Unsupported Browser
The American College of Surgeons website is not compatible with Internet Explorer 11, IE 11. For the best experience please update your browser.
Menu
Become a member and receive career-enhancing benefits

Our top priority is providing value to members. Your Member Services team is here to ensure you maximize your ACS member benefits, participate in College activities, and engage with your ACS colleagues. It's all here.

Become a Member
Become a member and receive career-enhancing benefits

Our top priority is providing value to members. Your Member Services team is here to ensure you maximize your ACS member benefits, participate in College activities, and engage with your ACS colleagues. It's all here.

Become a Member
ACS
Case Reviews in Surgery

Intestinal Vascular Malformation Mimicking Pseudomyxoma Peritonei from a Low-Grade Appendiceal Mucinous Neoplasm

Intestinal vascular neoplasms are a rare cause for obstructive symptoms that need to be considered in the differential diagnosis of an obstructive abdominal mass

July 8, 2021

Abstract

Background

Intestinal vascular malformations frequently present with lower gastrointestinal hemorrhage and localize in the ascending colon in elderly patients. Traditionally, they are diagnosed by endoscopy or radiologic imaging; however, vascular malformations can mimic other neoplasms.

Summary

In this unusual case, we report a 54-year-old male patient with an initial presentation of prolonged, intermittent obstructive symptoms, unintentional weight loss, and radiological findings concerning for pseudomyxoma peritonei due to a low-grade appendiceal mucinous neoplasm. After a thorough preoperative evaluation, he was deemed a surgical candidate for the resection of the presumed mucinous neoplasm at the terminal ileum. The final pathological and histological findings revealed a mass-forming vascular malformation at the terminal ileum, and his symptoms completely resolved after surgery.

Conclusion

Intestinal vascular neoplasms are a rare cause for obstructive symptoms that need to be considered in the differential diagnosis of an obstructive abdominal mass. This case demonstrates that an appropriate management strategy for treatment is resection of the vascular mass. To our knowledge, this is the first case of intestinal vascular malformation mimicking pseudomyxoma peritonei (PMP).

Key Words

bowel obstruction; low-grade appendiceal mucinous neoplasm; pseudomyxoma peritonei; vascular malformation


Case Description

Gastrointestinal tract vascular lesions are characterized by enlarged, friable blood vessels secondary to chronic, intermittent partial obstruction of the submucosal veins and subsequent degeneration.1,2 It is a common cause of lower gastrointestinal bleeding and is most often located in the ascending colon or cecum. However, these lesions can create a diagnostic dilemma due to non-specific symptomatology and may raise concern for malignancy. In this case, we report a terminal ileum vascular malformation without lower gastrointestinal bleeding. This patient presented with intermittent abdominal pain, obstructive symptoms, weight loss, and radiologic signs concerning for pseudomyxoma peritonei (PMP).

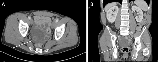
A 54-year-old man with a history of hepatitis C, type I diabetes mellitus, hypertension, alcohol abuse, tobacco abuse, and chronic obstructive pulmonary disease was referred for incidental findings on imaging concerning for PMP secondary to low-grade appendiceal mucinous neoplasm (LAMN). He presented with several years of intermittent symptoms of decreased appetite, unintentional weight loss, lower abdominal pain, constipation, nausea, and vomiting. He denied ever to have blood in his stool. He had a recent colonoscopy that showed a total of five successfully snared sessile, serrated polyps negative for dysplasia measuring between 3 mm and 10 mm located between the sigmoid and ascending colon. He had a normal physical examination. Laboratory results showed a hemoglobin of 12.3 g/dL, CA-125 of 11 U/mL (normal <34 U/mL), CEA of 5.2 ng/mL (normal 0.0-5.4 ng/mL), CA 19-9 of 13 U/mL (normal <34 U/mL). CT scan displayed an 8 cm x 7 cm x 5.7 cm multilobulated, low-density non-enhancing mass encasing loops of small bowel without obstruction (Figure 1A). No metastatic disease or other peritoneal implants were appreciated, but there was a concern for intraabdominal mucus in the left upper quadrant. The base of the appendix was partially visualized and showing a normal appearance, but the tip was not able to be identified (Figure 1B). Differential diagnoses based on imaging included lymphangioma and low-grade pseudomyxoma peritonei. After a multi-disciplinary tumor board discussion, the decision was made to proceed to the operating room for resection due to the potential of PMP as malignancy could not be excluded, and the patient was symptomatic from the lesion.

Figure 1. Preoperative computed tomography (CT) imaging. A) Axial imaging showing presence of multi-loculated, cystic abdominal lesion(white arrow pointing to pelvic mass). B) Coronal view of same abdominal CT scan (red arrow pointing to partially visualized appendix)

An exploratory laparoscopy was performed. An inflammatory, fatty appearing mass was found to be partially obstructing the distal ileum (Figure 2A-C). The appendix was identified and appeared grossly normal. The peritoneum was inspected, and there were several peritoneal nodules in the right lower quadrant, right upper quadrant, and the pelvis. Biopsies of the nodules, peritoneal lavage, and en bloc resection of 15 cm of distal ileum, including the mass, were performed laparoscopically. Postoperatively, he had an uneventful hospitalization, and he was discharged from the hospital after the return of bowel function and adequate pain control.

Figure 2. Gross pathology. A) Laparoscopic findings of distal ileal mass. B, C) Intraoperative photographs showing dilated distal ileum and fatty lobulated pink mass originating from small bowel mesentery. D) Histology: Low-power scanning magnification hematoxylin and eosin staining showing the subserosal based lesion extending into the mesentery

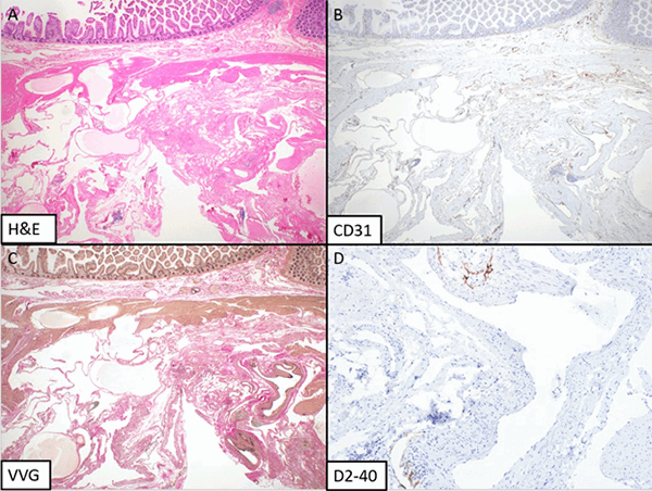
Final histology noted the terminal ileal mass as a vascular malformation involving the sub-serosa and extending into the mesentery (Figure 2D and Figure 3). The peritoneal nodules were bland mesothelial lesions, and the peritoneal fluid cytology showed no identifiable tumor cells. No findings indicative of a malignant process were noted. Two weeks postoperatively, the patient reported complete resolution of his abdominal symptoms.

Figure 3. Histology highlighting vascular malformation marker positivity of CD31 and Verhoeff’s-van Geison (VVG), but negative D2-40 staining. A) Higher power hematoxylin and eosin staining of subserosal-based lesion. B) CD31, which stains all vascular endothelium. C) VVG, which stains elastic fibers in arterial walls. D) D2-40, which specifically highlights lymphatic endothelium

Discussion

Gastrointestinal vascular malformations do not have a gender predilection and are most often seen in patients over the age of 60. Other risk factors include renal failure, von Willebrand’s disease, and aortic stenosis.3,4 Approximately 0.8 percent of asymptomatic adults have developed vascular malformations based on screening endoscopy.5 It is becoming diagnosed with greater frequency due to improvements in endoscopy. These lesions are located anywhere in the small or large bowel but are most commonly seen in the ascending colon or cecum. This is believed to be due to the Law of Laplace, which states that tension is greatest where radius increases and wall thickness reduces. Because of the larger diameter and thin wall, the venules preferentially become compressed, leading to the formation of small arteriovenous collaterals and subsequent creation of these pathologic vascular malformations. Lymphangioma is another similar lesion but characterized by thin-walled lymphatic spaces.6 However, it typically manifests in the first few years of life, results from a congenital malformation, and less than 1 percent are located in the small bowel mesentery.

The most frequent presenting symptoms include hematochezia, melena, or a positive stool occult blood test.2,7 As a result, these lesions can cause a spectrum from chronic low-grade bleeding to massive rectal bleeding. Malignancy is important to rule out, especially in younger patients with obscure gastrointestinal bleeding, as small bowel tumors are the cause in 5 to 7 percent of patients younger than the age of 50. Other uncommon presentations of asymptomatic vascular malformation include perforation, obstruction, or stenosis of the bowel.8

The utilized diagnostic modalities depend on the patient presentation and acuity of their disease. These lesions are often diagnosed via colonoscopy, but this can be operator-dependent and potentially misinterpreted as inflammation or endoscopic trauma.9 More extensive preoperative workup helps differentiate these lesions from other benign and malignant disease processes. Radiological studies such as helical computed tomography angiography (CTA) can help with diagnosis.10 Often, CTA is utilized when endoscopy fails to locate a source of gastrointestinal bleeding. Junquera et al.10 state that the sensitivity, specificity, and positive predictive values for CTA are 70 percent, 100 percent, and 100 percent, respectively, for vascular malformations. Additionally, it is noninvasive, widely available, and well-tolerated; however, disadvantages of utilizing CTA are radiation and the inability to provide therapy. Postoperative histology is essential to confirm the diagnosis of a vascular malformation. Verhoeff's-van Gieson (VVG) staining identifies arteries as it highlights the internal elastic lamina (Figure 3C).11 Veins preferentially stain CD31+ and VVG-/D2-40- while lymphatics stain D2-40+ (Figure 3B and Figure 3D).12,13

This case is atypical as the patient had symptoms of obstruction and did not have a history of bleeding nor anemia. Additionally, it was found in the terminal ileum instead of the colon. It is unknown if this was a congenital or acquired disease in this patient. The presentation included other risk factors that led to great concern for a malignant process, including a history of alcohol and tobacco abuse, unintentional weight loss, and an inability to confirm a normal appendix from imaging. Other imaging was not arranged for this patient as there was a concern for a malignant process and no evidence of bleeding, raising suspicion for a vascular malformation. PMP originated from LAMN was the leading diagnosis based on clinical suspicion and preoperative workup, although tumor markers CEA, CA 19-9, and CA-125 were within normal limits. As the patient was symptomatic from this mass, surgery was necessary despite the final pathology showing a benign process. Additionally, his intermittent obstructive symptoms, including poor appetite, nausea, and abdominal pain completely resolved after surgical intervention.

This is not the first case of an intestinal vascular malformation with an atypical presentation. A previously published case reported an adult with ileal obstruction due to an intestinal vascular malformation, but this patient had a history of chronic anemia.14 Shiowaza et al. 15 reported a gastrointestinal stromal tumor that was believed to be a jejunal arteriovenous malformation based on color Doppler and angiographic findings. In this case report, a 62-year-old male presented with intermittent pain in the left abdominal region, and after resection, pathology reported no findings suggestive of a vascular malformation. An example of a case where a colon cancer mimicked sigmoid angiodysplasia was published by Chiu et al.16 The patient had a similar workup to our case with colonoscopy and CT imaging completed, but with the preoperative diagnosis being colon cancer. These examples show intestinal vascular malformations continue to be difficult to diagnose as they mimic numerous other pathologies. The only way to achieve a definitive diagnosis depends on final pathologic and histologic findings.

Conclusion

This case demonstrates the importance of including vascular malformation in the differential diagnosis when determining etiology for obstructive gastrointestinal pathology. Our patient did have findings most consistent with PMP, including concerning radiological features of a growing septated mass, intraabdominal mucus, and a partially visualized appendix in the setting of unintentional weight loss and obstructive symptoms. This report emphasizes that achieving an accurate diagnosis is often ultimately reliant on surgical pathology, histology, and the consideration that intestinal vascular malformations can present similarly to malignant processes such as PMP.

Lessons Learned

Intestinal vascular neoplasms can be a cause of intermittent obstructive symptoms and mistaken for other neoplastic processes such as a low-grade mucinous neoplasm. Vascular neoplasms should be considered in the differential diagnosis in patients with an intestinal mass causing obstructive symptoms.

Authors

Thompson DTa; De Andrade JPa; Bellizzi AMb; Chan CHFa

Author Affiliations

  1. University of Iowa Hospital and Clinics, Department of Surgery, Iowa City, IA 52242
  2. University of Iowa Carver College of Medicine, Department of Pathology, Iowa City, IA 52242

Corresponding Author

Carlos H. F. Chan, MD, PhD
University of Iowa Hospital and Clinics
Division of Surgical Oncology and Endocrine Surgery
200 Hawkins Drive
Iowa City, IA 52242
Phone: (319) 356-1727
E-mail: carloshfchan@gmail.com

Disclosure Statement

The authors have no conflicts of interest to disclose.

References

  1. Vernava AM 3rd, Moore BA, Longo WE, Johnson FE. Lower gastrointestinal bleeding. Dis Colon Rectum. 1997;40(7):846-858. doi:10.1007/BF02055445
  2. Olokoba AB, Obateru OA, Olatoke SA. Angiodysplasia of the colon: a report of two cases and review of literature. Niger J Clin Pract. 2012;15(1):101-103. doi:10.4103/1119-3077.94110
  3. Sami SS, Al-Araji SA, Ragunath K. Review article: gastrointestinal angiodysplasia - pathogenesis, diagnosis and management. Aliment Pharmacol Ther. 2014;39(1):15-34. doi:10.1111/apt.12527
  4. Warkentin TE, Moore JC, Anand SS, Lonn EM, Morgan DG. Gastrointestinal bleeding, angiodysplasia, cardiovascular disease, and acquired von Willebrand syndrome. Transfus Med Rev. 2003;17(4):272-286. doi:10.1016/s0887-7963(03)00037-3
  5. Foutch PG, Rex DK, Lieberman DA. Prevalence and natural history of colonic angiodysplasia among healthy asymptomatic people. Am J Gastroenterol. 1995;90(4):564-567.
  6. Suthiwartnarueput W, Kiatipunsodsai S, Kwankua A, Chaumrattanakul U. Lymphangioma of the small bowel mesentery: a case report and review of the literature. World J Gastroenterol. 2012;18(43):6328-6332. doi:10.3748/wjg.v18.i43.6328
  7. Boley SJ, DiBiase A, Brandt LJ, Sammartano RJ. Lower intestinal bleeding in the elderly. Am J Surg. 1979;137(1):57-64. doi:10.1016/0002-9610(79)90011-4
  8. Graivier L. Ileal stenosis due to arteriovenous malformation in a newborn infant. J Pediatr Surg. 1982;17(1):78-79. doi:10.1016/s0022-3468(82)80334-5
  9. Richter JM, Hedberg SE, Athanasoulis CA, Schapiro RH. Angiodysplasia. Clinical presentation and colonoscopic diagnosis. Dig Dis Sci. 1984;29(6):481-485. doi:10.1007/BF01296266
  10. Junquera F, Quiroga S, Saperas E, et al. Accuracy of helical computed tomographic angiography for the diagnosis of colonic angiodysplasia. Gastroenterology. 2000;119(2):293-299. doi:10.1053/gast.2000.9346
  11. Karri SB, Uppin MS, Rajesh A, et al. Vascular malformations of central nervous system: A series from tertiary care hospital in South India. J Neurosci Rural Pract. 2016;7(2):262-268. doi:10.4103/0976-3147.176196
  12. Hashmi SF, Krishnamoorthy B, Critchley WR, et al. Histological and immunohistochemical evaluation of human saphenous vein harvested by endoscopic and open conventional methods. Interact Cardiovasc Thorac Surg. 2015;20(2):178-185. doi:10.1093/icvts/ivu359
  13. Arnaout-Alkarain A, Kahn HJ, Narod SA, Sun PA, Marks AN. Significance of lymph vessel invasion identified by the endothelial lymphatic marker D2-40 in node negative breast cancer. Mod Pathol. 2007;20(2):183-191. doi:10.1038/modpathol.3800728
  14. Ghdes O, Gaja A, Blel A, Jarraya H, Mnif N. Ileal angiodysplasia presentation as a bowel obstruction: A case report. Int J Surg Case Rep. 2017;39:301-304. doi:10.1016/j.ijscr.2017.06.068
  15. Shiozawa K, Watanabe M, Igarashi Y, et al. Gastrointestinal stromal tumor mimicking arteriovenous malformation of the jejunum. Case Rep Gastroenterol. 2011;5(3):558-564. doi:10.1159/000332443
  16. Chiu ML, Liu GC, Liu CS, Chen CY. Angiodysplasia mimicking colon cancer: colonoscopy, double contrast barium enema, and CT findings. AJR Am J Roentgenol. 2007;188(5):W456-W458. doi:10.2214/AJR.05.0753