Unsupported Browser
The American College of Surgeons website is not compatible with Internet Explorer 11, IE 11. For the best experience please update your browser.
Menu
Become a member and receive career-enhancing benefits

Our top priority is providing value to members. Your Member Services team is here to ensure you maximize your ACS member benefits, participate in College activities, and engage with your ACS colleagues. It's all here.

Become a Member
Become a member and receive career-enhancing benefits

Our top priority is providing value to members. Your Member Services team is here to ensure you maximize your ACS member benefits, participate in College activities, and engage with your ACS colleagues. It's all here.

Become a Member
ACS
ACS Case Reviews

Successful Delayed Surgical Repair of Atrioesophageal Fistula Following Atrial Fibrillation Ablation

August 1, 2022

Abstract

Background

Catheter-based ablation procedures for atrial fibrillation offer a minimally-invasive approach to treating patients refractory to or intolerant of medical therapy. These procedures carry a small but significant risk of injuring the posterior wall of the left atrium and esophagus, resulting in the development of an atrioesophageal fistula. These fistulae are rare but devastating, with significant morbidity and mortality related to air emboli, septicemia, or gastrointestinal hemorrhage. Many patients are not able to undergo immediate repair, substantially increasing their mortality. While early surgical intervention confers the greatest chance of survival, the severity of illness on presentation dictates surgical candidacy.

Summary

We report the case of a 73-year-old male with atrial fibrillation refractory to conservative measures who underwent a catheter ablation procedure to treat his arrhythmia. Twenty days post-procedure, he was found unresponsive with seizure-like activity at home. These neurologic symptoms were a consequence of an air embolism related to an atrioesophageal fistula arising from his ablation procedure. Given the severity of his illness on presentation, he was not deemed an immediate surgical candidate. He stabilized over the course of the next 22 days and ultimately recovered significant neurologic function. The decision was made to undergo operative takedown of the fistula, given concerns over the possibility of a persistent fistula. In the operating room, he was cannulated peripherally for possible cardiopulmonary bypass and underwent a right thoracotomy, takedown of the fistula without bypass, and intercostal muscle flap. Postoperatively he progressed without complication and was discharged to a rehabilitation facility for further neurologic recovery.

Conclusion

Atrioesophageal fistula after atrial fibrillation ablation is a complication with potentially devastating consequences. Early surgical management provides the greatest chance of survival, although patient stability determines operative candidacy. While a subset of patients too unstable for early repair clinically stabilizes, long-term complications related to persistent fistulae may occur. Here, we present a case in which urgent intervention was impossible due to profound reversible neurologic injury. Instead, we performed the first reported successful delayed surgical fistula takedown beyond 48 hours of presentation.

Key Words

atrial fibrillation; ablation; atrioesophageal fistula; fistula; esophagus; left atrium


Case Description

Atrioesophageal fistula is a rare but devastating complication related to ablation procedures for atrial fibrillation. This injury confers upwards of 80% mortality,1 with surgical intervention providing the greatest chance of survival compared to endoscopic or conservative management.2,3 Severity of illness on presentation dictates surgical candidacy; however, many patients cannot undergo immediate repair, substantially increasing mortality.

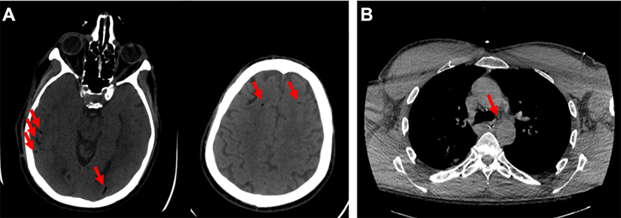
A 73-year-old male presented as a transfer from an outside hospital emergency room twenty days after percutaneous pulmonary vein isolation via radiofrequency ablation for symptomatic atrial fibrillation refractory to combination rate-controlling and anti-arrhythmic medication. He was found unresponsive at home with seizure-like activity and was brought to the emergency department, where computed tomography (CT) head revealed foci of air throughout bilateral cerebral hemispheres, and a CT chest revealed pneumomediastinum (Figure 1).

Figure 1. Imaging on Presentation. Published With Permission

A) CT head on initial presentation (arrows represent pneumocephalus); and B) CT chest on initial presentation (arrow represents pneumomediastinum).

He was intubated and transferred to our hospital, where he would be further treated for an air embolism secondary to a suspected atrioesophageal fistula. He had severe neurologic compromise related to the emboli with subsequent development of cerebral edema and central fevers on presentation. His Glasgow Coma Score was 3T with no cough/corneal reflex and absent pupillary response. He had Streptococcus mitis bacteremia, meningitis, and mediastinitis. The central fevers required active cooling, and the cerebral edema required mannitol and hypertonic saline administration. Given this degree of injury and the potential for surgery/cardiopulmonary bypass to irreversibly worsen his neurologic status, he was not a surgical candidate for the repair of the fistula. He was therefore managed conservatively over the next 22 days. He demonstrated slow but steady neurologic improvement during this time without further sequelae related to the fistula. He was extubated and able to follow commands, speak and move his lower extremities. His long-term neurologic-specific prognosis was likely to include recovery to functional independence, having already displayed progressive and significant neurologic recovery. Given the potential for the fistula to re-canalize, however, an extensive multidisciplinary discussion between cardiac and thoracic surgical teams as well as neurology and family, led to the decision to proceed with definitive surgical management of the fistula.

The patient was taken to the operating room 23 days after his presenting symptoms for a right posterolateral thoracotomy, takedown of atrioesophageal fistula, and pedicled intercostal muscle flap. He was cannulated via the right common femoral artery and vein for possible cardiopulmonary bypass. After identifying the fistula, a 4-0 Prolene pursestring suture was placed around the fistula on the atrial side. The fistula (Figure 2A) separated from the atrium without bleeding, so initiation of the bypass was not necessary. The Prolene suture was tied, and the esophageal side of the fistula was primarily repaired in two layers (Figure 2B and Figure 2C). Two thoracostomy tubes and a nasogastric tube were placed intraoperatively. Postoperatively he was brought to the cardiovascular intensive care unit, where he was subsequently extubated. His neurologic status returned to that of his pre-operative baseline. While he could not swallow, permitting fluoroscopic evaluation of the repair, he had no clinical signs of infection, and his chest tubes placed intraoperatively showed no sign of enteric leakage. His nasogastric and chest tubes were subsequently removed, and he was discharged to a subacute rehabilitation facility on postoperative day 19, hospital day 42.

Figure 2. Surgical Management. Published With Permission

A) Atrioesophageal fistula as shown through right posterolateral thoracotomy (arrow represents fistula); B) separated fistula with atrial and esophageal defects repaired; and C) pedicled intercostal muscle flap between esophagus and heart. Lu =  lung; Esoph = esophagus; LA = left atrium

Discussion

Pulmonary vein isolation via percutaneous or open techniques is generally reserved for patients with symptomatic atrial fibrillation who cannot tolerate standard medical therapy or remain symptomatic despite traditional therapies. While its success rate is high, there is a small but significant risk of causing injury to the esophagus, located immediately behind the heterogeneously thin posterior wall of the left atrium. Injury to the esophagus may be severe enough to form an atrial-esophageal fistula. Esophageal injury is hypothesized to result from one of three mechanisms: delayed thermal injury through the posterior wall of the left atrium, ischemic injury to end arterioles, or ulcer formation related to a hyper-acid state after injury to the vagus nerve.5 Injury severity ranges from an asymptomatic ulcer found on post-procedure endoscopy to frank perforation or development of atrial-esophageal fistula, which may present as a cerebrovascular event secondary to air embolism, septicemia, tamponade or GI hemorrhage. Reported cases of atrioesophageal fistulae typically present in a delayed fashion after injury, most commonly presenting around post-procedure day 20.26 Common symptoms include fever (73%), neurologic symptoms related to air embolism (72%), GI symptoms such as hematemesis, nausea, vomiting, dysphagia (41%), and cardiac symptoms such as chest pain, dyspnea, and palpitations (40%).6

Management of atrioesophageal fistulae depends on illness severity on presentation, ranging from conservative management to endoscopic intervention to definitive surgical repair. Mortality associated with the injury may be upwards of 97% in patients treated conservatively, which improves to 65% in those treated endoscopically, and 33% managed surgically.2,3 Surgical intervention, however, is typically reserved for those who can tolerate immediate surgical repair. Considerations for surgery involve the potential need for cardiopulmonary bypass to disconnect the fistula, repair the atrial wall, and assess the esophageal injury for possible repair, diversion, or wide drainage. Our patient represents a rare case where his initial neurologic injury was so severe that he was not deemed an immediate surgical candidate. Fortunately, his neurologic status improved such that he was likely to regain functional independence. With ongoing clinical stability, it was likely that his fistula was no longer patient. Given concerns over the potential for fistula recurrence, he was treated with delayed definitive surgical repair (>48 hours post-presentation). While surgical planning involved the possibility of cardiopulmonary bypass and esophageal diversion, this was not necessary as the fistula tract was disconnected without significant bleeding.

Conclusion

Atrioesophageal fistula is a devastating injury related to ablation procedures for atrial fibrillation. First documented in 2002,7 immediate surgical repair has provided the greatest chance of survival. However, prior to this report, there have been no documented cases of delayed surgical repair beyond 48 hours from the initial presentation.

Lessons Learned

While immediate surgical intervention remains preferable in patients who can tolerate the stress of surgery and possible cardiopulmonary bypass, our case demonstrates that supportive care through the immediate insult of multiple cerebral manifestations and septicemia can preserve surgical candidacy for definitive repair of atrioesophageal fistulae without concern for future recurrence of symptoms. Furthermore, we recommend that repair be considered in the delayed period as the likelihood of recurrent symptoms persists while the esophagus remains adherent to the atrial wall.

References

  1. Chavez P, Messerli FH, Casso Dominguez A, et al. Atrioesophageal fistula following ablation procedures for atrial fibrillation: systematic review of case reports. Open Heart. 2015;2(1):e000257. Published 2015 Sep 10. doi:10.1136/openhrt-2015-000257
  2. Jehaludi A, Heist EK, Giveans MR, Anand R. Retrospective review of 65 atrioesophageal fistulas post atrial fibrillation ablation. Indian Pacing Electrophysiol J. 2018;18(3):100-107. doi:10.1016/j.ipej.2018.02.002
  3. Calkins H, Hindricks G, Cappato R, et al. 2017 HRS/EHRA/ECAS/APHRS/SOLAECE expert consensus statement on catheter and surgical ablation of atrial fibrillation. Europace. 2018;20(1):e1-e160. doi:10.1093/europace/eux274
  4. Arbelo E, Brugada J, Blomström-Lundqvist C, et al. Contemporary management of patients undergoing atrial fibrillation ablation: in-hospital and 1-year follow-up findings from the ESC-EHRA atrial fibrillation ablation long-term registry. Eur Heart J. 2017;38(17):1303-1316. doi:10.1093/eurheartj/ehw564
  5. Kapur S, Barbhaiya C, Deneke T, Michaud GF. Esophageal Injury and Atrioesophageal Fistula Caused by Ablation for Atrial Fibrillation. Circulation. 2017;136(13):1247-1255. doi:10.1161/CIRCULATIONAHA.117.025827
  6. Han HC, Ha FJ, Sanders P, et al. Atrioesophageal Fistula: Clinical Presentation, Procedural Characteristics, Diagnostic Investigations, and Treatment Outcomes. Circ Arrhythm Electrophysiol. 2017;10(11):e005579. doi:10.1161/CIRCEP.117.005579
  7. Mohr FW, Fabricius AM, Falk V, et al. Curative treatment of atrial fibrillation with intraoperative radiofrequency ablation: short-term and midterm results. J Thorac Cardiovasc Surg. 2002;123(5):919-927. doi:10.1067/mtc.2002.120730

Authors

Altshuler PJ; Siena N; Evans NR 3rd; Cowan SW; Entwistle JW

Author Affiliations

Department of Surgery, Sidney Kimmel Medical College of Thomas Jefferson University, Philadelphia, Pennsylvania

Corresponding Author

Peter Altshuler, MD
Department of Surgery
Sidney Kimmel Medical College
Thomas Jefferson University
1015 Walnut Street, Ste. 620
Philadelphia, PA 19107
Email: peter.altshuler@jefferson.edu

Disclosure Statement

The authors have no conflicts of interest to disclose.

Funding/Support

The authors have no relevant financial relationships or in-kind support to disclose.

Received: August 19, 2020
Revision received: October 19, 2020
Accepted: November 24, 2020