Unsupported Browser
The American College of Surgeons website is not compatible with Internet Explorer 11, IE 11. For the best experience please update your browser.
Menu
Become a member and receive career-enhancing benefits

Our top priority is providing value to members. Your Member Services team is here to ensure you maximize your ACS member benefits, participate in College activities, and engage with your ACS colleagues. It's all here.

Become a Member
Become a member and receive career-enhancing benefits

Our top priority is providing value to members. Your Member Services team is here to ensure you maximize your ACS member benefits, participate in College activities, and engage with your ACS colleagues. It's all here.

Become a Member
ACS
ACS Case Reviews

Unclear Etiology of Early Percutaneous Endoscopic Gastrostomy Tube Dislodgement Requiring Exploratory Laparotomy

January 31, 2024

Abstract

Background

Percutaneous endoscopic gastrostomy (PEG) tube placement is a common procedure performed in general surgery. There are multiple approaches to securing PEG tube placement. Additionally, some surgeons endoscopically confirm the proper position after securing the tube cutaneously, although others use clinical judgment alone. Early dislodgement is a rare but serious complication of PEG tube placement. There is an increased risk for dislodgement in the setting of transport and agitated patients; however, inadvertent dislodgement without an apparent inciting event is possible. Clinicians must be aware of the different techniques to place PEG tubes and monitor patients when total parenteral nutrition is initiated to prevent serious adverse events such as peritonitis, sepsis, and death.

Summary

We present the case of a 73-year-old woman admitted for subarachnoid hemorrhage complicated by respiratory failure, requiring PEG tube placement. A 20 French PEG tube was placed endoscopically using the pull method. No endoscopic visualization was used to confirm correct positioning, and the tube was positioned at 3 cm from the abdominal wall. The tube position was stable in the abdominal wall prior to initiating feeds. One hour after the tube feeds were initiated, the patient began thrashing and vomiting. Computed tomography with PEG tube contrast revealed the tube button lying adjacent to the inner abdominal wall and diffuse intraperitoneal contrast extravasation. Emergent exploratory laparotomy with peritoneal irrigation was performed, and a gastrostomy tube was again placed. The patient's second G-tube remained functioning without complications, and the patient was discharged to a long-term acute care facility in stable condition.

Conclusion

This case demonstrates peritonitis and pneumoperitoneum secondary to PEG tube dislodgement less than 24 hours after placement. Further investigation is needed to elucidate the most effective technique to secure PEG tubes and determine if endoscopic visualization of proper placement should be routinely performed. We also highlight clinical manifestations of early tube dislodgement, particularly those lacking clear etiology.

Key Words

PEG; pneumoperitoneum; complications; gastrointestinal; acute abdomen; adhesions

Abbreviations

PEG: percutaneous endoscopic gastrostomy
Fr: French
NG: nasogastric
G-scope: gastroscope
G-tube: gastrostomy tube
J-tube: jejunostomy tube
ex-lap: exploratory laparotomy
TPN: total parenteral nutrition


Case Description

A 73-year-old female with past medical history significant for epilepsy and hypertension presented to the emergency department with severe headache and altered mental status. She developed respiratory failure requiring intubation. Computed tomography (CT) angiogram showed diffuse subarachnoid hemorrhage, right V4 dissection, and hydrocephalus. She underwent coil embolization of the affected artery, and an extraventricular drain was placed. The patient was extubated after the procedure; however, the following day required re-intubation due to tachypnea and oxygen desaturation. Nasogastric (NG) tube feeds were also initiated due to a decline in mental status with loss of cough and gag reflexes on the neurologic exam.

On hospital day 14, general surgery was consulted to perform tracheostomy for respiratory failure and percutaneous endoscopic gastrostomy (PEG) tube placement. After the healthcare power of attorney consented to the procedures, the patient was taken to the operating room. The PEG procedure was done first. Endoscopy with a video Olympus gastroscope (G-scope) was inserted into the oropharynx and advanced to the stomach. The optimal location was identified and illuminated with the endoscopic light directed toward the abdominal wall. From the G-scope view, clear indentation was visualized when a finger was pressed down over the illuminated skin site. A 5 mm skin incision was made at this site, and a 14-gauge introducer needle was inserted. The guidewire was advanced into the stomach, grasped by the G-scope, then pulled up with the G-scope through the oropharynx. A 20-French (FR) 'pull' G-tube was then attached to the guidewire and pulled out through the anterior abdominal wall, leaving a 3 cm G-tube tail from the skin site. The bolster, clamp, and feeding adapter were then attached. The G-scope was not reintroduced to confirm the tube was patent and in place at the end of the procedure. The tracheostomy was then successfully performed. Postoperatively the G-tube was kept clamped for six hours, at which point tube feeds were then started at 10 mL/h. Before the initiation of feeds, the position of the tube was stable at 3 cm from the abdominal wall.

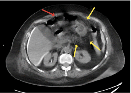
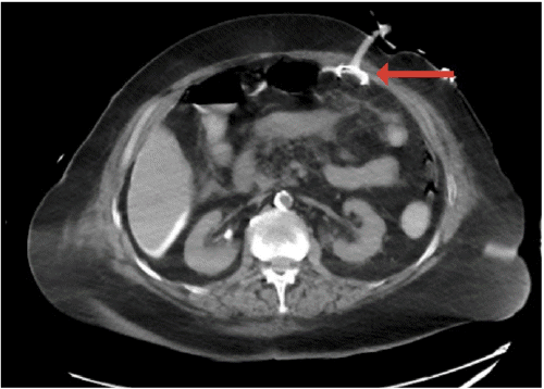
One hour after initiating PEG tube feeds, the patient developed pain, flushing, and emesis. Tube feeds were immediately discontinued due to clinical concerns for peritonitis. Initial X ray with contrast of the abdomen and pelvis visualized contrast outlining the stomach and duodenum; however, tube placement was indeterminant due to artifact. Subsequent CT scan with PEG tube contrast showed intraperitoneal free air, diffuse intraperitoneal contrast extravasation (Figure 1A), and the tube button lying outside of the gastric lumen adjacent to the inner surface of the abdominal wall (Figure 1B).

Figure 1. Abdominopelvic CT Scan with PEG Tube Contrast. Published with Permission

A.

A) Intraperitoneal free air (red arrow) and diffuse peritoneal contrast extravasation (yellow arrows)
A) Intraperitoneal free air (red arrow) and diffuse peritoneal contrast extravasation (yellow arrows)

B. 

B) Percutaneous endoscopic gastrostomy (PEG) tube button outside gastric lumen (red arrow)
B) Percutaneous endoscopic gastrostomy (PEG) tube button outside gastric lumen (red arrow)

Emergent exploratory laparotomy (ex-lap) was performed with a midline incision from the subxiphoid to the umbilicus. Adhesions between the omentum and lateral abdominal wall were grossly visible. The G-tube was dislodged from the stomach, and tube feed content was present throughout the peritoneal cavity. The prior gastrostomy site of the stomach was unable to be visualized on the anterior wall of the stomach, so the lesser sac was opened to visualize the posterior wall. Tube feed content was also present in the lesser sac with clear inflammation of the lateral wall but no evidence of penetration of the G-tube through the posterior wall. The peritoneal cavity was irrigated with isotonic saline, followed by open G-tube placement. A 20-Fr G-tube was placed through the prior opening in the skin and placed into the stomach with direct visualization and anchored in place by inflating the balloon with 7 mL of normal saline. A gastropexy was then performed by placing four 3-0 PDS sutures on the abdominal wall. Postoperative infectious prophylaxis with fluconazole (Diflucan, Pfizer) and piperacillin-tazobactam (Zosyn, Pfizer) was added for 72 hours. The G-tube was placed to gravity for 24 hours following the procedure with minimal output, and tube feeds were then reinitiated. Tube feeds were started at 35 mL/h and increased by 10 mL every four hours to a goal of 55 mL/h to provide a daily intake of 1584 kCal, 73g of protein, and 1,082 mL of free water. The patient tolerated tube feedings at goal. No other general surgery intervention was required. On hospital day 32, the patient was discharged in stable condition to a long-term acute care facility.

Discussion

In conditions that compromise oral feeding or passage of food along the gastrointestinal tract, nasogastric (NG) tube feeding is the first-line method to achieve nutritional needs. Prolonged use is associated with complications, including gastroesophageal reflux, aspiration pneumonia, and irritative damage along the tube path.1 In cases of prolonged enteral feeding longer than two or three weeks, significant neurological impairment, or in malnourished patients unable to feed orally, enteral alimentation via gastrostomy or jejunostomy tubes (J-tubes) feeding is indicated.2 PEG tube placement is preferred over NG tube feeds or total parenteral nutrition (TPN) for patients requiring long-term enteral nutrition.3 Compared to NG tube feeds, PEG tubes lower the risk of aspiration and increase patient comfort.1 PEG feeds prove advantageous to TPN with continuous enteral stimulation, lower cost, and fewer feeding-related infections.4,5 Vital prerequisites for PEG-tube placement include near-normal gastric and small bowel motility.6 J-tube feeds are indicated when PEG placement is inappropriate, such as gastroduodenal disease, antecedent surgery, uncontrollable reflux disease, esophageal neoplasms, or gastroparesis.3 G-tubes are placed endoscopically, laparoscopically, or open; J-tubes are placed laparoscopically or open. J-tubes provide the relative benefit of decreased risk for esophageal reflux, as the tube is distal to the postpyloric sphincter.3 However, J-tubes have a loss of key metabolic signaling that requires food entering the stomach and/or duodenum.3

Multiple techniques are used for PEG tube placement, including the pull method (Ponsky), push method, introducer (Russell) method, and the Versa method with T-fasteners.3 In our case, the pull method was used for initial PEG placement prior to dislodgement. With the broad range of placement methods, PEG tubes can be safely placed in acute and chronically ill patients. Close supervision is required to avoid associated complications.

There are multiple approaches to securing PEG tubes for patients with different indications.7 PEG tube positioning is secured internally to the inside of the anterior gastric wall, using either a bumper or inflated balloon, and externally on the anterior abdominal wall by either a bumper or a bolster.3 Furthermore, the apposition of the stomach to the abdominal wall can be aided using T-fasteners, as done in our case, although the use of this technique is variable.8 After placement, some surgeons endoscopically confirm the proper position after securing the tube cutaneously, whereas others use clinical judgment alone.3 After placing the G-tube, the tube is either clamped or put to gravity for 4-24 hours before initiating feeds.9 In our case, the endoscope was not used to confirm the proper position of the tube on initial placement. Additionally, the PEG tube was clamped prior to initiating tube feeds for six hours. The second G-tube placement was put to gravity for 24 hours prior to initiating feeds.

PEG tube placement is reported to have a success rate of up to 98%.10 Complications following PEG tube placement are reported to occur in 3-23.8% of cases. Of those complications, only 1-4% are reported as life-threatening and/or require surgical intervention.11 Complications associated with PEG tubes include peristomal infection, inadvertent dislodgement or removal, fistulous tracts, and buried bumper syndrome.11 Postoperative complications typically occur within one week, most commonly due to incorrect initial placement in the GI lumen or improper inflation of the internal balloon.12 Other common later complications include gradual internal balloon decompression and inadvertent removal during patient movement or transfer.13 Major complications include hemorrhage, peritonitis, and aspiration.11

Early PEG dislodgement is a rare complication in <5% of cases.14 Dislodgement can lead to subsequent morbidity and mortality due to leakage of bowel content and/or administration of tube feeds into the abdominal cavity.13 Subsequent complications from PEG tube dislodgement include peritonitis, sepsis, and fistulas. When PEG dislodgement is less than three weeks from initial placement, urgent surgical evaluation is necessary due to the risk of peritonitis.15 Immediate tube replacement into the same gastrostomy site is not recommended due to incomplete tract maturation.15 Late dislodgement after four weeks is reported to occur in up to 12.8% of patients but poses less risk of major complications.3,16 Dislodgements at this later period can be safely managed with immediate tube replacement.15

This case raises several critical points related to the operative technique and postoperative management of PEG tubes. First, should endoscopic confirmation of proper PEG tube placement be performed as part of the standard of care? More studies are required to see if there would be a difference in outcomes. Second, what is the proper length of tubing and level of traction on the final PEG tube button? This is critically important to investigate further, especially with obese patients where the general rule of 3-4 cm for PEG tube position from the anterior abdominal wall variably applies. Third, should T-fasteners be used as a standard of care? Placing T-fasteners in high-risk patients has been shown to decrease the overall morbidity if early tube dislodgement occurs.13 Finally, should the PEG tube be placed to gravity drainage as opposed to clamping the tube in the initial postoperative period?

We present a case of early PEG dislodgement complicated by peritonitis. The patient developed emesis and pain one hour after initiating tube feeds. Tube feed contents were visible throughout the peritoneum with excess free air in the abdominal cavity on CT. The patient required emergent ex-lap with peritoneal irrigation and open g-tube placement. A comprehensive review of PEG tube dislodgement is needed to explore indiscernible etiologies and further elucidate prevention strategies. Early dislodgement is a potentially fatal complication of PEG tube placement that must be recognized immediately.

Conclusion

We present a case of early PEG tube dislodgement complicated by pneumoperitoneum and peritonitis, requiring emergent ex-lap. This case indicates the need for future studies to determine the most effective methods to secure PEG tubes and how proper positioning should be confirmed.

Lessons Learned

This case highlights the variability in techniques used to place PEG tubes and perioperative management. Additionally, timely diagnosis in a PEG tube is necessary to avoid major complications of perforation, peritonitis, sepsis, or death. This case report calls for future studies to further elucidate outcomes following PEG tube placement to optimize treatment guidelines and patient safety.

Authors

Glosser LDa; Knauss HMa; Lombardi CVa; Al-Yafi Mb; Stanek Sc

Author Affiliations

  1. Department of Medical Education, University of Toledo College of Medicine and Life Sciences, Toledo, OH 43614
  2. Department of General Surgery, University of Toledo College of Medicine and Life Sciences, Toledo, OH 43614
  3. Department of General Surgery, Toledo Promedica Hospital Campus, Toledo, OH 43606

Corresponding Author

Logan D. Glosser
Department of Medical Education
3000 Arlington Avenue
Toledo, OH 43614
Email: logan.glosser@rockets.utoledo.edu

Disclosure Statement

The authors have no conflicts of interest to disclose.

Funding/Support

The authors have no relevant financial relationships or in-kind support to disclose.

Received: June 23, 2021
Revision received: August 25, 2021
Accepted: January 24, 2022

References

  1. Gomes CA Jr, Lustosa SA, Matos D, Andriolo RB, Waisberg DR, Waisberg J.v Percutaneous endoscopic gastrostomy versus nasogastric tube feeding for adults with swallowing disturbances. Cochrane Database Syst Rev. 2010;(11):CD008096. Published 2010 Nov 10. doi:10.1002/14651858.CD008096.pub2
  2. Qureshi AZ, Jenkins RM, Thornhill TH. Percutaneous endoscopic gastrostomy versus nasogastric tube feeding during neurorehabilitation. Ifs, ands, or buts. Neurosciences (Riyadh). 2016;21(1):69-71. doi:10.17712/nsj.2016.1.20150013
  3. Rahnemai-Azar AA, Rahnemaiazar AA, Naghshizadian R, Kurtz A, Farkas DT. Percutaneous endoscopic gastrostomy: indications, technique, complications and management. World J Gastroenterol. 2014;20(24):7739-7751. doi:10.3748/wjg.v20.i24.7739
  4. Masaki S, Kawamoto T. Comparison of long-term outcomes between enteral nutrition via gastrostomy and total parenteral nutrition in older persons with dysphagia: A propensity-matched cohort study. PLoS One. 2019;14(10):e0217120. Published 2019 Oct 2. doi:10.1371/journal.pone.0217120
  5. Seres DS, Valcarcel M, Guillaume A. Advantages of enteral nutrition over parenteral nutrition. Therap Adv Gastroenterol. 2013;6(2):157-167. doi:10.1177/1756283X12467564
  6. Itkin M, DeLegge MH, Fang JC, et al. Multidisciplinary practical guidelines for gastrointestinal access for enteral nutrition and decompression from the Society of Interventional Radiology and American Gastroenterological Association (AGA) Institute, with endorsement by Canadian Interventional Radiological Association (CIRA) and Cardiovascular and Interventional Radiological Society of Europe (CIRSE). J Vasc Interv Radiol. 2011;22(8):1089-1106. doi:10.1016/j.jvir.2011.04.006
  7. Mandal A, Kafle P, Sidhu JS, Hassan M, Gayam V. A Successful Percutaneous Endoscopic Gastrostomy Tube Feeding over Two Decades with No Complication: A Rare Case Report. Cureus. 2019;11(8):e5340. Published 2019 Aug 7. doi:10.7759/cureus.5340
  8. Campoli PM, Cardoso DM, Turchi MD, Ejima FH, Mota OM. Assessment of safety and feasibility of a new technical variant of gastropexy for percutaneous endoscopic gastrostomy: an experience with 435 cases. BMC Gastroenterol. 2009;9:48. Published 2009 Jun 26. doi:10.1186/1471-230X-9-48
  9. Partovi S, Li X, Moon E, Thompson D. Image guided percutaneous gastrostomy catheter placement: How we do it safely and efficiently. World J Gastroenterol. 2020;26(4):383-392. doi:10.3748/wjg.v26.i4.383
  10. Wiggins TF, Kaplan R, DeLegge MH. Acute hemorrhage following transhepatic PEG tube placement. Dig Dis Sci. 2007;52(1):167-169. doi:10.1007/s10620-006-9446-0
  11. Dell'Era A. Complications of Percutaneous Endoscopic Gastrostomy (PEG). In: Tonolini M, eds. Imaging Complications of Gastrointestinal and Biliopancreatic Endoscopy Procedures. Springer, Cham; 2016:43-50. doi:10.1007/978-3-319-31211-8_5
  12. Rosenberger LH, Newhook T, Schirmer B, Sawyer RG. Late accidental dislodgement of a percutaneous endoscopic gastrostomy tube: an underestimated burden on patients and the health care system. Surg Endosc. 2011;25(10):3307-3311. doi:10.1007/s00464-011-1709-y
  13. Shah J, Shahidullah A, Richards S. Reducing the Unintended Dislodgement of Gastrostomy Tubes in a Long-Term Acute Care Hospital: A QA/QI Pilot Study. Gastroenterology Res. 2018;11(5):369-373. doi:10.14740/gr1084w
  14. Juza RM, Docimo S, Drexel S, Sandoval V, Marks JM, Pauli EM. Endoscopic rescue of early percutaneous endoscopy gastrostomy tube dislodgement. Surg Endosc. 2021;35(4):1915-1920. doi:10.1007/s00464-020-08203-1
  15. Prosser B. Common issues in PEG tubes--what every fellow should know. Gastrointest Endosc. 2006;64(6):970-972. doi:10.1016/j.gie.2006.07.042
  16. Milanchi S, Wilson MT. Malposition of percutaneous endoscopic-guided gastrostomy: Guideline and management. J Minim Access Surg. 2008;4(1):1-4. doi:10.4103/0972-9941.40989