Unsupported Browser
The American College of Surgeons website is not compatible with Internet Explorer 11, IE 11. For the best experience please update your browser.
Menu
Become a member and receive career-enhancing benefits

Our top priority is providing value to members. Your Member Services team is here to ensure you maximize your ACS member benefits, participate in College activities, and engage with your ACS colleagues. It's all here.

Become a Member
Become a member and receive career-enhancing benefits

Our top priority is providing value to members. Your Member Services team is here to ensure you maximize your ACS member benefits, participate in College activities, and engage with your ACS colleagues. It's all here.

Become a Member
ACS
Case Reviews in Surgery

Rectal Cancer Recurrence as Isolated Splenic Metastasis Treated with Laparoscopic Splenectomy

January 11, 2022

Abstract

Background

A patient presented with isolated splenic metastases five years after treatment of stage IV rectal cancer.

Summary

Our patient is a 59-year-old female who presented five years status post low anterior resection, total abdominal hysterectomy with bilateral salpingo-oophorectomy, and partial hepatectomy for synchronous stage IV rectal adenocarcinoma. She received perioperative systemic chemotherapy and preoperative chemoradiotherapy to the rectal primary. After surgical resection, she remained with no evidence of disease (NED) on follow-up imaging. At five years, surveillance imaging demonstrated a solitary lower pole splenic lesion. She underwent laparoscopic splenectomy with surgical pathology revealing metastatic colorectal adenocarcinoma. Isolated splenic metastases are rare presentations of colorectal cancer and are typically a manifestation of disseminated disease. Early detection by routine surveillance affords intervention.

Conclusion

Isolated colorectal metastasis to the spleen is uncommon. We present a case of splenic metastasis five years after primary treatment. This case highlights the importance of continued routine surveillance for early detection and treatment of recurrence.

Key Words

colorectal cancer; splenic metastases; splenectomy


Case Description

Isolated splenic metastases are an uncommon presentation of recurrent colorectal cancer. Typically, splenic metastases are identified in the setting of rising carcinoembryonic antigen (CEA) or incidentally on surveillance imaging. We report the incidental finding of an isolated splenic recurrence on surveillance imaging for rectal cancer.

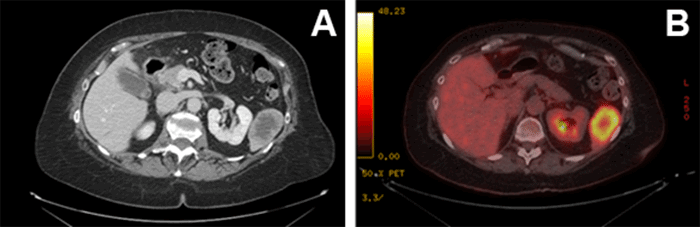
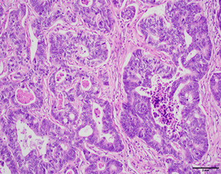
The patient is a 59-year-old female with a history of synchronous stage IV rectal cancer status post perioperative chemotherapy, neoadjuvant chemoradiotherapy, and low anterior resection, total abdominal hysterectomy with bilateral salpingo-oophorectomy, and partial hepatectomy. Five years post-resection, a surveillance computed tomography (CT) scan revealed interval development of a 5.8 cm × 3.5 cm hypodense lesion in the inferior pole of the spleen (Figure 1A). Positron emission tomography (PET) demonstrated fluorodeoxyglucose F-18 (FDG) avidity (Figure 1B). Her CEA levels remained within normal limits. Laparoscopic splenectomy was performed (Figure 2). Pathology revealed metastatic, moderately differentiated adenocarcinoma of colorectal primary (Figure 3).

Figure 1. Solitary Lesion in Inferior Pole of Spleen on CT (A) with FDG Avidity on PET (B). Published with Permission

Figure 2. Resected Spleen with Tumor. Published with Permission

Figure 3. Section of Spleen (200x) Showing Neoplastic Cells Consistent with Metastatic Moderately Differentiated Adenocarcinoma of Colorectal Primary. Published with Permission

Surveillance CT scan six months postsplenectomy revealed a 9 mm × 8 mm hypoenhancing lesion in the dome of the liver concerning for metastasis. Magnetic resonance imaging (MRI) confirmed a 1.3 cm × 1.2 cm T2 hyperintense lesion in the hepatic dome concerning for metastatic disease; she is currently undergoing further evaluation.

Discussion

Splenic tumors, both primary and metastatic, are a rare entity. Less than one percent of all metastases occur in the spleen,1 with the most common primaries arising from breast, lung, colorectal, or ovarian origin.2 Colorectal cancer metastasis to the spleen is highly unusual and is typically a precursor of disseminated disease.3

Splenic metastases may present with a rising CEA, incidentally on imaging or clinically. Studies have shown a CEA elevation in the majority (81 percent) of cases.4 CT or ultrasound imaging can identify well-circumscribed lesions in the spleen; FDG-PET can confirm hypermetabolism consistent with metastatic disease.5 Less commonly, clinical symptoms of splenomegaly with left upper quadrant pain or, more rarely, rupture may occur.

Despite the highly vascular nature of the spleen, metastases are incredibly rare. This is theoretically attributed to unique characteristics of the spleen, such as anatomic, histologic, and immunologic properties. Anatomically, there is a sharp angle at the origin of the splenic artery from the celiac axis.6 Histologically, splenic sinusoids rhythmically contract and relax. This physiologic pattern of circulation is hypothesized to inhibit tumor emboli implantation. Immunologically, the spleen is composed of a reticuloendothelial system with immune surveillance conferred immunoglobulins, opsonins, and monocytes.7

Splenic metastasis is theorized to occur via hematogenous routes rather than lymphatic spread. One series reported 70 percent of primary lesions in the left colon,8 supporting one hypothesis of retrograde hematogenous spread to the spleen via the inferior mesenteric vein.9 The spleen lacks afferent lymphatic vessels. Splenic lymphatic vessels may lead to subcapsular metastases; however, most splenic metastases occur in the parenchyma.9

Metastatic colorectal cancer may be treated with surgery, chemotherapy, and radiotherapy. Splenectomy is a favored treatment option for low-volume disease given a low complication rate and potential for improved survival in colorectal cancer, particularly when followed by adjuvant chemotherapy.4 Historically, laparoscopic techniques were controversial due to the risk of peritoneal dissemination. More recent studies have demonstrated no greater risk of tumor cell dissemination laparoscopically than by conventional methods.10

Conclusion

Isolated splenic metastases are rare presentations of colorectal cancer and are typically associated with disseminated disease.

Lessons Learned

Careful surveillance of patients with colorectal cancer increases the likelihood of early diagnosis and treatment of recurrences.

Authors

Miller-Ocuin JLa; Ashburn JHa; Zhou Yb; Waters GSa

Author Affiliations

  1. Department of Surgery, Wake Forest School of Medicine, Winston-Salem, NC 27157
  2. Department of Pathology, Wake Forest School of Medicine, Winston-Salem, NC 27157

Corresponding Author

Jennifer L. Miller-Ocuin, MD
Department of Surgery
Wake Forest School of Medicine
1 Medical Center Boulevard
Winston-Salem, NC 27157
Phone: (724) 681-2131

Disclosure Statement

The authors have no conflicts of interest to disclose.

Funding/Support

The authors have no financial relationships or in-kind support to disclose.

Received: October 10, 2019
Accepted for Publication: June 18, 2020

References

  1. Sauer J, Sobolewski K, Dommisch K. Splenic metastases--not a frequent problem, but an underestimate location of metastases: epidemiology and course. J Cancer Res Clin Oncol. 2009;135(5):667-671. doi:10.1007/s00432-008-0502-3
  2. Compérat E, Bardier-Dupas A, Camparo P, Capron F, Charlotte F. Splenic metastases: clinicopathologic presentation, differential diagnosis, and pathogenesis. Arch Pathol Lab Med. 2007;131(6):965-969. doi:10.5858/2007-131-965-SMCPDD
  3. Berge T. Splenic metastases. Frequencies and patterns. Acta Pathol Microbiol Scand A. 1974;82(4):499-506.
  4. Abdou J, Omor Y, Boutayeb S, Elkhannoussi B, Errihani H. Isolated splenic metastasis from colon cancer: case report. World J Gastroenterol. 2016;22(18):4610-4614. doi:10.3748/wjg.v22.i18.4610
  5. Gencosmanoglu R, Aker F, Kir G, Tozun N. Isolated metachronous splenic metastasis from synchronous colon cancer. World J Surg Oncol. 2006;4:42. Published 2006 Jul 6. doi:10.1186/1477-7819-4-42
  6. Skandalakis PN, Colborn GL, Skandalakis LJ, Richardson DD, Mitchell WE Jr, Skandalakis JE. The surgical anatomy of the spleen. Surg Clin North Am. 1993;73(4):747-768. doi:10.1016/s0039-6109(16)46083-4
  7. Eichner ER. Splenic function: normal, too much and too little. Am J Med. 1979;66(2):311-320. doi:10.1016/0002-9343(79)90554-0
  8. Abi Saad GS, Hussein M, El-Saghir NS, Termos S, Sharara AI, Shamseddine A. Isolated splenic metastasis from colorectal cancer. Int J Clin Oncol. 2011;16(4):306-313. doi:10.1007/s10147-010-0182-2
  9. Indudhara R, Vogt D, Levin HS, Church J. Isolated splenic metastases from colon cancer. South Med J. 1997;90(6):633-636. doi:10.1097/00007611-199706000-00010
  10. Jingli C, Rong C, Rubai X. Influence of colorectal laparoscopic surgery on dissemination and seeding of tumor cells. Surg Endosc. 2006;20(11):1759-1761. doi:10.1007/s00464-005-0694-4