Unsupported Browser
The American College of Surgeons website is not compatible with Internet Explorer 11, IE 11. For the best experience please update your browser.
Menu
Become a member and receive career-enhancing benefits

Our top priority is providing value to members. Your Member Services team is here to ensure you maximize your ACS member benefits, participate in College activities, and engage with your ACS colleagues. It's all here.

Become a Member
Become a member and receive career-enhancing benefits

Our top priority is providing value to members. Your Member Services team is here to ensure you maximize your ACS member benefits, participate in College activities, and engage with your ACS colleagues. It's all here.

Become a Member
ACS
ACS Case Reviews

Unique Presentation of Esophageal Adenocarcinoma Metastasized to Muscle

July 8, 2024

Abstract

Background

We describe the case of a 68-year-old man with a history of esophageal adenocarcinoma, presenting with metastases in the soft tissue of his back.

Summary

A 68-year-old man with a past medical history of esophageal adenocarcinoma status post distal esophagectomy presented to clinic with palpable soft tissue masses. Biopsies confirmed recurrent esophageal adenocarcinoma. Despite receiving chemotherapy for disseminated disease, the patient's cancer progressed and ultimately led to mortality.

Conclusion

Esophageal adenocarcinoma metastasizing to skeletal muscle is a rare finding consistent with a poor prognosis. While it is tempting to attribute soft tissue swelling to common diagnoses, a careful physical examination and full body scan are appropriate at every stage.

Key Words

esophageal adenocarcinoma; metastasis; soft tissue metastasis; skeletal muscle


Case Description

A 68-year-old man with a history of achalasia presented with progressive dysphagia and weight loss over the past six months. Diagnostic workup included an esophagogastroduodenoscopy (EGD) demonstrating esophageal narrowing without mass, and manometry confirmed high lower esophageal sphincter tone, consistent with achalasia.

Initial treatment involved a laparoscopic Heller myotomy with Toupet fundoplication, but his symptoms persisted despite subsequent esophageal dilations. Laparoscopic distal esophagectomy with intrathoracic esophagogastrostomy was performed without complications a year later, and pathology identified an invasive, moderately differentiated adenocarcinoma (pT3N1) in the resected distal esophagus and proximal stomach. A PET/CT scan showed no evidence of metastatic disease.

Following surgery, the patient received adjuvant chemoradiation with carboplatin, paclitaxel, and radiation therapy for six weeks. He tolerated treatment well, with improvement in symptoms, oral intake, and weight gain. He completed his oncologic treatments and had surveillance EGD, which was negative for recurrence. At his subsequent follow-up visits, he reported resolution of his dysphagia, and his activity tolerance was improving.

In July 2019, during a routine primary care appointment, he mentioned soft tissue masses on his back, leading to a referral to general surgery for assessment. In August, he visited the Fargo VAMC General Surgery Clinic, noting several masses in the soft tissue of his back and arms. The masses in his back were bothersome, and he desired removal. On exam, firm and mobile masses were observed in the subscapular region on both sides of the spine, with the left side being larger than the right. They were non-tender and lacked any sinus. Clinically, they appeared consistent with lipomas, leading to a referral to the minor procedure clinic for removal. Subsequently, he underwent removal of the right-sided mass under local anesthesia without any immediate complications.

During the procedure, a transverse incision was made over the right-sided mass, and dissection progressed sharply to the paraspinal muscle. The fascia was then divided along its natural tension lines. The mass, which was firm and spiculated, was observed to have multiple adhesions to the surrounding muscle but was successfully removed completely. Due to the depth and appearance of the first mass, the decision was made to leave the larger mass until the pathology results were available. The soft tissue mass removed from the right subscapular region was consistent with metastatic adenocarcinoma consistent with the previously diagnosed gastroesophageal junction primary from four years prior.

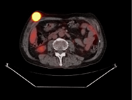
Following a minor procedure, the patient received pathology results. A tumor board discussion at the VAMC determined the need for further staging, leading to a PET/CT scan in which multiple foci of FDG activity were identified in the chest, abdominal wall, and bilateral thighs. To facilitate chemotherapy, a port was placed in September 2019. The patient then underwent palliative FOLFOX chemotherapy, achieving an initial response. Unfortunately, the disease progressed, and the patient passed away in August 2020.

Figure 1. PET/CT Demonstrating FDG-avid Activity in Soft Tissues. Published With Permission

Discussion

Esophageal carcinoma is among the most aggressive types of cancer worldwide, with distant metastases being a major contributor to mortality rates.1 While lymph node, liver, and lung involvement are well documented, subcutaneous tissue and skeletal muscle are rare metastatic sites. Studies report skeletal muscle metastases occurring in less than 2% of hematogenous metastases from solid tumors.2,6-8 Despite ongoing research efforts to elucidate the underlying mechanisms,2 a comprehensive understanding of the pathophysiology behind esophageal cancer's metastatic patterns remains unclear.

Unfortunately, this lack of clarity extends to the optimal surveillance strategy for this high-risk cancer. For patients who underwent definitive chemoradiation, current recommendations suggest contrast-enhanced CT scans of the chest and abdomen every six months for up to two years, alongside esophagogastroduodenoscopy (EGD) every three to six months.3 The utility of tumor markers like carcinoembryonic antigen remains unknown. These recommendations are based on findings from the literature suggesting a predominance of locoregional relapses, typically occurring within the first 24 months post-treatment.

Esophageal cancer patients who have undergone trimodality therapy, including surgery, chemotherapy, and radiation, such as the one described in this case, are recommended to undergo CT scans of the chest and abdomen every six months for two years by the National Comprehensive Cancer Network (NCCN), with additional endoscopy (EGD) performed as needed. This surveillance strategy prioritizes detection of distant metastases, which are the most frequent relapse pattern and typically occur within 36 months of surgery.5

Limited case reports suggest that the most common clinical presentation of distant esophageal metastases is a soft, bothersome swelling. These lesions can appear malignant, as reported by Chand et al., or benign, as in our case. Regardless of presentation, diagnosis usually involves positron emission tomography and computed tomography (PET-CT) and tissue biopsy.6,8 Unlike the diagnostic protocol for many other soft tissue masses, ultrasound is not described in diagnosing esophageal metastases. With the escalating use of high-resolution modalities, more of these metastatic foci will likely be discovered. Local intervention is appropriate for symptomatic relief,8 but prognosis remains poor due to the systemic nature of disease.

In our case, the skeletal muscle metastases were the first indication that his esophageal adenocarcinoma, which had been treated almost four and a half years earlier, had recurred. His subsequent PET/CT scan demonstrated additional areas of FDG-avidity that were not clinically apparent, underlining the role of these advanced imaging modalities. We elected to remove the symptomatic lesions as a palliative measure.

Conclusion

Skeletal muscle metastases are an exceptionally rare complication of esophageal adenocarcinoma and represent a poor prognosis. A high suspicion, thorough physical exam, and use of PET/CT are necessary to diagnose these lesions. As diagnostic imaging improves, the incidence of these rare metastases will likely increase.

Lessons Learned

While esophageal adenocarcinoma metastasizing to skeletal muscle is rare, keeping a high index of suspicion can allow for appropriate workup and identification of this serious clinical finding.

Authors

Nielsen DJ; Seiler J; Burchill K

Author Affiliation

Department of Surgery, VA Medical Center Fargo, Fargo, ND 58102

Corresponding Author

Kayla Burchill, MD, FACS
Department of Surgery
VA Medical Center Fargo
2101 Elm Street N
Fargo, ND 58102
Email: kayla.burchill@und.edu

Disclaimer

This material is the result of work supported with resources and the use of facilities at the Fargo VA Health Care System. The views expressed in this article are those of the authors and do not necessarily reflect the official policy or position of the US Department of Veterans Affairs or the United States Government.

Disclosure Statement

The authors have no conflicts of interest to disclose.

Funding/Support

The authors have no relevant financial relationships or in-kind support to disclose.

Received: August 4, 2021
Revision received: December 20, 2021
Accepted: January 24, 2022

References

  1. Tunio MA, Alasiri M, Riaz K. Adenocarcinoma of oesophagus metastasising to the subcutaneous soft tissue. Arab J Gastroenterol. 2013;14(3):133-134. doi:10.1016/j.ajg.2013.05.005
  2. El Abiad JM, Hales RK, Levin AS, Morris CD. Soft-Tissue Metastases From Esophageal Cancer. J Gastrointest Surg. 2019;23(9):1721-1728. doi:10.1007/s11605-019-04160-w
  3. National Comprehensive Cancer Network. Esophageal and Esophagogastric Junction Cancer. Version 1.2022. https://www.nccn.org/professionals/physician_gls/pdf/esophageal.pdf
  4. Sudo K, Taketa T, Correa AM, et al. Locoregional failure rate after preoperative chemoradiation of esophageal adenocarcinoma and the outcomes of salvage strategies. J Clin Oncol. 2013;31(34):4306-4310. doi:10.1200/JCO.2013.51.7250
  5. Lou F, Sima CS, Adusumilli PS, et al. Esophageal cancer recurrence patterns and implications for surveillance. J Thorac Oncol. 2013;8(12):1558-1562. doi:10.1097/01.JTO.0000437420.38972.fb
  6. Chand M, Thomas RJ, Dabbas N, Bateman AC, Royle GT. Soft Tissue Metastases as the First Clinical Manifestation of Squamous Cell Carcinoma of the Esophagus: Case Report. World J Oncol. 2010;1(3):135-137. doi:10.4021/wjon2010.05.209w
  7. Kozyreva ON, Mezentsev DA, King DR, Gomez-Fernandez CR, Ardalan B, Livingstone AS. Asymptomatic muscle metastases from esophageal adenocarcinoma. J Clin Oncol. 2007;25(24):3780-3783. doi:10.1200/JCO.2007.12.1962
  8. Shaheen O, Ghibour A, Alsaid B. Esophageal Cancer Metastases to Unexpected Sites: A Systematic Review. Gastroenterol Res Pract. 2017;2017:1657310. doi:10.1155/2017/1657310
  9. Domínguez ML, Rayo JI, Serrano J, Infante JR, García L, Moreno M. Uncommon isolated distant subcutaneous tissue and skeletal muscle metastasis from oesophageal cancer diagnosed by PET/CT (18)F-FDG. Rev Esp Med Nucl Imagen Mol. 2016;35(1):38-41. doi:10.1016/j.remn.2015.07.005
  10. Cincibuch J, Mysliveček M, Melichar B, et al. Metastases of esophageal carcinoma to skeletal muscle: single center experience. World J Gastroenterol. 2012;18(35):4962-4966. doi:10.3748/wjg.v18.i35.4962
  11. Rehman SU, Cope DW, Basile JN. Metastatic gastroesophageal adenocarcinoma to skeletal muscle: a unique event. South Med J. 2002;95(9):1076-1078.