Unsupported Browser
The American College of Surgeons website is not compatible with Internet Explorer 11, IE 11. For the best experience please update your browser.
Menu
Become a member and receive career-enhancing benefits

Our top priority is providing value to members. Your Member Services team is here to ensure you maximize your ACS member benefits, participate in College activities, and engage with your ACS colleagues. It's all here.

Become a Member
Become a member and receive career-enhancing benefits

Our top priority is providing value to members. Your Member Services team is here to ensure you maximize your ACS member benefits, participate in College activities, and engage with your ACS colleagues. It's all here.

Become a Member
ACS
ACS Case Reviews

Ureteroiliac Artery Fistula: An Uncommon and Morbid Cause of Gross Hematuria

October 20, 2023

Abstract

Background

Ureteroiliac fistulas typically present with gross hematuria; however, gross hematuria has numerous more common etiologies which can confound the diagnosis. Risk factors for this process include a history of abdominal or pelvic surgery, pelvic radiation, and ureteral stents. The pathophysiology is likely related to pressure from foreign bodies or scarring leading to disruption of the vasa vasorum. The diagnosis is challenging with poorly sensitive CT findings, and it is also difficult to assess endourologically if there is significant clotting in the bladder. Angiography with or without provocation will most likely lead to a diagnosis, but this may still be negative. Treatment with a covered stent can be used for confirmed cases.

Summary

A 63-year-old male with a history of rectal cancer status post abdominoperineal resection, and chemoradiation was admitted to the intensive care unit with suspected urosepsis. His previous surgery was complicated by deep venous thrombosis requiring anticoagulation, and he had a history of pancytopenia and retroperitoneal fibrosis requiring ureteral stents. He had a urine culture demonstrating Enterococcus. He had CT findings of hydronephrosis, so he underwent a stent exchange. He developed arterial bleeding from the right ureteral orifice, and a new stent was rapidly replaced. Afterward, he had tachycardia, hypotension, and a drop in hemoglobin, requiring transfusion. He had a CT angiogram with no evidence of a fistula, but later in the week, he again had gross hematuria. After another transfusion, he was taken to the endovascular suite and had pelvic angiography performed with the identification of a fistula between the ureter and right external iliac artery. An iliac limb extension was placed with the preservation of the hypogastric artery. The patient was discharged on aspirin and chronic antibiotics based on a history of recurrent urinary tract infections.

Conclusion

Ureteroiliac fistulas are becoming more common with advances in pelvic surgery and pelvic radiation. The diagnosis is challenging because more common etiologies of gross hematuria, such as nephrolithiasis or malignancy, are often suspected first. Also, bleeding is often intermittently tamponaded by ureteral stents, making angiography more difficult. The prognosis has been improved with additional awareness and novel endovascular and endourologic techniques. The long-term surveillance requirement and need for antibiotics are still relatively unknown due to the infrequency of these cases.

Key Words

ureter; iliac; fistula; urology; ureteral stent


Case Description

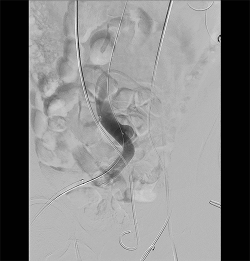
A 63-year-old male with a history of recurrent rectal cancer with metastases, abdominoperineal resection, chemoradiation, deep vein thrombosis on apixaban, pancytopenia, and retroperitoneal fibrosis with ureteral stents presented to the emergency department with fatigue. He had hematuria for ten months, attributed to urinary tract infections (UTIs). On exam, he was hypotensive, with abdominal scars, a parastomal hernia, and hematuria in his urinary catheter. His hemoglobin was 8.3g/dL from a baseline of 9.0g/dL, and his urinalysis demonstrated pyuria and later grew Enterococcus. The critical care team admitted him to the intensive care unit on norepinephrine with suspected urosepsis. His hypotension resolved after resuscitation and treatment with vancomycin, cefepime, and metronidazole. His fatigue and hematuria persisted, and he had a non-contrast CT demonstrating hydronephrosis. He underwent a ureteral stent exchange, but he developed bleeding from the right ureteral orifice during the procedure. This insult resulted in tachycardia, hypotension, and a drop in hemoglobin from 7.6g/dL to 6.7g/dL, requiring a packed red blood cell (PRBC) transfusion. At this point, a fistula was suspected but not confirmed. He had a CT angiogram (CTA), which demonstrated a thrombus in the right ureter, contrast in the renal pelvis bilaterally from his cystogram, and hydronephrosis bilaterally; however, he had no extravasation of contrast. An angiography was planned for later in the week. A few days later, he received nephrostomies for persistent hydronephrosis. He developed bleeding again and required two units of PRBCs for a hemoglobin of 6.4g/dL with an appropriate response of 8.3g/dL. He stabilized before going to the endovascular suite the next day. Pelvic angiography identified a fistula between the ureter and the right external iliac artery (Figure 1). A 16 mm × 14 mm × 7 cm Gore iliac limb extension was placed without jailing the hypogastric (Figure 2). He no longer had bleeding from his urethra. He was discharged on aspirin and amoxicillin clavulanate at the recommendation of an infectious disease consult based on a history of UTIs. Unfortunately, this patient passed a month later from unknown causes, and there was no follow-up in that interval.

Figure 1. Ureteroarterial Fistula. Published with Permission

Figure 2. Resolved Fistula with Iliac Limb. Published with Permission

Discussion

Ureteroiliac artery fistulas (UAF) typically present with gross hematuria but are an uncommon etiology of this symptom. The most common etiologies of gross hematuria are UTIs, bladder cancer, and nephrolithiasis, and only 139 cases of ureteroiliac fistulas were reported as of 2009.1,2 As a result, only 22% of cases are recognized before requiring treatment.1 Risk factors for this process include a history of pelvic surgery, radiation, and ureteral stents.3 In the previous series, 100% had pelvic surgery, and 71% had previous radiation.4 It is unclear which procedures and what level of radiation are most associated with the development of this condition. Cases have occurred in gynecologic, urologic, and rectal surgery, and they have occurred with 25gy to 50gy doses of radiation.5,6 They are most commonly left-sided.7 In native ureters, they tend to occur in the distal common iliac artery.7

However, in patients with altered anatomy, such as those with ileal conduits, the fistula may become more proximal, even to the level of the aorta.7 The pathophysiology is related to external pressure leading to disruption of the vasa vasorum.8 The diagnosis is challenging, with exam findings limited to surgical scars and gross hematuria. Labs are unremarkable except for anemia and blood cells on urinalysis.9 CTA is poorly sensitive.10 Cystoscopy and retrograde pyelography have a sensitivity of 45 to 60% due to blood clots limiting visualization.8 Angiography without provocation is 23 to 41% sensitive, but this can be increased to 63% with provocation, including manipulation of ureteral stents.11 Previously, these lesions may have required ligation and bypass, but currently, treatment with a covered stent or embolization and bypass can be used for confirmed cases.10,12,13 While this may put the patient at risk for infection of an endovascular stent from communication with the ureter, this is an important alternative to prevent hemorrhage for patients who are chronically ill or with hostile abdomens in which open surgery may be high-risk. In a report on 20 patients in 2011, 70% underwent endovascular treatment, and 30% had open surgery, suggesting a role for both treatment strategies.14 Misdiagnosis leads to delays in care and has also resulted in nephrectomy.15 The duration of antibiotics in the setting of endovascular stents is unknown.16 The mortality rate historically was 69%, but now, the mortality rate is 7 to 23%.11 The ideal surveillance protocol is unknown because of the infrequency of these cases. Still, surveillance is needed as complications may occur, including recurrent bleeding, thrombosis, and uretero-arterio-enteric fistula.13,17

Conclusion

Our case highlights the difficulty in diagnosis. While having hematuria for months, this diagnosis was not considered until this stent exchange, and a CTA was not diagnostic. This case highlights classic risk factors and symptoms, but his diagnosis was more challenging due to pancytopenia and anticoagulation. Our case was unique because it was right-sided and involved the external iliac artery rather than the common iliac artery. Cases treated endovascularly have mixed recommendations on antibiotic use, but our patient had numerous genitourinary infections requiring lifelong antibiotics, including amoxicillin-clavulanate, at the recommendation of our infectious disease specialists.

Lessons Learned

Radiation with ureteral stents increases the risk of ureteroiliac artery fistulas. This is a challenging diagnosis that may require multiple modalities to diagnose. Angiography is a useful modality for diagnosis when the index of suspicion is high because therapy may be offered at that time.

Authors

Aranda MC; Hale JD; Sexton JJ; Simon TE

Author Affiliation

Vascular Surgery Department, Dwight D Eisenhower Army Medical Center, Fort Gordon, GA 30905

Corresponding Author

Marcos C. Aranda, MD
2937 Leaflet Way
August, GA 30909
Email: aranda.c.marcos@gmail.com

Meeting Presentation

Georgia Vascular Society, Augusta, GA, September 2020

Disclosure Statement

The authors have no conflicts of interest to disclose.

Funding/Support

The authors have no relevant financial relationships or in-kind support to disclose.

Received: December 10, 2020
Revision received: February 8, 2021
Accepted: March 4, 2021

References

  1. Eisner BH, McGovern FJ. Management of ureteroiliac artery fistula. Semin Intervent Radiol. 2007;24(1):117-118. doi:10.1055/s-2007-971181
  2. Krambeck AE, DiMarco DS, Gettman MT, Segura JW. Ureteroiliac artery fistula: diagnosis and treatment algorithm. Urology. 2005;66(5):990-994. doi:10.1016/j.urology.2005.05.036
  3. Veenstra GM, Fossion LM, Debonnaire G, de Laet K. Endovascular treatment of a right-sided ureteroiliac fistula in a patient with a simultaneous left-sided ureteroileal fistula. Case Rep Urol. 2011;2011:284505. doi:10.1155/2011/284505
  4. Yamasaki K, Omori K, Takaoka E, et al. Successful management by provocative angiography and endovascular stent of Ureteroarterial fistula in a patient with a long-term indwelling ureteral stent. Jpn J Clin Oncol. 2010;40(3):267-270. doi:10.1093/jjco/hyp154
  5. Pillai AK, Anderson ME, Reddick MA, Sutphin PD, Kalva SP. Ureteroarterial fistula: diagnosis and management. AJR Am J Roentgenol. 2015;204(5):W592-W598. doi:10.2214/AJR.14.13405
  6. Mitterberger M, Frauscher F, Steppan I, Peschel R, Pinggera GM. Ureteroiliac fistula: a case report review of the literature. Cases J. 2009;2:6266. Published 2009 Jul 21. doi:10.4076/1757-1626-2-6266
  7. Leone L, Scarcella S, Dell'Atti L, Tiroli M, Sternardi F, Galosi AB. Uretero-iliac artery fistula: a challenge diagnosis for a life-threatening condition: monocentric experience and review of the literature. Int Urol Nephrol. 2019;51(5):789-793. doi:10.1007/s11255-019-02097-2
  8. Sarwal G, Bidnur S, Chedgy ECP, Kavanagh A. Case - Uretero-internal iliac artery fistula presenting with multiple negative angiographic studies. Can Urol Assoc J. 2018;12(5):E250-E252. doi:10.5489/cuaj.4758
  9. Mahlknecht A, Bizzotto L, Gamper C, Wieser A. A rare complication of ureteral stenting: Case report of a uretero-arterial fistula and revision of the literature. Arch Ital Urol Androl. 2018;90(3):215-217. Published 2018 Sep 30. doi:10.4081/aiua.2018.3.215
  10. Kuramoto T, Muraoka S, Nishikawa T, Matsumoto Y, Uokawa K. Hinyokika Kiyo. 2019;65(7):299-303. doi:10.14989/ActaUrolJap_65_7_299
  11. Guntau M, Hegele A, Rheinheimer S, Hofmann R, Mahnken AH. Balloon-Expandable Stent Graft for Treating Uretero-Iliac Artery Fistula. Cardiovasc Intervent Radiol. 2017;40(6):831-835. doi:10.1007/s00270-017-1586-4
  12. Fox JA, Krambeck A, McPhail EF, Lightner D. Ureteroarterial fistula treatment with open surgery versus endovascular management: long-term outcomes. J Urol. 2011;185(3):945-950. doi:10.1016/j.juro.2010.10.062
  13. Turo R, Hadome E, Somov P, et al. Uretero-Arterial Fistula - Not So Rare?. Curr Urol. 2018;12(1):54-56. doi:10.1159/000489419
  14. Gibbons M, O'Donnell S, Lukens M, Meglin A, Costabile RA. Treatment of a ureteroiliac artery fistula with an intraluminal endovascular graft. J Urol. 1998;159(6):2083-2084. doi:10.1016/S0022-5347(01)63260-9
  15. Yang H, Rios R, Lombardi J, Marella DM, Seftel AD. Uretero-Arterio-Enteric Fistula Formation and Stent Thrombosis After Endovascular Treatment of Ureteroarterial Fistula: A Case Report and Review of Literature. J Endourol Case Rep. 2017;3(1):173-175. Published 2017 Dec 1. doi:10.1089/cren.2017.0108