Unsupported Browser
The American College of Surgeons website is not compatible with Internet Explorer 11, IE 11. For the best experience please update your browser.
Menu
Become a member and receive career-enhancing benefits

Our top priority is providing value to members. Your Member Services team is here to ensure you maximize your ACS member benefits, participate in College activities, and engage with your ACS colleagues. It's all here.

Become a Member
Become a member and receive career-enhancing benefits

Our top priority is providing value to members. Your Member Services team is here to ensure you maximize your ACS member benefits, participate in College activities, and engage with your ACS colleagues. It's all here.

Become a Member
ACS
Case Reviews in Surgery

Submucosal Sigmoid Lipoma Acting as Unusual Lead Point of Colocolic Intussusception

A case of a 57-year-old man who presented to an outlying emergency department with a six-day history of progressive and intermittent lower abdominal pain.

December 20, 2021

Abstract

Background

We present the case of a 57-year-old man with sigmoid intussusception secondary to a submucosal lipoma.

Summary

A 57-year-old man presented to an outlying hospital with six days of nausea and abdominal pain and two days of bleeding per rectum. Computed tomography of the abdomen and pelvis demonstrated a fat-density intraluminal sigmoid mass acting as the lead point of sigmoid intussusception. Colonoscopy revealed a nonobstructing submucosal mass. Laparoscopic hand-assisted segmental resection of the sigmoid was performed with a final pathologic review confirming the diagnosis as a submucosal lipoma.

Conclusion

Adult colocolic intussusception is a rare occurrence and is secondary to malignancy in up to 65 percent of cases. Furthermore, colonic lipomas are uncommon in the descending colon, particularly in the sigmoid colon. This case highlights a rare presentation of a sigmoid intussusception secondary to submucosal sigmoid lipoma. Early consideration of nonmalignant causes combined with a methodical approach allowed for a less invasive laparoscopic procedure to be performed in this patient.

Key Words

intussusception; lipoma; colorectal


Case Description

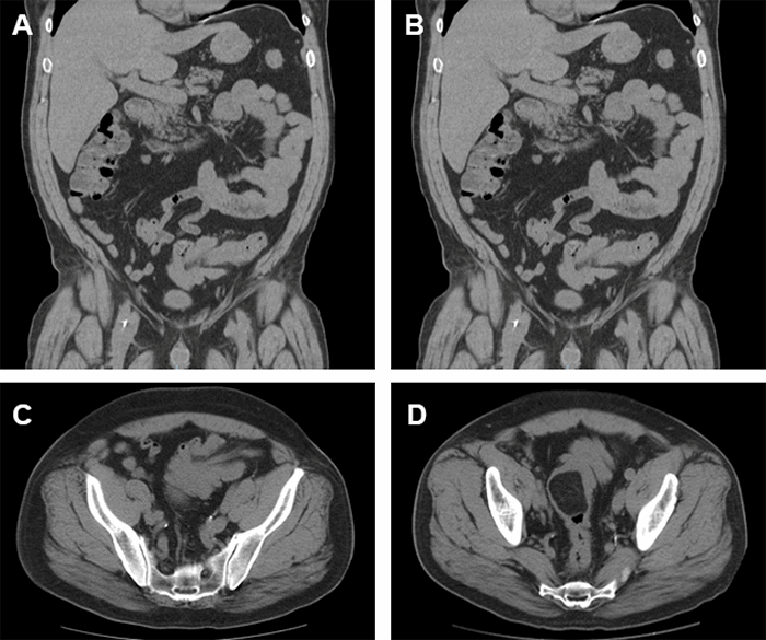
We report a case of a 57-year-old man who presented to an outlying emergency department with a six-day history of progressive and intermittent lower abdominal pain. This pain was accompanied by nausea without vomiting, fevers, and chills. He developed blood in his stool two days prior to assessment, including the morning of presentation. He denied any symptoms of anemia, such as fatigue or shortness of breath. His lower abdomen was tender to palpation with no palpable masses, rebound tenderness, or guarding. His medical history included hypertension, rheumatoid arthritis, and benign prostatic hypertrophy. The patient had undergone two prior colonoscopies revealing only benign polyps, the most recent of which was five years ago. Laboratory investigations, including complete blood count and comprehensive metabolic panel, were unremarkable. Computed tomography (CT) scan of the abdomen and pelvis demonstrated sigmoid intussusception with a 4.4 cm × 3.1 cm fat density intraluminal sigmoid mass (Figure 1). He was transferred to our facility for further evaluation and treatment by the colorectal surgery team.

Figure 1. CT Scan of Abdomen and Pelvis. Published with Permission

A) Coronal view of intussusception involving the proximal, mid, and distal portions of sigmoid colon; B) Coronal view of a fat density intraluminal polyp, 4.4 cm × 3.1 cm in size, in mid and distal sigmoid colon; C) Axial view of intussusception involving proximal, mid and distal portions of sigmoid colon; D) Axial view of fat density intraluminal polyp, 4.4 cm × 3.1 cm in size, in mid and distal sigmoid colon

Our differential diagnosis at this time included malignant neoplasm, gastrointestinal stromal tumor (GIST), or intestinal lipoma. The patient was admitted and underwent mechanical bowel preparation. An approximately 6 cm circular nonobstructing submucosal mass was identified at colonoscopy in the sigmoid colon (Figure 2). Additional findings included three polyps in the hepatic flexure, descending colon, and rectum, all of which were consistent with tubular adenomas upon final pathologic examination. With the patient in stable condition, laparoscopic segmental sigmoid resection with hand assist and primary anastomosis was performed the following day without complication. A large mid-sigmoid mass lesion was identified with surrounding inflammatory changes consistent with intussusception (Figure 3). The postoperative course of the patient was uncomplicated. He required minimal intravenous analgesia and was started on a clear liquid diet following the procedure. He was discharged on postoperative day one following adequate pain control with minimal oral medications, once tolerating a general diet and demonstrating regular bowel function. The final pathologic review confirmed a 5 cm submucosal lipoma with focal fat necrosis and mucosal overlying ulceration (Figure 4).

Figure 2. Endoscopic View of Sigmoid Colon At 35 Cm Demonstrating Large, Firm, Circular Mass with Normal Overlying Mucosa. Published With Permission

Figure 3. Segment of Sigmoid Colon with Mesentery, Gross Specimen. Published with Permission

A) submucosal lipoma (5 cm in diameter) with focal fat necrosis and mucosa overlying ulceration; B) cross-section of submucosal lipoma

Figure 4. Histological Slide Showing Presence of Lipoma Below Mucosal Layer (Hematoxylin And Eosin Stain). Published with Permission

During a one-week follow-up at the clinic, it was determined that the patient was doing well and tolerating a regular diet with adequate bowel function and pain control. The benign pathology results of intestinal lipoma were discussed with him at this time: he was instructed to continue fiber supplementation and an over-the-counter stool softener until follow-up in four weeks. He continued to recover well and was seen for his final visit, approximately six weeks postoperatively. As his intussusception was resected without reduction and no other lipomas were observed, the risk of recurrence is low.

Discussion

Intussusception is the prolapse or "telescoping" of one segment of the intestine into another, classically caused by some lesion or "lead-point." Primarily a pediatric condition, only 5 percent of cases occur in adults.1,2

The presentation of intussusception varies between the pediatric and adult populations. While children more often present with the "classic triad" (abdominal pain, palpable mass, and bloody stools), adults with intussusception commonly present with symptoms of bowel obstruction such as nausea, vomiting, and abdominal pain.2-4 Blood per rectum is an infrequent presentation, occurring in 29 percent of cases.2

The etiology of intussusception varies along two principal planes—age and location within the intestine. By location, there are four categories of intussusception: enteroenteric, within the small bowel; colocolic, within the large bowel; ileocolic, ileum into ascending colon; and ileocecal, with the ileocecal valve as the lead-point.1

While pediatric cases are usually idiopathic or benign in etiology, adult intussusception is secondary to an underlying pathology in up to 90 percent of cases.1,5 These causes include benign or malignant neoplasm, Meckel's diverticulum, and postsurgical causes such as adhesions or strictures. Meckel's diverticulum may be the cause in 2–7 percent of small bowel intussusception.2,6 In fact, intussusception is estimated to occur in 13 percent of patients with Meckel's diverticulum.7 Tumors as lead-point of intussusception are more likely to be benign in the small intestine compared to the large intestine, with lipomas making up the majority of enteroenteric intussusception and adenocarcinoma of the colon the majority of colocolic intussusceptions.6 In an institutional review of 23 years of data by Nagorney et al.8, 65 percent of colocolic intussusception was due to malignant lesion compared to 29 percent of small bowel cases; similar incidences have since been recorded.1 Nonmalignant neoplasms include primarily adenomatous polyps, hamartomatous polyps associated with Peutz-Jeghers syndrome, and lipomas. Of small bowel intussusception cases caused by benign neoplasms, lipoma is the most common at 38 percent, followed by hamartoma at 25 percent.6 Adenocarcinoma of the colon remains the most common cause in large bowel intussusception at 50 percent.1,2,9 Lymphoma and metastatic tumor are less common malignant causes.6

Intestinal lipoma is a rare occurrence with an incidence of 0.04 to 4.5 percent at autopsy.10 Colonic lipomas can be found in the right colon in 70 percent of cases, and less commonly the ascending colon with sigmoid lipomas, as in our patient, a rare occurrence.11,12 Ninety percent of intestinal lipomas originate in the submucosa with subserosal and intramucosal comprising the few rare exceptions.10,11,13 Intestinal lipomas are further classified by size, with those greater than 4 cm called "giant lipomas." While intestinal lipomas rarely result in complications, giant lipomas are more likely to result in intussusception.11

The management of intussusception in adults is surgical, given the likelihood of identifiable pathology in 70 to 90 percent of cases, especially underlying malignancy.1,2 Nonoperative reduction, such as air or contrast enemas performed in pediatric intussusception, should not be attempted in adults. The recommended approach to colonic intussusception in adults is surgical resection without reduction.2,9 The risk associated with a reduction in cases of adult intussusception is potential disruption and spread of a malignant tumor and risk of recurrence.1,14 Therefore, the general consensus is that resection without reduction is required in cases involving the colon, whether ileocecal, ileocolic, or colocolic.1 In some instances, intraoperative reduction without resection is acceptable such as in enteric intussusception with a clear benign etiology, in an effort to preserve small bowel.2 Intussusception can be treated with a laparoscopic approach depending on patient condition and surgeon experience. Several cases of laparoscopic treatment of colonic intussusception have been reported.15,16

Intestinal lipomas are often discovered incidentally, and surgery is reserved for the presence of symptoms. Lipomas smaller than 2 cm have been successfully resected via endoscopy; however, surgery is preferred in lipomas greater than 2 cm as endoscopic removal is associated with a higher risk of perforation.17

Conclusion

While rare, a few cases of sigmoid lipoma as lead-point of intussusception have been reported. Like ours, these cases involved submucosal lipomas with sizes ranging from 2 to 7 cm.5,14,18 In these instances, laparotomy was performed with open resection due to patient presentation or presumed diagnosis. In our case, a less invasive laparoscopic segmental sigmoid resection with hand-assist was possible due to the following conditions: 1) the early inclusion of intestinal lipoma in our differential, 2) radiologic evidence of intussusception with a fat-density mass, and 3) stable clinical condition of the patient. To our knowledge, this is the first case of sigmoid intussusception secondary to submucosal giant lipoma treated with this approach. This case highlights an unusual cause and presentation of adult intussusception, emphasizing the importance of a broad differential and methodical approach to optimize patient treatment.

Lessons Learned

While malignancy is undoubtedly the most important differential to consider in adult intussusception, ancillary testing may yield signs of nonmalignant pathology that should be recognized by the care team. The addition of patient stability and surgeon experience may allow for a minimally invasive technique to be more readily applied.

Authors

Brandt Ma; Knight Sa; Paris Bb; Gao Jc

Author Affiliations

  1. Division of General Surgery, Southern Illinois University, Springfield, IL 62702
  2. Division of Colorectal Surgery, Springfield Clinic, Springfield, IL 62702
  3. Division of Pathology, Southern Illinois University, Springfield, IL 62702

Corresponding Author

Mary Catherine Brandt, MD
Springfield Memorial Hospital
701 N. 1st Street
PO Box 19638
Springfield, IL 62794
Phone: (309) 310-6695
E-mail: mbrandt71@siumed.edu

Disclosure Statement

The authors have no conflicts of interest to disclose.

Funding/Support

The authors have no financial relationships or in-kind support to disclose.

Received: May 11, 2020
Accepted for publication: October 29, 2020

References

  1. Marinis A, Yiallourou A, Samanides L, et al. Intussusception of the bowel in adults: a review. World J Gastroenterol. 2009;15(4):407-411. doi:10.3748/wjg.15.407
  2. Azar T, Berger DL. Adult intussusception. Ann Surg. 1997;226(2):134-138. doi:10.1097/00000658-199708000-00003
  3. Wang N, Cui XY, Liu Y, et al. Adult intussusception: a retrospective review of 41 cases. World J Gastroenterol. 2009;15(26):3303-3308. doi:10.3748/wjg.15.3303
  4. Yakan S, Caliskan C, Makay O, Denecli AG, Korkut MA. Intussusception in adults: clinical characteristics, diagnosis and operative strategies. World J Gastroenterol. 2009;15(16):1985-1989. doi:10.3748/wjg.15.1985
  5. Twigt BA, Nagesser SK, Sonneveld DJ. Colo-colonic intussusception caused by a submucosal lipoma: case report and review of the literature. Case Rep Gastroenterol. 2007;1(1):168-173. Published 2007 Dec 31. doi:10.1159/000112651
  6. Chiang JM, Lin YS. Tumor spectrum of adult intussusception [published correction appears in J Surg Oncol. 2009 Jun 1;99(7):457]. J Surg Oncol. 2008;98(6):444-447. doi:10.1002/jso.21117
  7. Thurley PD, Halliday KE, Somers JM, Al-Daraji WI, Ilyas M, Broderick NJ. Radiological features of Meckel's diverticulum and its complications. Clin Radiol. 2009;64(2):109-118. doi:10.1016/j.crad.2008.07.012
  8. Nagorney DM, Sarr MG, McIlrath DC. Surgical management of intussusception in the adult. Ann Surg. 1981;193(2):230-236. doi:10.1097/00000658-198102000-00019
  9. Lianos G, Xeropotamos N, Bali C, Baltoggiannis G, Ignatiadou E. Adult bowel intussusception: presentation, location, etiology, diagnosis and treatment. G Chir. 2013;34(9-10):280-283.
  10. Kumar K, Noori MR, Patel KM, Yuen W, Bello C. Rare diagnosis of intestinal lipomatosis complicated by intussusception in an adult: A case report. Int J Surg Case Rep. 2017;39:339-342. doi:10.1016/j.ijscr.2017.08.038
  11. Nallamothu G, Adler DG. Large colonic lipomas. Gastroenterol Hepatol (N Y). 2011;7(7):490-492.
  12. Gluskin AB, Singh NA. Gastrointestinal: a sigmoid lipoma as the cause of intussusception. J Gastroenterol Hepatol. 2017;32(2):292. doi:10.1111/jgh.13487
  13. Pickhardt PJ, Kim DH, Menias CO, Gopal DV, Arluk GM, Heise CP. Evaluation of submucosal lesions of the large intestine: part 2. Nonneoplastic causes. Radiographics. 2007;27(6):1693-1703. doi:10.1148/rg.276075028
  14. Mohamed M, Elghawy K, Scholten D, Wilson K, McCann M. Adult sigmoidorectal intussusception related to colonic lipoma: A rare case report with an atypical presentation. Int J Surg Case Rep. 2015;10:134-137. doi:10.1016/j.ijscr.2015.03.035
  15. Akatsu T, Niihara M, Kojima K, Kitajima M, Kitagawa Y, Murai S. Adult colonic intussusception caused by cecum adenoma: successful treatment by emergency laparoscopy: report of a case. Surg Today. 2007;37(8):694-697. doi:10.1007/s00595-007-3480-1
  16. Park KJ, Choi HJ, Kim SH, et al. Sigmoidorectal intussusception of adenoma of sigmoid colon treated by laparoscopic anterior resection after sponge-on-the-stick-assisted manual reduction. World J Gastroenterol. 2006;12(1):146-149. doi:10.3748/wjg.v12.i1.146
  17. Lee JM, Kim JH, Kim M, et al. Endoscopic submucosal dissection of a large colonic lipoma: Report of two cases. World J Gastroenterol. 2015;21(10):3127-3131. doi:10.3748/wjg.v21.i10.3127
  18. Elliott M, Martin J, Mullan F. Prolapsed giant sigmoid lipoma: a rare cause of adult ischaemic intussusception. BMJ Case Rep. 2014;2014:bcr2014204036. Published 2014 May 22. doi:10.1136/bcr-2014-204036