Unsupported Browser
The American College of Surgeons website is not compatible with Internet Explorer 11, IE 11. For the best experience please update your browser.
Menu
Become a member and receive career-enhancing benefits

Our top priority is providing value to members. Your Member Services team is here to ensure you maximize your ACS member benefits, participate in College activities, and engage with your ACS colleagues. It's all here.

Become a Member
Become a member and receive career-enhancing benefits

Our top priority is providing value to members. Your Member Services team is here to ensure you maximize your ACS member benefits, participate in College activities, and engage with your ACS colleagues. It's all here.

Become a Member
ACS
ACS Case Reviews

Delayed Presentation of a Duodenal Perforation After Blunt Abdominal Trauma

December 16, 2022

Abstract

Background

Trauma is one of the leading causes of morbidity and mortality in the United States. Injuries to the duodenum and pancreas are relatively infrequent and account for approximately 3 to 5% of all abdominal trauma. The diagnosis and management of these injuries can be challenging. Computed tomography (CT) provides the safest and most comprehensive diagnosis of duodenal and pancreatic injury in hemodynamically stable patients. Patients with a history of acceleration/deceleration injury with forceful anterior compression of the abdomen and lower thoracic spine are at increased risk for these injuries. Our case report presents a patient with a unique, delayed presentation of duodenal perforation after blunt abdominal trauma.

Summary

A 61-year-old Caucasian male with no known past medical history presented to our level I trauma center as a trauma alert after a rollover motor vehicle accident. He was hemodynamically stable. Multiple traumatic injuries were identified, including a small pancreatic contusion. On hospital day 14, the patient clinically decompensated concerning for sepsis of an unclear source. A CT scan of the abdomen and pelvis was repeated and suggestive of stranding and free fluid centered in the right upper quadrant abutting the hepatic flexure and the second portion of the duodenum. There was poor visualization of a segment of the duodenal wall and a small volume of free air suspicious for duodenal perforation. An operative evaluation confirmed a 3 cm duodenal perforation. The patient underwent an exploratory laparotomy, antrectomy, Billroth II reconstruction, gastrojejunostomy tube placement, Malecot tube placement, and wide local drainage. The patient clinically improved with ultimate plans to discharge to a rehabilitation facility.

Conclusion

Patients with blunt abdominal trauma, especially acceleration/deceleration mechanisms, are at high risk for pancreatic and/or duodenal injuries. If one of these injuries is present, the other can occur. Delayed diagnosis of bowel or mesenteric injury resulting in hollow viscus perforation leads to significant morbidity and mortality from hemorrhage, peritonitis, or abdominal sepsis.

Key Words

blunt abdominal trauma; pancreatic contusion; duodenal perforation; delayed duodenal perforation


Case Description

A 61-year-old Caucasian male with no known past medical history presented to our Level 1 trauma center as a trauma alert after a rollover motor vehicle accident. Per emergency medical services, the patient was not wearing his seatbelt, and he was ejected approximately 30 to 40 feet from the vehicle. On arrival, he was alert, his airway was patent, his breath sounds were equal bilaterally, and his pulses were intact. He was hemodynamically stable. His cervical spine was secured with a hard collar. His Glasgow Coma Score (GCS) was 15, and his pupils were equal and reactive bilaterally. The patient was fully exposed, and a second survey was performed. Abrasions were appreciated on the patient's face, chest, and abdomen. Additional injuries were appreciated on all extremities with associated edema, tenderness, and decreased range of motion. His laboratory values were significant for an elevated aspartate aminotransferase of 273 U/L, alanine aminotransferase of 270 U/L, and lipase of 253 U/L.

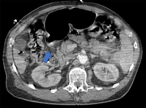
Computed tomography (CT) pan imaging and x-rays of his extremities were performed to evaluate the extent of the patient's injuries. The patient sustained a small subarachnoid hemorrhage, a C1 displaced lateral mass fracture, comminuted bilateral nasal bone fractures, a right maxillary sinus fracture, a right zygomatic arch fracture, a sternal fracture, bilateral rib fractures, pneumomediastinum, a closed left femoral neck fracture, an open displaced comminuted fracture of the left femoral shaft, a left supracondylar humeral fracture and a pancreatic contusion. The pancreatic contusion was described as stranding of the peripancreatic fat. Some of these findings were thought to be in part, related to motion artifacts (Figure 1).

Figure 1. Initial CT Imaging of Abdomen and Pelvis After Traumatic Injury. Published with Permission

Imaging was suggestive of pancreatic contusion, described as stranding of peripancreatic fat (arrow); some of these findings were thought to be in part related to motion artifact.

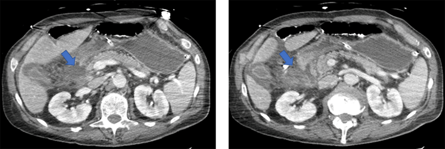
The patient underwent three orthopedic procedures for his extremity injuries on hospital days 1, 5, and 8, respectively. On hospital day 14, the patient became acutely tachypneic and hypoxic, requiring intubation and transfer to the intensive care unit. His hemodynamic lability required central line placement as well as intravenous fluid and vasopressor resuscitation. A CT chest and pulmonary embolism scan obtained earlier were negative for pulmonary embolism or other acute pulmonary processes. Due to concerns for sepsis of an unclear etiology, an abdomen and pelvis CT was obtained, and the patient was started on broad-spectrum antibiotics. The CT scan demonstrated stranding and free fluid centered in the right upper quadrant abutting the hepatic flexure and the second portion of the duodenum. There was poor visualization of a segment of the duodenal wall and a small volume of free air suspicious for duodenal perforation (Figure 2). His laboratory values were significant for an elevated white blood cell count of 22.7 Th/cmm with a left shift, lactate of 3.6 mmol/L, aspartate aminotransferase of 128 U/L, and alanine aminotransferase of 275 U/L.

Figure 2. Repeat CT Imaging of Abdomen and Pelvis Hospital Day 14 After Clinical Decompensation. Published with Permission

Imaging was suggestive of stranding and free fluid centered in right upper quadrant abutting the hepatic flexure and second portion of the duodenum. Note: poor visualization of duodenal wall segment and small volume of free air suspicious for duodenal perforation (arrows).

We proceeded to the operating room for intraoperative evaluation. A midline laparotomy was performed. Bilious fluid was immediately appreciated upon entrance into the abdomen. A large, lateral, approximately 3 cm defect was seen in the duodenum, D1 to D2 region (Figure 3).

Figure 3. A Large, Lateral, Approximately 3 cm Defect Seen in Duodenum, D1‒D2 Region (blue arrow). Published with Permission

The ampulla was identified on the medial wall across from the duodenal injury. Due to the size and location of the defect, we decided to drain the defect and divert the gastric drainage (Figure 4). An antrectomy with Billroth II reconstruction was performed in the standard fashion. Next, a gastrojejunostomy (G-J) tube was placed with the jejunal portion going down the efferent limb of the Billroth II reconstruction. After the G-J tube was in place, our attention turned to the duodenal defect, which we closed around a Malecot tube. Drains were placed intraabdominally—one by the G-J anastomosis and the other by the duodenal stump and duodenostomy.

Figure 4. Graphical Representation of Duodenal Perforation, Duodenal Drainage With Malecot Tube, and Gastric Bypass Procedure With Antrectomy and Billroth II Gastrojejunostomy Anastomosis. Published with Permission

Postoperatively, the patient clinically improved. He was kept on a proton pump inhibitor and antibiotics for a short postoperative course. Eventually, his diet was advanced, and additional nocturnal nutritional supplementation with tube feeds was provided with plans for ultimate discharge to a rehabilitation facility.

Discussion

Trauma is one of the leading causes of morbidity and mortality in the United States. The diagnosis and management of duodenal injuries can be challenging.3 Blunt duodenal trauma is challenging to diagnose clinically as the duodenum is a retroperitoneal structure and often, clinical signs do not manifest early.1 Patients with a history of acceleration/deceleration injury with forceful anterior compression of the abdomen and lower thoracic spine are at increased risk for these injuries.4 The duodenum and pancreas can be injured simultaneously, whereas isolated injuries are rare, <30%.5 Unstable patients with suspected intra-abdominal injuries should undergo emergent laparotomy, while hemodynamically stable patients with significant blunt trauma generally undergo CT imaging. A third scenario occurs when a duodenal injury is detected more than 24 hours after the initial trauma. There may be significant local contamination in the area resulting in signs of sepsis in this situation.6

The American Association for the Surgery of Trauma (AAST) has worked on grading duodenal injuries to understand the extent of the injury better and determine how best to proceed with management and ultimate treatment. Grade 1 duodenal injury is classified as a hematoma involving a single portion of the duodenum or laceration involving partial-thickness and non-perforation. Grade 2 duodenal injury is classified as a hematoma involving more than one portion of the duodenum or laceration with disruption of <50% of the circumference. Grades 3 through 5 duodenal injuries include increasing amounts of disruption, respectively.7 Based on the presentation of our patient, he likely had a grade 1 hematoma or laceration or a grade 2 hematoma that then progressed to a full-thickness perforation.

It is unclear why our patient did not present with symptoms of a duodenal injury until two weeks after admission. On initial imaging, there were no signs of duodenal trauma, but a pancreatic contusion could indicate additional trauma to surrounding structures. If the patient had an intramural hematoma of the duodenum, it is possible this progressed to a full-thickness perforation that ultimately led to free rupture throughout the abdomen. An additional source of perforation could be stress ulcer formation; however, ulcers are more likely found in the stomach in hospitalized patients secondary to stress gastritis. Our patient was no longer on stress ulcer prophylaxis at the time of diagnosis, as he tolerated an enteral diet.

A variety of techniques are used in the setting of duodenal trauma, including duodenal diverticulization, gastrojejunostomy with or without pyloric exclusion, and primary repair with a retrograde duodenostomy tube and distal feeding tube. Ferrada et al. performed a retrospective review of penetrating duodenal injuries and found the need for transfusion before the operating room, associated pancreatic injuries, and postoperative renal failure were predictors of mortality for patients with duodenal injuries. They concluded that while more complex options exist, it is unclear whether they are any better than primary repair alone.8 Ordoñez et al. also performed a retrospective review of penetrating duodenal trauma and concluded application of basic damage-control techniques for penetrating duodenal trauma leads to improved survival. They agreed there is no single method of duodenal repair that completely eliminates the possibility of dehiscence, and a "less is more" approach may be beneficial.9 Both of these studies evaluated immediate intervention for duodenal trauma; however, more research is needed in the delayed presentation population.

Conclusion

Patients with blunt abdominal trauma, especially acceleration/deceleration injury, are at high risk for pancreatic and/or duodenal injuries. If one of these injuries is present, the other can also occur. Delayed diagnosis of bowel or mesenteric injury resulting in hollow viscus perforation leads to significant morbidity and mortality from hemorrhage, peritonitis, or abdominal sepsis.

Lessons Learned

Injuries to the pancreas and duodenum often occur together. Delayed diagnosis of bowel or mesenteric injury can lead to significant mobility and mortality. In this case, the patient did not present with findings requiring operative abdominal exploration, and it was reasonable to observe the peripancreatic stranding. Once the perforation was identified, operative exploration was indicated. Primary repair of the duodenum was considered; however, it was not feasible due to the size of the defect and significant inflammation of the tissue. Ultimately, the options for drainage, bypass, and feeding access were considered.

References

  1. Bekker W, Kong VY, Laing GL, Bruce JL, Manchev V, Clarke DL. The spectrum and outcome of blunt trauma related enteric hollow visceral injury. Ann R Coll Surg Engl. 2018;100(4):290-294. doi:10.1308/rcsann.2018.0013
  2. LeBedis CA, Anderson SW, Soto JA. CT imaging of blunt traumatic bowel and mesenteric injuries. Radiol Clin North Am. 2012;50(1):123-136. doi:10.1016/j.rcl.2011.08.003
  3. Asensio JA, Feliciano DV, Britt LD, Kerstein MD. Management of duodenal injuries. Curr Probl Surg. 1993;30(11):1023-1093. doi:10.1016/0011-3840(93)90063-m
  4. Hasanovic J, Agic M, Rifatbegovic Z, Mehmedovic Z, Jakubovic-Cickusic A. Pancreatic injury in blunt abdominal trauma. Med Arch. 2015;69(2):130-132. doi:10.5455/medarh.2015.69.130-132
  5. Linsenmaier U, Wirth S, Reiser M, Körner M. Diagnosis and classification of pancreatic and duodenal injuries in emergency radiology. Radiographics. 2008;28(6):1591-1602. doi:10.1148/rg.286085524
  6. Malhotra A, Biffl WL, Moore EE, et al. Western Trauma Association critical decisions in trauma: diagnosis and management of duodenal injuries. J Trauma Acute Care Surg. 2015;79(6):1096-1101. doi:10.1097/TA.0000000000000870
  7. Injury scoring scale. The American Association for the Surgery of Trauma. https://www.aast.org/resources-detail/injury-scoring-scale#duodenum.
  8. Ferrada P, Wolfe L, Duchesne J, et al. Management of duodenal trauma: A retrospective review from the Panamerican Trauma Society. J Trauma Acute Care Surg. 2019;86(3):392-396. doi:10.1097/TA.0000000000002157
  9. Ordoñez C, García A, Parra MW, et al. Complex penetrating duodenal injuries: less is better. J Trauma Acute Care Surg. 2014;76(5):1177-1183. doi:10.1097/TA.0000000000000214

Authors

Appelbaum RDa; Cooney Lb; Jacobs Ab; Harrison Tb

Author Affiliations

  1. Department of Surgery, Division of Acute Care Surgery, Vanderbilt University Medical Center, Nashville, TN 37232
  2. Lehigh Valley Health Network, Allentown, PA 18103

Corresponding Author

Rachel D. Appelbaum, MD
Department of Surgery
Division of Acute Care Surgery
Vanderbilt University Medical Center
1211 Medical Center Drive
Nashville, TN 37232
Email: rachel.appelbaum@vumc.org

Disclosure Statement

The authors have no conflicts of interest to disclose.

Funding/Support

The authors have no relevant financial relationships or in-kind support to disclose.

Received: August 20, 2020
Revision received: October 19, 2020
Accepted: November 1, 2020