Unsupported Browser
The American College of Surgeons website is not compatible with Internet Explorer 11, IE 11. For the best experience please update your browser.
Menu
Become a member and receive career-enhancing benefits

Our top priority is providing value to members. Your Member Services team is here to ensure you maximize your ACS member benefits, participate in College activities, and engage with your ACS colleagues. It's all here.

Become a Member
Become a member and receive career-enhancing benefits

Our top priority is providing value to members. Your Member Services team is here to ensure you maximize your ACS member benefits, participate in College activities, and engage with your ACS colleagues. It's all here.

Become a Member
ACS
ACS Case Reviews

Granulomatous Mastitis: An Institutional Experience of Recurrent Corynebacterium kroppenstedtii Mastitis

May 8, 2023

Abstract

Background

A 38-year-old female presented with recurrent granulomatous mastitis caused by infection with Corynebacterium kroppenstedtii.

Summary

Our patient presented at 38 with a history of right lateral breast pain and swelling. She was originally from Syria and migrated to the United States two years prior. The patient initially saw her primary care physician, who prescribed her a 10-day course of antibiotics, but her symptoms recurred. Initially, the breast ultrasound showed a 2.9 cm complex abscess, and the patient underwent a surgical incision and drainage. A firm granulomatous mass was appreciated at the time of surgery. Histopathology confirmed granulomatous mastitis, and the culture grew normal skin flora. PCR confirmed Corynebacterium kroppenstedtii. However, throughout her course, the patient presented multiple times with recurrent symptoms leading to repeated surgical incisions and drainage with multiple antibiotic use. Our case confirms that granulomatous mastitis is a difficult disease to treat and that surgery remains a key component in treatment.

Conclusion

We present a case of recurrent Corynebacterium kroppenstedtii granulomatous mastitis in a 38-year-old female. It highlights the idea that granulomatous mastitis is associated with bacterial infections; this is a complicated disease to treat, and surgery is a key component in treatment.

Key Words

granulomatous mastitis; Corynebacterium kroppenstedtii, breast abscess


Case Description

Granulomatous lobular mastitis (GLM) is an inflammatory disease process of the breast that commonly affects females of child-bearing age.1,2 Patients with GLM frequently present with a local inflammatory response to a painful breast lump, and the disease can become chronic and disfiguring.3 GLM has an unknown etiology but can be associated with bacterial infections. One such species that have been associated with GLM is Corynebacterium. This genus has been shown to cause mastitis in animals, but its association with human breast disease is limited.4‒8 This may be secondary to the fact that the Corynebacterium genus consists of Gram-positive bacilli that are frequently constituents of the normal skin microbiota.5,13 Therefore, these bacteria are often considered contaminants on culture, thus making it difficult to discriminate between infection versus colonization.3,9,10

Granulomatous mastitis was first discovered in 1972 by Kessler and Wolloch11 as a rare benign breast disease. Its approximated incidence is 2.4 per 100,000 women, and it favors non-Caucasian ethnicities.12 The disease is usually unilateral and can be located anywhere in the breast; however, it often appears in a retroareolar region from its radial extension.13 The disease itself is diagnosed by breast tissue biopsy and histopathology. According to Wolfrum et al.,14 the pathology shows a "granulomatous formation in combination with a localized infiltration of multinucleated giant cells, epithelioid histiocytes, and plasma cells." Imaging is nonspecific in the diagnosis of GLM, and it can often mimic carcinoma. For instance, an asymmetrical density is often found on mammography versus breast ultrasound, which frequently depicts a hypoechoic mass with tubular appendages.15 GLM's unknown etiology makes the treatment regime variable, and in the United States, treatment options consist of antibiotics, oral steroids, and often surgery.

Our patient is a 38-year-old female with no significant past medical history that presented to the breast clinic with a history of right lateral breast pain and swelling. She was originally from Syria and migrated to the United States two years prior. The patient initially saw her primary care physician, who prescribed her a 10-day course of antibiotics. She denied any trauma, wounds, or injury to her breast prior to her symptoms. Her swelling and pain did improve with the antibiotics but recurred once her course was completed. A breast ultrasound (Figure 1) was ordered in the clinic, which showed a 2.9 cm complex abscess within her right lateral breast and an enlarged right axillary lymph node on physical exam.

Figure 1. Right Breast US, Granulomatous Mastitis. Published With Permission

Right breast ultrasound showing a heterogeneous hypoechoic region measuring 2.9 cm within right lateral breast at 8 to 9 o’clock position approximately 4 cm from nipple. Note surrounding edematous tissue and hyperemia concerning for breast abscess.
Right breast ultrasound showing a heterogeneous hypoechoic region measuring 2.9 cm within right lateral breast at 8 to 9 o’clock position approximately 4 cm from nipple. Note surrounding edematous tissue and hyperemia concerning for breast abscess.

An aspiration of the abscess was performed, obtaining 8 ml of thick purulent fluid. The patient was then admitted to the hospital for two days of IV antibiotics. The aspirate culture grew normal skin flora, and the patient underwent a surgical incision and drainage of her right breast abscess. Purulent fluid was observed at the time of operation, and a firm granulomatous mass was appreciated. Cultures from the operation again grew out normal skin flora, fungal and acid-fast bacilli were negative, and histopathology showed fat necrosis with histiocytic granulomatous inflammation. (Figure 2) No special stains were done, and the patient received IV clindamycin while in the hospital.

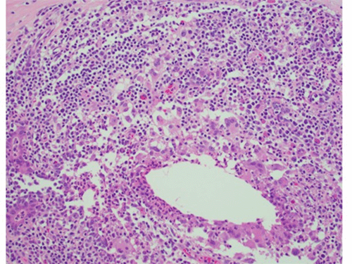
Figure 2. Breast Pathology, Granulomatous Mastitis. Published With Permission

Right breast histopathology showing granulomatous inflammation with giant cells, histiocytes, and admixed lymphocytes; 20x magnification.
Right breast histopathology showing granulomatous inflammation with giant cells, histiocytes, and admixed lymphocytes; 20x magnification.

The patient was discharged home on oral clindamycin 300 mg twice daily for ten days, and upon follow-up, there was good granulation tissue present. However, the patient was readmitted to the hospital after having increased swelling and pain over her right lateral breast with obvious firmness. Ultrasound of the breast at this time showed a large area of diffuse heterogeneous echogenicity seen with areas of low echogenicity. The area measured up to 5.3 cm × 2.9 cm × 5.6 cm, but no discrete fluid collection or abscess was appreciated. Infectious disease was consulted, and an extensive work-up for granulomatous mastitis was performed with a mammogram and repeat biopsy as outpatient. (Figure 3)

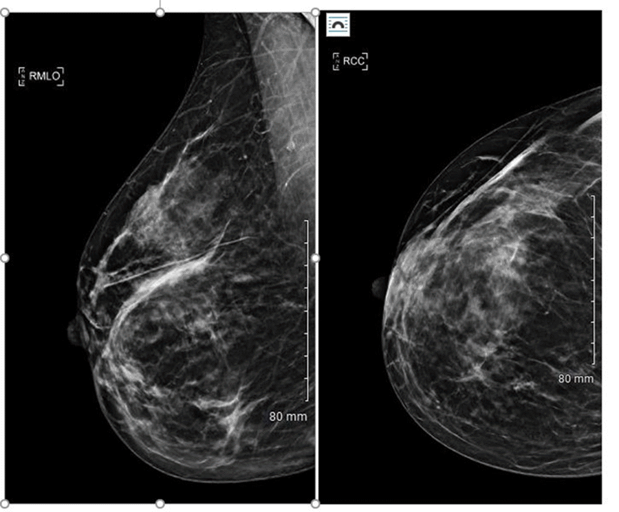
Figure 3. Mammogram RCC. Published With Permission

Right breast mammogram showing moderately extensive postoperative distortion in outer aspect of right breast. No asymmetric skin thickening. No dominant mass or suspicious calcifications. BIRADS 2-benign.
Right breast mammogram showing moderately extensive postoperative distortion in outer aspect of right breast. No asymmetric skin thickening. No dominant mass or suspicious calcifications. BIRADS 2-benign.

Further, pathology was sent in a paraffin block to the University of Washington for PCR testing, which was positive for Corynebacterium kroppenstedtii. Again, the patient was readmitted for a repeat surgical incision and drainage of her right breast. Tissue cultures once more grew out of normal flora, and histopathology showed granulomatous inflammation and abscess formation. The patient was sent home with negative pressure wound therapy, and her wound completely healed upon follow-up.

After a three-month course of doxycycline, the patient returned to the breast clinic due to a painful right breast. At this point, doxycycline was restarted by infectious disease after an ultrasound confirmed three new nodules in the patient's right breast. After six months of doxycycline use, the patient returned to the clinic again due to recurrent painful, erythematous nodules on her right breast. The ultrasound showed no abscess formation then, and the patient was sent to the infectious disease clinic. A PICC line was placed, and the patient was started on a course of IV vancomycin for four weeks. After her course of vancomycin, the patient was switched back to doxycycline and then to penicillin VK. Currently, the patient is doing well without any new issues or recurrent breast abscesses/nodules, and she frequently follows up in the breast and infectious disease clinic.

Discussion

Corynebacterium kroppenstedtii was first discovered in 1998 after being cultured from a specimen of sputum.16 It is a lipophilic bacterium in nature and may explain why the organism colonizes in human breast tissue.3,9,10 In 2002, Corynebacterium kroppenstedtii was first associated with granulomatous mastitis after a retrospective case study of Polynesian women confirmed the bacteria on histopathology.3 The case report found that C. kroppenstedtii was the most common bacterial isolate cultured (> 40%) from patients with GLM.3 Other common isolates were Enterobacteriaceae, Staphylococcus aureus, and coagulase-negative staphylococci.3 Since then, other case reports have linked the bacteria to the cause of recurrent GLM. Although Corynebacterium kroppenstedtii has been implicated in breast disease, knowledge is lacking regarding treatment and clinical outcomes, as one can attest from our case report.17 In the treatment of granulomatous mastitis caused by C. kroppenstedii, studies have shown that surgery has been a key component in treatment and often requires multiple incisions and drainages.17 One hypothesis as to why surgery is often necessary stems from the idea that many antibiotics are hydrophilic, meaning they penetrate poorly in the breasts and often lead to uncontrolled infection.10,18 However, antibiotics administered over long periods support favorable outcomes in patients, especially when lipophilic agents are utilized. Some common lipophilic antibiotics used are doxycycline and ciprofloxacin, but amoxicillin (with and without clavulanic acid) and cefuroxime are often trialed.3,9,16

Conclusion

We present a case of recurrent Corynebacterium kroppenstedtii granulomatous mastitis in a 38-year-old female. It highlights the idea that granulomatous mastitis is associated with bacterial infections; this is a complicated disease to treat, and surgery is a key component in treatment.

Lessons Learned

Granulomatous mastitis is a difficult disease to diagnose and treat. Thus, it is imperative to promptly and precisely direct patient therapy to identify the causative pathogen. Moreover, antibiotic treatment alone often fails to support that surgery is a key component in GLM treatment.

Authors

Klusty ARa; Beck SLb; Afroze Ac; Granada MDc

Author Affiliations

  1. General Surgery Residency, MercyOne Des Moines Medical Center, Des Moines, IA 50314
  2. MercyOne Katzmann Breast Care, Clive, IA 50325
  3. Pulmonary and Infectious Disease Care, MercyOne Des Moines, Des Moines, IA 50314

Corresponding Author

Ariel R. Klusty, DO
MercyOne Des Moines
1111 6th Avenue
Des Moines, IA 50314
Email: aklusty@mercydesmoines.org

Disclosure Statement

The authors have no conflicts of interest to disclose.

Funding/Support

The authors have no relevant financial relationships or in-kind support to disclose.

Received: October 12, 2020
Revision received: November 29, 2020
Accepted: January 19, 2021

References

  1. Going JJ, Anderson TJ, Wilkinson S, Chetty U. Granulomatous lobular mastitis. J Clin Pathol. 1987;40(5):535-540. doi:10.1136/jcp.40.5.535
  2. Jorgensen MB, Nielsen DM. Diagnosis and treatment of granulomatous mastitis. Am J Med. 1992;93(1):97-101. doi:10.1016/0002-9343(92)90688-8
  3. Paviour S, Musaad S, Roberts S, et al. Corynebacterium species isolated from patients with mastitis. Clin Infect Dis. 2002;35(11):1434-1440. doi:10.1086/344463
  4. Berger SA, Gorea A, Stadler J, Dan M, Zilberman M. Recurrent breast abscesses caused by Corynebacterium minutissimum. J Clin Microbiol. 1984;20(6):1219-1220. doi:10.1128/jcm.20.6.1219-1220.1984
  5. Hommez J, Devriese LA, Vaneechoutte M, Riegel P, Butaye P, Haesebrouck F. Identification of nonlipophilic corynebacteria isolated from dairy cows with mastitis. J Clin Microbiol. 1999;37(4):954-957. doi:10.1128/JCM.37.4.954-957.1999
  6. Kumari P, Levy CS, McHenry KS, Fedorko D, Lucey DR. C. amycolatum: a novel cause of breast abscess. Infect Dis Clin Prac. 2000;9(4): 179-181.
  7. Phillips SE, Bracis R. Recognition of Corynebacterium group G-2 as a cause of infection. Clin Microb News. 1991;13(10): 78-80.
  8. Stone N, Gillett P, Burge S. Breast abscess due to Corynebacterium striatum. Br J Dermatol. 1997;137(4):623-625. doi:10.1111/j.1365-2133.1997.tb03799.x
  9. Le Flèche-Matéos A, Berthet N, Lomprez F, et al. Recurrent Breast Abscesses due to Corynebacterium kroppenstedtii, a Human Pathogen Uncommon in Caucasian Women. Case Rep Infect Dis. 2012;2012:120968. doi:10.1155/2012/120968
  10. Renshaw AA, Derhagopian RP, Gould EW. Cystic neutrophilic granulomatous mastitis: an underappreciated pattern strongly associated with gram-positive bacilli. Am J Clin Pathol. 2011;136(3):424-427. doi:10.1309/AJCP1W9JBRYOQSNZ
  11. Kessler E, Wolloch Y. Granulomatous mastitis: a lesion clinically simulating carcinoma. Am J Clin Pathol. 1972;58(6):642-646. doi:10.1093/ajcp/58.6.642
  12. Centers for Disease Control and Prevention (CDC). Idiopathic granulomatous mastitis in Hispanic women - Indiana, 2006-2008. MMWR Morb Mortal Wkly Rep. 2009;58(47):1317-1321.
  13. Akcan A, Akyildiz H, Deneme MA, Akgun H, Aritas Y. Granulomatous lobular mastitis: a complex diagnostic and therapeutic problem. World J Surg. 2006;30(8):1403-1409. doi:10.1007/s00268-005-0476-0
  14. Wolfrum A, Kümmel S, Theuerkauf I, Pelz E, Reinisch M. Granulomatous Mastitis: A Therapeutic and Diagnostic Challenge. Breast Care (Basel). 2018;13(6):413-418. doi:10.1159/000495146
  15. Gautier N, Lalonde L, Tran-Thanh D, et al. Chronic granulomatous mastitis: Imaging, pathology and management. Eur J Radiol. 2013;82(4):e165-e175. doi:10.1016/j.ejrad.2012.11.010
  16. Collins MD, Falsen E, Akervall E, Sjöden B, Alvarez A. Corynebacterium kroppenstedtii sp. nov., a novel corynebacterium that does not contain mycolic acids. Int J Syst Bacteriol. 1998;48 Pt 4:1449-1454. doi:10.1099/00207713-48-4-1449
  17. Tauch A, Fernández-Natal I, Soriano F. A microbiological and clinical review on Corynebacterium kroppenstedtii. Int J Infect Dis. 2016;48:33-39. doi:10.1016/j.ijid.2016.04.023
  18. Dobinson HC, Anderson TP, Chambers ST, Doogue MP, Seaward L, Werno AM. Antimicrobial Treatment Options for Granulomatous Mastitis Caused by Corynebacterium Species. J Clin Microbiol. 2015;53(9):2895-2899. doi:10.1128/JCM.00760-15