Unsupported Browser
The American College of Surgeons website is not compatible with Internet Explorer 11, IE 11. For the best experience please update your browser.
Menu
Become a member and receive career-enhancing benefits

Our top priority is providing value to members. Your Member Services team is here to ensure you maximize your ACS member benefits, participate in College activities, and engage with your ACS colleagues. It's all here.

Become a Member
Become a member and receive career-enhancing benefits

Our top priority is providing value to members. Your Member Services team is here to ensure you maximize your ACS member benefits, participate in College activities, and engage with your ACS colleagues. It's all here.

Become a Member
ACS
ACS Case Reviews

Perianal Squamous Cell Carcinoma: A Rare Presentation of Longstanding Pilonidal Disease

March 20, 2024

Abstract

Background

Pilonidal disease is a chronic inflammatory condition commonly seen by general and colorectal surgeons. Malignant transformation of pilonidal disease has rarely been reported and is poorly understood.

Summary

Our report focuses on a 60-year-old male who presented with a perianal mass in the context of untreated pilonidal disease. Clinical, radiographic, and histologic information was gathered from a patient diagnosed with squamous cell cancer associated with chronic pilonidal disease. Initial biopsy results indicated squamous cell carcinoma (SCC). The patient underwent wide local excision followed by rhomboid flap reconstruction. Subsequent pathology confirmed the SCC diagnosis with clear margins, and the patient fully recovered without residual symptoms.

Conclusion

Malignant transformation can occur in longstanding untreated pilonidal disease, although it is rare and often underreported. Surgical treatment typically involves combining techniques used for squamous cell carcinoma and pilonidal disease. This includes performing a wide local excision with at least 1 cm margins and removing pilonidal pits. In many cases, this also necessitates local flap reconstruction.

Key Words

pilonidal disease; squamous cell carcinoma; malignant degeneration


Case Description

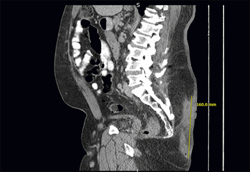
A 60-year-old male presented to an emergency department with symptoms of perianal pain and bleeding. He had a history of abscess drainage in his gluteal cleft over 20 years ago. Despite occasional discomfort and drainage since then, he did not seek medical attention. He works around 60 hours weekly as a truck driver and mainly sits during work. Over the past two weeks, he experienced increasing coccygeal pain with occasional bloody drainage. Upon examination, an 8 cm fungating mass was discovered in his gluteal cleft (Figure 1). A core biopsy confirmed well-differentiated squamous cell carcinoma. No regional lymphadenopathy was observed, and a screening CT scan of his chest, abdomen, and pelvis showed no distant metastatic disease (Figure 2).

Figure 1. Fungating Mass in Gluteal Cleft. Published with Permission

Figure 2. Saggital Image From Staging CT Scan. Published with Permission

Note large pilonidal mass with associated soft tissue inflammation measuring 16.0 × 4.5 × 4.0 cm. Inflammatory changes extend to the sacral fascia
Note large pilonidal mass with associated soft tissue inflammation measuring 16.0 × 4.5 × 4.0 cm. Inflammatory changes extend to the sacral fascia

With no metastatic disease, wide local excision of this mass was recommended. He was positioned prone jackknife. Excision and reconstruction were carefully planned and marked on the skin. The vertical extent of the mass was about 6 cm, with pitting pilonidal sinuses extending inferiorly. Therefore, a 13 × 8 cm diamond-shaped incision was made to remove the mass along with all pitting disease down to the gluteal and presacral fascia. The gluteal fascia was left for reconstruction, while the presacral fascia was taken with the specimen as a deep margin. The resultant significant soft tissue defect was reconstructed with an 8 × 8 cm rotational rhomboidal skin flap was used for reconstruction (Figure 3). Gluteal fascia was elevated off the underlying muscle and secured to the contralateral fascial edge for a deep layer of sutures. A drain was placed under the fascial closure.

Figure 3. A) Planned Wide Local Excision with Negative Margins and Rhomboid Flap, B) Excised Specimen with Negative Margins, C) Soft Tissue Defect, D) Rotation of Flap, and E) Closed Wound. Published with Permission

A.

B.

C.

D.

E.

The final pathology showed a 5.5 cm well-differentiated squamous cell carcinoma (SCC) with negative margins and a depth of invasion of 0.8 cm (pathologic T2Nx). Following surgery, the patient recovered smoothly. However, he developed superficial wound dehiscence at the apex of his rotational flap, which was managed with negative pressure therapy for about eight weeks. His wound healed completely without any signs of local recurrence (Figure 4).

Figure 4. Postoperative Image. Published with Permission

Healed rhomboid flap incision following wide local excision of squamous cell carcinoma and associated pilonidal disease
Healed rhomboid flap incision following wide local excision of squamous cell carcinoma and associated pilonidal disease

Discussion

Pilonidal disease occurs as an acute or chronic infection typically thought to occur from local trauma of skin and hair follicles, followed by trapping of hair particles. The natal cleft is the most commonly affected area, predisposed by warmth, moisture, friction, and surrounding hair. The presentation of sacrococcygeal pilonidal disease is variable, as some patients present with acute abscess formation and others with chronically draining single or multiple sinus tracts. The severity of pilonidal disease varies considerably, with some patients nearly asymptomatic and others presenting with complex and disabling sinus tracts.

This case represents a rare example of malignant transformation of chronic pilonidal disease. This has been described in prior case reports and small series;1 it has been suggested that carcinoma arises in as many as 0.1% of pilonidal sinus specimens. This would be consistent with the incidence of SCC in other chronic perianal inflammatory conditions, such as Crohn’s disease.2 In our case, the initial physical examination findings were suspicious for SCC. In other reports, carcinoma has been found incidentally in grossly benign-appearing surgical specimens3 or suspected in chronically nonhealing or recurrent wounds.4

Multiple mechanisms contribute to the development of carcinoma in the setting of chronic inflammation. Leukocytes and other phagocytic cells can induce DNA damage in proliferating cells and additionally release highly reactive oxygen and nitrogen compounds that can further promote genetic alterations.5 Over 90% of reported pilonidal-associated cancers have been SCCs, with basal cell, adenocarcinoma, and verrucous carcinomas occurring even more rarely.6,7

In our patient, the SCC that developed showed minimal local invasion. This contrasts with other pilonidal-associated squamous cancers in the literature, which have demonstrated the potential for local destructiveness, extension over complex fistula tracts, or metastasis.8 It is important to remain vigilant for such possibilities, with clinical and radiographic attention focused on inguinal, iliac, and pelvic nodes, as well as potential sites for distant spread in the abdomen and chest. Once distant and regional involvement has been ruled out, surgical excision should be considered the primary treatment approach, particularly in the form of wide local excision.

Data regarding treatment success is sparse, mostly comprised of case reports that report highly variable outcomes. One of the larger series combining institutional and literature reviews found that the recurrence rate of pilonidal-associated SCC was 39% and that 20% of patients died with evidence of recurrent disease. Patients with evidence of inguinal node metastases experienced only a seven-month median survival.6 Because of high local recurrence rates, adjuvant radiotherapy has been suggested in some cases, especially in patients with locally aggressive carcinomas spreading along fistulous tracts, which were not present in our patient.

Conclusion

Carcinoma associated with chronic pilonidal disease is a challenging clinical entity due to its rarity and variable behavior and aggressiveness. Surgical resection has been described as the primary treatment modality for those without metastatic disease. Adjuvant radiotherapy has been suggested for these patients, though consensus guidelines are not available at this time due to its rarity as a clinical entity.

Lessons Learned

Pilonidal surgical specimens should be examined closely for this entity. Patients with cancers that invade locally or spread along fistulous tracts should be monitored closely, as recurrence rates may be high.

Authors

Sommovilla J; Johnston WF

Author Affiliations

Department of Colon and Rectal Surgery, Ochsner Clinic Foundation, New Orleans, LA 70121

Corresponding Author

Joshua Sommovilla, MD
Cleveland Clinic
9500 Euclid Avenue
Cleveland, OH 44195
Email: jsommovilla@gmail.com

Disclosure Statement

The authors have no conflicts of interest to disclose.

Funding/Support

The authors have no relevant financial relationships or in-kind support to disclose.

Received: March 29, 2021
Accepted: July 4, 2021

References

  1. Michalopoulos N, Sapalidis K, Laskou S, Triantafyllou E, Raptou G, Kesisoglou I. Squamous cell carcinoma arising from chronic sacrococcygeal pilonidal disease: a case report. World J Surg Oncol. 2017;15(1):65. Published 2017 Mar 17. doi:10.1186/s12957-017-1129-0
  2. Shwaartz C, Munger JA, Deliz JR, et al. Fistula-Associated Anorectal Cancer in the Setting of Crohn's Disease. Dis Colon Rectum. 2016;59(12):1168-1173. doi:10.1097/DCR.0000000000000700
  3. Yuksel ME, Tamer F. All pilonidal sinus surgery specimens should be histopathologically evaluated in order to rule out malignancy. J Visc Surg. 2019;156(5):469-470. doi:10.1016/j.jviscsurg.2019.04.012
  4. Velitchklov N, Vezdarova M, Losanoff J, Kjossev K, Katrov E. A fatal case of carcinoma arising from a pilonidal sinus tract. Ulster Med J. 2001;70(1):61-63.
  5. Coussens LM, Werb Z. Inflammation and cancer. Nature. 2002;420(6917):860-867. doi:10.1038/nature01322
  6. de Bree E, Zoetmulder FA, Christodoulakis M, Aleman BM, Tsiftsis DD. Treatment of malignancy arising in pilonidal disease. Ann Surg Oncol. 2001;8(1):60-64. doi:10.1007/s10434-001-0011-y
  7. Mentes O, Akbulut M, Bagci M. Verrucous carcinoma (Buschke-Lowenstein) arising in a sacrococcygeal pilonidal sinus tract: report of a case. Langenbecks Arch Surg. 2008;393(1):111-114. doi:10.1007/s00423-007-0209-y
  8. Nunes LF, Castro Neto AK, Vasconcelos RA, et al. Carcinomatous degeneration of pilonidal cyst with sacrum destruction and invasion of the rectum. An Bras Dermatol. 2013;88(6 Suppl 1):59-62. doi:10.1590/abd1806-4841.20132140