Unsupported Browser
The American College of Surgeons website is not compatible with Internet Explorer 11, IE 11. For the best experience please update your browser.
Menu
Become a member and receive career-enhancing benefits

Our top priority is providing value to members. Your Member Services team is here to ensure you maximize your ACS member benefits, participate in College activities, and engage with your ACS colleagues. It's all here.

Become a Member
Become a member and receive career-enhancing benefits

Our top priority is providing value to members. Your Member Services team is here to ensure you maximize your ACS member benefits, participate in College activities, and engage with your ACS colleagues. It's all here.

Become a Member
ACS
ACS Case Reviews

A Complex Intra-Abdominal Epidermoid Cyst: Pancreatic-Duodenal Compression in Older Male

January 31, 2024

Abstract

Background

Intra-abdominal cysts can be of different types. There are two major categories: benign and malignant. These cysts can be composed of both cystic and solid components. Benign cysts often contain cystic fluid without solid components, which is not a defining characteristic of benign cysts. They also tend to present with mass-effect symptoms like constipation and bloating. Malignant cysts often have both cystic and solid components. Many patients presenting with malignant cysts may report weight loss of unknown etiology, general malaise, anorexia, and other benign symptoms like constipation and abdominal distention. We present a rare intra-abdominal epidermoid cyst in a 63-year-old male without any surgical history, whose chief complaint was abdominal distention without any associated symptoms.

Summary

Our patient had a complex low-attenuation mass measuring 8.4 × 7.2 × 9.6 cm in the right abdomen abutting and compressing the head of the pancreas, the second and third part of the duodenum. He underwent surgical resection with official pathology, indicating it to be a benign intra-abdominal epidermoid cyst.

Conclusion

Intra-abdominal epidermoid cysts are extremely rare. They are broadly divided into two: benign and malignant. Benign cysts often contain cystic fluid without solid components, but this is not a defining characteristic. Malignant cysts often have both cystic and solid components. Computed tomography (CT) or magnetic resonance imaging (MRI) is diagnostic; however, histopathology analysis is usually done to confirm the diagnosis. Most benign cysts are cured by resection, while malignant epidermoid cysts require a combination of therapy, including chemotherapy and radiation.

Key Words

intra-abdominal epidermoid cyst; duodenum; benign; malignant


Case Description

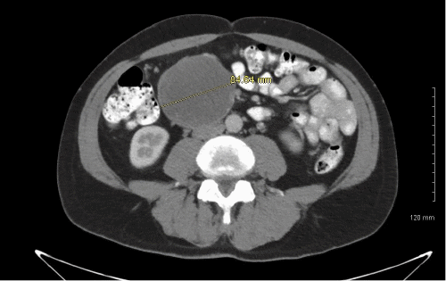
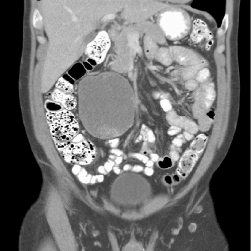
The patient is a 63-year-old male whose chief complaint was abdominal bloating for a couple of years. He denied any associated abdominal pain, nausea, vomiting, diarrhea, constipation, or any weight loss. His abdominal exam was significant for a palpable right upper quadrant mass. An abdominal ultrasound showed a right upper quadrant complex mass but no other abnormality. A follow-up CT confirmed a complex low-attenuation mass measuring 8.4 × 7.2 × 9.6 cm in the right abdomen abutting and compressing the head and the second and third portion of the duodenum, given the proximity of the mass to the duodenum and pancreas, pancreatic cancer was a suspected (Figure 1 and Figure 2). Therefore, an MRI and magnetic resonance cholangiopancreatography (MRCP) was done to evaluate and assess the anatomical delineation of the mass related to the pancreas and duodenum.

Figure 1. Axial CT Showing Large Intra-Abdominal Epidermoid Cyst. Published with Permission

Figure 2. Coronal CT Showing Large Intra-Abdominal Epidermoid Cyst. Published with Permission

He underwent CT-guided fine-needle aspiration (FNA) to obtain a tissue sample for diagnosis. The official pathology indicated that the mass was a benign intra-abdominal epidermoid cyst. Intraoperatively, during the resection of the mass, the duodenum was identified, and the whole line of Toldt was mobilized inferiorly, freeing the right colon and mass. We proceeded with careful dissection to free the mass from all attachment. Medially, it was noted to be adherent to the mesentery and middle colic artery. Great care was taken to preserve the vessels and as much of the mesentery as possible. Superiorly, the mass was abutting the duodenum, and an area of deserosalized duodenum was noted during dissection. The decision was made to perform a duodenal jejunal patch 50cm distal to the ligament of Treitz and place multiple 3-0 silk sutures to approximate the jejunum's serosa to the deserosalized duodenum. Meticulous dissection was performed to avoid any tumor spillage.

After the complete resection of the mass, the jejunal patch was completed to reinforce the deserosalized duodenum, and vascular integrity was confirmed with intraoperative fluorescent vascular angiography. The final pathology of the resected mass confirmed it to be a soft tissue epidermoid cyst.

Discussion

Epidermoid and dermoid cysts are benign inclusion cysts derived from the ectoderm tissue lined by squamous cell epithelium (Figure 3A). In some cases, these cysts can also contain other ectoderm-derived skin appendages like hair follicles and teeth (Figure 3B).1 A few cases have been reported of cysts occurring intra-abdominal and extra-abdominal; some cysts have also been reported to appear in the central nervous system. Epidermoid cysts can either be congenital or acquired. Acquired epidermoid cysts are believed to be traumatic or iatrogenic.2 In our case, the patient had no history of abdominal surgical procedures. The most likely explanation for the presence and development of an epidermoid cyst in this location is the result of aberrant ectodermal implantation during embryogenesis.3 Analysis of a histopathological tissue sample revealed the presence of some component of stratified squamous epithelium consistent within the epidermoid cyst lesion.4

Figure 3. Histopathological Image of Cyst. Published with Permission

A.

Note A) squamous lining of the cyst (orange arrow)
Note A) squamous lining of the cyst (orange arrow)

B.

B) Keratin debris in the center of the cyst (blue arrow); and fibrous cyst wall (black arrow)
B) Keratin debris in the center of the cyst (blue arrow); and fibrous cyst wall (black arrow)

The laparoscopic technique provides an effective method of surgical management in cases of pancreatic and splenic cystic lesions, avoiding the shortcomings of open surgery.5 However, laparoscopy is limited to the size of the cysts and the location, which may render minimally invasive surgery a risky option. In our case, the mass was a complex low-attenuation mass measuring 8.4 × 7.2 × 9.6 cm in the right abdomen abutting and compressing the head of the pancreas and the second and third portion of the duodenum (Figure 1 and Figure 2). In this case, laparotomy was deemed the best option to ensure complete and safe resection. There is always a concern for local recurrence of the cysts; the management and treatment are based on symptoms if they recur. These cysts are often benign, so chemotherapy or radiation is not warranted. However, there have been reports of these cysts having malignant transformation into squamous cell cancer.6 In our case, the patient underwent resection with the official pathology from the excisional biopsy, indicating the mass to be an epidermoid cyst with no malignancy noted in the tissue. Postoperatively, the patient's initial presenting symptoms had resolved entirely without any signs of recurrence after twelve months.

Conclusion

Intra-abdominal epidermoid cysts are extremely rare and broadly divided into benign and malignant. Imaging can be diagnostic; however, histopathology is required for accurate diagnosis. Most benign cysts are cured by complete resection; however, local recurrence is still a concern. Meanwhile, malignant epidermoid cysts require a combination of therapy, which may include resection, chemotherapy, and radiation, to improve the chances of cure and disease-free survival.

Lessons Learned

Intra-abdominal epidermoid cysts are extremely rare in patients without any surgical history. Complete resection of the benign cyst without cyst tumor spillage confers the best chances of cure. No adjunctive treatment is necessary with completed resection. Unfortunately, local recurrence is still a concern if complete resection is impossible. Malignant intra-abdominal epidermoid cysts require a combination of therapy to improve survival and limit morbidity and mortality.

Authors

Osumo Ba; Mapow Db; Kulkarni Na

Author Affiliations

  1. Inspira Health Network, Department of Surgery, Vineland, NJ 08360
  2. Inspira Health Network, Department of Pathology, Vineland, NJ 08360

Corresponding Author

Bismarck Osumo, MD
General Surgery Department
Inspira Health Network
1505 W. Sherman Avenue, Ste. B
Vineland, NJ 08360
Email: osumob@ihn.org

Disclosure Statement

The authors have no conflicts of interest to disclose.

Funding/Support

The authors have no relevant financial relationships or in-kind support to disclose.

Received: April 2, 2021
Revision received: June 8, 2022
Accepted: January 17, 2023

References

  1. Ueno T, Takayama R, Osada SI, Saeki H. Epidermoid Cyst Arising on the Body of the Tongue: Case Report and Literature Review. J Nippon Med Sch. 2018;85(6):343-346. doi:10.1272/jnms.JNMS.2018_85-56
  2. Demır H, Aydoğan B, Şahın H, Öcal P, Ilvan Ş. Epidermoid cyst of the cecum: a case report. Turk J Gastroenterol. 2012;23(4):406-409. doi:10.4318/tjg.2012.0378
  3. Mady HH, Melhem MF. Epidermoid cyst of the cecum of an elderly man with no previous history of surgery: a case report and review of literature. Int J Colorectal Dis. 2002;17(4):280-283. doi:10.1007/s00384-001-0386-z
  4. Hyseni NSh, Llullaku SS, Koçinaj DH, Jashari HJ, Kelmendi BZ. An unusual location of retroperitoneal epidermoid cyst in a child: case report and a review of the literature. Cases J. 2009;2:9397. Published 2009 Dec 24. doi:10.1186/1757-1626-2-9397
  5. Harris AC, Chaudry MA, Menzies D, Conn PC. Laparoscopic resection of an epidermoid cyst within an intrapancreatic accessory spleen: a case report and review article. Surg Laparosc Endosc Percutan Tech. 2012;22(4):e246-e249. doi:10.1097/SLE.0b013e31825b3761
  6. Ozutemiz C, Ada E, Ersen A, Ozer E. Imaging Findings of an Epidermoid Cyst with Malignant Transformation to Squamous Cell Carcinoma. Turk Neurosurg. 2017;27(2):312-315. doi:10.5137/1019-5149.JTN.12722-14.0