Unsupported Browser
The American College of Surgeons website is not compatible with Internet Explorer 11, IE 11. For the best experience please update your browser.
Menu
Become a member and receive career-enhancing benefits

Our top priority is providing value to members. Your Member Services team is here to ensure you maximize your ACS member benefits, participate in College activities, and engage with your ACS colleagues. It's all here.

Become a Member
Become a member and receive career-enhancing benefits

Our top priority is providing value to members. Your Member Services team is here to ensure you maximize your ACS member benefits, participate in College activities, and engage with your ACS colleagues. It's all here.

Become a Member
ACS
ACS Case Reviews

Gallbladder Volvulus: A Diagnostic Mimicker of Acute Cholecystitis

March 20, 2024

Abstract

Background

A 91-year-old female patient presented to the emergency department with imaging suspicion of gallbladder volvulus, later confirmed intraoperatively.

Summary

A 91-year-old patient presented to the emergency department with symptoms of generalized abdominal pain. Further workup with computed tomography of the abdomen and pelvis demonstrated a distended gallbladder with profuse pericholecystic edema and soft tissue thickening around the pedicle, for which the concern for gallbladder torsion was raised. This was later confirmed intraoperatively with the gallbladder twisted on its pedicle. Gallbladder volvulus is a rare entity that is often difficult to diagnose based on clinical assessment or imaging and can be misdiagnosed as acute cholecystitis. Knowledge of this rare entity is important to recognize its presentation on imaging preoperatively and to facilitate timely management and appropriate surgical approach.

Conclusion

Gallbladder volvulus is a rare entity that is often misdiagnosed as acute cholecystitis. Confident identification of the imaging features preoperatively will help guide surgical management in these patients.

Key Words

gallbladder; volvulus; torsion; cholecystitis


Case Description

A 91-year-old female patient presents to the emergency department with increasing generalized abdominal pain for five days, which progressively migrated to the right lower quadrant. Her abdominal pain was mild in the ED, and she denied any associated fever or chills. Laboratory correlation demonstrated significant leukocytosis at 26.2 × 109/L (normal range 3.5-10.5 × 109/L), elevated total bilirubin of 25 umol/L (normal range ≤15 umol/L), with otherwise normal liver function tests and lactate.

Due to the nonspecific nature of her pain, she underwent an abdominopelvic computed tomography (CT) examination. Her examination demonstrated a markedly distended gallbladder with profuse pericholecystic edema and mild gallbladder wall thickening (Figure 1). Dependent gallstones were noted in the fundus, but no obstructing radiopaque gallstone was identified. Additional findings of an eccentrically positioned gallbladder were noted, with soft tissue thickening at the gallbladder neck and heterogeneously hyperattenuating material in the perihepatic space. The concern for gallbladder volvulus was raised with likely a contained perforation containing probable hemorrhagic debris. In the setting of the unusual soft tissue thickening at the neck, an underlying obstructing neoplasm was also suggested as a differential consideration.

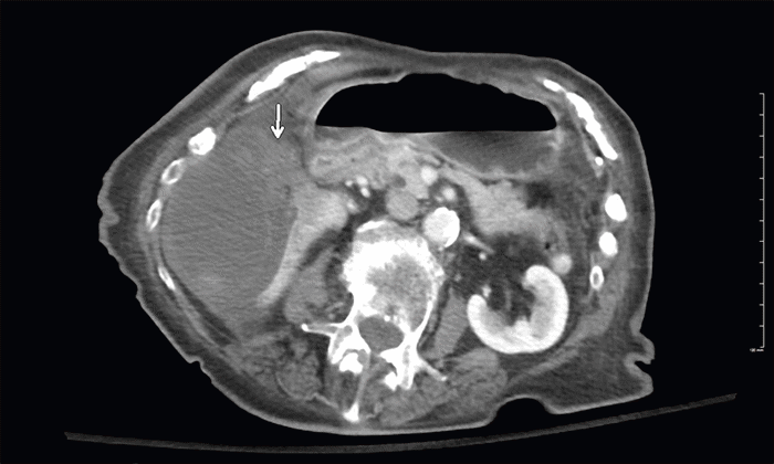
Figure 1. Axial Abdominopelvic CT. Published with Permission

Image demonstrates a significantly distended gallbladder with a contained pericholecystic fluid collection secondary to perforation. Thickened soft tissue density at the pedicle suggested gallbladder volvulus (arrow). Note significant mass effect on the inferior right hepatic lobe.
Image demonstrates a significantly distended gallbladder with a contained pericholecystic fluid collection secondary to perforation. Thickened soft tissue density at the pedicle suggested gallbladder volvulus (arrow). Note significant mass effect on the inferior right hepatic lobe.

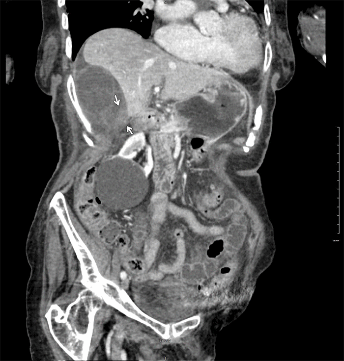
Figure 2. Coronally Reformatted Abdominopelvic CT. Published with Permission

Image demonstrates a significantly distended gallbladder with profuse pericholecystic edema, ill-defined hypoenhancing, and thickened wall, wall sloughing, and hemorrhage in keeping with ischemic changes. Thickened soft tissue density at the pedicle suggested gallbladder volvulus (arrows)
Image demonstrates a significantly distended gallbladder with profuse pericholecystic edema, ill-defined hypoenhancing, and thickened wall, wall sloughing, and hemorrhage in keeping with ischemic changes. Thickened soft tissue density at the pedicle suggested gallbladder volvulus (arrows)

The acute care surgery team was consulted, and the patient underwent urgent cholecystectomy. Laparoscopic visualization demonstrated a gallbladder twisted 180 degrees on its pedicle with no apparent attachment to the liver bed, cementing the diagnosis of gallbladder volvulus. The gallbladder was significantly distended, thickened, and heavily congested. A large mural clot was noted, likely corresponding to the hyperattenuating material seen on CT. The gallbladder was untwisted on its pedicle, and careful dissection was performed along an unusually elongated cystic duct and artery, which were then ligated above the sulcus of Rouvière.

On gross pathology of the specimen, the gallbladder wall was found to be diffusely necrotic. The cystic duct was thickened, firm, and without an apparent patent lumen (Figure 2). No obstructing neoplasm was identified.

Figure 3. Gross Pathological Specimen Demonstrates Diffusely Necrotic Walls with 2.1 cm Calculus. Published with Permission

The cystic duct measured 2.7 cm and was thickened, firm, and with no obvious patent lumen
The cystic duct measured 2.7 cm and was thickened, firm, and with no obvious patent lumen

The patient did well in the postoperative phase and was eventually discharged from the surgical service.

Discussion

Gallbladder volvulus, also known as gallbladder torsion, is a known but uncommon etiology of acute abdominal pain. It occurs when the gallbladder twists along its long axis, leading to twisting of the cystic duct and artery. This twisting can result in compromised blood flow, leading to tissue death, blockage of bile flow, and potential rupture of the gallbladder with leakage of bile into the abdomen. Prompt surgical intervention is typically required. While suspicion of this condition before surgery is crucial for timely treatment, a definitive diagnosis is often made only during surgery.

Gallbladder volvulus, although uncommon, tends to occur predominantly in the elderly population, with up to 85% of reported cases involving patients over 60 years old.1 The exact incidence of this condition remains unclear, with fewer than 500 reported cases.2 In patients presenting with gallbladder volvulus, symptoms often include nausea and vomiting and right upper quadrant pain, which can also be generalized in location, as seen in this case.3 The initial clinical suspicion is often acute cholecystitis or biliary colic; however, clinical examination and laboratory tests may be misleading in the diagnosis depending on whether the volvulus is complete or incomplete/intermittent.4 Many anatomical risk factors have been suggested to predispose patients to volvulus, such as an absent or abnormally long mesentery at the gallbladder fossa, allowing for increased laxity and mobility from its anatomical fixation, the peristaltic activity of surrounding bowel, spinal deformities, or atherosclerotic changes involving the cystic artery.2,4

Imaging diagnosis is often challenging to make definitively, as the visualization of the cystic pedicle is often obscured due to anatomic position, overlying bowel gas, and regional inflammatory changes. Ultrasound is typically the first imaging modality that may demonstrate nonspecific features of gallbladder distension with profound pericholecystic edema and gallbladder wall thickening. Gangrenous changes such as sloughed mucosa may also be present in advanced cases. A “floating gallbladder” appearance has been classically described, where the gallbladder is abnormally situated in relation to its normal position at the gallbladder fossa, such as in a retrohepatic orientation.4,5 A Doppler examination of the vascular pedicle may reveal a conical appearance and high resistive index of the cystic artery, along with reduced mural vascularity. The presence or absence of gallstones may suggest acute acalculous cholecystitis.

Computed tomography imaging provides clear visualization of the gallbladder’s morphology and anatomic location while also ruling out non-cholecystic differential considerations like ischemic mesenteritis, bowel obstruction, pancreatitis, and focal peritoneal fat infarction. The features of gallbladder volvulus on CT include gallbladder distention, wall thickening, and diffuse pericholecystic edema. The gallbladder is often variably ectopic from its natural position at the gallbladder fossa, with a thickened appearance of the gallbladder neck. The “whirl sign” describes the appearance of the torted pedicle, which is best observed when the visualization plane is perpendicular to the twisted axis.6 Due to the increased risk of vascular compromise, ischemic changes and perforation may be present.

Though ultrasound and CT are the primary imaging modalities for preoperative diagnosis, advanced imaging such as MRI/MRCP and HIDA scan may also be performed if the diagnosis requires further clarification preoperatively.

Conclusion

Gallbladder volvulus is a rare condition that is often nonspecific in its clinical and imaging appearances and requires urgent surgical intervention. Careful imaging analysis can lead to increased preoperative suspicion, allowing for proper, timely management. A delay in management can result in gangrenous changes, perforation, and bilious peritonitis.

Lessons Learned

Gallbladder volvulus has a high risk of necrosis and perforation and should be a differential consideration. Careful attention to imaging can help suggest the diagnosis early and help surgeons decide on the appropriate operative approaches.

Authors

Yan JHa; Lampron Jb; Macdonald DBa

Author Affiliations

  1. Department of Medical Imaging, The Ottawa Hospital Research Institute, Ottawa, ON K1H 8L6, Canada
  2. Department of Surgery, The Ottawa Hospital Research Institute, Ottawa, ON K1H 8L6, Canada

Corresponding Author

D. Blair Macdonald, MD, FRCP(c)
Department of Medical Imaging
The Ottawa Hospital General Campus
501 Smyth Road
2nd Floor, CPCR L2119
Ottawa, ON K1H 8L6
Email: blmacdonald@toh.ca

Disclosure Statement

The authors have no conflicts of interest to disclose.

Funding/Support

The authors have no relevant financial relationships or in-kind support to disclose.

Received: January 26, 2021
Revision received: March 9, 2021
Accepted: April 19, 2021

 

References

  1. Hayson A, Lee J, Ramirez Valderama A. Gallbladder Volvulus: A Case Study and Review of Literature. J Univer Surg. 2017, 5: 3. doi: 10.21767/2254-6758.100080
  2. Farhat W, Mabrouk MB, Ammar H, et al. Gallbladder volvulus: A case report and review of the literature. Int J Surg Case Rep. 2019;60:75-78. doi:10.1016/j.ijscr.2019.02.025
  3. Pottorf BJ, Alfaro L, Hollis HW. A Clinician’s Guide to the Diagnosis and Management of Gallbladder Volvulus. Perm J. 2013;17(2):80-83. doi:10.7812/TPP/12-118
  4. Kashyap S, Mathew G, Abdul W, Ahmad H. Gallbladder Volvulus. In: StatPearls. Treasure Island (FL): StatPearls Publishing; July 19, 2022.
  5. Wendel AV. VI. A Case of Floating Gall-Bladder and Kidney complicated by Cholelithiasis, with Perforation of the Gall-Bladder. Ann Surg. 1898;27(2):199-202.
  6. Tajima Y, Tsuneoka N, Kuroki T, Kanematsu T. Clinical images. Gallbladder torsion showing a “whirl sign” on a multidetector computed tomography scan. Am J Surg. 2009;197(1):e9-e10. doi:10.1016/j.amjsurg.2008.01.030