Unsupported Browser
The American College of Surgeons website is not compatible with Internet Explorer 11, IE 11. For the best experience please update your browser.
Menu
Become a member and receive career-enhancing benefits

Our top priority is providing value to members. Your Member Services team is here to ensure you maximize your ACS member benefits, participate in College activities, and engage with your ACS colleagues. It's all here.

Become a Member
Become a member and receive career-enhancing benefits

Our top priority is providing value to members. Your Member Services team is here to ensure you maximize your ACS member benefits, participate in College activities, and engage with your ACS colleagues. It's all here.

Become a Member
ACS
Case Reviews in Surgery

Rendezvous Procedure as an Alternative Treatment Strategy for Type C Bile Duct Injury Postcholecystectomy

Rendezvous Procedure as an Alternative Treatment Strategy for Type C Bile Duct Injury Postcholecystectomy

March 5, 2020

Abstract

Background

Bile duct injuries and bile leaks following cholecystectomy are challenging to treat in well patients but are particularly challenging in patients who are poor surgical candidates.

Summary

This case describes the use of a Rendezvous Procedure to establish biliary-enteric continuity in a patient who was deemed to be an unfit surgical candidate (due to pre-existing co-morbidities) for repair of a bile duct injury post challenging cholecystectomy for chronic cholecystitis. Cholangiograms attained from ERCPs and through percutaneous drains allowed definition of her post-operative anatomy including a disconnected leaking right posterior sectional duct (Strasberg type C injury) draining the right posterior liver and most of the right anterior section as well. However, attempts to internalize drainage of her liver were unsuccessful and she became unwell requiring hospitalization. A Rendezvous Procedure involving both IR and GI occurred approximately 4 months after the original cholecystectomy which was able to allow for internal biliary drainage and discharge from hospital.

Conclusion

Interdisciplinary coordination is necessary to formulate an individualized treatment plan for patients with severe medical comorbidities predicted to do poorly following a major hepatobiliary surgery for bile duct injuries and bile leaks.

Keywords

Rendezvous procedure; interventional radiology; ERCP; bile duct injury; bile leak; hepatobiliary surgery


Case Description

We present the case of a 76-year-old woman who underwent a cholecystectomy complicated by a Strasberg type C biliary injury. Patient co-morbidities included: morbid obesity, atrial fibrillation with a CHADs-Vasc score of 6, coronary artery disease with a chronically occluded left anterior descending artery, heart failure with preserved ejection fraction, chronic renal failure secondary to hypertension, and type 2 diabetes on home insulin. At the time of cholecystectomy, intense scarring and hydrops-type changes of the gallbladder were found. During the procedure, a stapler was applied to a structure identified to be a dilated cystic duct, and a sonosurg device was used to take the gallbladder off top down without bile leakage. A JP drain was left in the gallbladder bed. Pathology demonstrated chronic cholecystitis and cholelithiasis.

Following this, the patient experienced continued abdominal pain and bile in her JP drain 2 days post-operatively. An ERCP was performed (see cholangiogram in Figure 1) and a stent was placed into the CBD. It is evident from this cholangiogram that the right posterior sectional duct is not filling, consistent with either a Strasberg type B or C injury.

Figure 1. ERCP cholangiogram performed when bilious drainage was visualized post cholecystectomy from the JP drain in the gallbladder fossa.
Figure 1. ERCP cholangiogram performed when bilious drainage was visualized post cholecystectomy from the JP drain in the gallbladder fossa.

Figure 1. ERCP cholangiogram performed when bilious drainage was visualized post cholecystectomy from the JP drain in the gallbladder fossa.

Continued biliary drainage occurred following ERCP consistent with a type C injury (disconnected posterior sectional duct). CT scan 4 days later showed interval development of two large gas-containing fluid collections, one above the liver in the sub-diaphragmatic recess and the other extending from the gallbladder fossa to beneath the left lobe of the liver. 2 pigtail percutaneous drains were placed and broad-spectrum antibiosis was initiated. The subhepatic drain put out approximately 600cc of bilious fluid per day.

The patient's hospital course was complicated by acute kidney injury (AKI), cholangitis, and atrial fibrillation with rapid ventricular response, all of which resolved. She was discharged home with a percutaneous transhepatic biliary drain (PTBD) in place into the segment 5 biliary duct.

At this point, approximately two months after cholecystectomy, our hospital was asked for hepatobiliary (HPB) surgery and specialty interventional radiology consults. Given the anatomy, internalization of the PTBD was not possible and so stent exchanges were necessary when her tube became repetitively blocked. A tube check study two months postop, with contrast injected through the subhepatic percutaneous drain, interestingly showed back filling of non-dilated ducts in the posterior section (Figure 2).

Figure 2. Tube check study through a pigtail drain in the sub-hepatic space shows communication between a biloma in the gallbladder fossa and non-dilated posterior segment 6 and 7 biliary ducts.
Figure 2. Tube check study through a pigtail drain in the sub-hepatic space shows communication between a biloma in the gallbladder fossa and non-dilated posterior segment 6 and 7 biliary ducts.

Figure 2. Tube check study through a pigtail drain in the sub-hepatic space shows communication between a biloma in the gallbladder fossa and non-dilated posterior segment 6 and 7 biliary ducts.

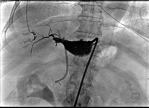
Subsequent tube checks to visualize the size of the biloma demonstrated backfilling of the CBD through a newly patent cystic duct at 3 months post-operatively (see figure 3). A PTBD was inserted into the posterior sectional duct with its tip lying in the hilum and the subhepatic pigtail drain was removed from under the liver (see figure 4).

Figure 3. Tube check cholangiogram through percutaneous pigtail drain into biloma in the gallbladder fossa demonstrates new patency of the cystic duct (thick arrow) and back-filling of the CBD out of the biloma (thin arrow).
Figure 3. Tube check cholangiogram through percutaneous pigtail drain into biloma in the gallbladder fossa demonstrates new patency of the cystic duct (thick arrow) and back-filling of the CBD out of the biloma (thin arrow).

Figure 3. Tube check cholangiogram through percutaneous pigtail drain into biloma in the gallbladder fossa demonstrates new patency of the cystic duct (thick arrow) and back-filling of the CBD out of the biloma (thin arrow).

Figure 4. A PTBD was placed into the posterior sectional duct with its tip situated in the biliary hilum (thin arrow) and the subhepatic pigtail drain was removed. A CBD stent is in place (thick arrow).
Figure 4. A PTBD was placed into the posterior sectional duct with its tip situated in the biliary hilum (thin arrow) and the subhepatic pigtail drain was removed. A CBD stent is in place (thick arrow).

Figure 4. A PTBD was placed into the posterior sectional duct with its tip situated in the biliary hilum (thin arrow) and the subhepatic pigtail drain was removed. A CBD stent is in place (thick arrow).

At this time the patient was experiencing progressive fatigue, decreased oral intake, and weight loss (labs showed hyponatremia, Cr 3.14, total bili 1.7) in the setting of approximately 600 mL of bilious output per day from her PTBD therefore she was admitted. HPB surgery, gastroenterology (GI), and interventional radiology (IR) were consulted. Her co-morbidities prohibited an attempt at surgical repair due to her poor ability to deal with likely complications and it was decided that the best first course of action for her was a Rendezvous Procedure with both IR and GI.

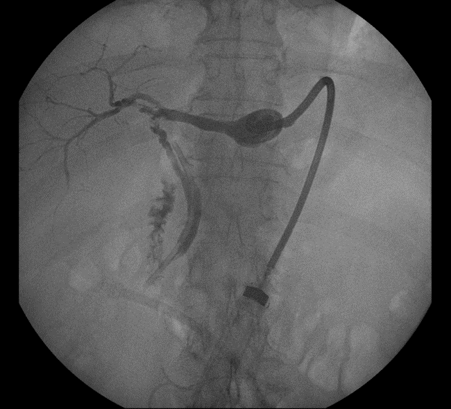
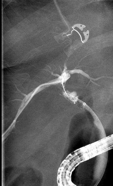
In the IR/GI suite the ERCP scope was advanced to the major papilla under general anesthesia. A glidewire was inserted into the CBD and then passed into the cystic duct. The wire was advanced through the cystic duct through the biloma and into the right posterior ductal system. The IR team had access to the intra-hepatic ducts already through the previously placed PTBD and they percutaneously advanced a snare under fluoroscopic guidance towards the endoscopist's wire to capture the wire and pull it back out the PTBD skin site (see Figure 5 for cholangiogram image). A PTBD was then advanced by IR over the guidewire into the duodenum (Figure 6) and secured into place. Final cholangiogram image showed contrast injected percutaneously traveling through the previous biloma without contrast extravasation and into the cystic duct and duodenum (Figure 7).

Figure 5. Cholangiogram image taken during combined IR/GI rendezvous procedure. An ERCP wire (thin arrow) was fed up through the cystic duct into the right posterior section, where PTBD was already in place. An IR snare (thick arrow) was used to capture the ERCP wire.
Figure 5. Cholangiogram image taken during combined IR/GI rendezvous procedure. An ERCP wire (thin arrow) was fed up through the cystic duct into the right posterior section, where PTBD was already in place. An IR snare (thick arrow) was used to capture the ERCP wire.

Figure 5. Cholangiogram image taken during combined IR/GI rendezvous procedure. An ERCP wire (thin arrow) was fed up through the cystic duct into the right posterior section, where PTBD was already in place. An IR snare (thick arrow) was used to capture the ERCP wire.

Figure 6. A PTBD tube was advanced across the biloma and into the cystic duct down into the duodenum by the IR team.
Figure 6. A PTBD tube was advanced across the biloma and into the cystic duct down into the duodenum by the IR team.

Figure 6. A PTBD tube was advanced across the biloma and into the cystic duct down into the duodenum by the IR team.

Figure 7. Final rendezvous cholangiogram showing flow through PTBD through the previous biloma cavity, cystic duct and CBD, finally into the duodenum.
Figure 7. Final rendezvous cholangiogram showing flow through PTBD through the previous biloma cavity, cystic duct and CBD, finally into the duodenum.

Figure 7. Final rendezvous cholangiogram showing flow through PTBD through the previous biloma cavity, cystic duct and CBD, finally into the duodenum.

The patient went on to do well. PTBD was capped two days following the procedure and her bilirubin levels remained low. Her AKI was reversed, and her electrolytes normalized with good nutrition. She was able to be discharged a week following the procedure with daily PTBD flushes and drain care. Ultimately, the goal will be complete internalization of the drain, so she doesn't have to have a cap on her skin once an epithelialized tract has formed.

Discussion

Traditional surgical approaches to bile duct injuries (BDI) include Roux-en-Y hepaticojejunostomy (RYHJ) and potentially liver resection depending on extent and classification of injury. Type C injuries, as described here, pose a specific challenge as there is often a very short, small caliber external portion of extrahepatic duct and variable blood supply. Therefore, liver resection is often necessary to stop the bile leak. Both RYHJ and liver resection are major surgical procedures that can be life threatening for poor surgical candidates. In addition, as illustrated in this case, these patients are made even more medically fragile by their BDI due to dehydration, malabsorption and electrolyte disturbances. By involving a multi-disciplinary team of HPB surgeons, IR, and GI with ERCP experience, the options for treatment widen with less risk of major complication. Often stenting via ERCP by an endoscopist, or an internalized PTBD with interventional radiology, may be enough to control a bile leak post cholecystectomy. The goal of these attempts being to decompress the biliary tree and allow healing of the defect.

A rendezvous procedure refers to the combination of endoscopic, percutaneous and/or surgical approaches to achieve a goal through 2 points of the body that cannot be achieved via one. This method is often used for patients with hepatobiliary dysfunction, when ERCP or PTBD alone are not sufficient for achieving desired outcomes.1

A few similar cases of combined percutaneous/endoscopic/operative Rendezvous Procedures for CBD injuries have been described.2 Sathyanarayana et al3 described what they believed to be the first 2 cases in the literature in 2014. Their patients both had extensive biliary injuries (type E4) who were unable to have internalized drainage and the IR team came into the OR to participate in the surgeries.
Elmunzer et al4 describe a rendezvous procedure for a complete bile duct transection (E2 injury) in which a fully covered, self-expanding metallic stent (SEMS) was inserted into a previously formed PTC rendezvous tract. When the stent was removed 6 months later, a cholangiogram showed no stricture or leak (she did re-stricture 3 months later requiring another round of 5 months of stent therapy). Interestingly, in our case, no fibrotic tract was present across the biloma cavity, but a wire was still able to be manipulated across it. This was due to recanalization of the cystic duct after about 2.5 months, causing it to communicate with the biloma despite likely being stapled intraoperatively.

In a slightly different example of a Rendezvous Procedure, Meek et al5 outline a maneuver performed solely by IR in which 2 separate percutaneous access routes were used to pass a glidewire across a biloma cavity and create continuous access from the intrahepatic ducts into the CBD. This modification of the Rendezvous would be useful in patients in whom endoscopy options are limited, for example post Roux-en-Y gastric bypass.

Conclusion

This case describes the use of a Rendezvous Procedure to establish biliary-enteric continuity in a patient who was deemed to be an unfit surgical candidate for repair of a type C common bile duct injury post cholecystectomy. Interdisciplinary coordination was necessary to come up with an individualized stepwise treatment plan when PTBD internalization was not possible. Bile duct injury following cholecystectomy is challenging to treat, in part because each patient, and every injury, is distinct and liver anatomy is rarely cookie-cutter. Combined Rendezvous Procedures, planned in cooperation with hepatobiliary surgeons and executed by a multi-disciplinary team, add a potentially safer option for patients with complex biliary injuries to treatment options.

Lessons Learned

Individualized care of patients with challenging bile leaks and ductal injuries post cholecystectomy should be managed at a center with multidisciplinary care (HPB surgery, GI, and IR) and with experience in complex options for treating these patients.

Authors

Johnathan Righetti, MD
Virginia Mason Medical Center
Seattle, WA

Janelle Rekman, MD
Virginia Mason Medical Center
Seattle, WA

Adnan Alseidi, MD, FACS
Virginia Mason Medical Center
Seattle, WA

Correspondence Author

Johnathan Righetti, MD
Virginia Mason Medical Center
925 Seneca St.
Seattle, WA 98101
Phone: 406-253-0401
Email: Johnathan.righetti@virginiamason.org

Disclosure Statement

The authors have no conflicts of interest or financial disclosures to disclose.

References

  1. De Robertis R, Contro A, Zamboni G, Mansueto G. Totally percutaneous rendezvous techniques for the treatment of bile strictures and leakages. J of Vasc and Interven Rad. 2014; 25(4): 650-4.
  2. Shin S, Klevan A, Fernandez C, Astudillo J, Martinez C. Rendezvous technique for the treatment of complete common bile duct transection after multiple hepatobiliary surgeries. J of laparoendoscopic and adv Surg techniques. 2014; 24(10): 728-30.
  3. Sathyanarayana S, Lee C, Lobko I, Febles A, Madariaga J. Modified rendezvous biliary procedure involving the hepatobiliary surgeon, endoscopist, and interventional radiologist: a novel solution for complex bile duct injuries. J Am Coll Surg. 2014; e51-54.
  4. Elmunzer B, Feussner D, Payne M, Nadig S, Yamada R. Combined endoscopic-percutaneous biliary restoration following severe bile duct injury during cholecystectomy. Am J Gastro. 2018; 113: 329.
  5. Meek J, Fletcher S, Crumey K, Culp W, Meek M. Percutaneous rendezvous technique for the management of a bile duct injury. Radiology case reports. 2018; 13: 175-178.
  6. Strasberg SM, Hertl M, Soper J. An analysis of the problem of biliary injury during laparoscopic cholecystectomy. J Am Coll Surg. 1995; 180:101-25.