Unsupported Browser
The American College of Surgeons website is not compatible with Internet Explorer 11, IE 11. For the best experience please update your browser.
Menu
Become a member and receive career-enhancing benefits

Our top priority is providing value to members. Your Member Services team is here to ensure you maximize your ACS member benefits, participate in College activities, and engage with your ACS colleagues. It's all here.

Become a Member
Become a member and receive career-enhancing benefits

Our top priority is providing value to members. Your Member Services team is here to ensure you maximize your ACS member benefits, participate in College activities, and engage with your ACS colleagues. It's all here.

Become a Member
ACS
Case Reviews in Surgery

Gunshot Wound to Chest with Embolization of Pellet into the Left Ventricle: Case Report of an Airsoft Gun Injury

Gunshot Wound to Chest with Embolization of Pellet into the Left Ventricle: Case Report of an Airsoft Gun Injury

March 1, 2021

Abstract

Background

Significant injuries can occur from various types of nonpowder guns (NPGs), such as BB and pellet guns. This is a case report of a gunshot wound to chest with an NPG.

Summary

An adolescent male presented to a pediatric emergency department (ED) hemodynamically stable after being shot at close range in the chest with an airsoft gun. Echocardiogram and computed tomography angiogram (CTA) visualized the pellet inside the left ventricle (LV). Unclear of the risk of embolization, the patient underwent cardiac exploration, which revealed no external injury to the heart or mediastinum; intracardiac exploration, however, revealed that the bullet was embedded in the LV myocardium. Given the bullet tract, and the absence of cardiac trauma symptoms, it was hypothesized that the bullet traveled to the central circulation and left ventricle (LV) through the right superior pulmonary vein. NPG-related penetrating injuries should be taken seriously and should be considered as dangerous as any other gunshot wound.

Conclusion

The legal nature of NPGs may mislead children and their caregivers into considering these devices to be safe. Despite the positive outcome of our patient, serious injuries by NPGs have led to significant morbidity and mortality in the pediatric population.

Key Words

Nonpowder guns, cardiac injury


Case Description

A 15-year-old male presented to a Level I pediatric trauma emergency department (ED) and was brought into the shock trauma suite as a stat activation after being shot on the right side of his chest at close range (approximately 5 feet) with an airsoft pellet rifle. He described immediate chest pain. The patient was transported via emergency medical services (EMS) with stable vital signs and no interventions required. On arrival, 30 minutes after the injury, the patient also complained of right upper quadrant abdominal pain, feelings of anxiousness, and pain with inspiration. There was no concern for other injury.

The patient’s past medical history included asthma. He had no recent illnesses. He was not taking any medications. His vital signs at presentation were the following: heart rate 104, respiratory rate 31, blood pressure 144/80, SpO2 96%, temperature 36.8 C (98.2° F), and weight 60 kg. The patient was well-appearing and in no acute distress, with a Glasgow coma scale of 15. His airway was clear and intact. Breath sounds were clear bilaterally, and he described pain with deep inspiratory effort. He had mild tachycardia, strong peripheral pulses, and good distal perfusion. There were no signs of active bleeding. Abdomen was nontender to palpation and nondistended. The patient had a 5 mm wound located inside the “box” medial to the right nipple, at the fourth intercostal space on the right chest wall, 2 cm lateral to the sternum. There was no active bleeding, and no foreign bodies were palpated under the skin. No exit wound was found.

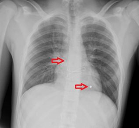
A chest radiograph (Figure 1) was obtained which showed a foreign body overlying the left hemithorax at the level of the apex of the cardiac silhouette.

Figure 1. Arrows pointing to entrance wound marked with a clip and foreign body inside the cardiac silhouette.
Figure 1. Arrows pointing to entrance wound marked with a clip and foreign body inside the cardiac silhouette.

Figure 1. Arrows pointing to entrance wound marked with a clip and foreign body inside the cardiac silhouette.

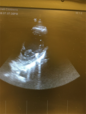
A focused assessment with sonography for trauma exam (Figure 2) was performed and showed a foreign body inside the left ventricle moving along with the ventricular wall contraction with no pericardial fluid. Hematocrit was normal.

Figure 2. Cardiac window showing foreign body inside the heart with no pericardial effusion.
Figure 2. Cardiac window showing foreign body inside the heart with no pericardial effusion.

Figure 2. Cardiac window showing foreign body inside the heart with no pericardial effusion.

An electrocardiogram showed normal sinus rhythm. Cardiothoracic surgery was immediately consulted. Given the patient’s hemodynamic stability, he was taken for a CTA of the chest (Figures 3–5) to delineate the injury and plan surgical intervention. Imaging showed injury to the medial right chest with pulmonary contusion and laceration extending to the anterior aspect of the right hilum. The metallic pellet was identified within the cavity of the left ventricle. There was a small right hemothorax and a tiny pneumothorax.

Figure 3. Coronal view demonstrating bullet track and foreign body inside the left ventricle.
Figure 3. Coronal view demonstrating bullet track and foreign body inside the left ventricle.

Figure 3. Coronal view demonstrating bullet track and foreign body inside the left ventricle.

Figure 4. Axial view depicting bullet inside the left ventricle.
Figure 4. Axial view depicting bullet inside the left ventricle.

Figure 4. Axial view depicting bullet inside the left ventricle.

Figure 5. Axial view depicting bullet track near the pulmonary veins.
Figure 5. Axial view depicting bullet track near the pulmonary veins.

Figure 5. Axial view depicting bullet track near the pulmonary veins.

A transthoracic echocardiography showed a bright mass measuring 8 mm by 5 mm within the left ventricular free wall endocardium, posterior to the posteromedial papillary muscle. There was normal systolic function and no significant pericardial effusion.

Given the entrance wound on the right chest wall, foreign body in the left ventricle, and no signs of cardiac trauma, it was hypothesized that the foreign body traveled into the central circulation and left ventricle (LV) through the right superior pulmonary vein. Given literature descriptions of endovascular retrieval of intracardiac foreign bodies (usually central catheters), the option for endovascular intervention was discussed; however, with the penetrating nature of the injury—crossing the mediastinum and having a foreign body in the left ventricle with an unknown risk of embolization—the decision was made to explore the chest towards the safety of the patient and avoid further potential complications. The patient was then taken to the operating room for intracardiac exploration.

After median sternotomy, a subtotal thymectomy was performed, the pericardium was opened, and the right chest was explored; it had minimal blood and a small hematoma was present over the right hilum. The pleura was entered and an injury to the anterior right upper lobe was seen with a tract down to the hematoma over the right pulmonary veins, which we believe is where the pellet entered the intravascular space. Circumferential dissection of the cava and aorta was accomplished. After bicaval cannulation, the patient was cooled down toward 32 degrees Celsius. After aortic cross-clamping and magnesium-lidocaine cardioplegia, a right atriotomy was performed, and the left atrium/ventricle was explored through the septum primum. The bullet was located (Figure 6) by traumatic changes of the myocardium at the base of the papillary muscle, almost having penetrated through the LV myocardium.

Figure 6. Extracted bullet.
Figure 6. Extracted bullet.

Figure 6. Extracted bullet.

The back of the heart was examined and there was no compromise of the epicardial surface. The septal defect and atriotomy were closed and the patient was rewarmed. The patient weaned off cardiopulmonary bypass without issue. Postoperative transesophageal echocardiogram demonstrated good LV and mitral valve function. The patient was extubated and transferred to the cardiovascular intensive care unit (CICU) for recovery.

The patient remained in the CICU postoperatively for two days without the need for inotropic support. He was discharged home on postoperative day three. Antibiotics for bacterial endocarditis prophylaxis were given for six months.

Discussion

We report a rare case of an NPG injury that highlights the importance of considering NPGs to be dangerous and capable of causing life-threatening or fatal injuries similar to those caused by more traditional firearms. Although our patient presented in stable condition, the pellet could have easily caused significant pulmonary and cardiac injury, with plausible presentations ranging from arrhythmias to pericardial effusion with tamponade or massive hemorrhage and death. It is well known that once a bullet hits the body, it can travel in any direction at different speeds depending on the characteristics of the mass in the body tissue. In this present case, the bullet entered a vessel and its path was redirected with significant force to penetrate the myocardium. The potential damage of these bullets should not be underestimated since, as seen in this case, they are able to travel unimaginable pathways with force. On the original report from EMS, the family was not going to bring the patient to the hospital; however the EMS personnel appropriately followed the penetrating injury protocol per trauma guidelines.

NPGs use air or another compressed gas type to propel an object.1 More than 60% (over 20,000 cases) of nonpowder gun injuries reported annually are in pediatric patients.2-3 Pediatric patients can have more significant injury due to their thin soft tissue coverage that is easily penetrable.1 Technology offers faster and more powerful NPGs, with muzzle velocities ranging from 290 to 940 feet/second.1,4 The critical velocity for penetration of human skin by an air gun pellet was found to be between 38-70 meters/second (125 +/ 230 feet/second)5 Air guns are not legally considered firearms; however, many have velocities that exceed some conventional handguns.4,6

Most NPGs do not require a license and are easily accessible to children due to these devices generally being considered safe.1,4,7Case reports have shown that injuries from NPGs can be serious and sometimes fatal.8-11The majority are accidental, and teenage patients are the most common victims; the most common sites of injury reported are the child’s head, eyes, neck, extremities, and thorax.1,10-12Thoracic injuries from air guns can range from insignificant superficial injury to death.4,6,8,11,13-15

Conclusion

Despite the positive outcome of our patient, serious injuries by NPGs have led to significant morbidity in the pediatric population. Previous cases reports have indicated that underestimating potentially serious injuries by NPGs have led to fatal outcomes.6

Lessons Learned

Although NPGs injuries are rare, they can cause significant harm. The legal nature of NPGs may mislead children and their caregivers into considering these devices to be safe. Muzzle velocities have impressively increased and the accessibility of these devices should therefore be revised.

Authors

Gurria Ja, Riney Lb, Fain Ec, Brown Rd, Morales De

Correspondence Author

Juan Gurria, MD
Division of Pediatric General and Thoracic Surgery
Trauma Surgery Fellow
Cincinnati Children’s Hospital Medical Center
3333 Burnet Ave.
ML 2023
Cincinnati, OH 45229
713-291-6850
Juan.Gurria@cchmc.org

Author Affiliations

  1. Cincinnati Children’s Hospital Medical Center, Division of Pediatric General and Thoracic Surgery, Cincinnati, OH
  2. Cincinnati Children’s Hospital Medical Center, Division of Emergency Medicine, Cincinnati, OH
  3. Cincinnati Children’s Hospital Medical Center, Division of Emergency Medicine, Cincinnati, OH
  4. Cincinnati Children’s Hospital Medical Center, University of Cincinnati Department of Surgery, Cincinnati, OH
  5. Clark-Helmsworth Chair of Pediatric Cardiothoracic Surgery, Heart Institute Cincinnati Children’s Hospital Medical Center, University of Cincinnati College of Medicine, Cincinnati, OH

References

  1. Khan UU, Kamal N, Mirza S, Sherief L. Pediatric air gun shot injury. Saudi Med J. 2014;35(12): 1507-9.
  2. Scribano PV, Nance M, Reilly P. Pediatric nonpowder firearm injuries: outcomes in an urban pediatric setting. Pediatrics. 1997;100(4):E5.
  3. Centers for Disease Control and Prevention (CDC). BB and pellet gun-related injuries--United States, June 1992-May 1994. MMWR Morb Mortal Wkly Rep. 1995;44(49):909-13.
  4. Isik O, Engin C, Daylan A, Sahutoglu C, Air gun pellet: cardiac penetration and peripheral embolization. Ulus Travma Acil Cerrahi Derg. 2016;22(3):301-3.
  5. DiMaio VJ. Penetration and perforation of skin by bullets and missiles. A review of the literature. Am J Forensic Med Pathol. 1981 ;2(2):107-10.
  6. Misseldine S, August DA. Anesthesia for a thoracic BB gun injury. Paediatr Anaesth. 2010;20(6):566-73.
  7. Wightman G, Cochrane R, Gray R, Linton M. A contribution to the discussion on the safety of air weapons. Sci Justice. 2013;53(3):343-9.
  8. DeCou JM, Abrams R, Miller R. Life-threatening air rifle injuries to the heart in three boys. J Pediatr Surg. 2000;35(5):785-7.
  9. Milroy CM, Clark J, Carter N. Air weapon fatalities. J Clin Pathol. 1998;51(7):525-9.
  10. Klein JA, Nowak J, Sutherell J, Wheeler D. Nonsurgical management of cardiac missiles. Pediatr Emerg Care. 2010;26(1):36-8.
  11. Bakovic M, Petrovecki V, Strinovic D, Mayer D. Shot through the heart-firepower and potential lethality of air weapons. J Forensic Sci. 2014;59(6):1658-61.
  12. Navarro-Mingorance A, Reyes-Dominguez SB, Leon-Leon MC. Pediatric orbital emphysema caused by a compressed-air pistol shot: a case report. Arch Soc Esp Oftalmol. 2014;89(9):373-5.
  13. Nakamura DS, McNamara J, Sanderson L. Thoracic air gun injuries in children. Am J Surg. 1983;146(1):39-42.
  14. Hudson AJ Wyatt JP. Cardiac air gun pellet injury. Emerg Med J. 2001;18(6):519.
  15. Alejandro KV, Acosta JA, Rodriguez PA. Air gun pellet cardiac injuries: case report and review of the literature. J Trauma. 2003;54(6):1242-4.