Unsupported Browser
The American College of Surgeons website is not compatible with Internet Explorer 11, IE 11. For the best experience please update your browser.
Menu
Become a member and receive career-enhancing benefits

Our top priority is providing value to members. Your Member Services team is here to ensure you maximize your ACS member benefits, participate in College activities, and engage with your ACS colleagues. It's all here.

Become a Member
Become a member and receive career-enhancing benefits

Our top priority is providing value to members. Your Member Services team is here to ensure you maximize your ACS member benefits, participate in College activities, and engage with your ACS colleagues. It's all here.

Become a Member
ACS
ACS Case Reviews

Acinar Cell Cystadenoma of the Pancreas: A Diagnostic Dilemma

March 8, 2023

Abstract

Background

Acinar cell cystadenomas are a rare type of pancreatic cystic lesion. We report a case of a young woman to highlight a unique diagnosis and the current lack of tools available to make informed management decisions.

Summary

A 29-year-old woman presented with vague, chronic abdominal pain. After a CT scan showed a 4 cm pancreatic cyst, an endoscopic ultrasound confirmed an anechoic cyst in the head of the pancreas with associated proximal pancreatic duct dilation. Fine needle aspiration was performed, and the cyst fluid was sent for cytology, amylase, and carcinoembryonic antigen (CEA). Cytology was negative for mucin and malignancy. Fluid amylase was 676 U/L and CEA was 2,546 ng/mL. She was presented at a multidisciplinary conference, and the consensus was resection for a presumed branch duct intraductal papillary mucinous neoplasm (BD-IPMN). The patient underwent a pancreaticoduodenectomy. Surgical pathology yielded no malignancy and complete resection of the cyst. Histologic examination revealed the cyst to be lined by cuboidal to columnar epithelium with uniform nuclei and eosinophilic apical cytoplasmic granules, which exhibited periodic acid-Schiff (PAS) positivity that was diastase resistant. No significant mitotic activity was observed. Immunohistochemical staining pattern supported the diagnosis of acinar cell cystadenoma. The patient is two years out from surgery and doing well.

Conclusion

We described a rare pancreatic acinar cell cystadenoma in a young female presenting with vague abdominal complaints. This case report highlights that not all pancreatic cysts need to be resected, and further research must be performed to determine ways to distinguish benign from malignant cysts.

Key Words

pancreatic cyst; cystic neoplasm


Case Description

In the era of diagnostic imaging, the occurrence of incidentally discovered pancreatic cystic neoplasms has increased. The differential diagnosis is vast, encompassing both completely benign (e.g., serous cystadenomas) and pre-invasive cystic neoplasms (e.g., intraductal papillary mucinous neoplasms). This has consequently led to diagnostic challenges and management dilemmas as differentiating benign from malignant cysts can be fraught with difficulties. Acinar cell cystadenomas (ACA) are a rare type of pancreatic cystic lesion, with only about 30 cases reported.1-3 We report a case of a rare, benign pancreatic cyst in a young woman to highlight a unique diagnosis and the current lack of tools pancreas specialists have to help make informed management decisions.

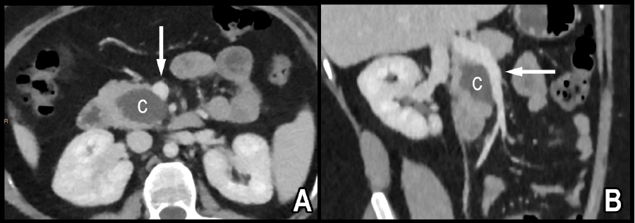
A 29-year-old female with a BMI of 34 kg/m2 presents with vague, persistent upper abdominal pain. Index cross-sectional computed tomography (CT) imaging shows a 3.6 × 3.1 × 4.0 cm hypodense pancreatic head lesion that was intimately associated with the right lateral border of the superior mesenteric vein (SMV) (Figure 1).

Figure 1. (A) Axial and (B) Oblique Contrast-Enhanced CT Images of Abdomen. Published With Permission

Water attenuation cystic lesion (c) in pancreas broadly contacts SMV (arrow).
Water attenuation cystic lesion (c) in pancreas broadly contacts SMV (arrow).

An endoscopic ultrasound (EUS) was performed to evaluate the pancreatic lesion further, confirming a 3.5 × 4.5 cm anechoic cystic structure in the head of the pancreas. This lesion lacked a Doppler vascular signal and displayed posterior acoustic enhancement; there was no solid or mural nodule within the lesion. The pancreatic duct just proximal to the lesion was dilated up to 5-6 mm. Fine needle aspiration (FNA) of the lesion returned as a turbid, non-viscous fluid. Cytology was negative for mucin and malignancy. Fluid amylase was 676 U/L, and CEA was 2,546 ng/mL. The case was discussed in a multidisciplinary conference and was presumed to be a branch duct intraductal papillary mucinous neoplasm (BD-IPMN). The consensus was for resection due to the symptomatology, the associated lifetime risk of pancreatic cancer, proximal main duct dilation of 6 mm, and cyst size greater than 3 cm on EUS. The patient underwent a pancreaticoduodenectomy.

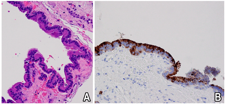
Intraoperatively, the pancreas was soft, and the cyst was greater than 4 cm in size with a thin cystic wall. The cyst was adhered to the right lateral sidewall of the superior mesenteric vein and inadvertently ruptured during dissection with a thin, cloudy fluid spillage. Testing of this fluid in the operating room again showed elevated amylase (1,263 U/L) and CEA (1,716 ng/mL). The pancreatic duct was 2 mm, and the calculated fistula risk score was intermediate (17.6% fistula risk). A two-layer, duct-to-mucosa pancreaticojejunostomy was performed using a 5 French internal stent. One operative drain was also placed at the end of the surgery. Surgical pathology yielded no malignancy within the complete resection of the pancreatic cyst. Histologic examination revealed the cyst to be lined by cuboidal to columnar epithelium with uniform nuclei and eosinophilic apical cytoplasmic granules, which exhibited periodic acid-Schiff (PAS) positivity that was diastase resistant (Figure 2A). No significant mitotic activity was observed. The immunohistochemical staining pattern supported the diagnosis of acinar cell cystadenoma. The cyst lining was positive for markers of acinar differentiation: trypsin and chymotrypsin. Cytokeratin 7 was strongly positive, and there was focal patchy expression of cytokeratin 19. Synaptophysin was negative (Figure 2B). Postoperatively, the patient developed a clinically relevant pancreatic fistula, Grade B, requiring IR drainage and a prolonged hospital stay. After her hospital course, the patient has done well without evidence of pancreatic insufficiency. While she does not need follow-up for the benign pancreatic cyst, she will continue to be followed from a nutritional standpoint annually.

Figure 2. H&E and Immunohistochemical Stains. Published With Permission

(A) Hematoxylin and eosin (H&E) stain demonstrates cyst lined by epithelium, showing acinar features with bright red apical granules (400x); and B) immunohistochemical stain shows chymotrypsin is positive within epithelium of cyst, confirming its acinar derivation (200x).
(A) Hematoxylin and eosin (H&E) stain demonstrates cyst lined by epithelium, showing acinar features with bright red apical granules (400x); and B) immunohistochemical stain shows chymotrypsin is positive within epithelium of cyst, confirming its acinar derivation (200x).

Discussion

Most pancreatic cystic neoplasms (PCN) are found incidentally in older adults in the fifth to seventh decade of life; however, a minority of patients may present younger and may have symptoms related to mass effect, pancreatitis, or malignancy.1 Majority of PCNs are either serous cystic, mucinous cystic, IPMN, or solid pseudopapillary with typical imaging and cytological characteristics.2 Although acinar tissue constitutes most of the pancreas, acinar cell cystadenomas (ACA) are a rare type of PCN.3 Originally discovered in 2002, it has been less than a decade since ACA was recognized as an independent diagnosis by the World Health Organization.2 Diagnostic workup of these cystic lesions consists of a combination of clinical, radiologic, and cytological findings.4 These rare lesions are usually asymptomatic; however, as in our patient, ACAs can be associated with chronic, dull abdominal or flank pain. Similar to our patient, ACAs have been most prevalent in female patient populations, commonly discovered during the third and early fourth decades of life.5 Of the fewer than 30 cases discussed in the literature, the majority are incidental findings, which were only confirmed to be ACAs after histopathological analysis with the appropriate chemical staining.4‒6

Grossly, ACAs are described as unilocular or multilocular cystic lesions of varying size, primarily composed of dispersed ductal cells surrounded by an acinar epithelial lining.7 These lesions are most commonly located in the head of the pancreas; however, other pancreatic locations have been documented.8 ACA pathogenesis, although not fully understood, is hypothesized to be caused by the diffuse distention and dilation of small acinar units, which then merge with larger ducts and ultimately consolidate to form cystic structures.8 Due to the lack of evidence of its true malignant potential, recent studies have preferred labeling these cystic lesions as an “acinar cell transformation” or “acinar cystic transformation” to differentiate it from a neoplastic association when using the term cystadenoma.8 No malignant transformation or recurrence of ACAs has been reported in the literature.

Generally, the workup of any PCN consists of radiologic imaging and cyst fluid analysis to determine a differential diagnosis. MRI of the pancreas with MRCP is preferred due to better evaluation of the nature of the cyst, including the internal structure and improved delineation of the relationship of the main pancreatic duct with the cyst. If a patient is unable to receive an MRI/MRCP, a CT scan with pancreatic protocol is a reasonable and acceptable option. Delavaud and colleagues showed that multilocular ACAs displayed distinct imaging findings from branch duct intraductal papillary mucinous neoplasms, including >5 small clustered peripheral cysts with calcifications and without main pancreatic duct communication.9

Following radiologic evaluation, EUS-FNA may be recommended for further evaluation and risk stratification for lesions with worrisome features such as a mural nodule, thickened enhanced cyst wall, PCN size >3 cm, main pancreatic duct >5 mm, cyst-related symptoms, or family history of pancreatic cancer.10 In addition, cyst fluid cytology, glucose, and molecular tumor markers (e.g., CEA) can be utilized to increase the diagnostic yield of EUS-FNA and help distinguish mucinous lesions from non-mucinous lesions.11 The role of EUS-guided FNA in the setting of ACA is unclear, as Yergiyev and colleagues found that aspirates of ACA were often nondiagnostic due to limited cellularity and acellular secretions which may be mistaken for a mucinous neoplasm without specific stains.12 In our case, cytology was negative, amylase and CEA were elevated, and additional DNA analysis (e.g., KRAS, GNAS, p53) was unavailable at our institution; therefore, our preoperative diagnosis was a BD-IPMN.

Once a presumptive diagnosis is made regarding the type of PCN, the decision to resect depends on factors such as suspected malignancy risk, comorbidities, and symptoms. PCNs in the pancreatic head require pancreaticoduodenectomy, whereas body or tail lesions require distal pancreatectomy. Surveillance may be offered to patients who are poor surgical candidates, who decline surgery, or whose PCNs have low malignancy risk. Even with the extensive workup this patient received, she ultimately had a benign pancreatic cyst highlighting a continued need for improved diagnostic methods for evaluating PCNs.

Conclusion

In summary, we described a rare pancreatic acinar cell cystadenoma in a young, 29-year-old female presenting with vague abdominal complaints. A systematic approach to the clinical diagnosis and workup of acinar cell cystadenoma remains uncertain, especially due to its rarity and lack of knowledge on how to diagnose these lesions based strictly on imaging modalities without the support of histopathologic evidence.

Lessons Learned

This case report highlights that not all pancreatic cysts need to be resected. Further research needs to be performed to determine ways to distinguish benign from malignant cysts and develop a reasonable management plan for patients.

Authors

Tran Ma; Landry JPb; Vellanki Sc; Helander Ld; Smith DLe; Dewenter Tf; Gnerlich JLb

Author Affiliations

  1. Department of Plastic & Reconstructive Surgery Summa Health, Akron, OH 44304
  2. Department of Surgery, LSU Health Sciences Center New Orleans, New Orleans, LA 70112
  3. Department of Internal Medicine, George Washington School of Medicine Washington, DC 20037
  4. Department of Pathology, University of Colorado, Aurora, CO 80045
  5. Department of Radiology, LSU Health Sciences Center New Orleans, New Orleans, LA 70112
  6. Department of Pathology, LSU Health Sciences Center New Orleans, New Orleans, LA 70112

Corresponding Author

Jennifer L. Gnerlich, MD, FACS
Division of Surgical Oncology
Department of Surgery
LSU Health Sciences Center New Orleans
1542 Tulane Ave., Room 734
New Orleans, LA 70112
Phone: (314) 749-6310
Email: jlgnerli@hotmail.com

Disclosure Statement

The authors have no conflicts of interest to disclose.

Funding/Support

The authors have no relevant financial relationships or in-kind support to disclose.

Received: August 12, 2020
Revision received: November 9, 2020
Accepted: November 24, 2020

References

  1. Spinelli KS, Fromwiller TE, Daniel RA, et al. Cystic pancreatic neoplasms: observe or operate. Ann Surg. 2004;239(5):651-659. doi:10.1097/01.sla.0000124299.57430.ce
  2. Gill AJ, Klimstra DS, Lam AK, et al. Tumours of the pancreas. In: WHO Classification of Tumours, 5 ed, WHO Classification of Tumours Editorial Board (Ed), IARC Press, Lyon 2019. p.296
  3. Klimstra DS. Cell lineage in pancreatic neoplasms. Pancreatic Cancer: Advances in Molecular Pathology, Diagnosis & Clinical Management. 1998: 21;58-59.
  4. Wang G, Ji L, Qu FZ, et al. Acinar cell cystadenoma of the pancreas: A retrospective analysis of ten-year experience from a single academic institution. Pancreatology. 2016;16(4):625-631. doi:10.1016/j.pan.2016.03.020
  5. Wolf AM, Shirley LA, Winter JM, et al. Acinar cell cystadenoma of the pancreas: report of three cases and literature review. J Gastrointest Surg. 2013;17(7):1322-1326. doi:10.1007/s11605-013-2199-0
  6. Khor TS, Badizadegan K, Ferrone C, et al. Acinar cystadenoma of the pancreas: a clinicopathologic study of 10 cases including multilocular lesions with mural nodules. Am J Surg Pathol. 2012;36(11):1579-1591. doi:10.1097/PAS.0b013e318265fa4b
  7. Singhi AD, Norwood S, Liu TC, et al. Acinar cell cystadenoma of the pancreas: a benign neoplasm or non-neoplastic ballooning of acinar and ductal epithelium?. Am J Surg Pathol. 2013;37(9):1329-1335. doi:10.1097/PAS.0b013e3182a1ad72
  8. Zhang X, Zhu H, Yang X, Adsay VN, Jain D. Post-obstructive cyst formation in pancreas and cystic acinar transformation: Are they same?. Pathol Res Pract. 2017;213(8):997-1001. doi:10.1016/j.prp.2017.03.013
  9. Delavaud C, d'Assignies G, Cros J, et al. CT and MR imaging of multilocular acinar cell cystadenoma: comparison with branch duct intraductal papillary mucinous neoplasia (IPMNs). Eur Radiol. 2014;24(9):2128-2136. doi:10.1007/s00330-014-3248-0
  10. Elta GH, Enestvedt BK, Sauer BG, Lennon AM. ACG Clinical Guideline: Diagnosis and Management of Pancreatic Cysts. Am J Gastroenterol. 2018;113(4):464-479. doi:10.1038/ajg.2018.14
  11. Wood LD, Hruban RH. Pathology and molecular genetics of pancreatic neoplasms. Cancer J. 2012;18(6):492-501. doi:10.1097/PPO.0b013e31827459b6
  12. Yergiyev O, Krishnamurti U, Mohanty A, Thakkar S, Gurram K, Silverman JF. Fine needle aspiration cytology of acinar cell cystadenoma of the pancreas. Acta Cytol. 2014;58(3):297-302. doi:10.1159/000362379