Unsupported Browser
The American College of Surgeons website is not compatible with Internet Explorer 11, IE 11. For the best experience please update your browser.
Menu
Become a member and receive career-enhancing benefits

Our top priority is providing value to members. Your Member Services team is here to ensure you maximize your ACS member benefits, participate in College activities, and engage with your ACS colleagues. It's all here.

Become a Member
Become a member and receive career-enhancing benefits

Our top priority is providing value to members. Your Member Services team is here to ensure you maximize your ACS member benefits, participate in College activities, and engage with your ACS colleagues. It's all here.

Become a Member
ACS
Case Reviews in Surgery

Congenital Intestinal Malrotation with Midgut Volvulus Presenting in a 37-Year Old Woman

Congenital Intestinal Malrotation with Midgut Volvulus Presenting in a 37-Year Old Woman

March 1, 2021

Abstract

Background

This is a case report of a 37-year old female patient with a longstanding history of nonspecific gastrointestinal symptoms who presents with congenital intestinal malrotation (CIM) and midgut volvulus.

Summary

The patient presented to the emergency department complaining of acute-onset abdominal pain that had worsened over several days. She had a longstanding history of nonspecific crampy intermittent abdominal pain, abnormal bowel habits, and intermittent nausea for several years. Additionally, she reported that she had undergone prior imaging several years ago and was told that her intestines were “twisted”, but no interventions were performed. Axial imaging was interpreted as a possible internal hernia, although there was surgeon concern for malrotation and the patient was taken to the operating room urgently for exploration. Diagnosis was confirmed on laparotomy, and a Ladd procedure was performed.

Conclusion

Although an infrequent source of acute abdominal pain in adults, CIM with midgut volvulus was identified upon operation and should be considered when etiology is obscured.

Key Words

Congenital malrotation, midgut volvulus, Ladd procedure


Case Description

The patient, a 37-year-old woman, presented to the emergency department with four days of worsening abdominal pain. The pain was initially periumbilical in location, subsequently migrating to the right hemi-abdomen. The patient had had a longstanding history of nonspecific abdominal pain that had been labeled as irritable bowel syndrome by her primary care physician. The patient’s symptoms had been investigated seven years prior with an upper gastrointestinal contrast series. Per the patient, the study revealed "twisting" of her bowel, although no intervention was pursued at that time. She endorsed multiple loose bowel movements per day at baseline, but none since the onset of the acute pain. Vital signs were normal upon presentation, and examination revealed a soft, mildly distended abdomen, moderately tender to palpation in the epigastrium and right upper quadrant. Laboratory examinations were unremarkable. Given the patient’s tenderness on exam, a CT scan of the abdomen was performed which demonstrated the cecum abnormally positioned in the anterosuperior abdomen with multiple loops of small bowel displaced into the right lower quadrant (Figure 1). The duodenum did not clearly cross midline, the superior mesenteric vein (SMV) was seen to the left of the superior mesenteric artery (SMA), and swirling was seen in the small bowel mesentery (Figure 2).

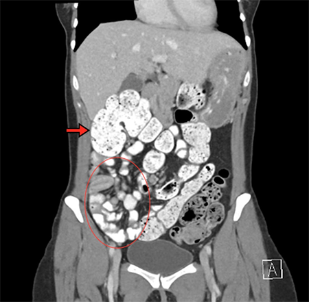
Figure 1. The cecum is abnormally displaced in the right upper quadrant (arrow), with a significant amount of small bowel clustered to the right lower quadrant (circle).
Figure 1. The cecum is abnormally displaced in the right upper quadrant (arrow), with a significant amount of small bowel clustered to the right lower quadrant (circle).


Figure 1. The cecum is abnormally displaced in the right upper quadrant (arrow), with a significant amount of small bowel clustered to the right lower quadrant (circle).

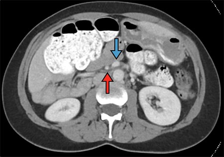
Figure 2. Note the SMV (blue arrow) abnormally positioned to the left of the SMA (red arrow).
Figure 2. Note the SMV (blue arrow) abnormally positioned to the left of the SMA (red arrow).


Figure 2. Note the SMV (blue arrow) abnormally positioned to the left of the SMA (red arrow).

The patient was taken to the operating room for exploratory laparotomy. Upon exploration it was clear that congenital malrotation with midgut volvulus was present— the cecum was free-floating in the right upper quadrant (Figure 3), the right ureter, inferior vena cava, and aorta were readily apparent to the right of the root of the mesentery (Figure 4), and significant fibro-fatty bands contiguous with the greater omentum were adherent to the small bowel mesentery and were lysed (Figure 5). The duodenum did not cross midline, and it was easily viewed with the head of the pancreas protruding anteriorly after minimal mobilization of the duodenum (Figure 6).

Figure 3. Note the ability of the small bowel mesentery to be elevated out of the abdomen. The cecum and appendix can be seen in the top of the screen (arrow), freely elevated with no surgical mobilization necessary.
Figure 3. Note the ability of the small bowel mesentery to be elevated out of the abdomen. The cecum and appendix can be seen in the top of the screen (arrow), freely elevated with no surgical mobilization necessary.

Figure 3. Note the ability of the small bowel mesentery to be elevated out of the abdomen. The cecum and appendix can be seen in the top of the screen (arrow), freely elevated with no surgical mobilization necessary.

Figure 4. The right ureter and major retroperitoneal vascular structures- aortic bifurcation (red arrow), IVC (blue arrow), and ureter (yellow arrow)- exposed by simple shifting of the small bowel- an obviously abnormal finding which is classic for malrotation.
Figure 4. The right ureter and major retroperitoneal vascular structures- aortic bifurcation (red arrow), IVC (blue arrow), and ureter (yellow arrow)- exposed by simple shifting of the small bowel- an obviously abnormal finding which is classic for malrotation.

Figure 4. The right ureter and major retroperitoneal vascular structures- aortic bifurcation (red arrow), IVC (blue arrow), and ureter (yellow arrow)- exposed by simple shifting of the small bowel- an obviously abnormal finding which is classic for malrotation.

Figure 5. Fibro-fatty bands of tissue which adhered the omentum to the small bowel mesentery. There was no true plane between tissue structures here; it was all abnormally fused.
Figure 5. Fibro-fatty bands of tissue which adhered the omentum to the small bowel mesentery. There was no true plane between tissue structures here; it was all abnormally fused.

Figure 5. Fibro-fatty bands of tissue which adhered the omentum to the small bowel mesentery. There was no true plane between tissue structures here; it was all abnormally fused.

Figure 6. The duodenum (D) does not cross midline, with the head of the pancreas (P) readily visible and protuberant out from the retroperitoneum.
Figure 6. The duodenum (D) does not cross midline, with the head of the pancreas (P) readily visible and protuberant out from the retroperitoneum.

Figure 6. The duodenum (D) does not cross midline, with the head of the pancreas (P) readily visible and protuberant out from the retroperitoneum.

The small intestine was detorsed in a counterclockwise direction, the abnormal fibro-fatty bands were lysed, the duodenum was mobilized as much as possible, an appendectomy was performed, and the bowel was examined for viability before being returning the small bowel to the right hemiabdomen and the cecum to the left upper quadrant.

Postoperatively the patient’s presenting pain was absent and she was discharged after regaining bowel function without incident. At one-month follow-up, the patient was free of her prior symptoms of intermittent crampy abdominal pain and was doing well.

Discussion

CIM is a spectrum of anomalies affecting the development and rotation of the gastrointestinal tract. Typically considered a malady of infancy, of the 0.2% incidence of live births, an estimated 75 percent of cases are identified within the first year of life. Malrotation predisposes affected infants to acute midgut volvulus, which is frequently how they present. This is characterized by sudden-onset bilious emesis with eventual intestinal ischemia, and accompanying mortality rates of up to 24 percent.1

The etiology of CIM lies in errors of embryologic development. Normal intestinal rotation happens as a three-stage process, where the nascent intestinal tract begins as a single loop—with the superior mesenteric artery (SMA) as the center axis. The cranial aspect of the loop is termed the duodenojejunal (D-J) loop, and the caudal referred to as the cecocolic (C-C) loop. The result of this process in normal anatomy is a 270° counter-clockwise turn of both loops, essentially opposite one another, around the SMA axis. It is important to note, however, that malrotation can manifest as various permutations of complete, partial, or nonrotation of either or both of the D-J and C-C loops. Balthazar described six subtypes (radiographically) of such combinations, noting that normal rotation of one loop does not exclude malrotation in the other.2

CIM presenting in the adult is quite rare and is typically a much more difficult process to diagnose than in infancy. Assessment of true incidence of CIM in adulthood is precluded by the lack of symptoms and subsequent presentation in a significant proportion of patients. Reported presentations are typically quite similar to the patient presented hereyears of episodic nonspecific symptoms, including crampy abdominal pain, nausea, and constipation. Often, multiple past CT scans are read out as normal, and such patients frequently have been subjected to misguided operations that tried and failed to cure their pain (e.g., cholecystectomy).3 These symptoms can usually be attributed to congenital adhesive bands associated with CIM or a chronic midgut volvulus. A second form of adult presentation is with acute-onset obstruction and pain, caused by an acute volvulus.4

Diagnosis is secured by either contrasted upper gastrointestinal series or abdominal CT. The former demonstrates a lack of crossing of the midline by the duodenum, while the latter shows small bowel clustered on the right side of the abdomen and the SMV located to the left of the SMA. Surgical intervention with laparotomy and the Ladd procedure has been the standard of care since Ladd described it in 1932.5This includes division of Ladd bands (from cecum to the right abdominal wall), division of mesenteric bands, reduction of volvulus, appendectomy, and placement of the small bowel on the right side and colon on the left side of the abdomen.

Conclusion

Experiencing lifelong symptoms of intermittent abdominal pain along with prior radiographic examinations read out as “normal” emphasizes that although CIM with midgut volvulus is an infrequent cause of abdominal pain in adults, it should remain in the differential when the etiology of pain is uncertain, especially in those without past abdominal surgical history.

Lessons Learned

CIM is frequently associated with a delay in diagnosis when presenting in adulthood and often attributed to other nonspecific causes. Patients can present with acute midgut volvulus mandating emergency surgery. Awareness of the variations of anatomical malrotation as well as presentation, radiographic findings, and surgical principles are vital to ensure accurate and timely diagnosis and intervention.

Authors

Deschner BW, Schwulst SJ

Correspondence Author

Benjamin W. Deschner, MD
927 W Wrightwood Ave, Unit A
Chicago, IL 60614

Author Affiliations

Northwestern University
Department of Surgery
Division of Trauma and Critical Care
676 N. St. Clair St., Ste #650
Chicago, IL, 60611

References

  1. Al-Salem, AH. Intestinal Malrotation. In: An Illustrated Guide to Pediatric Surgery. Cham: Springer International Publishing; 2014: 173-180.
  2. Balthazar, EJ. Intestinal malrotation in adults. Roentgenographic assessment with emphasis on isolated complete and partial nonrotations. Am J Roentgenol. 1976; 126(2):358-367.
  3. Gamblin, TC, Stephens RE, Johnson RK, Rothwell M. Adult malrotation: a case report and review of the literature. Curr Surg. 2003;60(5):517-520.
  4. Dietz, DW, Walsh RM, Grundfest-Broniatowski S, Lavery IC, Fazio VW, Vogt DP. Intestinal malrotation: a rare but important cause of bowel obstruction in adults. Dis Colon Rectum. 2002;45(10):1381-1386.
  5. Ladd WE. Congenital obstruction of the duodenum in children. N Engl J Med. 1932;(206):277.