Unsupported Browser
The American College of Surgeons website is not compatible with Internet Explorer 11, IE 11. For the best experience please update your browser.
Menu
Become a member and receive career-enhancing benefits

Our top priority is providing value to members. Your Member Services team is here to ensure you maximize your ACS member benefits, participate in College activities, and engage with your ACS colleagues. It's all here.

Become a Member
Become a member and receive career-enhancing benefits

Our top priority is providing value to members. Your Member Services team is here to ensure you maximize your ACS member benefits, participate in College activities, and engage with your ACS colleagues. It's all here.

Become a Member
ACS
ACS Case Reviews

Atrial Appendage Tissue as Autologous Vascular Conduit in Pediatric Cardiac Surgery

December 16, 2022

Abstract

Background

Artificial vascular grafts cannot grow and present a major limitation for pediatric patients in cardiovascular surgery. Atrial appendage tissue may serve as a valuable resource for constructing growing vascular conduits as an alternative to artificial vascular grafts in pediatric patients.

Summary

We present three pediatric patients with coronary ostial occlusion, Heterotaxy with single ventricle, and anomalous origin of left coronary artery from pulmonary artery who underwent corrective procedures requiring vascular extensions separately. Atrial appendage tissue was used as a short segment, autologous vascular extension alternative to artificial vascular grafts. There were no early or late postoperative mortalities and no major vascular complications.

Conclusion

Atrial appendage tissue may be valuable for constructing autologous vascular conduits in pediatric patients requiring growth-compatible constructs.

Key Words

atrial appendage; vascular graft; congenital heart disease

Abbreviations

atrial appendage tissue (AAT)
superior vena cava (SVC)
pulmonary artery (PA)
cardiopulmonary bypass (CPB)
left atrial appendage (LAA)
left ventricle (LV)
left main coronary artery (LCA)
right ventricle (RV)
aortic insufficiency (AI)
left anterior descending coronary artery (LAD)


Introduction

Cardiovascular surgical procedures often require the use of artificial vascular grafts that cannot grow, presenting a pressing concern for pediatric patients. The use of atrial appendage tissue (AAT) in vascular wall reconstruction or atrial extension is well documented; 1‒4 however, the use of AAT as a short segment, autologous vascular extension has yet to be described.

We present three separate cases using AAT as an alternative to artificial vascular grafts with lengths varying from 1 to 1.5 cm. The distal cone-shaped portion of one or both AAT was resected in each patient as an alternative to artificial grafts. This portion provided tubular AAT tissue with an open base and a closed apex while the remaining stump of the atrial appendage was sutured close. The apex of the tissue cone was transected to a comparable diameter to its vascular anastomoses and used as a short segment, autologous vascular conduit.

Case Description

Patient 1: AAT as bilateral Superior Vena Cava Extensions

A two-year-old female infant presented with progressive cyanosis for a bilateral bidirectional Glenn procedure. Her initial cardiac diagnosis was Heterotaxy with asplenia, single ventricle physiology, right-dominant unbalanced atrioventricular canal, bilateral superior vena cava (SVC), anomalous pulmonary venous return draining into ipsilateral SVCs, atrial septal defect, and major aortopulmonary collateral arteries. Initial unifocalization was performed with the placement of a 3.5 mm Blalock-Taussig shunt in the neonatal period.

Subsequently, the patient underwent a bilateral bidirectional Glenn procedure, takedown of the Blalock-Taussig shunt, and a left pulmonary artery (PA) patch arterioplasty on cardiopulmonary bypass (CPB). Due to the ipsilateral pulmonary venous connections, the SVCs had to be transected higher than usual, leaving a 1.5 cm distance between them and their respective unifocalized branch PAs. The heart was arrested, and a cone of the left atrial appendage (LAA) was harvested to bridge this gap. The top of the cone was transected a few millimeters from the apex to create an opening comparable in diameter to the left SVC. Trabeculations were transected, and the superior opening of the cone was anastomosed to the left SVC while the base was anastomosed to an incision on the left PA.

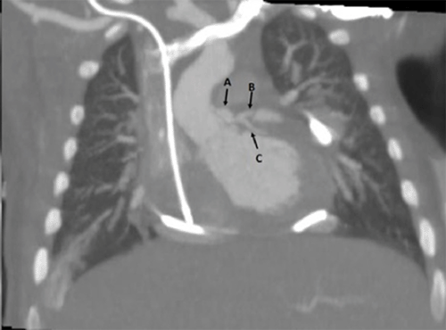
Similarly, a right AAT vascular extension of the right SVC enabled bilateral bidirectional Glenn anastomoses. CPB time was 211 minutes and cross-clamp time was 90 minutes. The postoperative course was notable for high central venous pressures between 15‒20 mmHg. Glenn pressures on six-month follow-up were 14 mmHg with no gradient across the bilateral SVC to AAT or AAT to PA anastomoses and a transpulmonary gradient of 8 mmHg. Follow-up at 44 months revealed polycythemia with baseline oxygen saturations ranging from 70 to 80 mmHg. Recent imaging (Figure 1) at 40 months since surgery revealed patent anastomoses with good interval growth and incorporation with the surrounding tissue. She is currently on bosentan, sildenafil, and aspirin for pulmonary hypertension therapy and undergoing evaluation for the Fontan procedure.

Figure 1: Postoperative Follow-Up at 40 Months. Published with Permission

*A: Right superior vena cava with atrial appendage tissue extension anastomosed to and *B: right pulmonary artery. *C: Left pulmonary artery is also visualized. B) *A: Left superior vena cava with atrial appendage tissue anastomosed to *B: left pulmonary artery.

Patient 2: AAT as Coronary Button Extension

A three-month-old female infant presented to the emergency department with shortness of breath and acute failure to thrive symptoms. An echocardiogram revealed severely depressed left ventricular (LV) function, mild mitral regurgitation, and anomalous origin of left main coronary artery (LCA) from PA. She was medically optimized and taken to surgery the following day.

The pulmonary root was examined via a distal transverse pulmonary arteriotomy on CPB with an arrested heart. The posterior left-facing sinus of the main PA had the ostium of the LCA. The LCA button was harvested with a tongue of the main-PA wall to reach the aorta. A cone of the LAA was resected and slit longitudinally to create a curved extension. This was sutured to the LCA button to create a vascular extension which was subsequently anastomosed to a posterolateral site on the ascending aorta above the sinotubular junction. Intraoperative postprocedure transesophageal echocardiogram showed severely decreased LV function, mild mitral regurgitation, normal right ventricle (RV) function, trace aortic valve insufficiency (AI), and no pulmonary insufficiency or RV outflow tract obstruction, with flow visualized down both coronary arteries. CPB time was 135 minutes and cross-clamp time was 97 minutes. At 31 months postoperatively, she was not on any medications. An echocardiogram revealed normal LV function, no mitral regurgitation, and antegrade flow in the left-anterior-descending coronary artery (LAD) and the left circumflex coronary artery.

Patient 3: AAT as Coronary Button Extension

A six-week-old female infant presented with significant respiratory distress followed by asystole requiring four minutes of CPR to re-establish circulation. Preoperative imaging led to the suspected presence of fenestrated tissue obstructing the LCA ostium in its aortic root presenting as severe AI at higher heart rates that subsided to mild AI at lower rates.

On CPB with an arrested heart, examination of the aortic root revealed a trileaflet aortic valve with dominant right and noncoronary leaflets and a diminutive left coronary leaflet, behind which was the LCA orifice in the corresponding diminutive aortic sinus of Valsalva (Figure 2). It was determined that the diminutive left coronary leaflet was likely causing obstruction of the LCA ostium at higher heart rates and becoming “stuck” to the aortic wall, resulting in severe AI from incomplete leaflet coaptation. After considering the Ross procedure, an alternative solution was pursued to translocate the LCA orifice higher on the ascending aorta. The LCA button was mobilized, similar to an arterial switch procedure. An LAA segment was harvested to create a vascular extension of the LCA button. The open base of the LAA segment was sutured in an end-to-end fashion to the rim of the LCA button (Figure 3). The distal aspect of the LAA extension was incised to create a tubular extension coming off the LCA button. Once augmented, the extended button was anastomosed to the posterolateral ascending aorta above the sinotubular junction. CPB time was 136 minutes and cross-clamp time was 105 minutes. Postoperative transesophageal echocardiogram showed good RV function, depressed LV function, trace AI, and antegrade flow in both the right coronary artery and the LCA. A pre-discharge computed tomography angiogram revealed LCA patency with no proximal stenosis at the LCA-AAT anastomotic site (Figure 4). At 12 months follow-up, she is on aspirin. An echocardiogram revealed normal LV and RV function with antegrade flow noted in the LCA.

Figure 2. Exposure of the Aortic Root. Published with Permission

A) Diminutive left coronary sinus of Valsalva with retracted left coronary leaflet; B) right coronary sinus of Valsalva and right coronary leaflet of aortic valve; and C) noncoronary sinus of Valsalva and noncoronary leaflet of aortic valve.

Figure 3. Atrial Appendage to Coronary Button Anastomosis. Published with Permission

A) Atrial appendage tissue is B) sutured to left coronary artery button before distal portion is transected to perform an end-to-side anastomosis to posterior portion of ascending aorta; C) aortic root.

Figure 4. Postoperative CT Imaging. Published with Permission

Proximal portion of A) atrial appendage tissue, extending main left coronary artery further dividing into B) left coronary circumflex artery and C) left anterior descending artery.

Discussion

Clinically used grafts consist of two standard polymers, polyester Dacron and Polytetrafluoroethylene; however, no ideal alternative to autologous grafts is currently available due to the two polymers retaining multiple limitations.5 Dacron grafts exhibit patency at ten years and modifications with compounds such as heparin and collagen have shown relatively higher patency rates than untreated Polytetrafluoroethylene; however, they are prone to dilation when implanted in the arterial circulation.5,6 Both polymers lack growth potential and exhibit compliance mismatch to their surrounding vasculature, generating flow disturbances and predisposing intimal hyperplasia and thrombus formation.5‒8 AAT is autologous tissue with growth potential and may exhibit lower compliance mismatch, therefore utilized here to construct short segment, autologous vascular conduits in pediatric patients.

Conclusion

AAT has been used in vascular wall reconstruction and as an extension of its natural attachment to the atria of the heart;1‒4 however, its use as a separate, autologous vascular extension has not been well documented. We present three separate cases using AAT as a vascular extension with growth compatibility. On follow-up imaging (Figure 1 and Figure 4), the AAT extension has demonstrated good incorporation with native tissue, appropriate growth, and no deleterious effects on cardiac function, rhythm, or coronary blood flow.

Lessons Learned

AAT can be used as an autologous vascular conduit for pediatric patients undergoing cardiovascular surgery. Autologous grafts have growth and development potential and may present a lower compliance-mismatch alternative to artificial vascular grafts, potentially leading to favorable hemodynamic profiles and a lower risk of vascular pathology.5‒8

References

  1. Warden HE, Gustafson RA, Tarnay TJ, Neal WA. An alternative method for repair of partial anomalous pulmonary venous connection to the superior vena cava. Ann Thorac Surg. 1984;38(6):601-605. doi:10.1016/s0003-4975(10)62317-x
  2. Raisky O, Ali WB, Bajolle F, et al. Common arterial trunk repair: with conduit or without?. Eur J Cardiothorac Surg. 2009;36(4):675-682. doi:10.1016/j.ejcts.2009.03.062
  3. Aeba R, Katogi T, Kashima I, et al. Left atrial appendage insertion for right ventricular outflow tract reconstruction. Ann Thorac Surg. 2001;71(2):501-506. doi:10.1016/s0003-4975(00)02037-3
  4. Barbero-Marcial M, Riso A, Atik E, Jatene A. A technique for correction of truncus arteriosus types I and II without extracardiac conduits. J Thorac Cardiovasc Surg. 1990;99(2):364-369.
  5. Xue L, Greisler HP. Biomaterials in the development and future of vascular grafts. J Vasc Surg. 2003;37(2):472-480. doi:10.1067/mva.2003.88
  6. Nunn DB, Carter MM, Donohue MT, Hudgins PC. Postoperative dilation of knitted Dacron aortic bifurcation graft. J Vasc Surg. 1990;12(3):291-297. doi:10.1067/mva.1990.22556
  7. Abbott WM, Megerman J, Hasson JE, L'Italien G, Warnock DF. Effect of compliance mismatch on vascular graft patency. J Vasc Surg. 1987;5(2):376-382.
  8. Stewart SF, Lyman DJ. Effects of a vascular graft/natural artery compliance mismatch on pulsatile flow. J Biomech. 1992;25(3):297-310. doi:10.1016/0021-9290(92)90027-x

Authors

Mathews Ra; Shen Ib; Muralidaran Ab

Author Affiliations

  1. Department of Biomedical Engineering, Oregon Health & Science University, Portland, OR 97239
  2. Department of Surgery, Division of Cardiothoracic Surgery, Oregon Health & Science University, Portland, OR 97239

Corresponding Author

Ashok Muralidaran, MD
Department of Surgery, Division of Cardiothoracic Surgery
Oregon Health & Science University
3181 SW Sam Jackson Park Road
Portland, OR 97239
Phone: 503-412-9585
Email: muralida@ohsu.edu

Disclosure Statement

The authors have no conflicts of interest to disclose.

Funding/Support

The authors have no relevant financial relationships or in-kind support to disclose.

Received: October 1, 2020
Revision received: October 30, 2020
Accepted: November 1, 2020