012.
  3. Abelson JS, Turbendian H, Pomp A, Afaneh C. Recurrent intussusception in a gastric bypass patient with incidental Meckel's diverticulum: A case report. J Minim Access Surg. 2015;11(4):271-272. doi:10.4103/0972-9941.158158
  4. Kaneti J, Mares AJ. Diverticula of Meckel's diverticulum. Am J Surg. 1975;129(5):597-598. doi:10.1016/0002-9610(75)90325-6
  5. Matsagas MI, Fatouros M, Koulouras B, Giannoukas AD. Incidence, complications, and management of Meckel's diverticulum. Arch Surg. 1995;130(2):143-146. doi:10.1001/archsurg.1995.01430020033003
  6. de Bakker JK, van Namen YW, Bruin SC, de Brauw LM. Gastric bypass and abdominal pain: think of Petersen hernia. JSLS. 2012;16(2):311-313. doi:10.4293/108680812x13427982376581
  7. Townsend CM, Beauchamp RD, Evers BM, Mattox KL. Sabiston Textbook of Surgery: the Biological Basis of Modern Surgical Practice. 20th ed. Philadelphia, PA: Elsevier Saunders; 2017.
  8. Elms L, Moon RC, Varnadore S, Teixeira AF, Jawad MA. Causes of small bowel obstruction after Roux-en-Y gastric bypass: a review of 2,395 cases at a single institution. Surg Endosc. 2014;28(5):1624-1628. doi:10.1007/s00464-013-3361-1
  9. Burton E, McKeating J, Stahlfeld K. Laparoscopic management of a small bowel obstruction of unknown cause. JSLS. 2008;12(3):299-302.