Unsupported Browser
The American College of Surgeons website is not compatible with Internet Explorer 11, IE 11. For the best experience please update your browser.
Menu
Become a member and receive career-enhancing benefits

Our top priority is providing value to members. Your Member Services team is here to ensure you maximize your ACS member benefits, participate in College activities, and engage with your ACS colleagues. It's all here.

Become a Member
Become a member and receive career-enhancing benefits

Our top priority is providing value to members. Your Member Services team is here to ensure you maximize your ACS member benefits, participate in College activities, and engage with your ACS colleagues. It's all here.

Become a Member
ACS
Case Reviews in Surgery

Malignant Adrenal Pheochromocytoma: A Case Report of a Multidisciplinary Surgical Approach

Malignant Adrenal Pheochromocytoma: A Case Report of a Multidisciplinary Surgical Approach

February 24, 2021

Abstract

Background

Adrenal pheochromocytoma is a rare disease which may present with atypical clinical signs and symptoms, including cardiomyopathy, acute coronary syndrome, peripheral arterial thrombosis, left ventricular thrombus, portal vein thrombosis, and inferior vena cava extension/obstruction. There are very few case reports of malignant pheochromocytoma with extension into the right atrium in the literature.

Summary

Our patient is a 50-year-old woman who presented with bilateral leg edema, left chest pain, and pressure radiating to the back. An echocardiogram revealed a large mass in the right atrium extending into the inferior vena cava. Computed tomography angiogram was obtained to rule out pulmonary embolism and aortic dissection. This showed a large irregular mass (measuring 12.3 x 9.7 x 9.4 cm) in the left upper quadrant, with tumor extension into the left renal vein and inferior vena cava and possible invasion into the kidney and stomach. After ruling out multiple endocrine neoplasia syndromes and metastatic disease, as well as adequate biochemical evaluation and medical blockade, an exploratory laparotomy with resection of the tumor en bloc, and median sternotomy with cardiopulmonary bypass for extraction of the atrial tumor thrombus allowed in toto removal of the tumor. The patient was discharged home on postoperative day 10 and remained free of disease and symptoms at 10 months postoperative follow-up.

Conclusion

Surgical excision is the treatment of choice for malignant pheochromocytoma; despite the presence of extensive involvement of the renal vein, inferior vena cava and right atrium, resection and good outcomes can be achieved with adequate planning.

Key Words

Pheochromocytoma; Malignant neuroendocrine tumor; Tumor Thrombus; Mortality


Case Description

Pheochromocytoma is a rare endocrine tumor of the adrenal glands that usually secretes catecholamines, and often presents with a classic triad of headache, sweating, and palpitations. Clinical presentation of pheochromocytoma can vary, often mimicking other diseases, such as anxiety, hyperthyroidism, cardiac dysfunction, and even liver failure.1-4 Currently, there are only a few case reports in the literature of patients with malignant pheochromocytoma with significant intravascular extension.1-3 We present an unusual case of a malignant left adrenal pheochromocytoma associated with a large tumor thrombus extending from the left adrenal vein through the left renal vein, up the inferior vena cava (IVC) and into the right atrium. We stress the importance of a multidisciplinary approach and well-organized, methodical preoperative preparation, and planning for such a challenging case.

The patient is a 50-year-old female who presented to the emergency department complaining of recurrent left chest pain radiating to the back. These symptoms were transient, often resolving within a few minutes, and were associated with diaphoresis, lightheadedness, and flushing. In addition, the patient developed hyperglycemia and relentless bilateral lower extremity edema that did not improve when she was placed on oral hypoglycemic and diuretics by her primary care physician.

She underwent an echocardiogram, which revealed a large mass in the right atrium extending into the inferior vena cava (IVC) (Figure 1).

Figure 1: Echocardiogram performed at presentation, showing the right atrial mass.
Figure 1: Echocardiogram performed at presentation, showing the right atrial mass.

Figure 1: Echocardiogram performed at presentation, showing the right atrial mass.

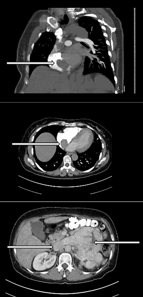
A computed tomography of the chest/abdomen/pelvis showed a large mass concerning for malignancy measuring 12.3 x 9.7cm, and arising from the left upper quadrant and displacing the left kidney inferiorly, with tumor extension into the left renal vein, up the IVC nearly obstructing it and into the right atrium (Figure 2).

Figure 2: Computed tomography of the chest and abdomen demonstrating a tumor extending into the inferior vena cava and the right atrium. (A) Coronal view of intracardiac tumor (arrow) (B) Axial view of the intracardiac tumor (arrow) (C) Axial view of the left adrenal mass with tumor extension into the left renal vein and IVC (arrows)
Figure 2: Computed tomography of the chest and abdomen demonstrating a tumor extending into the inferior vena cava and the right atrium. (A) Coronal view of intracardiac tumor (arrow) (B) Axial view of the intracardiac tumor (arrow) (C) Axial view of the left adrenal mass with tumor extension into the left renal vein and IVC (arrows)

Figure 2: Computed tomography of the chest and abdomen demonstrating a tumor extending into the inferior vena cava and the right atrium. (A) Coronal view of intracardiac tumor (arrow) (B) Axial view of the intracardiac tumor (arrow) (C) Axial view of the left adrenal mass with tumor extension into the left renal vein and IVC (arrows)

Based on her symptoms and the new finding of this mass, a pheochromocytoma or an adrenocortical carcinoma was suspected. The patient underwent biochemical testing (Table 1).

Table 1: Preoperative laboratory values for 24 hour urinary catecholamines
Table 1: Preoperative laboratory values for 24 hour urinary catecholamines

Table 1: Preoperative laboratory values for 24 hour urinary catecholamines

The diagnosis of pheochromocytoma was confirmed; she was given prazosin, followed by metoprolol, and metyrosine. After ruling out distant metastatic disease with a metaiodobenzylguanidine (MIBG) scan, a multidisciplinary treatment plan involving endocrine and cardiac surgeons, medical endocrinologists, and anesthesiologists was put forth for the surgical removal of the tumor. A thorough cardiac preoperative evaluation including cardiac echocardiogram and functional testing was done. Prazosin dosing was increased until the patient developed orthostatic hypotension. Once this was achieved, the patient’s sodium and fluid intake were increased by encouraging salty foods in order to reverse catecholamine-induced blood volume contraction preoperatively and to prevent severe hypotension after tumor removal.

The patient was maintained on metyrosine for two weeks prior to surgery, while her alpha-blockade was increased. The goal blood pressure for surgery was <130/80 mm Hg while seated and SBP >90 mm Hg while standing. Target heart rate was 60–80 bpm seated, 70–90 bpm standing (while on metoprolol). Medications were titrated every three days as an outpatient until blood pressure and heart rate were at goal. Once adequately medically blocked as evidenced by vital signs and decreased urinary metanephrines on metyrosine, the patient underwent resection.

A transesophageal echocardiogram (TEE) was done during the procedure; this allowed for continuous assessment of cardiac function and tumor thrombus status. The incision for the surgery was a bilateral subcostal incision with a sternotomy extension. The heart was exposed early, in case the tumor thrombus ruptured during manipulation in the abdomen, potentially obstructing the right heart outflow and requiring urgent cardiac intervention.

The large left adrenal mass was easily identified in the left upper quadrant, with numerous fragile varices around the neovascularized tumor. The adrenal vein was large, measuring 3 cm; it was filled with tumor thrombus, which extended from the proximal left renal vein into the IVC and then up the IVC into the right atrium. The renal vein was dissected free under the superior mesenteric artery; large venous collaterals were ligated, and the kidney vasculature was preserved. The patient had a large left gonadal vein that inserted distal to the tumor thrombus, providing drainage of the left kidney. This was preserved in case the left renal vein had to be ligated. The tumor invaded neither the kidney nor the arterial supply to the kidney; it was decided that en bloc resection would not be necessary if the renal venous drainage could be saved. If the kidney vasculature could not be saved, we considered re-vascularizing or replanting it.

The tumor did not have direct invasion into the stomach, spleen or pancreas. These organs were mobilized off the large tumor without difficulty. The tumor had some adherence to the psoas and diaphragmatic crus on the left side, and muscle was taken en bloc with the tumor to assure negative margins.

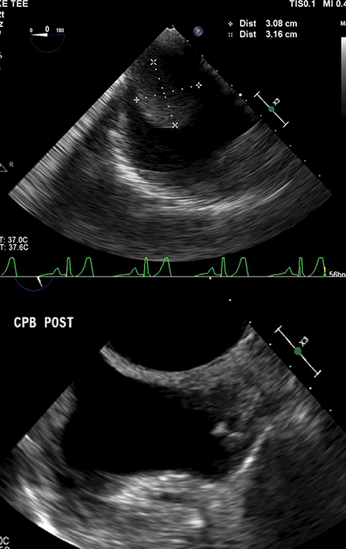
After gaining control of the infrarenal IVC, the right and left renal veins, and the right adrenal vein, the right lobe of the liver was mobilized, and the supra-hepatic IVC was cleared and readied for vascular control. The cardiac team then put the patient on cardiopulmonary bypass and opened the right atrium. The tumor thrombus was evident, as depicted on the intraoperative TEE (Figure 3A). With control of the IVC, the left renal vein was opened lengthwise near its IVC insertion. The tumor thrombus was gently pushed downwards digitally through the atrial incision into the IVC and gently pulled from below and delivered into the venotomy of the left renal vein in its entirety. The tumor was not adherent to any structures. Blood flow around the IVC/renal vein venotomy was controlled manually with pressure and vessel loops while the cardiac surgeons closed the atrium and took the patient off cardiopulmonary bypass (Figure 3B).

Figure 3: Intraoperative transesophageal echocardiogram before (A) and after (B) tumor resection
Figure 3: Intraoperative transesophageal echocardiogram before (A) and after (B) tumor resection

Figure 3: Intraoperative transesophageal echocardiogram before (A) and after (B) tumor resection

The renal vein was opened along its length to deliver the large tumor thrombus back to the adrenal vein, which was then transected, and the entire tumor along with its intravascular extension was removed in one piece (Figure 4). The renal vein and IVC were closed, with return of normal blood flow to the left kidney and IVC. TEE showed a normal right atrium and IVC. The patient remained hemodynamically stable. Total blood loss was less than 600cc.

Figure 4. The surgical specimen in situ (A) and resected (B)
Figure 4. The surgical specimen in situ (A) and resected (B)

Figure 4. The surgical specimen in situ (A) and resected (B)

The patient remained intubated in the intensive care unit overnight. During this time, any pressor requirements were able to be weaned off; 12 hours later the patient was extubated and off all pressors. Using a combination of prazosin, metyrosine, and hydration preoperatively prevented a prolonged hypotensive period after resection. The patient’s hyperglycemia resolved completely and she experienced no hypoglycemic episodes. The patient did well and was discharged home ten days postoperatively. The pathology demonstrated a 17 cm malignant pheochromocytoma with a large, intact intravascular tumor thrombus, tumor necrosis, and lymphovascular invasion, with negative surgical margins. Adjuvant radiation was not considered.

The patient underwent biochemical testing of 24-hour urinary catecholamines eight weeks after surgery and at six months intervals thereafter. The patient has remained free of disease with normal catecholamines and resolution of her symptoms 12 months postoperatively.

Discussion

Pheochromocytoma is a rare neuroendocrine tumor; the diagnosis of malignancy is often based on clinical behavior. In this case, the invasive imaging characteristics of the tumor made us suspect a malignant pheochromocytoma preoperatively. Histological determination has been attempted with development of the pheochromocytoma of the adrenal gland scaled score (PASS); however, PASS determination has not proven to be as reliable an indicator for malignancy as the clinical behavior of the disease.4 Local recurrence or metastatic disease remain the best indicators for malignancy.5 Surgical excision is the treatment of choice. An aggressive approach has been recommended for these tumors since they often can be removed successfully in spite of extensive involvement of the IVC and/or right atrium. When the thrombus is localized within the infra-hepatic IVC, tumor extraction is usually accomplished through an abdominal approach after proximal and distal control of the IVC. However, when it extends into the right atrium, isolation of the IVC requires mobilization of the liver, and the patient may need to undergo cardiopulmonary bypass and, in some circumstances, deep hypothermic circulatory arrest. This has been implemented in cases of renal cell carcinoma invading into the IVC 6,7, and less often for other pathologies, including angiosarcoma and malignant adrenal pheochromocytoma.1,2,8 Dunn et al were the first to use cardiopulmonary bypass with hypothermia and circulatory arrest for patients with adrenal pheochromocytoma extending into the IVC in 1992.8 Angermeier et al reported the first case of primary pheochromocytoma involving the right atrium with successful surgical excision using the same technique in 1990.1 Hartgrink et al reported massive blood loss from a tear in the liver capsule during the dissection of a primary malignant adrenal pheochromocytoma extending to the right atrium with cardiopulmonary bypass, hypothermia, and circulatory arrest.9

In the current patient’s case, cardiopulmonary bypass was implemented successfully. Having the heart exposed early in order to assure immediate access, and refraining from pulling on the delicate and friable tumor thrombus from below, but rather delivering it in toto from above, directly from the right atrium, were maneuvers which proved successful in avoiding tumor rupture, embolization, or gross dissemination. The extensive preoperative planning in a multidisciplinary fashion and continuous intraoperative communication between all involved teams were important for a successful outcome.

All patients with pheochromocytoma should undergo α-adrenergic blockade preoperatively, often necessitating up to two weeks prior to surgery, titrated to orthostatic hypotension; intravascular volume should be increased with salt loading to help reduce blood pressure lability and cardiac arrhythmias during the operation.10,11 There are several α-blockers that are commonly used in patients with pheochromocytoma. Phenoxybenzamine has been used since the 1950s and is a long-acting, noncompetitive, nonselective α-antagonist. It has been associated with tachycardia secondary to increased norepinephrine release by the sympathetic nerve endings. This side effect can be ameliorated with the use of β-blockers after α-adrenergic blockade has been established. Selective short-acting α-1-adrenergic blockers (doxazosin, prazosin, and terazosin) have little or no effect on presynaptic alpha-2-receptors or β-receptors. They have a shorter duration of action, less reflex tachycardia, and a lower incidence of postoperative hypotension. Doxazosin has the longest half-life of the selective α-adrenergic blockers and requires only once-a-day dosing.9 The authors prefer selective α-1 adrenergic blockers for preoperative preparation, and have been using them as first line agents for nearly two decades.

In cases where the tumor is very active, as evidenced by high levels of timed total urinary catecholamines, metyrosine can be added for preoperative preparation and blood pressure control. Metyrosine depletes adrenal catecholamine stores by inhibiting tyrosine hydroxylase, the rate-limiting enzyme in catecholamine synthesis. Pheochromocytomas have significantly enhanced tyrosine hydroxylase activity compared to normal adrenal tissue. Metyrosine improves significantly the intraoperative hemodynamic control compared to phenoxybenzamine or prazosin alone.12 It may cause extrapyramidal side effects, sedation, and depression; however, it can be used in a dose-intensive fashion for a short time right before surgery. Unfortunately, it is very expensive in the United States and often difficult to obtain. The authors restrict its use to patients with very large, active, or metastatic pheochromocytomas.

Long-term follow-up is indicated for pheochomocytoma patients. According to the most recent NCCN guidelines, in the first year after resection, a physical examination and biochemical markers are indicated at 3–12 months; thereafter, similar evaluations are indicated at 6–12 months intervals for three years, and annually for up to 10 years. Cross-sectional imaging can be considered for patients who are at high risk for recurrence or metastasis.13

Conclusion

Surgical excision is the treatment of choice for primary malignant pheochromocytoma; intensive medical blockade followed by an aggressive transdisciplinary surgical approach are recommended for these tumors. Long-term follow-up with yearly urinary catecholamines is necessary to rule out metastases, recurrences, or metachronous disease.

Lessons Learned

We emphasize the importance of adequate preoperative α-blockade and the addition of metyrosine for biochemical control of a very active tumor, as well as a multidisciplinary approach.Intraoperative exposure of the heart was done early, and we avoided traction on the delicate intravascular tumor thrombus from below without control of the atrium, as this maneuver could have risked thrombus breakage, and possibly occlusion of the tricuspid valve. The mass was resected en bloc to avoid tumor spillage or dissemination.

Authors

Konstantinidis A
Section of Endocrine Surgery, Department of Surgery, Duke University, Durham, NC

Castellanos S
Duke University School of Medicine, Durham, NC

Sosa JA
Section of Endocrine Surgery, Department of Surgery, Duke University, Durham, NC
Duke University School of Medicine, Durham, NC
Duke Cancer Institute, Durham, NC
Duke Clinical Research Institute, Durham, NC

Roman SA
Section of Endocrine Surgery, Department of Surgery, Duke University, Durham, NC
Duke University School of Medicine, Durham, NC
Duke Cancer Institute, Durham, NC

Correspondence Author

Sanziana A Roman, MD
Section of Endocrine Surgery
Duke University School of Medicine
DUMC 2945
Durham, NC 27710
919-668-1767
sanziana.roman@duke.edu

Disclosure

Julie Ann Sosa MD, MA, is a member of the Data Monitoring Committee of the Medullary Thyroid Cancer Consortium Registry supported by NovoNordisk, GlaxoSmithKline, Astra Zeneca, and Eli Lilly. All other authors report no financial or other conflicts of interest.

References

  1. Angermeier, KW, Ross JH, Novick AC, Pontes JE, Cosgrove DM. Resection of nonrenal retroperitoneal tumors with large vena caval thrombi using cardiopulmonary bypass and hypothermic circulatory arrest. J of Urol, 1990;144(3):735-739.
  2. Ku, C, Lo CY, Chan WF, et al. Resection of phaeochromocytoma extending into the right atrium in a patient with multiple endocrine neoplasia type 2A. Hong Kong Med J, 2005;11(1):50-62.
  3. Dural, C, Blige O, Oker A, et al. Malignant phaeochromocytoma with cavoatrial extension: transcaval removal of tumor without cardiopulmonary bypass. Minerva Chirurgica, 2010;65(4):485-488.
  4. Lewis, P. A cytophotometric study of benign and malignant phaeochromocytomas. Virchows Archiv B, 1971; 9(1):371.
  5. Pommier, RF, Brennan, MF. Management of adrenal neoplasms. Curr Prob Surg, 1991;28(10):663-739.
  6. Tsuji, Y, Goto A, Hara I, et al. Renal cell carcinoma with extension of tumor thrombus into the vena cava: surgical strategy and prognosis. J Vasc Surg, 2001; 33(4):789-796.
  7. Dedeilias P, Koletsis E, Rousakis AG, et al. Deep hypothermia and circulatory arrest in the surgical management of renal tumors with cavoatrial extension. J Card Surg, 2009;24(6):6170623.
  8. Dunn, CW, Snyder WH, Ring WS, Latson TW. Pheochromocytoma with extension into the inferior vena cava: a case report. Surgery, 1992;111(4):472-474.
  9. Hartgrink, HH, Roelfsema F, Tollenaar RA, et al. Primary pheochromocytoma extending into the right atrium: report of a case and review of the literature. Eur J Surg Oncol, 2001;27(1):115-119.
  10. Kinney, MA, Warner ME, vanHeerden JA et al. Perianesthetic risks and outcomes of pheochromocytoma and paraganglioma resection. Anesth Analg, 2000;91(5):1118-1123.
  11. Bogolioubov, A, Keefe DL, Groeger JS. Circulatory shock. Crit Care Clin, 2001;17(3):697-719.
  12. Wachtel, H., Kennedy EH, Zaheer S, et al. Preoperative metyrosine improves cardiovascular outcomes for patients undergoing surgery for pheochromocytoma and paraganglioma. Ann Surgl Oncol, 2015;22(3): 646-654.
  13. https://www.nccn.org/professionals/physician_gls/pdf/neuroendocrine.pdf (accessed 8/21/2017)