Unsupported Browser
The American College of Surgeons website is not compatible with Internet Explorer 11, IE 11. For the best experience please update your browser.
Menu
Become a member and receive career-enhancing benefits

Our top priority is providing value to members. Your Member Services team is here to ensure you maximize your ACS member benefits, participate in College activities, and engage with your ACS colleagues. It's all here.

Become a Member
Become a member and receive career-enhancing benefits

Our top priority is providing value to members. Your Member Services team is here to ensure you maximize your ACS member benefits, participate in College activities, and engage with your ACS colleagues. It's all here.

Become a Member
ACS
Case Reviews in Surgery

Adult Zonal Hirschsprung's Disease: A Diagnostic Challenge

Adult Zonal Hirschsprung's Disease: A Diagnostic Challenge

March 1, 2021

Abstract

Background

This is a case report of a 21-year-old male diagnosed with adult zonal Hirschsprung disease and treated with left hemicolectomy. Adult onset with co-occurrence of zonal variety makes it a very rare disorder and a diagnostic challenge to the surgeon.

Summary

A 21-year-old male presented with a history of chronic constipation and signs and symptoms of acute large bowel obstruction. Urgent diverting loop transverse colostomy was performed. Four months later, after a thorough evaluation, left hemicolectomy with primary colorectal anastomosis was done. Histological examination revealed absence of ganglionic cells in narrowed segment extending from the splenic flexure to the rectosigmoid junction while the proximal and distal margins showed the normal presence of ganglionic cells—hence diagnosed as a case of adult zonal Hirschsprung disease. Postoperative period was uneventful with good short-term outcome. Patient needs long-term follow-up.

Conclusion

Hirschsprung disease should be considered as a differential diagnosis in young adults with chronic constipation. Thorough evaluation of such patients is necessary, as atypical variants of the disease can be missed on rectal biopsies.

Key Words

Adult Hirschsprung disease, zonal colonic aganglionosis, chronic constipation, megacolon


Case Description

Hirschsprung disease, otherwise called congenital aganglionic megacolon, is a congenital disorder characterized by absence of parasympathetic ganglionic cells in the submucosal and myenteric plexus of the intestine.1 Most of the cases manifest during the neonatal period and infancy but rarely can manifest during childhood and adult life.1,2 Most often, the disease process involves the rectum or rectosigmoid regions, starting just proximal to the anal verge. Very rarely, there can be a zonal aganglionosis with a localized segment of colonic aganglionosis, with presence of normal ganglionic cells proximal and distal to that segment.

A 21-year-old male presented to the emergency department complaining of obstipation, bilious vomiting, progressive abdominal distension, and diffuse pain for five days. There was a history of passage of hard, lumpy stools for five years prior to the index presentation. There was no history of defecation abnormalities prior to that or delayed passage of meconium at birth. There was no history of similar complaints in the parents or siblings. On examination, he was emaciated and abdomen was grossly distended and diffusely tender. Tympany was heard on percussion. Bowel sounds were loud and increased in frequency.

Computed tomography of the abdomen confirmed an acute large bowel obstruction with grossly dilated proximal colon, from the caecum to the splenic flexure, due to an unknown cause. Exploratory laparotomy revealed grossly dilated caecum, ascending colon, and transverse colon up to the splenic flexure, while descending colon was narrowed up to the rectosigmoid region (Figure 1).

Figure 1. Grossly dilated transverse colon and caecum at the time of emergency exploration.

Emergency diverting loop transverse colostomy was done proximal to the transition zone at the splenic flexure. Biopsy from the transition zone revealed nonspecific colitis with normal ganglion cells. Barium contrast study, done after colostomy, revealed a long segment narrowing extending from the splenic flexure to the rectosigmoid junction (Figure 2).

Figure 2. Barium contrast study showing segmental narrowing from splenic flexure to rectosigmoid region (indicated by arrows) with proximal dilatation.

Colonoscopy did not show any structural abnormality. Rectal biopsies showed the normal presence of ganglion cells. After four months, resection of the distal one-third of the transverse colon, splenic flexure, descending colon and sigmoid colon was done with primary transverse colon rectal anastomosis (Figure 3).

Figure 3. Resected specimen of left hemicolectomy showing dilated proximal part and the narrowed segment.

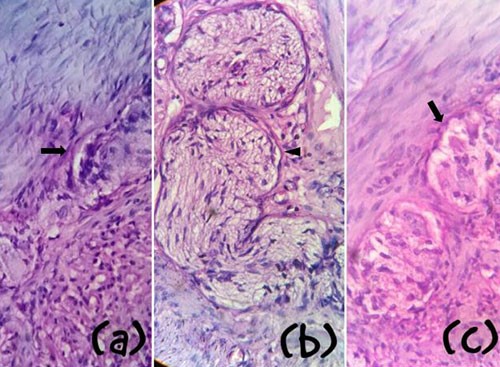
Patient convalesced well and was discharged home on postoperative day 10 without complication. Histopathological examination of resected specimen revealed absence of ganglionic cells with large unmyelinated nerve fibres in the narrowed segment. Both proximal and distal margins showed normal ganglionic cells and nerve plexus confirming a diagnosis of zonal colonic aganglionosis (Figure 4).

Figure 4. Histopathology images (a) Proximal margin showing normal ganglion cells (arrow) (b) Narrowed segment showing hypertrophied nerve bundles without ganglion cells(arrow head) (c) Distal margin showing normal ganglion cells (arrow).

Discussion

Hirschsprung disease affects approximately 1 in 5,000 live births and usually presents during infancy. Only a small number remain undetected after the age of five. It is rare for the disease to manifest in adult life. The first well-documented case of adult Hirschsprung disease was described in 1950 by Rosin et al in a 54-year-old physician.3 Thereafter, there were occasional case reports of such cases in the literature. In a fifty-year literature review by Masayuk et al,4 the mean age at diagnosis was 24.1 years, with a range of 10–73 years, and half of the 229 cases being reported were under 30 years of age.

The primary pathogenetic defect of Hirschsprung disease is the absence of ganglionic cells in the submucosal and myenteric nerve plexus. Studies suggest that this is due to failure of migration of the ganglion cell precursors from the neural crest into the hindgut, which normally occurs in a cranial to caudal direction during fifth to twelfth week of gestation.1 The aganglionic segment of bowel remains narrowed as smooth muscle fails to relax, while the proximal segment becomes dilated. In between, most often, there will be a transition zone with sparse ganglionic cells.

The disease usually begins at the anus and extends to a variable length proximally in a continuous fashion. Depending on the extent of aganglionic segment, the disease can be of classic, short segment, ultra-short segment, and total colonic forms. Apart from these typical variants of Hirschsprung disease, few cases of atypical variants have been reported in infants, which include zonal colonic aganglionosis and skip segment Hirschsprung disease.

Skip segment Hirschsprung disease consists of a skip area of normally ganglionated intestine surrounded proximally and distally by aganglionosis. While the first case was reported in 1954, 24 cases of skip segment Hirschsprung disease have been reported in the literature between 1954 and 2009.5

Zonal colonic aganglionosis is characterized by absence of ganglion cells in a segment of colon with presence of ganglion cells both proximal and distal to this aganglionic segment. Tiffin et al reported the first case of zonal aganglionosis in 1940.6 In a case report of segmental aganglionosis by Moriya et al7 in 1996, it was mentioned that only 15 cases of zonal aganglionosis have been reported, and among them, only two were adults. CG Fu et al8 reported a case of zonal adult Hirschsprung disease in 1996 from university of Tokyo. Another case of zonal adult Hirschsprung disease was reported by Yeon Soo Kim et al in the year 2006.9 In a case report by Radu NB et al10 in 2015, it was mentioned that only 28 cases of zonal aganglionosis were reported in the literature. The extreme rarity of this disease in adults makes it very difficult to diagnose preoperatively. Barium contrast study, rectal biopsy, lower GI endoscopy, and anal manometry are helpful in diagnosing these atypical variants.

The treatment options for Hirschsprung disease in adults are similar to that in infancy. Duhamel pull through procedure is the surgery of choice.4,11 In cases of skip segmental Hirschsprung disease, it is advisable to take biopsies from multiple sites of proximal normal appearing bowel. Zonal colonic aganglionosis can be managed by segmental resection of the involved segment with primary anastomosis; however, it is important to take biopsies from the rectum to avoid persistence of distal unidentified aganglionic segments, in case of double zonal colonic aganglionosis with a skip segment in between. In this case, left hemicolectomy with primary colorectal anastomosis was done with good short-term outcome. The patient needs long-term follow-up for early diagnosis of recurrent obstruction or persistence of the disease.

Conclusion

Hirschsprung disease should be considered a differential diagnosis in young adults with chronic constipation. The zonal aganglionosis is an atypical presentation of the disease and is extremely rare in the adult population. Thorough evaluation of such patients is necessary, as atypical variants of the disease can be missed on rectal biopsies.

Lessons Learned

Thorough evaluation of young adults with chronic constipation is necessary, as atypical variants can be missed on rectal biopsies. Appropriate surgery can relieve such patients from chronic constipation and prevents major complications.

Authors

Srinivas MVNa, Satyam Gb, Hota PKc, Suhas Md, Jadhav Ve

Correspondence Author

Mallineni Venkata Naga Srinivas
Address: 31-12-3/1, dbrk street
Machavaram, Vijayawada
AP-520004, India
91-9492939357
Vasu.mallineni@gmail.com

Author Affiliations

  1. Mallineni Venkata Naga Srinivas, MS
    Assistant professor
    Department of surgery
    Mamata general hospital
    Khammam, India
  2. Satyam Guntupalli, MS
    Associate professor
    Department of surgery
    Mamata general hospital
    Khammam, India
  3. Prasan Kumar Hota, MS
    Professor & HOD
    Department of surgery
    Mamata general hospital
    Khammam, India
  4. Suhas Malineni, MBBS
    Resident
    Department of surgery
    Mamata general hospital
    Khammam, India
  5. Varsha Jadhav, MD
    Professor & HOD
    Department of pathology
    Mamata general hospital
    Khammam, India

References

  1. Chen F, Winston JH 3rd, Jain SK, Frankel WL.Hirschsprung's disease in a young adult: report of a case and review of the literature. Ann Diagn Pathol. 2006 Dec;10(6):347-51.
  2. Fairgrieve J. Hirschsprung disease in the adult. Br J Surg. 1963;50:506-14
  3. Rosin JD, Bargen JA, Waugh JM. Congenital megacolon of a man 54 years of age: report of case. Proc Staff Meet Mayo Clin. 1950 Dec 20;25(26):710-5.
  4. Miyamoto M, Egami K, Maeda S et al. Hirschsprung disease in adults: report of a case and review of literature. J Nippon Med Sch. 2005; 72(2):113-120
  5. O’Donnell AM, Puri P. Skip segment Hirschsprung disease: a systematic review. Paediatr Surg Int. 2010 Nov;26(11):1065-69
  6. Tiffin MD, Chandler LR, Faber HK. Localised absence of the ganglion cells of the myenteric plexus in congenital megacolon. Am J Dis Child. 1940;59:1071-82
  7. Moriya H, Naka Zaki H, Yokoyama S et al. A case of segmental aganglionosis localised to descending colon. Jpn J Gastroenterol. 1996;93:39-44
  8. CG Fu, T Muto, T Masaki, H Nagawa. Zonal adult Hirschsprung disease. Gut. 1996;39: 765-67
  9. Yeon SK, Joon SL, Kyung Mk et al. Case report: a case of zonal adult Hirschsprung disease. Kor J Neurogastroenterol Motil. 2006;12(2):170-76
  10. Radu NB, Laura B, Andrea AM et al. Segmental aganglionosis in Hirschsprung disease in newborns: a case report. Rom J Morphol Embryol. 2015;56(2):533-36
  11. Vorobyov GI, Achkosav SI, Biryukov OM. Clinical features, diagnostics and treatment of Hirschsprung disease in adults. Colorectal Dis. 2010 Dec;12(12):1242-48