Unsupported Browser
The American College of Surgeons website is not compatible with Internet Explorer 11, IE 11. For the best experience please update your browser.
Menu
Become a member and receive career-enhancing benefits

Our top priority is providing value to members. Your Member Services team is here to ensure you maximize your ACS member benefits, participate in College activities, and engage with your ACS colleagues. It's all here.

Become a Member
Become a member and receive career-enhancing benefits

Our top priority is providing value to members. Your Member Services team is here to ensure you maximize your ACS member benefits, participate in College activities, and engage with your ACS colleagues. It's all here.

Become a Member
ACS
Case Reviews in Surgery

The “Big Hit of Vape” That Led to a Pneumothorax

January 11, 2022

Abstract

Background

A young male with a significant history of e-cigarette smoking developed his first episode of spontaneous pneumothorax.

Summary

A 29-year-old male, a former smoker and current vaper with a history of declined severity asthma, presented with acute mid-sternal chest pain following a coughing fit and was found to have a right-sided pneumothorax on chest X ray after “a big hit on his vape.” The patient was hemodynamically stable, and a chest tube was placed with good re-inflation of the right lung. Chest CT revealed multiple large bullae on the right upper lung. The patient developed a recurrent pneumothorax the day after removal of a chest tube on water seal for 24 hours without evidence of an air leak. The decision was made to undergo VATS with right upper lobe resection and mechanical pleurodesis. His postoperative course was uncomplicated.

Conclusion

Smoking is a well-known risk factor for primary spontaneous pneumothorax. There has been evidence that vaping has also been a risk factor and not a safer alternative to traditional smoking. Cessation is always advised with anyone at risk for spontaneous pneumothorax. Despite the poorly characterized correlation of vaping with this potential morbidity, vaping should also be ceased.

Key Words

spontaneous pneumothorax; young male; vaping; e-cigarette; thoracoscopy; lung wedge resection; aldehydes


Case Description

Spontaneous pneumothoraces (SP) can be classified as primary or secondary. In young adults, a spontaneous pneumothorax is often primarily due to an unknown etiology or gene mutation. A primary spontaneous pneumothorax is more common in males than females, with a rate of 7.4‒18 per 100,000/year and 1.2‒6 per 100,000/year, respectively.1 It is well known that smoking increases the risk of developing a primary spontaneous pneumothorax in both populations1,9; however, vaping has not been well documented as a risk factor. Vaping is the practice of inhaling a vapor created by a battery-operated device such as an electronic cigarette (e-cigarette). There has only been one other reported case of primary spontaneous pneumothorax (PSP) associated with vaping.9

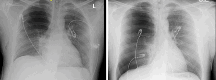
A 29-year-old male presented with acute mid-sternal chest pain associated with dyspnea that was precipitated by a cough after taking “a big hit on his vape,” as indicated by the patient. His past medical history was significant for a diagnosis of asthma and smoking cigarettes and marijuana. He formerly smoked cigarettes at the age of 18 and switched to vaping at the age of 21. He reported a three-pack per year smoking habit for his entire life. On presentation, he was hemodynamically stable despite a large, right-sided pneumothorax found on a chest radiograph (CXR). A right-sided chest tube was immediately placed without any complications. Subsequent computed tomography (CT) scan of the chest demonstrated multiple right upper lobe bullae with one large apical bulla (Figure 1A-D). Notably, the left lobe was free of bullae. After 24 hours on water seal, the chest tube was removed after the morning CXR demonstrated resolution of the pneumothorax. Upon repeat CXR (Figure 2), a recurrence of the right-sided pneumothorax was noted. Interventional radiology was consulted for the placement of a pigtail pleural catheter.

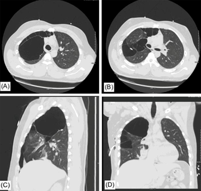
Figure 1. Different views of CT chest with intravenous contrast. Published with permission

The large, apical bullae can be seen. A) Among numerous smaller bullae B) On axial imaging; In the sagittal C) and coronal D) planes, the extent of bullae can be seen in cranial half to right hemithorax while left hemithorax is free of any disease

Figure 2. Before And After Chest Tube Removal. Published with Permission

After discussing the high likelihood for recurrence with the patient, the decision was made to proceed with bullae resection and pleurodesis. The patient underwent uncomplicated video-assisted thoracoscopy with right-upper lobe wedge resection of the bullae and mechanical pleurodesis (Figure 3). His postoperative course was as expected, and his chest tube was removed on postoperative day three before his discharge home.

Figure 3. Intraoperative Finding of Large and Small Bullae of Right Upper Lobe. Published with Permission

Discussion

Primary spontaneous pneumothorax (PSP) is a significant health problem in the United States, with an annual incidence of 18‒28 per 100,000 in males and 1.2‒6.0 per 100,000 in females.1,9 PSP most often occurs in young, tall, lean males without any underlying lung diseases primarily resulting from a ruptured subpleural bleb or bullae.1 Cigarette smoking has been identified as a major risk factor for PSP and recurrence due to its pathologic effect on the smaller airways, contributing to local emphysema and the development of bullae.1 Little is known about whether e-cigarette smoking is a safer alternative than tobacco smoking contributing to PSP; however, there has been research analyzing the toxicity of e-cigarette smoking at the cellular and biochemical level.35

E-cigarettes have been growing in popularity among young adults, especially college students, with a prevalence of 1.5 percent in 2009 rising to 14 percent in 2014. Surprisingly, there was also an increase in the use of e-cigarettes in high school and middle school students from 2017 to 2018 of about 11.7 to 20.8 percent and 3.3 to 4.9 percent, respectively. According to the Food and Drug Administration (FDA), the sales of electronic nicotine delivery systems (ENDS) are only legally sold to persons of age 18 and older.10 This means that these products are easily accessible to adolescences, and the FDA's limited regulations on these substances are not well enforced.

The perception of e-cigarettes among this population revolves around their commercially touted less harmful and carcinogenic effects compared to regular tobacco smoke. Still, recent trends in manufacturing include the use of other substances in e-cigarettes other than nicotine.2 Low molecular weight aldehydes, such as acrolein, acetaldehyde, and formaldehyde, are the most toxic component in tobacco products. These have been identified in e-cigarette aerosols, raising concern over the health risk of active and passive exposure.3 Increased emission of aldehyde compounds is noted in the newer generation of e-cigarettes compared to prior generations, which directly correlates to an increase in battery power and consequently the maximum heating coil temperature of the device.3,4 Another study suggested that heating sugar constituents in e-cigarettes at different temperatures could result in different aldehyde emission profiles.4 More concerningly, most of their product labels did not list sugars or warnings about the aldehyde manufacturers are required to quantify these constituents on their labels as the FDA regulation mandates.4

Environmental exposures appear to have played a significant role in this patient's presentation given his history of mild childhood asthma and former cigarette but current marijuana and vape use. E-cigarettes cause direct damage to the lung parenchyma from the e-cigarette vapor condensate (ECVC).5 In an in vitro experiment, alveolar macrophages (AM) were exposed to either unvaped e-cigarette liquid (ECL) or ECVC. Scott et al.5 showed that ECVC resulted in more significant toxicity than ECL due to an increase in an AM inflammatory response resulting in increased apoptosis and necrosis from excessive production of reactive oxygen species (ROS) and inflammatory cytokines.5 In addition, lipid peroxidation of the cell membrane caused by the ROS can generate acrolein endogenously, further causing DNA damage of the lung parenchyma.6 In a cytological analysis by Tang et al.,6 acrolein was found to readily cross the membrane barrier and be preferentially trapped in the nucleus. This led to a reaction with DNA that inhibits its repair, resulting in either cell death or mutagenesis of the p53 tumor-suppressor gene.6 The same study found that the distribution of the Acr-DNA adduct in the p53 gene coincides with the p53 mutation pattern in cigarette smoke-related lung cancer.

As previously discussed, PSP is more common in the younger population without any underlying chronic lung diseases, which could raise the possibility of an underlying genetic etiology. The FLCN gene has at least eight mutations found to cause PSP.7 These mutations result in an abnormal folliculin protein that triggers inflammation within the lung tissue resulting in blebs.8 However, this patient's bullous disease was mainly localized to the right upper lobe. Pneumothoraces due to a genetic etiology often manifest with diffuse and bilateral bullous disease, making a genetic etiology less likely in this case.7

Lastly, the focus of the pulmonary blebs, in this case, is noteworthy, involving a significant portion of only the right upper lobe. It has also been proposed that one of the risk factors for spontaneous pneumothoraces in the adolescent growth spurt causes rapid growth of the chest. The peak growth occurs in the patient's mid-twenties leading to suggested vertical stress during this period, which can disrupt alveoli and cause bleb development.12,13 This has often been used to explain the apical predominance of blebs. The unilaterality of the blebs could be potentially rationalized based on pulmonary anatomy. It is well known that the location of lung infiltration after aspiration is dependent on patient positioning.11 Right upper lobe consolidation is well described in alcoholics who aspirate in the supine position.12 However, with most vaping occurring in the upright position, one might expect the right middle and lower lobes to be most affected.11 Theoretically, given that the right upper lobe bronchus is the shortest distance to the carina compared to the right intermediate bronchus and left upper lobe bronchus, inhaling the heated vapor from an e-cigarette may lead to condensation concentration of these substances in the right upper lobe.

Our patient had many risk factors for developing blebs, which subsequently led to his presentation with a pneumothorax after taking a big hit from his vape. Suppose there was indeed a genetic component that played a role. In that case, his environmental exposures could have had a synergistic effect and sped up the degenerative process within his lung parenchyma caused by aldehydes and other substances inhaled when smoking e-cigarettes.

Conclusion

Smoking is a well-known risk factor for primary spontaneous pneumothorax, for which smoking cessation is always advised. Vaping has not yet been proven to be a safer alternative to traditional smoking; however, patients should be counseled similarly and cessation encouraged. Both tobacco and e-cigarette smoking lead to the inhalation of high levels of aldehyde, which may contribute to the incidence of spontaneous pneumothorax in the young population. This case is unique due to the extent and unilaterality of the blebs seen in the right upper lobe of this patient. Spontaneous pneumothorax secondary to vaping may become more common as the prevalence of e-cigarette use increases.

Lessons Learned

Patients using e-cigarettes should be informed about the levels of aldehyde content in e-cigarette liquid products due to its absence from most product labels. They should be counseled in smoking cessation as continuation increases the risk of pulmonary comorbidities, including pneumothoraces.

Authors

Hung Fong SSab; Prince JMab; Misra Sab; Siegman Mab

Author Affiliation

  1. HCA/USF Morsani College of Medicine GME - Brandon, FL 33511
  2. HCA Florida Brandon Hospital, Brandon, FL 33511

Corresponding Author

Suy sen Hung Fong, MD
Brandon Regional Hospital
Graduate Medical Education–General Surgery
119 Oakfield Drive
Brandon, FL 33511

Disclosure Statement

The authors have no conflicts of interest to disclose.

Funding/Support

The authors have no financial relationships or in-kind support to disclose.

Received: May 17, 2019
Revision Received: February 21, 2021
Accepted for Publication: March 4, 2021

References

  1. Cheng YL, Huang TW, Lin CK, et al. The impact of smoking in primary spontaneous pneumothorax. J Thorac Cardiovasc Surg. 2009;138(1):192-195. doi:10.1016/j.jtcvs.2008.12.019
  2. Kenne DR, Fischbein RL, Tan AS, Banks M. The use of substances other than nicotine in electronic cigarettes among college students. Subst Abuse. 2017;11:1178221817733736. Published 2017 Sep 25. doi:10.1177/1178221817733736
  3. Ogunwale MA, Li M, Ramakrishnam Raju MV, et al. Aldehyde detection in electronic cigarette aerosols. ACS Omega. 2017;2(3):1207-1214. doi:10.1021/acsomega.6b00489
  4. Fagan P, Pokhrel P, Herzog TA, et al. Sugar and aldehyde content in flavored electronic cigarette liquids. Nicotine Tob Res. 2018;20(8):985-992. doi:10.1093/ntr/ntx234
  5. Scott A, Lugg ST, Aldridge K, et al. Pro-inflammatory effects of e-cigarette vapour condensate on human alveolar macrophages. Thorax. 2018;73(12):1161-1169. doi:10.1136/thoraxjnl-2018-211663
  6. Tang MS, Wang HT, Hu Y, et al. Acrolein induced DNA damage, mutagenicity and effect on DNA repair. Mol Nutr Food Res. 2011;55(9):1291-1300. doi:10.1002/mnfr.201100148
  7. FLCN gene: Medlineplus genetics. MedlinePlus. https://medlineplus.gov/genetics/gene/flcn/.
  8. Graham RB, Nolasco M, Peterlin B, Garcia CK. Nonsense mutations in folliculin presenting as isolated familial spontaneous pneumothorax in adults. Am J Respir Crit Care Med. 2005;172(1):39-44. doi:10.1164/rccm.200501-143OC
  9. Lo T. Vaping And pneumothorax: a life-threatening association. Am. J. Respir. Crit. 2017;195:A2052
  10. Cullen KA, Ambrose BK, Gentzke AS, Apelberg BJ, Jamal A, King BA. Notes from the field: use of electronic cigarettes and any tobacco product among middle and high school students - United States, 2011-2018. MMWR Morb Mortal Wkly Rep. 2018;67(45):1276-1277. Published 2018 Nov 16. doi:10.15585/mmwr.mm6745a5
  11. Marom EM, McAdams HP, Erasmus JJ, Goodman PC. The many faces of pulmonary aspiration. AJR Am J Roentgenol. 1999;172(1):121-128. doi:10.2214/ajr.172.1.9888751
  12. Peters RM, Peters BA, Benirschke SK, Friedman PJ. Chest dimensions in young adults with spontaneous pneumothorax. Ann Thorac Surg. 1978;25(3):193-196. doi:10.1016/s0003-4975(10)63520-5
  13. Upadhyay GP, Thakker RM. Spontaneous pneumothorax – a clinical study of 100 cases. Int J Med Sci Public Health. 2017;6:154-158