Unsupported Browser
The American College of Surgeons website is not compatible with Internet Explorer 11, IE 11. For the best experience please update your browser.
Menu
Become a member and receive career-enhancing benefits

Our top priority is providing value to members. Your Member Services team is here to ensure you maximize your ACS member benefits, participate in College activities, and engage with your ACS colleagues. It's all here.

Become a Member
Become a member and receive career-enhancing benefits

Our top priority is providing value to members. Your Member Services team is here to ensure you maximize your ACS member benefits, participate in College activities, and engage with your ACS colleagues. It's all here.

Become a Member
ACS
ACS Case Reviews

Traumatic Diaphragmatic Rupture and the Delayed Presentation of a Pericardial Hernia

August 10, 2023

Abstract

Background

A 77-year-old female presented with a pericardial hernia eight days after a motor vehicle accident.

Summary

Our patient presented to the emergency department after a motor vehicle accident with multiple injuries, including small bilateral, frontal subdural hematomas, right and left fifth-to-seventh rib fractures, with a small left pneumothorax, a sacral fracture, and bilateral inferior pubic rami fractures. The patient did not require immediate surgical intervention but was admitted to the ICU due to poor inspiratory effort. By hospital day 4, she was transferred to the floor and began working with physical therapy. On hospital day 8, she developed mild leukocytosis and tachycardia, prompting a chest X ray, revealing a new, large diaphragmatic hernia on the left side. She was taken to the operating room for urgent repair of the hernia. A portion of the colon was found to be incarcerated through the defect within the pericardium. While traumatic diaphragmatic hernias are not uncommon, the estimated incidence of pericardial hernias is about one case per year. Interestingly, most patients with this type of hernia are diagnosed months to years following a traumatic event. When identified, it should be urgently repaired to avoid cardiac and/or gastrointestinal complications. The report emphasizes the need for close monitoring of polytrauma patients after initial treatment and stabilization.

Conclusion

A pericardial hernia may present months following blunt trauma to the abdomen. We present a case of a pericardial hernia presenting eight days following a motor vehicle accident. The diagnosis is challenging due to the variable presentation and delayed onset. Both symptomatic and incidental diagnoses must be repaired to prevent future complications.

Key Words

trauma; hernia; delayed complication


Case Description

We describe a pericardial hernia secondary to trauma in a 77-year-old female patient. A pericardial hernia is the protrusion of abdominal contents through the central tendon of the diaphragm into the pericardial sac. It is a rare occurrence, with an average of one reported case annually.1 This type of hernia is most commonly due to trauma but can also be congenital or iatrogenic. Interestingly, most patients with a traumatic pericardial hernia are diagnosed months to years after the trauma.1 This case features a posttraumatic diaphragmatic rupture and pericardial hernia that occurred eight days after the event.

A 77-year-old female with a medical history significant for hyperlipidemia and hypothyroidism presented to the emergency department following a motor vehicle accident. She was found to have multiple injuries, including small bilateral, frontal subdural hematomas, right first and left fifth-to-seventh rib fractures, with a small left pneumothorax, a sacral fracture, and bilateral inferior pubic rami fractures. The focused assessment with sonography for trauma (FAST) exam was negative. Computed tomography (CT) of the abdomen and pelvis was unremarkable other than the previously mentioned pelvic fractures. The patient was admitted to the ICU due to poor inspiratory effort. She was placed on oxygen via nasal cannula, with a max flow rate of 4 liters/min (L/min).

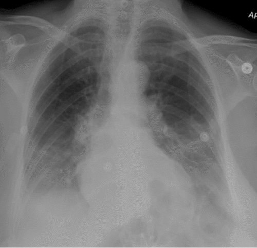
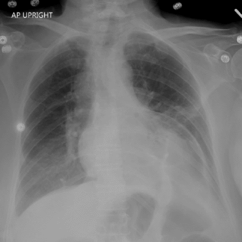
By hospital day 4, the patient was transferred to the floor. She had difficulty with the return of bowel function, but otherwise, she was doing well, working with physical therapy. On hospital day 8, she developed mild leukocytosis and tachycardia, prompting a chest X ray. This exam revealed a new, large diaphragmatic hernia, concerning for a traumatic hernia at the anterior diaphragm (Figure 1A). A review of a previous chest X ray confirmed that this was a new finding (Figure 1B). Aside from tachycardia, her vital signs were stable, and she was breathing comfortably on 2 L/min of oxygen. She denied new complaints at the time of the exam.

Figure 1. Diagnostic and Prior Chest X Rays. Published with Permission

A) Large hernia from left anterior diaphragm, concerning for traumatic hernia
A) Large hernia from left anterior diaphragm, concerning for traumatic hernia
B) Review of chest X ray from five days earlier demonstrated normal findings
B) Review of chest X ray from five days earlier demonstrated normal findings

She was taken to the operating room for repair of the hernia. The operation was initially attempted laparoscopically but was converted to an open procedure due to difficulty with exposure. The hernia defect was found to be just left of the central tendon (Figure 2). The defect occupied approximately one-half of the left diaphragm. A portion of the colon was incarcerated through the defect within the pericardium. Upon reduction of the colon, the heart could be visualized through the defect. It was repaired primarily with a polyester suture (Ethibond, Ethicon, Somerville, NJ). A 10 × 15 cm polypropylene mesh (Ventralight, a subsidiary of C.R. Bard, Inc, Warwick, RI) was also placed and secured with polyester suture (Ethibond, Ethicon, Somerville, NJ).

Figure 2. Intraoperative View of Hernia. Published with Permission

Diaphragmatic defect was visualized intraoperatively; heart could be visualized through defect on left side of diaphragm
Diaphragmatic defect was visualized intraoperatively; heart could be visualized through defect on left side of diaphragm

Postoperatively, the patient was noted to have an atrial flutter with rapid ventricular response. She underwent direct current cardioversion on postoperative day 1 without complication. The patient had a prolonged postoperative course, mainly due to deconditioning. Overall, she did well and was eventually discharged to a rehabilitation facility on postoperative day 13.

Discussion

Up to 5.8% of patients with a history of blunt trauma may experience a diaphragmatic injury.2 Yet, a central defect with herniation of abdominal contents into the pericardial sac is a rare occurrence. Traumatic tears typically occur at the posterolateral aspect of the diaphragm, between the lumbar and intercostal muscle attachments.2 This area is also known as the lumbocostal triangle or the foramen of Bochdalek. Similarly, the posterolateral diaphragm is the most common location for the development of a congenital diaphragmatic hernia.3 In comparison to congenital posterolateral hernias (70-75%), congenital central defects only comprise about 2-7% of cases.3 Anterior defects, or a hernia through the foramen of Morgagni, comprise the other 23-28% of cases.3

Figure 3. Types of Diaphragmatic Hernias. Published with Permission

Pericardial hernia occurs when defect in diaphragm allows abdominal contents to enter pericardial sac. (This work is a derivative of "Creative Commons 1113 The Diaphragm" by OpenStax, used under CC BY 4.0)
Pericardial hernia occurs when defect in diaphragm allows abdominal contents to enter pericardial sac. (This work is a derivative of "Creative Commons 1113 The Diaphragm" by OpenStax, used under CC BY 4.0)

Blunt trauma can increase intraabdominal pressure to levels that lead to diaphragmatic injury. Initially, small defects in the diaphragm may not be clinically significant. Nevertheless, increased pressure from subsequent episodes of coughing or straining can cause larger tears in the diaphragm that allow the abdominal contents to protrude through.4 In a systematic review of 85 patients with traumatic or iatrogenic pericardial hernias, 43.2% of patients were diagnosed within 48 hours of the event, whereas 56.8% had a delayed presentation (median=72 months).1 In the same review, the transverse colon and the greater omentum were the most common organs to herniate (49.4% and 48.2%, respectively). Most patients underwent open surgical repair (83.5%) using mesh or a patch in 41.9% of cases.1 There was a statistically significant shorter hospital stay in those who underwent laparoscopic surgery compared to an open approach.1 Nevertheless, there is a theoretical risk of cardiac tamponade during a laparoscopic procedure from the pressure of insufflation.4

Symptoms may vary greatly, but the most common symptoms of a pericardial hernia include abdominal pain, dyspnea, chest pain, and nausea or vomiting.1 Depending on the organ and the depth of herniation, cardiac or visceral inflammation may also produce symptoms. However, as seen in the case presented, the development of a pericardial hernia may not correlate with significant clinical findings. The gold standard for diagnosis is computed tomography of the chest.1 When diagnosed, a pericardial hernia should be repaired as soon as possible to prevent cardiac tamponade or bowel strangulation. Patients should be monitored closely for cardiac complications during the procedure and postoperatively. As seen in our patient and other case reports, the pericardium may become inflamed and precipitate arrhythmias or cardiac tamponade.1,5,6 Unfortunately, the literature regarding complications following a pericardial hernia is limited. The morbidity and mortality rates from 32 cases reviewed by Schizas et al. were 16.9% and 2.4%, respectively.1

Conclusion

A pericardial hernia is most commonly due to a traumatic tear of the central tendon of the diaphragm. We present a case of a pericardial hernia presenting eight days following a motor vehicle accident. After initial treatment and stabilization, polytrauma patients must be closely monitored for occult complications.

Lessons Learned

A pericardial hernia may present months following blunt trauma to the abdomen. The diagnosis can be challenging due to the variable presentation and delayed onset. Both symptomatic and incidental diagnoses must be repaired to prevent future complications.

Authors

Clark C; Nakamoto K; Bown P

Author Affiliation

Department of Surgery, Marshall University Joan C. Edwards School of Medicine, Huntington, WV 25701

Corresponding Author

Paul Bown, MD, FACS
Department of Surgery
Marshall University Joan C. Edwards School of Medicine
1600 Medical Center Drive
Huntington, WV 25701
Email: bown@marshall.edu

Meeting Presentation

West Virginia Chapter ACS Meeting, May 2020

Disclosure Statement

The authors have no conflicts of interest to disclose.

Funding/Support

The authors have no relevant financial relationships or in-kind support to disclose.

Received: October 14, 2020
Revision received: December 18, 2020
Accepted: February 1, 2021

References

  1. Schizas D, Katsaros I, Karatza E, et al. Pericardial hernias in adults: a systematic review of the literature. Interact Cardiovasc Thorac Surg. 2020;30(3):353-358. doi:10.1093/icvts/ivz292
  2. Crandall M, Popowich D, Shapiro M, West M. Posttraumatic hernias: historical overview and review of the literature. Am Surg. 2007;73(9):845-850.
  3. Chandrasekharan PK, Rawat M, Madappa R, Rothstein DH, Lakshminrusimha S. Congenital Diaphragmatic hernia - a review. Matern Health Neonatol Perinatol. 2017;3:6. Published 2017 Mar 11. doi:10.1186/s40748-017-0045-1
  4. Sharma OP. Pericardio-diaphragmatic rupture: five new cases and literature review. J Emerg Med. 1999;17(6):963-968. doi:10.1016/s0736-4679(99)00124-9
  5. Reid JE, Gupta S, Scalea TM, Stein DM. Delayed presentation of pericardio-diaphragmatic hernia following blunt trauma: A case report. Trauma Case Rep. 2019;24:100250. Published 2019 Nov 29. doi:10.1016/j.tcr.2019.100250
  6. Fleyfel M, Ferreira JF, Gonzalez de Linares H, Merlier O, Harchaoui A. Cardiac tamponade after intrapericardial diaphragmatic hernia. Br J Anaesth. 1994;73(2):249-251. doi:10.1093/bja/73.2.249