Unsupported Browser
The American College of Surgeons website is not compatible with Internet Explorer 11, IE 11. For the best experience please update your browser.
Menu
Become a member and receive career-enhancing benefits

Our top priority is providing value to members. Your Member Services team is here to ensure you maximize your ACS member benefits, participate in College activities, and engage with your ACS colleagues. It's all here.

Become a Member
Become a member and receive career-enhancing benefits

Our top priority is providing value to members. Your Member Services team is here to ensure you maximize your ACS member benefits, participate in College activities, and engage with your ACS colleagues. It's all here.

Become a Member
ACS
Case Reviews in Surgery

Juvenile Dermatomyositis in Remission Complicates Appendicitis: A Case of Intraabdominal Appendiceal Abscess Tracking to the Foot

Juvenile Dermatomyositis in Remission Complicates Appendicitis: A Case of Intraabdominal Appendiceal Abscess Tracking to the Foot

March 6, 2020

Abstract

Background

A child with a history of Juvenile dermatomyositis (JDM), quiescent for seven years on no medications, presented with severe right lower extremity and pelvic pain.

Summary

A 16-year-old female child was admitted to the children's hospital with intractable right lower quadrant pain. Blood serum laboratory values indicated myositis. Imaging demonstrated diffuse muscle and soft tissue inflammation with multi-loculated abscesses tracking down the ileo-femoral artery distribution in the pelvis, right thigh and calf requiring extensive debridement and drainage to control sepsis. This is the first reported case of a ruptured appendix with multiple pelvic and right lower extremity abscesses tracking down the femoral canal to the foot.

Conclusion

Complications from JDM remain life threatening years after clinical remission is achieved. Urgent imaging and aggressive surgical drainage should be undertaken to resolve sepsis.

Key Words

juvenile dermatomyositis JDM, appendicitis, abscess, leg, inflammatory myopathy


Case Description

Juvenile dermatomyositis (JDM) is an autoimmune disease manifested by skin lesions and proximal muscle weakness. Diagnosis is made by clinical presentation, muscle biopsy demonstrating inflammatory infiltrate, perifascicular atrophy and connective tissue fibrosis, and blood studies showing elevated muscle enzymes and inflammatory markers. Initial therapy is systemic steroids, with additional options including intravenous gamma globulin and methotrexate to achieve remission.1,2,3 Once remission is achieved, sequelae from the muscle and soft tissue inflammation may result in residual fatty replacement and atrophy of the muscle and connective tissue fibrosis.4

A 16-year-old female was admitted to our children's hospital for intractable right lower extremity pain, edema, fever, elevated white blood count, and elevated serum creatinine kinase. The patient reported a 2-week history of pain that began in the mid abdomen and migrated to the lower extremity. Bedside ultrasound was remarkable for diffuse thigh cellulitis and fluid collections. Emergent magnetic resonance imaging (MRI) was performed demonstrating multi-loculated thigh abscesses, with profound muscle and soft tissue inflammatory changes extending from the femoral canal to the knee (Figure 1A, 1B). In the operating room, a 27-cm medial thigh incision drained 400 cc of foul-smelling purulent drainage from a collection extending from the anterior hip capsule to the knee. Gram stains and culture indicated Escherichia coli (E. coli). There was significant tissue and fascial inflammation with necrosis of the sartorius, pectineus, and adductor magnus, longus, and brevis muscles, necessitating extensive debridement. Following irrigation and debridement, a vacuum assisted wound closure device was placed over the medial thigh. Calf swelling noted during surgery, prompted MRI of the calf demonstrating inflammation and fluid. (Figure 1C, 1D). On hospital day 2, surgery for additional washout yielded additional foul-smelling necrotic tissue from the thigh, necessitating a 37-cm right lateral thigh incision with irrigation and debridement. Lower leg fasciotomy with a 17-cm right lateral incision and a 15-cm medial leg incision exposed all four compartments, with additional purulent drainage. Medial and lateral vacuum assisted wound closure devices were placed on the thigh and leg. Following washout, abdominal and pelvic computed tomography (CT) was obtained to evaluate the abdomen and pelvis. CT showed a dilated appendix with appendicoliths and multiple pelvic abscesses from ruptured appendicitis (Figure 2). Interventional radiology placed a 10 French right lower quadrant drain, obtaining 20 cc of purulent drainage, likewise growing E. coli on culture. Her sepsis progressed, requiring inotropic support with epinephrine and norepinephrine. On day 3, patient was evaluated for appendectomy. She was considered too unstable for laparotomy, therefore, using an extraperitoneal approach, a 10-cm flank incision surgically drained a right iliopsoas abscess. Three separate extraperitoneal Penrose drains (1-inch) were then placed in the retrorenal area, through the femoral triangle, and in the subcutaneous tissue.

Figure 1. MRI imaging. Right thigh (A) axial and (B) sagittal STIR weighted images demonstrate multiloculated abscesses in the posterior thigh, inflammation of the adductor magnus, adductor longus, sartorius, gracilis, semimembranosus and vastus medialis. There is diffuse soft tissue edema. MRI of the right calf sagittal (C) upper calf and (D) lower calf STIR-weighted images demonstrate extensive subcutaneous and muscular edema. There is fluid within the crural fascia.
Figure 1. MRI imaging. Right thigh (A) axial and (B) sagittal STIR weighted images demonstrate multiloculated abscesses in the posterior thigh, inflammation of the adductor magnus, adductor longus, sartorius, gracilis, semimembranosus and vastus medialis. There is diffuse soft tissue edema. MRI of the right calf sagittal (C) upper calf and (D) lower calf STIR-weighted images demonstrate extensive subcutaneous and muscular edema. There is fluid within the crural fascia.

Figure 1. MRI imaging. Right thigh (A) axial and (B) sagittal STIR weighted images demonstrate multiloculated abscesses in the posterior thigh, inflammation of the adductor magnus, adductor longus, sartorius, gracilis, semimembranosus and vastus medialis. There is diffuse soft tissue edema. MRI of the right calf sagittal (C) upper calf and (D) lower calf STIR-weighted images demonstrate extensive subcutaneous and muscular edema. There is fluid within the crural fascia.

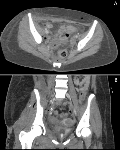
Figure 2. CT abdomen and pelvis with contrast. (A) Axial image demonstrates multiple abscesses (*), free fluid(x), inflammatory changes of the subcutaneous and intra abdominal fat and enlarged pelvic appendix (arrow). (B) Coronal image shows dilated appendix with appendicolith (arrow). Postoperative intramuscular air seen (>).
Figure 2. CT abdomen and pelvis with contrast. (A) Axial image demonstrates multiple abscesses (*), free fluid(x), inflammatory changes of the subcutaneous and intra abdominal fat and enlarged pelvic appendix (arrow). (B) Coronal image shows dilated appendix with appendicolith (arrow). Postoperative intramuscular air seen (>).

Figure 2. CT abdomen and pelvis with contrast. (A) Axial image demonstrates multiple abscesses (*), free fluid(x), inflammatory changes of the subcutaneous and intra abdominal fat and enlarged pelvic appendix (arrow). (B) Coronal image shows dilated appendix with appendicolith (arrow). Postoperative intramuscular air seen (>).

On hospital day 7, as sepsis resolved, the wounds were clean and exhibited granulation tissue. Washout and wound closure of the medial and lateral leg and partial closure of the lateral thigh was uncomplicated. Likewise, over the following 4 days, the remaining open wounds were sutured closed. No further surgical interventions were performed. On hospital day 28, she was transferred to the rehabilitation floor, then discharged on hospital day 47. The patient's hospital course is summarized in Table 1. An uncomplicated interval appendectomy was performed three months later. Findings at surgery included a long appendix with the midpoint adherent to the retroperitoneum.

Hospital Day

Procedure

New Findings

1

Hospital admission

MRI of the right thigh

Incision and drainage of medial thigh

Multiloculated thigh abscesses, profound muscle and soft tissue inflammatory changes extending to the knee

Tissue necrosis, significant fascial inflammation

Cultures positive for Escherichia Coli

2

MRI of right calf

Incision and drainage of: right lateral thigh, right lateral leg, medial leg and drainage of medial thigh

CT of abdomen/pelvis

Interventional Radiology placed 10 French drain for iliopsoas abscess

Intubation/ventilation initiated

Inflammation extending to distal leg, fluid in the crural fascia

Ruptured appendicitis with intra-abdominal abscess

Septic shock

3

Surgical drainage of iliopsoas abscess with insertion of 3 Penrose drains

4

Washout and drainage of thigh and leg incisions

5

Weaned off of sedation and pressor support

7

Closure of medial and lateral leg incisions

9

Closure of lateral thigh incision

11

Closure of medial thigh incision with placement of 2 right lower quadrant Penrose drains

28

Transfer to rehabilitation floor following wound care

47

Discharged with plan for interval appendectomy

Table 1. Timeline of Hospital Course

Discussion

Ruptured appendicitis with contamination of the ipsilateral lower extremity is recognized in cases of retrocecal appendix, primarily affecting older or immunocompromised patients (Table 2). The retrocecal appendix is in close proximity to the psoas, allowing infection from a ruptured appendix to track along tissue planes following the psoas muscle into the thigh as it inserts on the lesser trochanter of the femur.5 A thigh abscess resulting from rupture of a non-retrocecal appendix positioned in the right pelvis (Figure 2), as in this case, is unreported in the literature.6 Furthermore, ruptured appendiceal abscess tracking along the femoral vessel all the way to the foot is unreported.

Age

Abscess Location

Appendix Location

Complications

Treatment*

Survived

Edwards 198610

76

Psoas to thigh

Retrocecal

Myositis, necrosis, sepsis

Surgical drainage

No

Dheer, 200111

57

Gluteal/abdominal wall to knee

Retrocecal

Myositis, subcutaneous emphysema, necrosis

Surgical drainage and debridement

Not reported

El-Masry 200212

Psoas to thigh

Retrocecal

Appendectomy Surgical drainage

Yes

Sharma 200513

6

Psoas to thigh

Retrocecal

Myositis, sepsis

Appendectomy Surgical drainage

Yes

Ushiyama 200514

83

Psoas to thigh

Retrocecal

Myositis, subcutaneous emphysema

Appendectomy Curettage

Yes

Hsieh 20065

56

Psoas to thigh

Retrocecal

Myositis, subcutaneous emphysema

Appendectomy Surgical drainage

Yes

Yildiz 200715

27

Inguinal ligament to groin

Retrocecal

Sepsis

Appendectomy Surgical drainage and debridement

Yes

Sookraj 200916

67

Psoas to thigh

Retrocecal

Necrosis

Appendectomy Curettage

Yes

Lal
201217

40

Gluteal to thigh

Retrocecal

Subcutaneous emphysema

Appendicecotomy
Surgical drainage
Ileotransverse colectomy

Yes

English 201218

56

Iliacus to thigh

Retrocecal

Necrosis

Surgical drainage and debridement
Interval appendectomy

Yes

Nanavati 201519

53

Gluteal/psoas to thigh

Retrocecal

Surgical drainage
Ileocolostomy

Yes

Naidoo 201620

50

Psoas to knee

Retrocecal

Necrosis, sepsis

Appendectomy
Surgical drainage and debridement

No

Van Hulsteijn 20176

73

Iliopsoas to thigh

Retrocecal

Myositis

Surgical drainage Ileoascendostomy

Yes

Case Report

16

Psoas to foot

Not retrocecal

Myositis, necrosis, sepsis

Surgical drainage and debridement
Interval appendectomy

Yes

Table 2. Cases of appendicitis resulting in lower extremity abscess

The only predisposing factor in the patient's medical history was dermatomyositis at age 5, treated with steroids and methotrexate. Of the three clinical courses described for JDM (chronic, polycyclic and monocyclic) this patient was categorized as monocyclic due to the successful treatment of JDM with no further recurrences.7 A prospective cohort study found the most common clinical course for JDM is chronic (60%) followed by monocyclic (37%) and least commonly polycyclic (3%).7 She had been in remission and off steroids for seven years. We suspect residual changes in muscle and fascia from the original JDM episode predisposed the patient to infection spread down the soft tissue planes to the foot. Connective tissue fibrosis also may have compromised the normal separation of compartments.8 In this case, MRI evidence of atrophy and fatty deposits may have been obscured by swelling and the fluid signal from edema. While the patient experienced unilateral leg weakness, muscle inflammation, and laboratory values consistent with active myositis, laboratory values did not confirm recurrence of juvenile dermatomyositis.

Conclusions

Although the most common pediatric inflammatory myopathy, JDM still remains rare and clinical implications of remission poorly understood.9 Clinicians must remain cognizant of potential life-threatening complications from JDM even when the disease has been clinically quiescent, and patients are not on steroid therapy.

Lessons Learned

Based on this case experience, we recommend comprehensive imaging to delineate the sites of infection to direct aggressive surgical drainage as necessary to resolve progressive sepsis. Earlier determination of the source of infection, including cultures positive for organisms directing an abdominal or rectal source, allows strategies for drainage to minimize progression.

Authors

Vanessa M Bazan, BS, BBA
University of Kentucky
Lexington, Kentucky

Clare Savage, MD
River City Imaging Associates, San Antonio, Texas

Maria-Gisela Mercado-Deane, MD
River City Imaging Associates, San Antonio, Texas

Joseph B. Zwischenberger, MD, FACS
University of Kentucky
Lexington, Kentucky

Correspondence Author

Vanessa M Bazan
University of Kentucky AB Chandler Hospital
800 Rose Street, MN 265A
Lexington, KY, 40536-0298
Tel: 210-317-5535
Email: vba234@uky.edu

Disclosure Statement

The authors have no conflicts of interest to disclose.

References

  1. Huber AM, Giannini EH, Bowyer SL, et al. Protocols for the Initial Treatment of Moderately Severe Juvenile Dermatomyositis: Results of a Children's Arthritis and Rheumatology Research Alliance Consensus Conference. Arthritis Care Res (Hoboken). 2010;62(2):219-225.
  2. Martin N, Li CK, Wedderburn LR. Juvenile dermatomyositis: new insights and new treatment strategies. Ther Adv Musculoskelet Dis. 2012;4(1):41-50.
  3. Wedderburn LR, Varsani H, Li CK, et al. International consensus on a proposed score system for muscle biopsy evaluation in patients with juvenile dermatomyositis: a tool for potential use in clinical trials. Arthritis Rheum. 2007;57(7):1192-1201.
  4. Rider LG, Lachenbruch PA, Monroe JB, et al. Damage extent and predictors in adult and juvenile dermatomyositis and polymyositis as determined with the myositis damage index. Arthritis Rheum. 2009;60(11):3425-3435.
  5. Hsieh CH, Wang YC, Yang HR, et al. Extensive retroperitoneal and right thigh abscess in a patient with ruptured retrocecal appendicitis: an extremely fulminant form of a common disease. World J Gastroenterol. 2006;12(3):496-499.
  6. van Hulsteijn LT, Mieog JS, Zwartbol MH, et al. Appendicitis presenting as cellulitis of the right leg. J Emerg Med. 2017;52(1):e1-e3.
  7. Stringer E, Singh-Grewal D, Feldman BM. Predicting the course of juvenile dermatomyositis: significance of early clinical and laboratory features. Arthritis Rheum. 2008;58(11):3585-3592.
  8. Corr DT, Gallant-Behm CL, Shrive NG, et al. Biomechanical behavior of scar tissue and uninjured skin in a procine model. Wound Repair Regen. 2009;17(2):250-259.
  9. Feldman BM, Rider LG, Reed AM, et al. Juvenile dermatomyositis and other idiopathic inflammatory myopathies of childhood. Lancet. 2008;371(9631):2201-2212.
  10. Edwards JD, Eckhauser FE. Retroperitoneal perforation of the appendix presenting as subcutaneous emphysema of the thigh. Dis Colon Rectum. 1986;29(7):456-458.
  11. Dheer AK, Carr B, Morrison P, et al. Appendicular abscess and a swollen knee. Lancet. 2001;358(9290):1366.
  12. El-Masry NS, Theodorou NA. Retroperitoneal perforation of the appendix presenting as right thigh abscess. Int Surg. 2002;87(2):61-64.
  13. Sharma SB, Gupta V, Sharma SC. Acute appendicitis presenting as thigh abscess in a child: a case report. Pediatr Surg Int. 2005;21(4):298-300.
  14. Ushiyama T, Nakajima R, Maeda T, et al. Perforated appendicitis causing thigh emphysema: a case report. J Orthop Surg. 2005;13(1):93-95.
  15. Yildiz M, Karakayali AS, Ozer S, et al. Acute appendicitis presenting with abdominal wall and right groin abscess: a case report. World J Gastroenterol. 2007;13(26):3631-3633.
  16. Sookraj KA, Bowne WB, Ghosh BC. Perforated appendicitis presenting as a thigh abscess. J Am Coll Surg. 2009;208(6):1142.
  17. Lal S, Gupta R, Gaharwar APS, et al. Thigh Abscess is an Unusual Presentation of the Perforation of Retroperitoneal Appendicitis. J Clin Diagn Res. 2012;6(3):457-459.
  18. English J, Theis JC. Thigh pain--an unusual presentation of ruptured appendicitis. N Z Med J. 2012;125(1364):102-106.
  19. Nanavati AJ, Nagral S, Borle N. Retroperitoneal perforation of the appendix presenting as a right thigh abscess. Case Rep Surg. 2015;2015:707191.
  20. Naidoo S, Du Toit R, Bhyat A. Perforated appendicitis presenting as a thigh abscess: a lethal combination. S Afr J Surg. 2016;54(3):43.