Unsupported Browser
The American College of Surgeons website is not compatible with Internet Explorer 11, IE 11. For the best experience please update your browser.
Menu
Become a member and receive career-enhancing benefits

Our top priority is providing value to members. Your Member Services team is here to ensure you maximize your ACS member benefits, participate in College activities, and engage with your ACS colleagues. It's all here.

Become a Member
Become a member and receive career-enhancing benefits

Our top priority is providing value to members. Your Member Services team is here to ensure you maximize your ACS member benefits, participate in College activities, and engage with your ACS colleagues. It's all here.

Become a Member
ACS
ACS Case Reviews

Primary Malignant Melanoma of the Small Intestine in a Young Adult

December 16, 2022

Abstract

Background

Primary malignant melanomas of the small bowel are rarely encountered in surgical practice. In contrast to the abundant information on secondary small bowel melanoma from cutaneous metastases, there is not much known about primary melanomas of the small bowel. Furthermore, differentiation between the two diseases can be difficult due to the similarities in clinical presentation. This case highlights the unique characteristics of this uncommon disease and offers suggestions to aid in early diagnosis in order to minimize patient morbidity and mortality.

Summary

We report a case of a 22-year-old Hispanic male who presented with generalized abdominal pain, nausea, vomiting, and weight loss over the past two months. He denied any relevant past medical history and family history of cancer. Initial labs indicated anemia, leukocytosis, and thrombocytosis. Computed tomography (CT) of the abdomen and pelvis revealed a large mass in the small bowel. The patient underwent exploratory laparotomy with small bowel resection. Pathology revealed two masses with metastasis to mesenteric lymph nodes. Immunohistochemistry was positive for BRAF V600E, MART1, S100, SOX10, and vimentin, and weakly positive for CD117. The interpretation was most consistent with malignant melanoma with metastases to lymph nodes.

Conclusion

Primary malignant melanoma of the small bowel is an uncommon neoplasm. We discuss possible etiologies of the disease, diagnostic modalities, and treatment. Furthermore, we report the findings of a literature review conducted on available case reports and cite criteria to aid diagnosis.

Key Words

melanoma; small bowel; intestinal melanoma; primary small bowel melanoma; exploratory laparotomy


Case Description

A 22-year-old Hispanic male with no significant past medical history presented to the emergency department with generalized abdominal pain associated with nausea and emesis. The patient reported an unintentional weight loss of 17 pounds in the last two months. He denied symptoms of constipation, diarrhea, hematochezia, melena, changes in stool frequency or color, or any family history of cancer. His initial labs demonstrated a white blood cell count of 29.6 × 103/ mcL, a red blood cell count of 3.97 × 103/ mcL, and a platelet count of 656 × 103/ mcL.

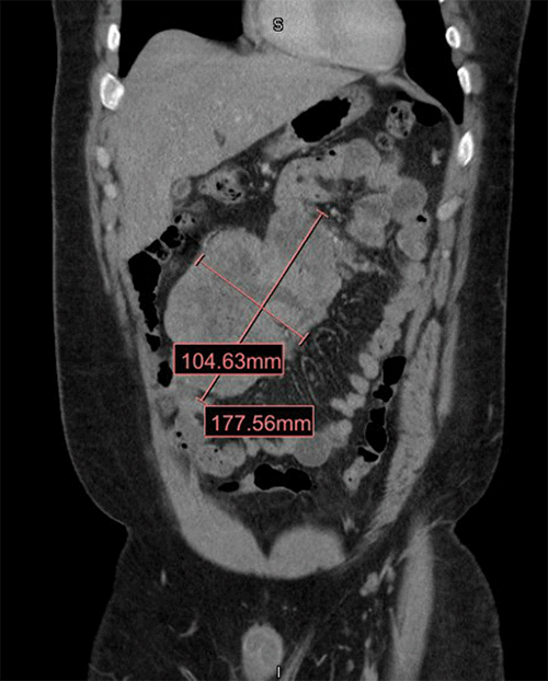
The patient's computed tomography (CT) scan of the abdomen and pelvis with contrast showed a large mass in the small bowel measuring 17 × 10 cm and thickened bowel wall (Figure 1). There was no evidence of bowel obstruction.

Figure 1. Abdominal CT in Coronal View Demonstrating Large Mass in Small Bowel. Published with Permission

The patient underwent an exploratory laparotomy with small bowel resection. Upon entering the abdomen, a large mass was noted to be seen at the level of the jejunum. A small bowel resection involving 14.6 cm of the small bowel and surrounding mesentery was conducted. A functional end-to-end anastomosis was then performed with the remaining small bowel.

The pathology of the resected small bowel mass demonstrated two exophytic masses. The larger mass measured 12.5 × 10.5 × 9.1 cm, and the smaller mass measured 8.2 × 5.5 × 4.5 cm. The smaller mass contained matted mesenteric lymph nodes involved by metastatic tumor. Neoplastic changes extending from the bowel lumen to the subserosa were noted on microscopic examination. Immunohistochemistry was positive for S100, BRAF V600E, MART1, SOX10, and vimentin, and weakly positive for CD117. The interpretation was most consistent with malignant melanoma with matted lymph nodes involved in metastatic melanoma.

Postoperatively, the patient was transferred to the floor and had an uncomplicated hospital course. Return of bowel function occurred on postoperative day two, and the patient was discharged on postoperative day four. On outpatient follow-up, the patient denied abdominal pain, was tolerating his diet and was doing well overall. A physical exam performed at the outpatient clinic revealed no skin lesions. The patient also attended one outpatient visit to the oncologist. Unfortunately, the patient did not continue to attend follow-up visits to the oncologist. Multiple attempts at reaching the patient were made with no response.

Discussion

Cutaneous melanoma remains one of the most common cancers in the United States.1 While the small bowel is the most commonly involved site in the gastrointestinal (GI) tract for cutaneous melanoma metastasis, the organ itself is not a common site of primary melanoma.2 Primary small bowel melanoma (SBM) accounts for only 2.3% of GI primary melanomas.3

Melanocytes are commonly located in the skin, eye, and mucous membranes of the head, neck, anus, and genitourinary tract.4 They are not commonly found in the small or large intestine, and the etiology of primary malignant SBM has only been theorized. One theory suggests that the Schwannian neuroblast cells involved in the development of the autonomic innervations of the gut may be the origin of this disease.5 Another theory postulates that it may originate from melanoblastic neural crest cells as they pass through the omphalomesenteric canal to the distal ileum.6 A third theory attributes the origin of this disease to the neoplastic transformation of amine precursor uptake decarboxylase cells.7 However, some authors argue that primary SBMs are rarely primary but are all metastases from cutaneous melanomas that regress or are too small to be detected.8

Reviewing the literature, 25 case reports (including the current study) of primary malignant SBM were found.9‒31 From these case reports, there was a predilection for male patients and increased morbidity in patients with lymph node involvement. This is in agreement with what was previously reported.3,19 Interestingly, intussusception, a rare condition in adults, was noted in eight cases. In metastatic cutaneous melanoma, less than 20 cases of small bowel intussusception have been reported.32

Clinically, patients with malignant SBM present with nonspecific symptoms. Commonly reported symptoms include abdominal pain, occult or gross bleeding, fatigue, nausea, emesis, anemia, and weight loss. Patients can also present with small bowel obstruction, intussusception, or perforated bowel.33

It is important to note that cases excluded from the review included those that did not definitively term the malignancy a "primary" malignant SBM. Of those excluded, a common term used to define the disease was "metastatic" malignant SBM from an unknown primary. The differentiation and diagnosis of primary malignant SBM can be difficult due to disease rarity and presentation overlap with metastatic malignant melanoma. According to Sachs et al.,8 “two sets of criteria have been proposed for the diagnosis of primary intestinal melanoma”:

  1. Blecker et al.: 34
    1. No history of concurrent melanoma or atypical melanocytic lesion of the skin
    2. Absence of extraintestinal organ involvement
    3. Presence of intramucosal melanocytic changes in the overlying or adjacent intestinal epithelium
  2. Sachs et al.:
    1. Biopsy-proven intestinal melanoma at a single site
    2. Absence of extraintestinal organ involvement
    3. Disease-free survival of at least 12 months after diagnosis

In our patient, all three criteria were met according to the Blecker model, and two out of three criteria were met according to the Sachs model. The only criteria not met from the Sachs model was the third criteria, as the patient was lost to follow-up.

Diagnosis of primary SBM is through clinical examination with imaging. Typically, abdominal ultrasound is the first-line technique due to its wide availability, easy accessibility, low costs, and noninvasive nature.35 Alternative methods of diagnosis include barium contrast studies, CT scans, enteroclysis, and whole-body positron emission tomography imaging with fluorodeoxyglucose. Capsule endoscopy, a newer diagnostic technique, has been reported to have a better diagnostic yield for small bowel lesions than other diagnostic modalities.36 It may be most useful in assessing regions of the small intestine not well visualized with conventional modalities.37 In addition, immunohistochemistry can help support a diagnosis. S-100 remains the most sensitive marker for melanocytic lesions, with a reported sensitivity of 97 to 100%.38 SOX10, HMB-45, MART-1/Melan-A, tyrosinase, and MITF have been reported as markers with good specificity.38, 39

Wide surgical resection is the preferred treatment for primary SBM.37 Resection should be done after identifying a sufficient amount of free margin proximal and distal to the tumor. Additionally, part of the mesentery should be resected to assess the invasion of regional lymph nodes.37

Primary SBM has a poor prognosis with a median survival of 16 months.3 Surgical intervention has been found to improve median overall survival in patients with primary GI melanomas from 8 months to 19 months.3 When compared to metastatic GI melanomas, primary GI melanomas tend to be diagnosed at a later stage, seem to be more aggressive and are associated with a poorer prognosis.33

Conclusion

Primary malignant SBM is a rare small bowel neoplasm. Patients often present with nonspecific symptoms such as abdominal pain, fatigue, and anemia. While the diagnosis may be difficult, two sets of criteria have been proposed to help distinguish between primary and metastatic SBM. In addition, imaging techniques may be useful in locating the mass. Treatment is mainly surgical resection of the lesion and surrounding mesentery. Due to the poor prognosis, early detection and surgical resection are important as they may reduce patient morbidity and mortality.

Lessons Learned

The etiology behind primary SBM is not yet fully understood. However, the aggressive nature of the disease portends a poor prognosis. Surgical resection remains the mainstay of treatment, and prompt diagnosis has the potential to improve survival.

References

  1. Centers for Disease Control and Prevention. Melanoma Incidence and Mortality, United States–2012–2016. USCS Data Brief, no. 9. Atlanta, GA: Centers for Disease Control and Prevention, US Department of Health and Human Services; 2019.
  2. Agrawal S, Yao TJ, Coit DG. Surgery for melanoma metastatic to the gastrointestinal tract. Ann Surg Oncol. 1999;6(4):336–344.
  3. Cheung, M.C., Perez, E.A., Molina, M.A. et al. Defining the Role of Surgery for Primary Gastrointestinal Tract Melanoma. J Gastrointest Surg 12, 731–738 (2008).
  4. Chang AE, Karnell LH, Menck HR. The National Cancer Data Base report on cutaneous and noncutaneous melanoma: a summary of 84,836 cases from the past decade. The American College of Surgeons Commission on Cancer and the American Cancer Society. Cancer. 1998;83(8):1664–1678.
  5. Mishima Y. Melanocytic and nevocytic malignant melanomas. Cellular and subcellular differentiation. Cancer. 1967;20(5):632–649.
  6. Amar A, Jougon J, Edouard A, Laban P, Marry JP, Hillion G. Mélanome malin primitif de l'intestin grêle [Primary malignant melanoma of the small intestine]. Gastroenterol Clin Biol. 1992;16(4):365–367.
  7. Krausz MM, Ariel I, Behar AJ. Primary malignant melanoma of the small intestine and the APUD cell concept. J Surg Oncol. 1978;10(4):283–288.
  8. Sachs DL, Lowe L, Chang AE, Carson E, Johnson TM. Do primary small intestinal melanomas exist? Report of a case. J Am Acad Dermatol. 1999;41(6):1042–1044.
  9. Ait Idir B, Riany A, Jahid A, Chad B. Primary melanoma of the small bowel revealed by gastrointestinal bleeding: A case report. J Med Case Rep. 2016;10(1):335-016-1119-9.
  10. Anvari K, Gharib M, Jafarian AH, Saburi A, Javadinia SA. Primary duodenal malignant melanoma: A case report. Caspian J Intern Med. 2018;9(3):312-315.
  11. Atmatzidis KS, Pavlidis TE, Papaziogas BT, Papaziogas TB. Primary malignant melanoma of the small intestine: Report of a case. Surg Today. 2002;32(9):831-833.
  12. Hadjinicolaou AV, Hadjittofi C, Athanasopoulos PG, Shah R, Ala AA. Primary small bowel melanomas: Fact or myth? Ann Transl Med. 2016;4(6):113.
  13. Iijima S, Oka K, Sasaki M, et al. Primary jejunal malignant melanoma first noticed because of the presence of parotid lymph node metastasis. J Am Acad Dermatol. 2003;49(2):319-323.
  14. Karmiris K, Roussomoustakaki M, Tzardi M, et al. Ileal malignant melanoma causing intussusception: Report of a case. Surg Today. 2007;37(6):506-509.
  15. Katsourakis A, Noussios G, Alatsakis M, Chatzis I, Chatzitheoklitos E. Primary malignant melanoma of the small intestine: A case report. Acta Chir Belg. 2009;109(3):405-407.
  16. Kilambi R, Singh AN, Dash NR, Madhusudhan KS, Das P. Primary giant aggressive amelanotic duodenal melanoma. Ann R Coll Surg Engl. 2017;99(5):e131-e134.
  17. Korkolis DP, Apostolaki K, Gontikakis E, et al. Primary malignant melanoma of the duodenum: Aggressive management and long-term survival of an unusual oncologic entity. South Med J. 2008;101(8):836-839.
  18. Kouladouros K, Gärtner D, Münch S, Paul M, Schön MR. Recurrent intussusception as initial manifestation of primary intestinal melanoma: Case report and literature review. World J Gastroenterol. 2015;21(10):3114-3120.
  19. Krüger S, Noack F, Blöchle C, Feller AC. Primary malignant melanoma of the small bowel: a case report and review of the literature. Tumori. 2005;91(1):73–76.
  20. Naidu K, Gananadha S. An uncommon presentation of a sinister entity. J Surg Case Rep. 2020;2020(2):rjz357.
  21. Olatoke SA, Agodirin SO, Adenuga AT, Lawal BO, Ibrahim KO, Folaranmi OO. Primary jejunal melanoma as a cause of adult intussusception: A case report and review of literature. Pan Afr Med J. 2019;33:214.
  22. Patel RB, Vasava NC, Gandhi MB. Acute small bowel obstruction due to intussusception of malignant amelonatic melanoma of the small intestine. BMJ Case Rep. 2012;2012:10.1136/bcr-2012-006352.
  23. Schoneveld M, De Vogelaere K, Van De Winkel N, Hoorens A, Delvaux G. Intussusception of the small intestine caused by a primary melanoma? Case Rep Gastroenterol. 2012;6(1):15-19.
  24. Shin JY, Park IS, Bang BW, Kim HK, Shin YW, Kwon KS. A case of primary small bowel melanoma diagnosed by single-balloon enteroscopy. Clin Endosc. 2017;50(4):395-399.
  25. Sinagra E, Sciumè. Ileal melanoma, A rare cause of small bowel obstruction: Report of a case, and short literature review. Curr Radiopharm. 2020;13(1):56-62.
  26. Spiridakis KG, Polichronaki EE, Sfakianakis EE, et al. Primary small bowel melanoma. A case report and a review of the literature. G Chir. 2015;36(3):128-132.
  27. Suganuma T, Fujisaki J, Hirasawa T, et al. Primary amelanotic malignant melanoma of the small intestine diagnosed by esophagogastroduodenoscopy before surgical resection. Clin J Gastroenterol. 2013;6(3):211-216.
  28. Tarantino L, Nocera V, Perrotta M, et al. Primary small-bowel melanoma: Color doppler ultrasonographic, computed tomographic, and radiologic findings with pathologic correlations. J Ultrasound Med. 2007;26(1):121-127.
  29. Timmers TK, Schadd EM, Monkelbaan JF, Meij V. Survival after resection of a primary malignant melanoma of the small intestine in a young patient: Report of a case. Case Rep Gastroenterol. 2013;7(2):251-260.
  30. Vrable A, Chang R. Malignant melanoma of the small bowel presenting with intussusception in a woman: A case report. Melanoma Manag. 2017;4(2):99-104.
  31. Yang KM, Kim CW, Kim SW, et al. Primary malignant melanoma of the small intestine: A report of 2 cases and a review of the literature. Ann Surg Treat Res. 2018;94(5):274-278.
  32. Mucci T, Long W, Witkiewicz A, Mastrangelo MJ, Rosato EL, Berger AC. Metastatic Melanoma Causing Jejunal Intussusception. Journal of Gastrointestinal Surgery. 2007;11(12):1755-1757.
  33. Liang KV, Sanderson SO, Nowakowski GS, Arora AS. Metastatic malignant melanoma of the gastrointestinal tract. Mayo Clin Proc. 2006;81(4):511–516.
  34. Blecker D, Abraham S, Furth EE, Kochman ML. Melanoma in the gastrointestinal tract. Am J Gastroenterol. 1999;94(12):3427–3433.
  35. Pourmand A, Dimbil U, Drake A, Shokoohi H. The Accuracy of Point-of-Care Ultrasound in Detecting Small Bowel Obstruction in Emergency Department. Emerg Med Int. 2018;2018:3684081.
  36. Atiq O, Khan AS, Abrams GA. Metastatic amelanotic melanoma of the jejunum diagnosed on capsule endoscopy. Gastroenterol Hepatol (N Y). 2012;8(10):691–693.
  37. Lens M, Bataille V, Krivokapic Z. Melanoma of the small intestine. Lancet Oncol. 2009;10(5):516–521. doi:10.1016/S1470-2045(09)70036-1
  38. Ohsie SJ, Sarantopoulos GP, Cochran AJ, Binder SW. Immunohistochemical characteristics of melanoma. J Cutan Pathol. 2008;35(5):433–444.
  39. Mohamed A, Gonzalez RS, Lawson D, Wang J, Cohen C. SOX10 expression in malignant melanoma, carcinoma, and normal tissues. Appl Immunohistochem Mol Morphol. 2013;21(6):506–510.

Authors

Lim Ja; Brunell Ba; Lopez Aa; Dhevan Vbc

Author Affiliations

  1. School of Medicine, University of Texas Rio Grande Valley, Edinburg, TX 78501
  2. Department of Surgery, University of Texas Rio Grande Valley, Harlingen, TX 78550
  3. Valley Baptist Medical Center, Harlingen, TX 78550

Corresponding Author

Vijian Dhevan, MD, MBA, FACS
Department of Surgery
University of Texas Rio Grande Valley
614 Maco Drive
Harlingen, TX 78550
Phone: 956-296-7000
Email: vijian.dhevan@utrgv.edu

Disclosure Statement

The authors have no conflicts of interest to disclose.

Funding/Support

The authors have no relevant financial relationships or in-kind support to disclose.

Received: July 16, 2020
Revision received: October 5, 2020
Accepted: November 24, 2020