Unsupported Browser
The American College of Surgeons website is not compatible with Internet Explorer 11, IE 11. For the best experience please update your browser.
Menu
Become a member and receive career-enhancing benefits

Our top priority is providing value to members. Your Member Services team is here to ensure you maximize your ACS member benefits, participate in College activities, and engage with your ACS colleagues. It's all here.

Become a Member
Become a member and receive career-enhancing benefits

Our top priority is providing value to members. Your Member Services team is here to ensure you maximize your ACS member benefits, participate in College activities, and engage with your ACS colleagues. It's all here.

Become a Member
ACS
ACS Case Reviews

Traumatic Breast Hematoma Resulting in Class III Hemorrhagic Shock

July 8, 2024

Abstract

Background

A 50-year-old woman presented with class III hemorrhagic shock following isolated blunt chest trauma involving the breast.

Summary

A 50-year-old obese woman with Factor V Leiden deficiency on rivaroxaban sustained a left chest wall hematoma following a motor vehicle accident as a restrained passenger. She developed a left chest wall hematoma with progressive pain and enlargement. Computer tomography angiogram (CTA) chest revealed active arterial extravasation. Due to her tachycardia and concern for skin compromise from a tense hematoma at risk of skin necrosis, she underwent emergent surgery for hematoma evacuation and hemorrhage control. Despite achieving initial hemostasis with a compression dressing, anticoagulation reversal with 4F-PCC and blood transfusion, she continued to bleed into the cavity, progressing to class III hemorrhagic shock. This necessitated ICU admission and two additional hematoma evacuations for bleeding control.

Conclusion

Major hemorrhage in trauma patients is typically associated with well-established areas like the chest, abdomen, long bones, pelvis, retroperitoneum, and external sites. This study proposes that breast tissue should also be recognized as a potential source of significant bleeding in trauma.

Key Words

traumatic breast hematoma; hemorrhagic shock; Factor V Leiden deficiency; Morel-Lavallée lesion


Case Description

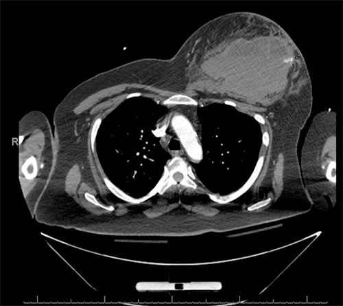
A 50-year-old female with a history of obesity (BMI 43.7) and Factor V Leiden deficiency with prior pulmonary emboli presented following a low-speed motor vehicle collision as a restrained passenger. She developed a large left breast hematoma confirmed by imaging (Figure 1). CTA revealed a 10 × 12 cm hematoma with active bleeding from an arterial branch along the anterolateral chest wall (Figure 2). The bleeding source was suspected to be either the lateral thoracic artery or the pectoral branch of the thoracoacromial artery. Notably, she was on rivaroxaban, a blood thinner, with the last dose taken approximately 18 hours before presentation.

Figure 1. Left Breast Hematoma Demonstrating Progressive Enlargement. Published with Permission

Figure 2. Left Breast Hematoma Measuring 10 × 12 cm. Published with Permission

Active arterial extravasation from a branch coursing along the anterolateral chest wall
Active arterial extravasation from a branch coursing along the anterolateral chest wall

Due to unremitting pain, threatened skin breakdown, and persistent tachycardia (150 beats/minute), interventional radiology deemed embolization unsuitable. Surgical intervention became necessary for hematoma evacuation and hemorrhage control. Given the patient’s history of recurrent blood clots, rivaroxaban reversal was contraindicated. A periareolar incision yielded one liter of blood and clot, with hemostasis achieved using a combination of cautery, sutures, metal clips, and hemostatic dressing. However, actively bleeding arterial branches within the pectoralis major muscle near its superolateral border necessitated further exploration.

Despite initial closure and compression bra application, postoperative bleeding led to hypotension and required transfusion of two units of packed red blood cells. Refractory hemorrhage necessitated 4F-PCC for rivaroxaban reversal.1 A second surgery followed shortly after, removing an additional 500 cc of clot. A wound protector facilitated visualization of deep breast tissues and chest wall (Figure 3). No further active bleeding was observed, and the hematoma cavity was left open with tight packing before surgical ICU admission for continued resuscitation.

Figure 3. Chest Wall Hematoma Exposed with Wound Protector for Optimal Visualization. Published with Permission

The patient experienced persistent postoperative bleeding despite continuous administration of blood products. Over 16 hours, she received six units of packed red blood cells (PRBCs), three units of fresh frozen plasma (FFP), one dose of cryoprecipitate, and one platelet transfusion. Rotational thromboelastometry (ROTEM) revealed a mildly prolonged clotting time (EXTEM-CT: 76 seconds, normal range: 26-68 seconds). Given ongoing blood loss, she underwent a third surgical evacuation of the hematoma, removing an additional 500 cc of clot and packing the cavity with Surgicel™ gauze. During surgery, she received another unit of PRBC, two doses of cryoprecipitate, and one unit of platelets. Following this intervention, her hemoglobin stabilized, facilitating definitive wound closure the next day. After a two-day period of hemodynamic stability, she was bridged from intravenous heparin to oral rivaroxaban for long-term anticoagulation prior to discharge. In total, she received nine units of PRBCs, three units of FFP, a combined total of 33 units of cryoprecipitate, and 14 units of platelets.

Discussion

This case highlights the challenges of managing hemorrhagic shock following blunt chest trauma, particularly when the source is a breast hematoma. While conservative management with compression and observation is typical for soft tissue hematomas, allowing for spontaneous bleeding tamponade, a more aggressive approach may be necessary. In situations with life-threatening hemorrhage or threatened overlying skin necrosis, intervention is warranted. Two options exist:

  • Angiographic embolization: This minimally invasive technique can effectively control bleeding. However, its limitations include potential lack of availability at some institutions and the inability to address ongoing pressure on the skin from the hematoma itself.2
  • Operative evacuation and bleeding control: This surgical approach is particularly indicated when overlying skin viability is compromised, as seen in our case.3

Despite achieving initial hemostasis during surgery, the patient developed ongoing postoperative bleeding. This is likely attributed to the extensive raw surface created by the traumatic shearing forces of the chest wall injury. The degloving injury, consistent with a Morel-Lavallée lesion, resulted in a large potential space due to the separation of breast skin and subcutaneous tissue from the underlying pectoralis fascia.4

Rivaroxaban use further complicated the situation. While reversal was considered, several factors influenced the decision against it. Firstly, she was nearly 18 hours past her last dose, exceeding the drug’s half-life (5-9 hours).5 Secondly, her medical history of Factor V Leiden deficiency with prior pulmonary emboli necessitated bleeding control without compromising clot formation. Finally, our institution lacks specific reversal agents for rivaroxaban and routinely uses 4F-PCC for reversing direct Xa antagonists.

Despite two surgical interventions and negative CTA findings, persistent bleeding persisted, as evidenced by a slightly prolonged EXTEM-CT on ROTEM (76 seconds). Neither the second nor third operative exploration identified a clear bleeding source. This case highlights the potential challenges of managing patients receiving direct Xa inhibitors—packing large hematoma cavities with hemostatic gauze followed by planned re-exploration in the operating room before definitive closure. This strategy could allow for control of ongoing active extravasation while minimizing surgical exposure and potential complications.

Conclusion

This case emphasizes the potential for large-volume hemorrhage within the breast compartment in trauma patients, particularly when taking direct Xa inhibitors. To address this risk, we suggest using hemostatic gauze to pack large hematoma cavities in the breast. Additionally, for patients on direct Xa inhibitors, we recommend scheduling a second evaluation in the operating room prior to definitive wound closure.

Lessons Learned

Large-breasted/obese female trauma patients raise significant hemorrhage concerns. The rich vascular network within breasts can cause life-threatening bleeding if disrupted.

Authors

Spencer SB; Gupta S

Author Affiliation

Department of General Surgery, Lahey Hospital and Medical Center, Burlington, MA 01805

Corresponding Author

Shannon B. Spencer, MD
Department of General Surgery
41 Mall Road
Burlington, MA 01805
Email: shannon.b.spencer@lahey.org

Disclosure Statement

The authors have no conflicts of interest to disclose.

Funding/Support

The authors have no relevant financial relationships or in-kind support to disclose.

Received: September 25, 2021
Revision received: February 1, 2022
Accepted: February 7, 2022

References

  1. Baumann Kreuziger LM, Keenan JC, Morton CT, Dries DJ. Management of the bleeding patient receiving new oral anticoagulants: a role for prothrombin complex concentrates. Biomed Res Int. 2014;2014:583794. doi:10.1155/2014/583794
  2. Madden B, Phadtare M, Ayoub Z, Chebl RB. Hemorrhagic shock from breast blunt trauma. Int J Emerg Med. 2015;8(1):83. doi:10.1186/s12245-015-0083-2
  3. Amin M, Jerome JP, Aguìñiga-Navarrete P, Castro LC. Massive Right Breast Hematoma. Clin Pract Cases Emerg Med. 2018;2(4):357-358. Published 2018 Sep 5. doi:10.5811/cpcem.2018.8.39493
  4. Molina BJ, Ghazoul EN, Janis JE. Practical Review of the Comprehensive Management of Morel-Lavallée Lesions. Plast Reconstr Surg Glob Open. 2021;9(10):e3850. Published 2021 Oct 7. doi:10.1097/GOX.0000000000003850
  5. Mueck W, Stampfuss J, Kubitza D, Becka M. Clinical pharmacokinetic and pharmacodynamic profile of rivaroxaban. Clin Pharmacokinet. 2014;53(1):1-16. doi:10.1007/s40262-013-0100-7