Unsupported Browser
The American College of Surgeons website is not compatible with Internet Explorer 11, IE 11. For the best experience please update your browser.
Menu
Become a member and receive career-enhancing benefits

Our top priority is providing value to members. Your Member Services team is here to ensure you maximize your ACS member benefits, participate in College activities, and engage with your ACS colleagues. It's all here.

Become a Member
Become a member and receive career-enhancing benefits

Our top priority is providing value to members. Your Member Services team is here to ensure you maximize your ACS member benefits, participate in College activities, and engage with your ACS colleagues. It's all here.

Become a Member
ACS
ACS Case Reviews

COVID-19 Patient Presenting With Total Pancreatic Necrosis and Pancreatico-colonic Fistula

August 1, 2022

Abstract

Background

The COVID-19 virus has impacted people around the globe, with over 4.5 million deaths related to the virus as of August 2021. Numerous reports have linked COVID-19 to the development of acute pancreatitis. The virus interacts with the pancreas through various mechanisms, including direct binding of the virus through ACE-2 receptors.

Summary

A 71-year-old male with multiple comorbidities presented with COVID-19 pneumonia requiring intubation and acute necrotizing pancreatitis with pancreatico-colonic fistula. The patient was critically ill and managed surgically with pancreatic necrosectomy and take-down of the pancreatico-colonic fistula. The patient remained critically ill and ultimately passed away eight days after presentation.

Conclusion

This patient's presentation of severe acute necrotizing pancreatitis secondary to COVID-19 infection and his clinical course progressed similarly to severe acute pancreatitis. COVID-19 is a complex virus with multiorgan tropism, and we are only just beginning to understand its extrapulmonary manifestations.

Key Words

COVID-19; acute pancreatitis; pancreatic necrosis; pancreatico-colonic fistula; pancreatic necrosectomy


Case Description

The patient is a 71-year-old male with a past medical history significant for end-stage renal disease on hemodialysis, diabetes mellitus (DM), and BMI of 31. He had an extensive cardiac history, including coronary artery disease requiring three-vessel coronary artery bypass in 2017, atrial fibrillation on apixaban, recent non-ST elevation myocardial infarction, and ventricular fibrillation arrest in July 2020 requiring implantable cardioverter-defibrillator (ICD) placement. He was initially seen and evaluated for acute cholecystitis in September 2020. A cholecystostomy tube was placed due to the high risk of surgery with his recent cardiac arrest. He was discharged to a nursing facility after 20 days. A cholecystostomy tube study showed patent cystic ducts and CBD with no evidence of retained stones.

He re-presented in October 2020 with acute hypoxic respiratory failure due to COVID-19. He had been feeling ill with abdominal pain and distension for one day prior to presentation. He was exposed to COVID-19 in the facility by multiple family members who later tested positive for the virus.

In the emergency department, he was afebrile but hypotensive and tachycardic. Admission labs were significant for elevated white blood cell count and acute hypoxic respiratory failure (Table 1). He required intubation and was started on vasopressors, intravenous fluids, and antibiotics. His chest radiograph showed interstitial edema and pneumonia. General surgery was consulted for worsening abdominal distension and lactic acidosis. His abdomen was soft, massively distended on physical exam, with no rebound, guarding, or peritoneal signs. Gallbladder etiology was considered initially as his source of pancreatitis; however, he did not previously have elevated lipase or imaging findings of pancreatitis and had a cholangiogram negative for retained stones in the interim.

Table 1. Lab Values at Admission

Na 137
K 4.5
Cl 102

CO2

27
Anion Gap 12
BUN 34
Cr 3.75
Glu 149
Ca 7.9
Mg 2
Alk 147
Albumin 1.8
Total Protein 8
Globulin 6.2
AST 39
ALT 13
Bilirubin T 0.9
Amylase Not evaluated
Lipase Not evaluated
proBNP 19,566
Total CK 32
Troponin I 0.12
WBC 25
RBC 3.13
Hgb 8.1
Hct 28.4
Platelet 194
pH 7.35
pCO2 46 mmHg
pO2 60 mmHg
Hgb A1c 10.8
Na 137
K 4.5
Cl 102

CO2

27
Anion Gap 12
BUN 34
Cr 3.75
Glu 149
Ca 7.9
Mg 2
Alk 147
Albumin 1.8
Total Protein 8
Globulin 6.2
AST 39
ALT 13
Bilirubin T 0.9
Amylase Not evaluated
Lipase Not evaluated
proBNP 19,566
Total CK 32
Troponin I 0.12
WBC 25
RBC 3.13
Hgb 8.1
Hct 28.4
Platelet 194
pH 7.35
pCO2 46 mmHg
pO2 60 mmHg
Hgb A1c 10.8

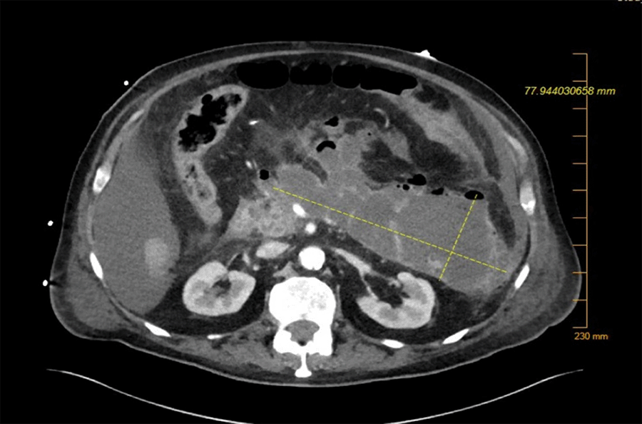
Computed tomography (CT) abdomen and pelvis without contrast performed about four hours after arrival to the ED showed extensive pancreatic parenchymal necrosis. An initial scan was unable to localize the fistula, which was thought to be from the duodenum versus the splenic flexure colon (Figure 1).

Figure 1. CT Abdomen Pelvis Showing Extensive Pancreatic Parenchymal Necrosis With Loculated Fluid Collection Measuring 18.8 × 7.8 × 7.2 cm. Published With Permission

Repeat CT abdomen and pelvis with oral was performed to localized fistula and guide surgical planning. This showed contrast extravasation into pancreatic collection (Figure 2) with a fistulous connection to the splenic flexure of the colon (Figure 3). MRCP was considered for evaluation, but the patient was too unstable for the MRI and would not change our treatment plan at this time.

Interventional radiology drainage of infected pancreatic necrosis was delayed due to concern for bleeding risk from apixaban. The patient remained in septic shock requiring vasopressors but was stable from a pulmonary standpoint, on minimal ventilator settings.

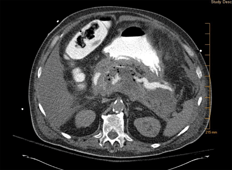
Figure 2. CT Abdomen Pelvis With Oral Contrast Showing Extravasation Into Pancreatic Necrosis. Published With Permission

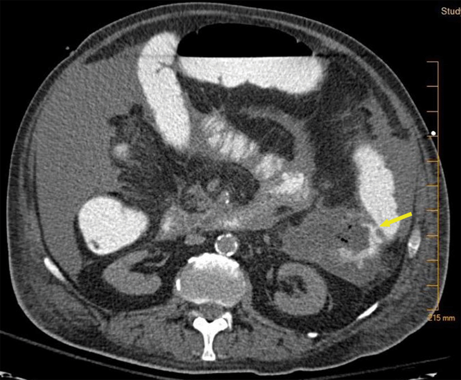
Figure 3. CT Abdomen Pelvis With Oral Contrast Showing Fistulous Connection to Splenic Flexure of the Colon (Yellow Arrow). Published With Permission

After extensive discussion with the family, the patient was taken to the operating room for an exploratory laparotomy approximately 24 hours after admission. Precautions were taken in the operating room, including having staff wear N95 masks. Careful specimen handling with appropriate protective equipment and a closed suction system was utilized. Eight liters of serous ascites fluid were removed. The lesser sac was obliterated, with the pancreas densely adherent to the stomach and colon. The splenic flexure and descending colon were mobilized, which revealed full-thickness necrosis of the entire body and tail of the pancreas with capsule adherent to the colon. A 1 × 1 cm fistula between the splenic flexure of the colon and pancreas was identified. The segment of colon with the pancreatic fistula was excised using a GIA stapler and sent for pathology. Pathology later showed a disruption of the mucosa in that segment of the colon. The pancreatic tissue sent for pathology showed extensively necrotic tissue with no viable pancreatic tissue identified. The pancreatic body and tail were extensively debrided. Two 19 French drains were placed in the pancreatic bed and left paracolic gutter. The colon was left in discontinuity for planned second-look laparotomy. Hemostasis was achieved at the end of the case. A temporary abdominal closure was performed with a negative pressure device, with a plan to return for a second-look laparotomy.

Immediately postoperatively, the patient became hypotensive and tachycardic to 180 bpm. He received multiple shocks by his ICD for ventricular tachycardia with intermittent atrial fibrillation/flutter. He was started on an amiodarone drip and maximal dosing of four vasopressors. He became coagulopathic with large volume bleeding from his intra-abdominal drains, requiring multiple blood product transfusions. A bicarbonate drip was started for persistent metabolic acidosis. Over the next 24 hours, he developed shock liver. His coagulopathy and bleeding improved, and his vasopressors were weaned. He remained on minimal ventilator settings with 35% FiO2.

A second-look laparotomy was performed two days later. Four liters of old blood and clot were evacuated, but no active bleeding was identified. The transverse colon, proximal to the staple line from the prior colectomy, appeared viable. A right upper quadrant transverse end colostomy was made. The pancreatic bed did not show any bleeding or further pancreatic necrosis. The patient tolerated this procedure well.

The patient continued to improve over the next two days. His vasopressor requirements remained stable, but he could not tolerate hemodialysis due to hypotension. He remained stable on minimal ventilator requirements and 40% FiO2. His colostomy began functioning.

Six days after his initial surgery, the patient acutely decompensated and became hypotensive, requiring four vasopressors with worsening lactic acidosis. There was no evidence of acute intra-abdominal process or recurrent bleeding. He developed worsening lung function and shock liver. After extensive multidisciplinary discussion, the family elected to transition to comfort care, and the patient expired eight days after the initial presentation.

Discussion

As of August 2021, there have been over 261 million confirmed cases of COVID-19 worldwide, with 4.5 million related deaths,1 of which there have been 637,385 related to COVID-19 in the United States alone.2 Links between COVID-19 infection and acute pancreatitis (AP) development have been described in the literature in case reports and small series.35

This patient's initial presentation of acute necrotizing pancreatitis was atypical in its severity and acuity of onset. Since he had just undergone percutaneous cholecystostomy drainage without stones visualized on follow-up imaging, it is unlikely his pancreatitis was related to gallstones. His initial COVID-19 respiratory symptoms required intubation but did not progress to acute respiratory distress syndrome (ARDS). His clinical course appeared consistent with multiorgan dysfunction syndrome (MODS) secondary to acute pancreatitis (AP) rather than COVID-19 pneumonia.

The SARS-CoV-2 virus enters host cells via the spike protein, which binds to angiotensin-converting enzyme 2 (ACE-2) receptors on the cell surface. The virus binds to the ACE-2 receptor on the lung's type 2 alveolar cells leading to progressive viral pneumonia and ARDS. The ACE-2 receptor is also expressed in the esophagus, ileum, colon, heart, kidney, adipocytes, and pancreas leading to the multiorgan tropism seen with COVID-19 infection.5 There are multiple proposed mechanisms for pancreatic injury during COVID-19 infection. Direct virus-mediated injury of the exocrine pancreas and islet cells through ACE-2 receptors. Additional secondary pancreatic injury due to virus-induced lipotoxicity, severe COVID-19 infection cytokine storm and MODS, and drug-induced pancreatic injury (NSAID, steroids).5

AP has been described as presenting and primary symptom of COVID-19 in patients as young as seven,6 both with and without respiratory involvement.5 Autopsy reports identified pancreatic injury at higher rates than clinically evident pancreatitis.5 Higher rates of idiopathic pancreatitis were reported in COVID-positive patients.5 One case describes a patient with AP and small bowel fistula requiring surgery who was diagnosed with COVID-19 after presentation.7 There are reports of "acute diabetes," new-onset DM in COVID-19 patients, and worse clinical outcomes in patients with pre-existing DM.5,8 Akarsu et al. report AP in 12.6% of patients admitted with COVID-19 pneumonia, with a 32.5% incidence in critically ill patients.9 AP was associated with higher mortality rates secondary to COVID-19 pneumonia.9

Though endoscopic or percutaneous drainage is preferred for ANP, there is no clear guidance for the use of endoscopic treatment in the setting of a pancreatic fistula.1012 This patient was also unable to undergo percutaneous drainage due to his anticoagulation and cardiac history. Though rare, Pancreatico-colonic fistulas can occur in as many as 3 to 10% of cases of severe acute pancreatitis.12 To identify these fistulas radiographically, CT with or without contrast is preferred.12 In these cases, definitive treatment with surgical resection of the involved portion of the colon with possible pancreatectomy and drainage of the pancreatic area is recommended.12

Conclusion

COVID-19 is a complex virus with multiorgan tropism, and we are only just beginning to understand its extrapulmonary manifestations. The virus interacts with the pancreas through a variety of mechanisms. The clinical and surgical manifestations of COVID-19-induced acute pancreatitis still need further investigation.

Lessons Learned

Surgeons should be aware of extrapulmonary manifestations of COVID-19, including severe acute pancreatitis. COVID-19 may also worsen the course of other etiologies of pancreatitis through additional pancreatic injury. The step-up method for the management of acute pancreatitis should continue to be utilized at this time for COVID-19-related acute pancreatitis.

References

  1. Who coronavirus (COVID-19) dashboard. World Health Organization. https://covid19.who.int/. Published April 19, 2021. Accessed April 19, 2021.
  2. CDC COVID Data Tracker. Centers for Disease Control and Prevention. https://covid.cdc.gov/covid-data-tracker/#datatracker-home. Published April 18, 2021. Accessed April 19, 2021.
  3. Bokhari SMMA, Mahmood F. Case Report: Novel Coronavirus-A Potential Cause of Acute Pancreatitis?. Am J Trop Med Hyg. 2020;103(3):1154-1155. doi:10.4269/ajtmh.20-0568
  4. Kumaran NK, Karmakar BK, Taylor OM. Coronavirus disease-19 (COVID-19) associated with acute necrotising pancreatitis (ANP). BMJ Case Rep. 2020;13(9):e237903. Published 2020 Sep 7. doi:10.1136/bcr-2020-237903
  5. Samanta J, Gupta R, Singh MP, Patnaik I, Kumar A, Kochhar R. Coronavirus disease 2019 and the pancreas. Pancreatology. 2020;20(8):1567-1575. doi:10.1016/j.pan.2020.10.035
  6. Alloway BC, Yaeger SK, Mazzaccaro RJ, Villalobos T, Hardy SG. Suspected case of covid-19-associated pancreatitis in a child. Radiology Case Reports. 2020;15(8):1309-1312. doi:10.1016/j.radcr.2020.06.009
  7. Elhence A, Mahapatra SJ, Vajpai T, Garg PK. Acute pancreatitis and nosocomial COVID-19: Cause specific host responses may determine lung injury. Pancreatology. 2020;20(7):1258-1261. doi:10.1016/j.pan.2020.08.008
  8. Kusmartseva I, Wu W, Syed F, et al. ACE2 and SARS-COV-2 expression in the normal and COVID-19 pancreas. August 2020. doi:10.1101/2020.08.31.270736
  9. Akarsu C, Karabulut M, Aydin H, et al. Association between Acute Pancreatitis and COVID-19: Could Pancreatitis Be the Missing Piece of the Puzzle about Increased Mortality Rates?. J Invest Surg. 2022;35(1):119-125. doi:10.1080/08941939.2020.1833263
  10. Trikudanathan G, Wolbrink DRJ, van Santvoort HC, Mallery S, Freeman M, Besselink MG. Current Concepts in Severe Acute and Necrotizing Pancreatitis: An Evidence-Based Approach. Gastroenterology. 2019;156(7):1994-2007.e3. doi:10.1053/j.gastro.2019.01.269
  11. Hollemans RA, Bakker OJ, Boermeester MA, et al. Superiority of Step-up Approach vs Open Necrosectomy in Long-term Follow-up of Patients With Necrotizing Pancreatitis. Gastroenterology. 2019;156(4):1016-1026. doi:10.1053/j.gastro.2018.10.045
  12. Abu Ghanimeh M, Abughanimeh O, Abuamr K, Yousef O, Sadeddin E. Colopancreatic Fistula: An Uncommon Complication of Recurrent Acute Pancreatitis. Case Rep Gastrointest Med. 2018;2018:4521632. Published 2018 Mar 27. doi:10.1155/2018/4521632

Authors

Samlowski EE; Brown EC; Timperley JB; Sasse SL

Author Affiliation

Department of Surgery, CHI Health Creighton University Medical Center-Bergan Mercy,
Omaha, NE 68124

Corresponding Author

Emily C. Brown, MD
Department of Surgery
CHI Health Creighton University Medical Center-Bergan Mercy
7710 Mercy Road, Suite 501
Omaha, NE 68124
Phone: (859) 559-8867
Email: ecb08379@creighton.edu

Disclosure Statement

The authors have no conflicts of interest to disclose.

Funding/Support

The authors have no relevant financial relationships or in-kind support to disclose.

Received: May 11, 2021
Revision received: August 31, 2021
Accepted: January 24, 2022