Unsupported Browser
The American College of Surgeons website is not compatible with Internet Explorer 11, IE 11. For the best experience please update your browser.
Menu
Become a member and receive career-enhancing benefits

Our top priority is providing value to members. Your Member Services team is here to ensure you maximize your ACS member benefits, participate in College activities, and engage with your ACS colleagues. It's all here.

Become a Member
Become a member and receive career-enhancing benefits

Our top priority is providing value to members. Your Member Services team is here to ensure you maximize your ACS member benefits, participate in College activities, and engage with your ACS colleagues. It's all here.

Become a Member
ACS
Case Reviews in Surgery

Traumatic Lung Herniation, Repair With Rib Fixation

January 11, 2022

Abstract

Background

Traumatic lung herniation is a rare injury, occurring most commonly with the disruption of the chest wall from multiple rib fractures or separation of the costochondral joints that leads to the herniation of lung parenchyma through the defect.

Summary

Lung herniation has been described in approximately 300 case reports, and the management varies from conservative watchful waiting to surgical repair and reconstruction. Our institution has now encountered two cases of lung herniation, one managed nonoperatively and the other with rib fixation. We will discuss our successful case of reduction and reconstruction. Our patient is a healthy 78-year-old female who presented with displaced rib fractures and traumatic lung herniation, repaired with rib fixation and chest wall reconstruction. Operative intervention resulted in improved respiratory function, pain control, and morbidity.

Conclusion

While lung herniation is rarely life-threatening, it may lead to significant morbidity. Operative intervention should be considered in patients at high risk of respiratory failure or long-term mechanical ventilation. Older patients with significant chest trauma may benefit from early lung reduction and rib stabilization.

Key Words

traumatic lung herniation; rib fractures; rib fixation; chest wall reconstruction


Case Description

After traveling from Abacos, Bahamas, a 78-year-old woman in otherwise good health presented to the emergency department with extensive subcutaneous emphysema. The patient was in the Bahamas on vacation when she tripped and fell, sustaining trauma to the right side of her chest. She developed severe right-sided chest pain as well as shortness of breath. Unfortunately, there was no medical care available on the island, and she was airlifted to our facility for evaluation.

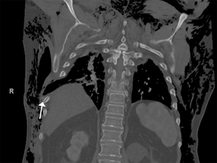
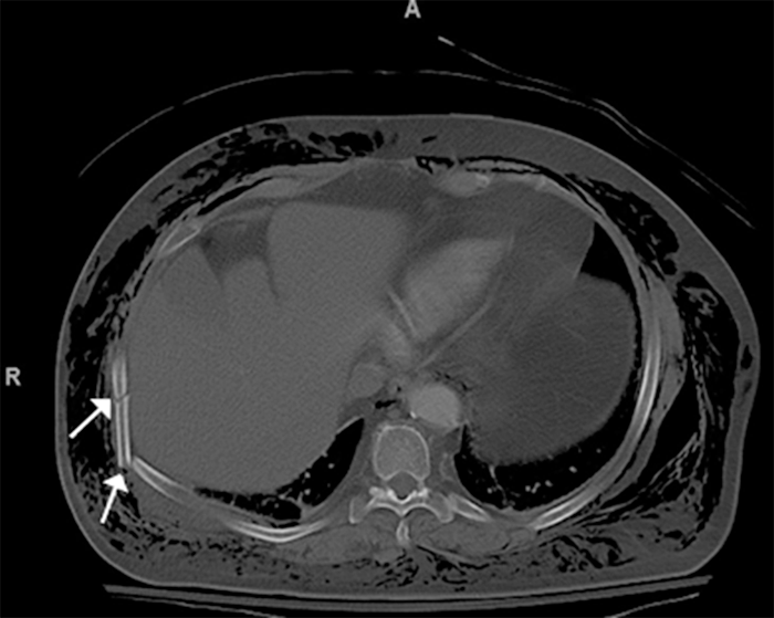
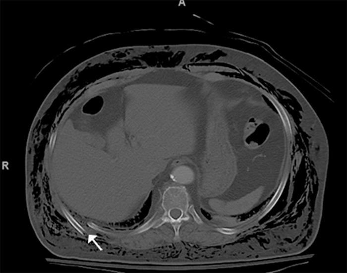
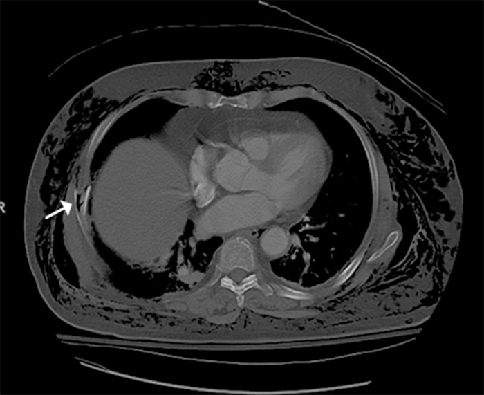
On arrival at our hospital, the patient had severe subcutaneous emphysema. She was hemodynamically normal, saturating 95% on a 3 L nasal cannula. Her imaging revealed comminuted and displaced fractures of right-sided ribs 7 through 9 (Figures 1, 2, and 3).

Figure 1. Comminuted Right Lateral Seventh Rib Fracture (white arrow). Published with Permission

Figure 2. Comminuted Right Posterior and Lateral 8th Rib Fracture (white arrow). Published with Permission

Figure 3. Comminuted Right Posterior 9th Rib Fracture (white arrow). Published with Permission

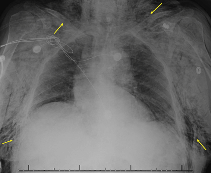
No significant pneumothorax was noted, but she had a large amount of subcutaneous emphysema (Figure 4). She also developed lateral herniation of the right lower lobe through the seventh and eighth rib space (Figure 5).

Figure 4. CXR Shows Extensive Subcutaneous Emphysema and Pneumoperitoneum. Published with Permission

Figure 5. Lateral Lung Herniation of Right Lower Lobe, at Level of Eighth Rib Fracture. Published with Permission

To improve her respiratory status and prevent future complications with chest wall stability, we recommended operative intervention through rib plating.

The patient was taken to the operating room. She had an obvious area of contusion and deformity over ribs 7, 8, and 9 (Figure 6). We proceeded to make a small anterolateral thoracotomy incision over that area. The lung reduced back into the pleural cavity on our initial assessment. For rib fixation (Figure 7), we used 20-hole plates. A 32 French chest tube was placed under direct vision into the pleural cavity. Finally, we used several #1 Vicryl sutures to approximate the defect between ribs 7 and 8 to avoid future lung herniation.

Figure 6. CT 3-D Reconstruction of Chest Wall Deformity. Published with Permission

Figure 7. Rib Fixation. Published with Permission

The patient tolerated the procedure well. She was extubated on postoperative day 2. The patient continued to progress well with no complications during her convalescence. She was discharged postoperative day 10.

Discussion

Lung herniation was first described in the 16th century, with approximately 300 cases reported.1 In 1845, Morel-Lavallée first classified lung hernias according to anatomic location and etiology.2 The location is historically described as cervical, intercostal, and diaphragmatic. Two-thirds are intercostal, one-third are cervical, and diaphragmatic hernias are extremely rare. In reviewing the literature, 20% are congenital, 80% are acquired, of which the majority are traumatic. Patients at risk of developing lung herniation have increased intra-thoracic pressures, such as patients with COPD and obesity. Tissue weakness and poor wound healing, as seen in diabetic, immunocompromised, and malnourished patients, also contribute to increased risk.36

The likely pathophysiology of traumatic lung herniation occurs from blunt trauma, leading to multiple rib fractures and a flail segment. The flail segment creates a chest wall deformity allowing the lung to herniate through the defect.1

The presentation may be asymptomatic, or patients may present with symptoms of respiratory distress or pain with infarction of lung tissue. Smaller defects are at higher risks of incarceration. Diagnosis of traumatic hernias begins with the primary survey, following the principles of advanced trauma life support (ATLS). A history of chest trauma warrants chest radiography, with lateral and posteroanterior (PA) views.7 It will typically show subcutaneous emphysema and possibly a pneumothorax. The use of ultrasound to diagnose traumatic lung hernia with an extended focused assessment with sonography (eFAST) has been described by Marlow and coauthors.8 Computed tomography (CT) imaging is the diagnostic tool of choice, as it also allows surgical planning with 3D reconstruction.

For management, both operative and conservative management have been described. Most authors are proponents of surgical repair. Gore-Tex mesh, Prolene mesh, spinal fixation instruments, rib plates, and biologic implants have been used in chest defect repairs.9 The principles of surgical repair are: (1) to assess the viability of the herniated lung and reduction into the thoracic cavity, (2) approximating the ribs, and (3) stabilization of the chest wall.10

Repairing rib fractures with rib fixation allows for stabilization of the chest wall and helps the patient regain mobility.11 Indications for rib fixation are: (1) five or more ribs fractures with a flail requiring mechanical ventilation, (2) symptomatic non-union, and (3) severe displacement found during thoracotomy for another reason.12 You may consider fixation with more than three rib fractures with flail not requiring mechanical ventilation, severely displaced ribs, or chest deformity.1216

Postoperative complications with rib fixation are related to underlying lung injury. Peek et al. conducted a systematic review of complications and outcomes after rib fixation. The overall risk of surgery and implant-related complications was 10%, wound infection 2%, fracture-related infection 1.3%, pulmonary complications 30.9%, and overall mortality was <3%.17

Conclusion

Lung herniation is rarely life-threatening but may lead to complications and morbidities. The decision for operative intervention should be considered in those patients with higher risks of respiratory failure and long-term mechanical ventilation. Specifically, older patients with significant chest trauma may benefit from early lung reduction and rib stabilization. In this case report, operative intervention resulted in improved respiratory function, pain control, and mobility.

Lessons Learned

Lung herniation is rarely life-threatening but may lead to significant morbidity. Operative intervention should be considered in those patients with higher risks of respiratory failure and long-term mechanical ventilation. Older patients with significant chest trauma may benefit from early lung reduction and rib stabilization.

References

  1. Lo D, Shapiro ML. Extrathoracic lung herniation from blunt trauma: a review. J. Surg. Radiol. 2010;1(1):20–31. doi:10.5299/jsurgrad.0101.a01.
  2. Morel-Lavellee A. Hernies du poumon. Bull Soc chir de Par. 1847;23(2): 75-81.
  3. Wani AS, Kalamkar P, Alhassan S, Farrell MJ. Spontaneous intercostal lung herniation complicated by rib fractures: a therapeutic dilemma. Oxf Med Case Reports. 2015;2015(12):378-381. Published 2015 Dec 22. doi:10.1093/omcr/omv069
  4. Temes RT, Talbot WA, Green DP, Wernly JA. Herniation of the lung after video-assisted thoracic surgery. Ann Thorac Surg. 2001;72(2):606-607. doi:10.1016/s0003-4975(00)02531-5
  5. Su F, Zoole JB, Thompson RW, Meyers BF, Kuo E. Lung herniation after supraclavicular thoracic outlet decompression. Ann Thorac Surg. 2012;93(5):1720-1722. doi:10.1016/j.athoracsur.2011.08.059
  6. Allen GS, Fischer RP. Traumatic lung herniation. Ann Thorac Surg. 1997;63(5):1455-1456. doi:10.1016/s0003-4975(97)00109-4
  7. Davare DL, Kiffin C, Sanchez R, Lee SK, Carrillo EH, Rosenthal AA. Traumatic Lung Herniation following Skateboard Fall. Case Rep Med. 2016;2016:9473906. doi:10.1155/2016/9473906
  8. Marlow S, Campbell T, Davis A, Patel HR. Emergency ultrasound in the diagnosis of traumatic extrathoracic lung herniation. Am J Emerg Med. 2013;31(3):633.e1-633.e6332. doi:10.1016/j.ajem.2012.09.030
  9. Akkas Y, Peri NG, Kocer B, Kaplan T. Repair of lung herniation with titanium prosthetic ribs and Prolene mesh. Asian Cardiovasc Thorac Ann. 2016;24(3):280-282. doi:10.1177/0218492315619509
  10. Bikhchandani J, Balters MW, Sugimoto JT. Conservative management of traumatic lung hernia. Ann Thorac Surg. 2012;93(3):992-994. doi:10.1016/j.athoracsur.2011.08.023
  11. Lozano-Corona R, Loyola-Garcia U, Partida IC, Rodriguez-Ortega F. Successful treatment of flail chest with chondrosternal disruption and traumatic parasternal lung hernia with titanium rib bridges. BMJ Case Rep. 2013;2013:bcr2013008887. Published 2013 Apr 22. doi:10.1136/bcr-2013-008887
  12. de Moya M, Nirula R, Biffl W. Rib fixation: Who, What, When?. Trauma Surg Acute Care Open. 2017;2(1):e000059. Published 2017 Apr 27. doi:10.1136/tsaco-2016-000059
  13. Mirza A, Gogna R, Kumaran M, Malik M, Martin-Ucar A. The surgical management of intercostal lung herniation using bioprosthesis. J Surg Case Rep. 2011;2011(2):6. Published 2011 Feb 1. doi:10.1093/jscr/2011.2.6
  14. Haro A, Komiya K, Taguchi Y, et al. A rare case of an intercostal lung herniation with fractures of the fifth and sixth ribs after thoracic surgery. Int J Surg Case Rep. 2017;41:473-476. Published 2017 Nov 21. doi:10.1016/j.ijscr.2017.11.028
  15. Luthra S, Dhaliwal RS, Singh H. Traumatic sternocostal lung hernia. Surgical Practice. 2008;12(1):20-22. doi:10.1111/j.1744-1633.2007.00386.x.
  16. Kara HV, Javidfar J, D'Amico TA. Spontaneous herniation of the lung and diaphragm treated with surgical repair. Ann Thorac Surg. 2015;99(5):1821-1823. doi:10.1016/j.athoracsur.2014.06.105
  17. Peek J, Beks RB, Hietbrink F, et al. Complications and outcome after rib fracture fixation: A systematic review. J Trauma Acute Care Surg. 2020;89(2):411-418. doi:10.1097/TA.0000000000002716

Authors

Moon SLa; Davare Db; Rosenthal Ab; Kiffin Cb

Author Affiliations

  1. Department of General Surgery, Cleveland Clinic Florida, Weston, FL 33331
  2. Division of Acute Care Surgery and Trauma, Memorial Regional Hospital, Hollywood, FL 33021

Corresponding Author

Savannah Moon, DO
Cleveland Clinic Florida
2950 Cleveland Clinic Boulevard
Weston, FL 33331
Email: moons2@ccf.org

Disclosure Statement

The authors have no conflicts of interest to disclose.

Funding/Support

The authors have no relevant financial relationships or in-kind support to disclose.

Meeting Presentation

South Florida Chapter 2018 Annual Meeting, Fort Lauderdale, FL, April 2018

Received: November 1, 2020
Revision received: November 30, 2020
Accepted: December 7, 2020