Unsupported Browser
The American College of Surgeons website is not compatible with Internet Explorer 11, IE 11. For the best experience please update your browser.
Menu
Become a member and receive career-enhancing benefits

Our top priority is providing value to members. Your Member Services team is here to ensure you maximize your ACS member benefits, participate in College activities, and engage with your ACS colleagues. It's all here.

Become a Member
Become a member and receive career-enhancing benefits

Our top priority is providing value to members. Your Member Services team is here to ensure you maximize your ACS member benefits, participate in College activities, and engage with your ACS colleagues. It's all here.

Become a Member
ACS
Case Reviews in Surgery

Spontaneous Hemoperitoneum in Sigmoid Diverticular Disease

Spontaneous Hemoperitoneum in Sigmoid Diverticular Disease

May 5, 2020

Abstract

Background

A 52-year-old man presented with acute abdominal pain and hemoperitoneum.

Summary

Intraperitoneal hemorrhage from colonic diverticulum is rare. We report a case of a 52-year-old man with hemoperitoneum diagnosed by computed tomography scan of the abdomen and pelvis with intravenous contrast. Postoperative histopathological findings revealed the cause of hemoperitoneum as erosion of sigmoid diverticulum into a serosal vessel. This subsequently caused the vessel to bleed intraperitoneally. The operation included sigmoid resection and temporary colostomy placement. Postoperative colonoscopy did not find any dysplastic pathology in the rectal stump or colon. Patient was anastomosed three months later.

Conclusion

Diverticular disease has a spectrum of presentation. Hemorrhage from diverticular disease is more commonly intraluminal presenting with lower gastrointestinal bleed. We present a case of extraluminal hemorrhage in diverticular disease. This highlights a rare but potentially life threatening complication of colonic diverticular disease.

Key Words

hemoperitoneum, diverticulum, sigmoid colon, bleeding

Abbreviations/acronyms

CT computed tomography
PT prothrombin time
INR international normalized ratio


Case Description

A 52-year-old man presented to the emergency department with severe abdominal pain that progressed over three days associated with nausea and chills. His past medical history was significant for chronic constipation, diabetes mellitus, and chronic lower back pain. His past surgical history was significant for multiple lower back surgeries. Patient’s vital signs were within normal limits at presentation. His abdomen was distended, and he had right lower quadrant tenderness.

Pertinent laboratory values included hemoglobin of 11.5 g/dL (normal 13.3-17.7 g/dL); mean corpuscular volume of 82.6 fL (normal 81 to 100 fL), and creatinine of 1.53 mg/dL (normal 0.5 to 1.4 mg/dL). White blood cell count 10 x 103 uL (normal 4.5 to 11.0 x 103/uL) with neutrophils 6.10 x 103/uL (normal 1.9-8.0 x 103/uL) and lactic acid 1.1 mmol/L (normal 0.5-2.0 mmol/L). PT 12.3 s (normal 11.7-13.9 s) and INR 0.9 (normal 0.9 to 1.1).

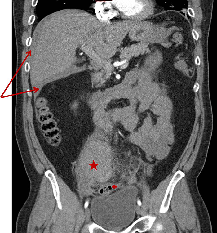
Computed tomography (CT) scan of the abdomen and pelvis revealed diffuse ascites and a 7.4 cm by 7.8 cm fluid collection with a density of 65 Hounsfield units (greater than 50 is consistent with hematoma) within the mid pelvis and right lower quadrant of the abdomen (Figure 1a-b). The mid sigmoid colon was noted to have focal wall thickening with stranding of the surrounding fat (Figure 1).

Figure 1. Figure 1a-b. CT demonstrating hemoperitoneum (arrow) and large clot (*) abutting the sigmoid colon (+).
Figure 1. Figure 1a-b. CT demonstrating hemoperitoneum (arrow) and large clot (*) abutting the sigmoid colon (+).
Figure 1. Figure 1a-b. CT demonstrating hemoperitoneum (arrow) and large clot (*) abutting the sigmoid colon (+).
Figure 1. Figure 1a-b. CT demonstrating hemoperitoneum (arrow) and large clot (*) abutting the sigmoid colon (+).

Differential diagnosis included perforated diverticulitis with abscess and malignancy. The patient was admitted, given IV fluids, started on IV antibiotics. Serial abdominal exams were also performed.

The patient’s vitals remained normal; however, his abdominal pain progressed. Labs were repeated 10 hours later during which time he received 2 L of crystalloid. His hemoglobin was 8.8 g/dL, creatinine 0.9 mg/dL, white blood cell count 5.5 x 103 uL (neutrophils 3.10 x 103 uL). Lactic acid was now elevated to 3.2 mmol/L. Given progression of symptoms, drop in hemoglobin and elevation in lactate, he was taken to the operating room for a diagnostic laparoscopy. Upon entry into the abdomen hemoperitoneum was noted throughout the abdomen measuring approximately 1000 mL. No bilious fluid or enteric content was seen. Cultures were obtained. The procedure was converted to a laparotomy. Source of bleeding was identified to be at the sigmoid near the mesenteric border. Spleen, liver, gallbladder and small bowel appeared to be normal. There was no sign of retroperitoneal hemorrhage. Sigmoid colon was resected. Given the unclear diagnosis and concern for possible malignancy an end colostomy was placed over the left lower quadrant.

Postoperative course was uneventful. Final pathology confirmed acute and chronic diverticulitis with extensive subserosal hemorrhage (Figure 2). Cultures were negative for any bacterial infection. This is suggestive of diverticular erosion into a serosal vessel leading to intraperitoneal hemorrhage. The patient was discharged on postoperative day seven. He subsequently underwent colonoscopy. Gastroenterologist performed random biopsies of normal appearing colon and rectal stump. Biopsy results did not show any dysplasia. He subsequently underwent elective colostomy takedown and primary anastomosis.

Figure 2. Histology demonstrating hemorrhage within the subserosa.
Figure 2. Histology demonstrating hemorrhage within the subserosa.

Discussion

Diverticular disease of the colon is a common problem encountered by general surgeons. It affects mostly the geriatric population; however, the incidence among younger patients is increasing in western populations.1,2 In the disease, pseudo-diverticula develop as protrusions of mucosa and submucosa through weak points in the muscular wall due to high colonic pressure. These weak points have been identified at sites of penetrating blood vessels.3 Common complications of diverticular disease are inflammation and intraluminal bleeding. Inflammation of diverticula can progress to perforation of varying severity as described by the Hinchey classification4 and can lead to intraabdominal sepsis. Patients present with pain, fever, and leukocytosis. Bleeding from a weakened vessel associated with a diverticula, however, presents as painless lower gastrointestinal bleeding.5 Extraluminal bleeding associated with diverticular disease, on the other hand, is a rare occurrence.

Spontaneous hemoperitoneum is associated with hepatic, splenic, vascular, coagulopathic, and gynecological causes, with the latter being the most common.6 To our best knowledge, there are only three reported cases of spontaneous hemoperitoneum in diverticular disease.7-9 Similar to our case, all three other patients were hemodynamically stable and further diagnostics were pursued. In one case of a 35-year-old woman, a culdocentesis confirmed hemoperitoneum, and she underwent laparoscopy for suspected ruptured hemorrhagic ovarian cyst. She was found to have a bleeding focus from a sigmoid diverticulum that was controlled with intracorporeal suture and the diverticulum was invaginated.8 In another case, reported in 2014, a 31-year-old man was taken for surgery based on an acute hematocrit drop, CT scan showing thickened colon, free fluid, and a mass; he was suspected of perforated diverticulitis with abscess. Frank hemoperitoneum was discovered at laparotomy and the source was a perforated sigmoid diverticulum. A Hartmann procedure was performed.9

Our patient‘s history of chronic constipation caused by opioid use for chronic back pain and his sedentary lifestyle increased his risk for diverticular disease. While diverticular disease is not typically associated with hemoperitoneum, it should be considered in patients with CT findings suggesting hemoperitoneum with localized clot near sigmoid colon and in absence of trauma. This case highlights an unusual presentation of diverticular disease and an unusual cause of spontaneous hemoperitoneum.

Conclusion

Diverticular disease is common and has common complications. We present a rare case of extraluminal bleeding resulting in hemoperitoneum in the setting of perforated diverticular disease. This highlights the need to consider complications of diverticular disease outside of common practice.

Lessons Learned

A rare complication of diverticulitis is hemoperitoneum from an eroded bleeding serosal vessel.

Authors

Sukhmine Nedopil, MD
San Joaquin General Hospital
Department of Surgery
French Camp, CA

Shahin Foroutan, MD, FACS
San Joaquin General Hospital
Department of Surgery
French Camp, CA

Correspondence

Sukhmine Nedopil, MD
Department of Surgery
500 West Hospital Rd
French Camp, CA 95231
Email: snedopil@sjgh.org
Phone: 916-835-5368

Disclosures

The authors have no conflicts of interest to disclose.

References

  1. Weizman A, Nguyen G. Diverticular disease: Epidemiology and management. Can J Gastroenterol. 2011;25(7):385–389.
  2. Painter N, Burkitt D. Diverticular disease of the colon: a deficiency disease of Western civilization. Br Med J. 1971;2:450–454.
  3. Truelove S. Movements of the large intestine. Physiol Rev. 1966;46:457–512.
  4. Hinchey E, Schaal P, Richards G. Treatment of perforated diverticular disease of the colon. Adv Surg. 1978;12:85–109.
  5. Peura D, Lanza F, Gostout C, Foutch P. The American College of Gastroenterology Bleeding Registry: preliminary findings. Am J Gastroenterol. 1997;92:924-928.
  6. Lucey B, Varghese J, Soto J. Spontaneous hemoperitoneum: causes and significance. Curr Prob Diag Radiol. 2005;34:182–195.
  7. Lawson H. Haemoperitoneum associated with a solitary diverticulum of the sigmoid colon. S Afr Med J. 1961;35:715-716.
  8. Kye B, Kim H, Yoon J et al. Spontaneous hemoperitoneum caused by a diverticulum of the sigmoid colon. Int J Med Sci. 2011;8:467-469.
  9. George J, Ben-Sassi A, Dixon R. Spontaneous hemoperitoneum due to a sigmoid diverticulum. BMJ Case Rep. 2014;doi:10.1136/bcr-2014-207849.