Unsupported Browser
The American College of Surgeons website is not compatible with Internet Explorer 11, IE 11. For the best experience please update your browser.
Menu
Become a member and receive career-enhancing benefits

Our top priority is providing value to members. Your Member Services team is here to ensure you maximize your ACS member benefits, participate in College activities, and engage with your ACS colleagues. It's all here.

Become a Member
Become a member and receive career-enhancing benefits

Our top priority is providing value to members. Your Member Services team is here to ensure you maximize your ACS member benefits, participate in College activities, and engage with your ACS colleagues. It's all here.

Become a Member
ACS
Case Reviews in Surgery

Sometimes You Have to Go With the Flow: Combined Liver, Colon and Pancreas Injuries Complicated by Arterioportal Fistula and Refractory Hypoxemia

January 7, 2022

Abstract

Background

A young male presented after sustaining a gunshot wound to his right flank resulting in a complex liver injury.

Summary

Our patient was a 24-year-old male who sustained a gunshot wound to his right flank. He was taken emergently to the operating room, where he was found to have a grade IV liver injury, a portal vein injury that was repaired primarily, and a transverse colon injury that was resected and left in discontinuity. Postoperative imaging revealed grade III distal pancreatic injury and a left hepatic artery to main portal vein fistula. The patient underwent distal pancreatectomy, splenectomy, and colo-colonic anastomosis on re-exploration the following day. He subsequently developed refractory hypoxia and hypotension requiring several days of extracorporeal membrane oxygenation (ECMO). Once off ECMO, hepatic arteriography was performed, revealing a significant arterioportal fistula near the hepatic artery bifurcation. No safe intervention was possible. The patient later developed a high output bile leak. Endoscopic retrograde cholangiopancreatography (ERCP) revealed extravasation from the right anterior hepatic duct at the bifurcation and a leak from the left intrahepatic bile duct. A transpapillary stent was placed, but the patient continued to have high output. Percutaneous transhepatic cholangiography (PTC) was then performed with an internal/external drain placement, which significantly decreased bile output. Follow-up cholangiogram showed resolution of bile leak at two months.

Conclusion

The diagnosis and management of major biliary and vascular injuries following hepatic trauma are complex. We present a case of penetrating hepatic trauma causing a significant intrahepatic bile duct injury as well as an arterioportal fistula requiring advanced endoscopic and interventional radiology techniques for successful management. This case highlights the need for a multidisciplinary approach when managing these complex injuries.

Key Words

bile leak; arterioportal fistula; portal vein injury


Case Description

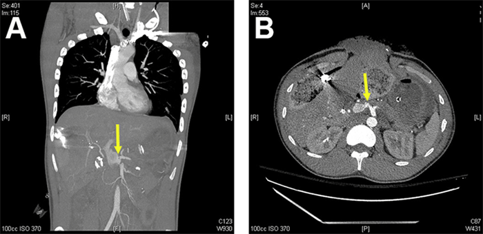
The patient was a 24 year-old-male who sustained a gunshot wound to his right flank. On arrival, the patient was hemodynamically unstable and taken to the operating room. Massive hemoperitoneum was immediately encountered. A complex liver laceration was identified involving segments four, five, and eight. A lateral portal vein injury was found and primarily repaired. The hepatic arteries were examined, and no injuries were identified. The hepatic injury was packed. The patient also had a distal transverse colon injury which required segmental resection. Due to the bullet trajectory, the lesser sac was opened, which revealed a distal pancreatic contusion that was packed. Due to hemodynamic instability, the patient was left in discontinuity, and a temporary abdominal closure system was applied. Once stabilized in the intensive care unit, a CT with IV contrast was obtained that demonstrated a traumatic arteriovenous fistula between the common portal vein and left hepatic artery (Figure 1) as well as a grade III laceration of the distal pancreas. The patient was taken back for re-exploration where he underwent distal pancreatectomy, splenectomy, colo-colonic anastomosis, and replacement of temporary abdominal closure system.

Figure 1. Arterioportal Fistula Involving Left Hepatic Artery and Main Portal Vein: A) Coronal and B) Axial. Published with Permission

On hospital day three, the patient developed acute refractory hypoxia and hypotension. The cause of his refractory hypoxia was thought to be a pulmonary embolism, although he was too unstable to undergo a CT angiogram. A transthoracic echocardiogram was obtained, which showed normal ejection fraction (EF) without signs of right heart strain, so we did not believe he would benefit from an intervention on his presumed pulmonary embolism. Due to the refractory hypoxia with preserved EF, we cannulated him for venovenous extracorporeal membrane oxygenation (ECMO). The patient had no further signs of bleeding, so he was started on therapeutic anticoagulation. He required four days of ECMO and was subsequently extubated on day seven.

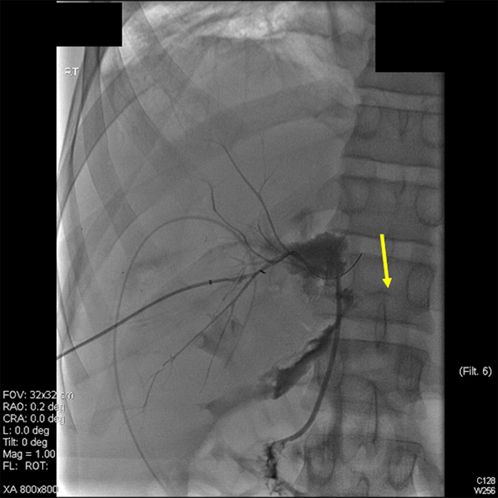
Since the patient was not showing signs of heart failure or portal hypertension, treatment of the arterioportal fistula was delayed until he was off ECMO. Before closure of the patient's abdomen, interventional radiology performed a celiac arteriogram that redemonstrated the fistula between the proximal left hepatic artery and a dilated main portal vein (Figure 2). The hepatic artery had a low bifurcation, with the left hepatic artery originating quite proximally at the level of the main portal vein injury. Due to the fistula being only 1‒2 mm distal to the origin of the left hepatic artery, it was not amendable to arterial stent-graft placement.

Figure 2. Celiac angiogram showing arterioportal fistula. Published with Permission

The patient's abdomen was eventually closed over drains on hospital day 13. Two weeks after his injury, he developed high bilious output (approximately 800 cc/day) from his right upper quadrant drain. An ERCP was performed, which demonstrated complete disruption of the right anterior hepatic duct at the bifurcation and a leak from the left intrahepatic bile duct (Figure 3).

Figure 3. Endoscopic Retrograde Cholangiopancreatography. Published with Permission

A) Bile leak from left intrahepatic duct; B) bile leak from right hepatic duct near bifurcation

Biliary sphincterotomy was performed, and an 8.5F by 7 cm plastic transpapillary biliary stent was placed in the common bile duct (CBD). Despite stenting, he continued to have high bilious output from his drains (approximately 600 cc/day); interventional radiology performed percutaneous transhepatic cholangiography (PTC), showing a persistent large bile leak at the hepatic duct bifurcation (Figure 4). An 8.5F percutaneous transhepatic biliary drain (PTBD) was placed across the leak with a distal tip within the duodenum. During this time he also required treatment for recurrent ESBL-producing Escherichia coli bacteremia that was cultured from an intra-abdominal abscess and the bile in his PTBD. The bilious drainage decreased significantly over the next month after discharge, and the drain was subsequently removed in the clinic.

Figure 4. Percutaneous Transhepatic Cholangiography Showing Persistent Bile Leak at Bifurcation. Published with Permission

Follow-up cholangiogram through his PTBD two months after placement showed persistent but improved leak at the hepatic duct bifurcation. His PTBD was upsized to a 10F drain. A month later, he underwent repeat ERCP with the removal of the CBD stent. Cholangiogram was performed that showed no bile leak but a moderate area of stenosis involving the left main hepatic duct (Figure 5). This area of stenosis was balloon dilated, and a new 8.5F by 12 cm plastic stent was placed into the left hepatic duct. After resolving the bile leak, his PTBD was clamped with plans to repeat PTC and ERCP in two months. He is also undergoing a serial liver duplex US to monitor for portal hypertension.

Figure 5. Endoscopic Retrograde Cholangiopancreatography Showing No Bile Leak But Stenosis of Left Hepatic Duct (arrow). Published with Permission

Discussion

Complex hepatic injuries are typically defined by the American Association for the Surgery of Trauma (AAST) Organ Injury Scale as being grade IV and V. Grade IV injures are defined as parenchymal disruption involving 25 percent to75 of a hepatic lobe or one tothree Couinaud's segments within a single lobe. Grade V injuries are defined as parenchymal disruption involving >75 percent of a hepatic lobe or >3 Couinaud's segments within a single lobe. Juxtavenous hepatic injuries are also considered grade V injuries.1 These injuries are associated with significant morbidity and mortality, with mortality rates as high as 80 percent in some series.2 The management of these injuries and their associated complications remains a challenge for even the most experienced trauma surgeons. Due to the complexity of the injuries, a multidisciplinary approach may improve outcomes.

The most frequent complications related to liver trauma include biliary and vascular injuries, infections, and liver necrosis.3 Vascular injuries associated with penetrating hepatic trauma include pseudoaneurysms and arterioportal fistulae (APF). Hepatic artery-to-portal vein fistula is a rare vascular complication typically caused by trauma or iatrogenic procedures.4 This creates a shunt with decreased hepatic arterial pressure and increased portal venous pressure, which can cause portal hypertension and rarely congestive heart failure. In most patients, the resistance imposed by the intervening hepatic sinusoids buffers the effects on the systemic circulation and protects against heart failure.4,5 Guzman et al. published a classification system based on etiology, size, involved vessels, and location.5

Patients with APF are usually asymptomatic or may develop symptoms related to portal hypertension.6 Portal hypertension typically presents months after development of the fistula and has been reported in up to 43 percent of patients with APF.4 Portal hypertension is more likely in fistulas involving the larger branches of the portal vein and hepatic arteries because of the higher flow.6 The portal hypertension is presinusoidal, so liver function tests and liver architecture is typically normal.6 APF is generally diagnosed as an incidental finding on CT of early filling of the portal vein on arterial contrast phase.4 Hepatic arteriography is the gold standard for diagnosis, which shows a visualization of the portal vein on injection of the aorta or celiac artery.5 Duplex ultrasound and magnetic resonance imaging are also helpful in diagnosis and follow up of APF.4

Due to the rarity of APF, optimal management is controversial as the literature consists mainly of case reports and case series. Treatment of APF is indicated to prevent the long-term development of portal hypertension, hepatoportal sclerosis, and possible cirrhosis.5,6 Small, peripheral, asymptomatic APF usually spontaneously thrombose, and can be followed with serial Duplex ultrasound.5 If there is evidence of portal hypertension, the fistula is large, or if it involves extrahepatic portal vein and hepatic arteries, then treatment is indicated.4 In the past, the majority of patients with an APF required surgery.7 Due to the morbidity and mortality associated with surgery, interventional radiology (IVR) is now considered first-line treatment for APF.7 Transarterial embolization (TAE) using platinum microcoils or gelatin sponge particles can occlude the fistula.4,7 TAE has a reported success rate of more than 90 percent in APF.7 For APF refractory to IVR techniques, surgical intervention may be an effective salvage therapy. Hepatic artery ligation, APF resection, hepatectomy, and liver transplantation have all been performed successfully in patients with an APF refractory to IVR.810

Biliary complications following liver trauma include biloma, biliary fistula, hemobilia, bile leak, and bile peritonitis.11 Biliary leak rates in the literature have been reported to be 4 percent to 23 percent, with higher rates seen in higher-grade injuries.2 Bile leaks can present with nonspecific symptoms or as bile peritonitis with clinical symptoms of sepsis, systemic inflammatory response, elevation of serum bilirubin, and worsening abdominal pain.3 Bile leaks are typically classified as major or minor based on their output. Minor leaks are defined as less than 400 cc/day or greater than 50 cc/day for less than 14 days; major leaks are defined as greater than 400 cc/day or greater than 50 cc/day for longer than 14 days. These leaks can also be classified based on anatomic level of injury, distinguishing involvement of either peripheral biliary radicals or a main branch of the major hepatic ducts.

The extent of the injury (incomplete circumferential vs. complete circumferential) is also important in determining the appropriate management strategy.12 Multiple classification systems have been developed to stratify extrahepatic biliary injuries. Examples include the Bismuth and Strasberg classification systems that stratify injuries anatomically based on the duct involved, distance from the hilum, and bifurcation involvement.13,14 These classification schemes assist in determining the appropriate management.

There is a lack of consensus regarding the best approach for evaluating posttraumatic bile leaks. Multiple imaging modalities are available, including ultrasound (US), computed topography (CT), hepatobiliary scintigraphy, magnetic resonance cholangiopancreatography (MRCP), endoscopic retrograde cholangiopancreatography (ERCP), percutaneous transhepatic cholangiography (PTC), and fluoroscopy studies using contrast injected through an indwelling drain that was placed intraoperatively or percutaneously. ERCP has the advantage of diagnosing and managing bile duct injuries and is considered first-line for this purpose.15

Most small, peripheral, incomplete circumferential biliary leaks will heal spontaneously, while leaks involving larger ducts may require intervention.12 Percutaneous and/or endoscopic stenting can provide definitive treatment for the majority of bile duct injuries.15 ERCP combined with internal drainage either by transpapillary stent placement and/or sphincterotomy has been successful in treating complicated bile leaks, with success rates as high as 100 percent.1620 The theory behind this method is that stenting reduces the pressure gradient between the bile duct and the duodenum, so bile preferentially drains into the duodenum and allows the injured duct to heal spontaneously.15 The optimal timing of ERCP, use of stenting with or without sphincterotomy, and duration of stent placement are controversial, and further studies are needed to elucidate this.

The management of persistent bile leaks despite ERCP with internal drainage is not well established. PTC is useful for evaluating the integrity of the bile ducts, specifically the proximal bile ducts or an aberrant right hepatic duct.15 Biliary diversion through the placement of a PTBD can allow proximal hepatic duct injuries to heal.15 Persistent bile leaks may require surgical intervention and could require formal hepatic lobectomy for major intrahepatic biliary injuries or Roux-en-Y hepaticojejunostomy for complete circumferential transection of an extrahepatic bile duct.15,21

Our case demonstrated two rare but significant complications following penetrating hepatic trauma. High output bile leaks involving multiple or major bile ducts are typically managed with percutaneous drainage of the biloma and ERCP with internal drainage. Our patient was unique because he continued to have high bilious output requiring PTC with internal/external PTBD, ultimately allowing the injuries to heal. Arterioportal fistulae are most commonly seen after hepatic trauma, usually found incidentally on CT scans. Definitive diagnosis requires hepatic arteriography, and they can be successfully managed with transarterial embolization. Our patient posed a challenging situation as he had a very large fistula involving the proximal left hepatic artery near the bifurcation. The concern was that stent placement or embolization could potentially occlude the majority of the hepatic arterial inflow causing significant infarction. As the patient had not shown signs of portal hypertension, the decision was made to follow the patient with serial duplex US.

Conclusion

The diagnosis and management of major biliary and vascular anomalies following hepatic trauma are complex. We presented a case of penetrating hepatic trauma causing a significant intrahepatic bile duct injury as well as an arterioportal fistula requiring endoscopic and interventional radiology techniques for successful management. This case highlights the need for a multidisciplinary approach when managing these complex pathologies.

Lessons Learned

Persistent large bile leaks despite endoscopic intervention may require PTBD placement to allow an injury to heal. Large arterioportal fistulas in difficult anatomic locations can be observed with duplex US if no signs of portal hypertension exist.

References

  1. Moore EE, Cogbill TH, Jurkovich GJ, Shackford SR, Malangoni MA, Champion HR. Organ injury scaling: spleen and liver (1994 revision). J Trauma. 1995;38(3):323-324. doi:10.1097/00005373-199503000-00001
  2. Cogbill TH, Moore EE, Jurkovich GJ, Feliciano DV, Morris JA, Mucha P. Severe hepatic trauma: a multi-center experience with 1,335 liver injuries. J Trauma. 1988;28(10):1433-1438.
  3. Stassen NA, Bhullar I, Cheng JD, et al. Nonoperative management of blunt hepatic injury: an Eastern Association for the Surgery of Trauma practice management guideline. J Trauma Acute Care Surg. 2012;73(5 Suppl 4):S288-S293. doi:10.1097/TA.0b013e318270160d
  4. Vauthey JN, Tomczak RJ, Helmberger T, et al. The arterioportal fistula syndrome: clinicopathologic features, diagnosis, and therapy. Gastroenterology. 1997;113(4):1390-1401. doi:10.1053/gast.1997.v113.pm9322535
  5. Guzman EA, McCahill LE, Rogers FB. Arterioportal fistulas: introduction of a novel classification with therapeutic implications. J Gastrointest Surg. 2006;10(4):543-550. doi:10.1016/j.gassur.2005.06.022
  6. Strodel WE, Eckhauser FE, Lemmer JH, Whitehouse WM Jr, Williams DM. Presentation and perioperative management of arterioportal fistulas. Arch Surg. 1987;122(5):563-571. doi:10.1001/archsurg.1987.01400170069010
  7. Kanogawa N, Chiba T, Ogasawara S, et al. Successful interventional treatment for arterioportal fistula caused by radiofrequency ablation for hepatocellular carcinoma. Case Rep Oncol. 2014;7(3):833-839. Published 2014 Dec 19. doi:10.1159/000370305
  8. Duman JD, Johnson SP, Trotter JF. Arterioportal fistula requiring liver transplantation. Liver Transpl. 2006;12(12):1904-1905. doi:10.1002/lt.20989
  9. Dumortier J, Pilleul F, Adham M, et al. Severe portal hypertension secondary to arterio-portal fistula: salvage surgical treatment. Liver Int. 2007;27(6):865-868. doi:10.1111/j.1478-3231.2007.01495.x
  10. Takata H, Makino H, Yokoyama T, et al. Successful surgical treatment for intrahepatic arterioportal fistula with severe portal hypertension: a case report. Surg Case Rep. 2019;5(1):67. Published 2019 Apr 23. doi:10.1186/s40792-019-0623-8
  11. Kozar RA, Moore FA, Moore EE, et al. Western Trauma Association critical decisions in trauma: nonoperative management of adult blunt hepatic trauma. J Trauma. 2009;67(6):1144-1149. doi:10.1097/TA.0b013e3181ba361f
  12. Hommes M, Nicol AJ, Navsaria PH, Reinders Folmer E, Edu S, Krige JE. Management of biliary complications in 412 patients with liver injuries. J Trauma Acute Care Surg. 2014;77(3):448-451. doi:10.1097/TA.0000000000000335
  13. Bismuth H, Majno PE. Biliary strictures: classification based on the principles of surgical treatment. World J Surg. 2001;25(10):1241-1244. doi:10.1007/s00268-001-0102-8
  14. Strasberg SM, Hertl M, Soper NJ. An analysis of the problem of biliary injury during laparoscopic cholecystectomy. J Am Coll Surg. 1995;180(1):101-125.
  15. LeBedis CA, Bates DDB, Soto JA. Iatrogenic, blunt, and penetrating trauma to the biliary tract. Abdom Radiol (NY). 2017;42(1):28-45. doi:10.1007/s00261-016-0856-y
  16. Carrillo EH, Spain DA, Wohltmann CD, et al. Interventional techniques are useful adjuncts in nonoperative management of hepatic injuries. J Trauma. 1999;46(4):619-624. doi:10.1097/00005373-199904000-00010
  17. Lubezky N, Konikoff FM, Rosin D, Carmon E, Kluger Y, Ben-Haim M. Endoscopic sphincterotomy and temporary internal stenting for bile leaks following complex hepatic trauma. Br J Surg. 2006;93(1):78-81. doi:10.1002/bjs.5195
  18. Anand RJ, Ferrada PA, Darwin PE, Bochicchio GV, Scalea TM. Endoscopic retrograde cholangiopancreatography is an effective treatment for bile leak after severe liver trauma. J Trauma. 2011;71(2):480-485. doi:10.1097/TA.0b013e3181efc270
  19. Spinn MP, Patel MK, Cotton BA, Lukens FJ. Successful endoscopic therapy of traumatic bile leaks. Case Rep Gastroenterol. 2013;7(1):56-62. doi:10.1159/000346570
  20. Richey JS, Manning BM, Jones WB. Outcomes of endoscopic stenting for traumatic biliary and pancreatic fistulae. Am Surg. 2016;82(7):588-593.
  21. Polanco P, Leon S, Pineda J, et al. Hepatic resection in the management of complex injury to the liver. J Trauma. 2008;65(6):1264-1270. doi:10.1097/TA.0b013e3181904749

Authors

Nichols CA; Cross A; Jain A; Lees JS; Kennedy R

Author Affiliation

Department of Surgery, University of Oklahoma Health Science Center, Oklahoma City, OK 73104

Corresponding Author

Chance A. Nichols, MD
Department of Surgery
University of Oklahoma Health Science Center
800 Stanton L. Young Boulevard
Andrews Academic Tower, Ste. 9000
Oklahoma City, OK 73104
Phone: (405) 206-1974
Email: chancenichols27@gmail.com

Disclosure Statement

The authors have no conflicts of interest to disclose.

Funding/Support

The authors have no relevant financial relationships or in-kind support to disclose.

Meeting Presentation

33rd Eastern Association for the Surgery of Trauma Annual Scientific Assembly, Orlando, FL, January 2020

Received: August 19, 2020
Revision received: October 8, 2020
Accepted: November 24, 2020