Unsupported Browser
The American College of Surgeons website is not compatible with Internet Explorer 11, IE 11. For the best experience please update your browser.
Menu
Become a member and receive career-enhancing benefits

Our top priority is providing value to members. Your Member Services team is here to ensure you maximize your ACS member benefits, participate in College activities, and engage with your ACS colleagues. It's all here.

Become a Member
Become a member and receive career-enhancing benefits

Our top priority is providing value to members. Your Member Services team is here to ensure you maximize your ACS member benefits, participate in College activities, and engage with your ACS colleagues. It's all here.

Become a Member
ACS
ACS Case Reviews

Cecal Bascule Following a Small Bowel Resection for Meckel’s Diverticulitis

March 8, 2023

Abstract

Background

An 86-year-old male patient presented with Meckel’s diverticulitis underwent small bowel resection and subsequently developed a cecal bascule during the same admission requiring a right hemicolectomy.

Summary

The patient is an 86-year-old male who presented to the emergency department with three days of persistent epigastric and periumbilical pain. He underwent a CT scan that showed a fecalized and focal blind-ending pouch arising from the distal ileum within the central abdomen with surrounding inflammatory stranding consistent with Meckel’s diverticulitis. He underwent an exploratory laparotomy with resection of the involved segment of the small bowel and immediate re-anastomosis. On post-op day two, he began to develop some abdominal distention that progressed. Imaging was obtained and revealed a dilated cecum up to eleven cm. The patient was taken back to the operating room for an exploratory laparotomy and was found to have a dilated cecum consistent with a cecal bascule and underwent a right hemicolectomy. The patient did well after surgery and was discharged to an acute rehab facility on hospital day 15.

Conclusion

Meckel’s diverticulitis uncommonly presents in the elderly. A cecal bascule is an even more uncommon clinical phenomenon. We present an extraordinarily rare case of a cecal bascule following an exploratory laparotomy and small bowel resection for Meckel’s diverticulitis that required a return to the operating room.

Key Words

Meckel’s diverticulitis; cecal bascule; cecal volvulus


Case Description

The patient is an 86-year-old male with a history of diastolic heart failure, diabetes mellitus, atrial fibrillation/flutter s/p cardioversion in the past, and coronary artery disease s/p three-vessel coronary artery bypass who presented to our emergency department with three days of persistent, cramping epigastric and periumbilical pain and no other notable symptoms. Vital signs on presentation were normal, but the patient was in atrial flutter. Labs obtained in the ED were notable for a white blood cell count of thirteen thousand. A CT of the abdomen and pelvis with IV contrast was performed and showed a fecalized and blind-ending pouch arising from the distal ileum within the central abdomen with surrounding inflammatory stranding that appeared consistent with an inflamed Meckel’s diverticulum.

The patient was admitted, made NPO, and started on broad-spectrum antibiotics. He was a high-risk candidate for surgery, but after being counseled on the risks of resecting the diverticulum, he consented. Given his stability, a pre-operative cardiac evaluation was done, including a myocardial perfusion study that was normal. He was taken to the operating room on hospital day 3. An upper midline incision was made, and the small bowel was run until the diverticulum was found in the distal ileum, partially involving the mesentery. A small bowel resection of the involved area was done with a stapled side-to-side anastomosis and sent to pathology frozen for an intraoperative analysis. They identified the specimen as a true diverticulum without evidence of malignancy. The final diagnosis was Meckel’s diverticulitis with ulceration. The abdominal fascia was closed with a suture, and the skin edges re-approximated with staples. The patient tolerated the surgery well and returned to the ward after recovering in the post-anesthesia recovery unit appropriately. He was started on a diet after surgery and other routine postoperative care.

On postoperative day 1, the patient had some abdominal distention but was passing some flatus and felt well overall. On postoperative day 2, he continued to have some distention, and radiographs were obtained for a suspected ileus in the afternoon. The X ray showed multiple dilated loops of the bowel with air-fluid levels, the largest a prominent cecum measuring eight cm in the right hemiabdomen. He was made NPO, and a nasogastric tube was placed for decompression. A follow-up X ray in the evening showed an increase in the dilation of the bowel, with the cecum now measuring eleven cm. On the morning of postoperative day 3, the patient’s distention had improved after the NG placement, but on physical exam, he had focal right-sided peritonitis. A CT of the abdomen and pelvis was obtained to evaluate the cause of the obstruction, and it showed a dilated cecum measuring 8 cm that was rotated anteromedially with a small amount of free fluid present anterior to the cecum. Multiple fluid-filled loops of the small bowel were present proximal to the surgical anastomosis with several air-fluid levels. The anastomosis appeared patent, and distal to it was decompressed loops of the bowel.

With these radiologic and physical exam findings, it was recommended that the patient undergo surgery; he was taken to the operating room that day. His previous midline incision was re-opened and extended. The cecum was easily identified and found to be rotated anteriorly over the ascending colon. The cecum was distended with signs of ischemia and several serosal tears but no gross spillage. A right hemicolectomy was performed next with a stapled ileocolic anastomosis. The small bowel was run from the ileocecal valve to the ligament of Treitz. The previous anastomosis was found approximately one hundred and 10 cm from the ileocecal valve and was intact. Of note, multiple other diverticula distal to the original area of resection did not appear inflamed. The patient’s abdominal fascia was re-closed, the skin edges were left open, and the wound packed. The patient tolerated the surgery well and returned to the ward. Postop, his ileus was managed with bowel rest and NG decompression. It gradually resolved, and he was restarted on a diet. He was discharged to an acute rehab facility on hospital day 15. The patient followed up in the clinic two weeks after discharge and was doing very well. He had no pain, was tolerating a regular diet, and had normal bowel function. Since then, a review of his medical chart has not identified any further issues.

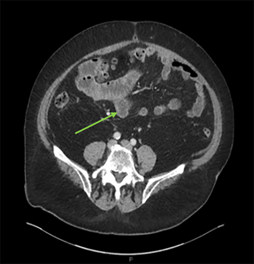
Figure 1. ED CT Showing Meckel’s diverticulum. Published With Permission

Figure 2. X Ray on POD2 Revealing Dilated Cecum Measuring 11 cm in Diameter. Published With Permission

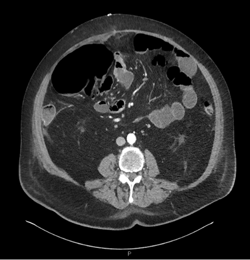
Figure 3. CT on POD3 With Dilated Cecum Measuring 11 cm in Diameter and Rotated Anteromedially. Published With Permission

Discussion

A Meckel’s diverticulum is the remnant of the failure of the omphalomesenteric duct to close during embryogenesis. It is the most common congenital abnormality of the gastrointestinal tract, thought to be present in 2% to 4% of the population.1 Most Meckel’s are asymptomatic, but those that become symptomatic classically present as gastrointestinal bleeding in childhood. Complications from a Meckel’s diverticulum in adulthood typically include obstruction, diverticulitis, and perforation. The prevalence of a symptomatic Meckel’s diverticulum in the elderly over the age of 65 is small and mainly limited to case reports or retrospective reviews. One record review of two university-affiliated hospitals over a seven-year period found seven patients over the age of 65 who presented with a symptomatic Meckel’s diverticulum with non-specific symptoms such as abdominal pain, nausea, vomiting, and lower gastrointestinal bleeding.2 All seven patients in this review eventually required surgery; however, a Meckel’s diverticulum was suspected in only two of the seven patients as the etiology of the symptoms before surgery. The CT findings in the emergency department put Meckel’s diverticulitis first on the differential in our patient before he was taken to the OR.

A cecal volvulus is an uncommon clinical entity that involves torsion of the cecum. Typically, the torsion is along the axis of the ascending colon. A case series of ten patients showed that 80% of cecal volvuli fall into this category.3 The other twenty percent typically involve an upward folding of the cecum versus axial twisting and is called a ‘bascule’. For a bascule to occur, there must be redundancy of the cecum or increased mobility to allow it to volvulize. This patient had his small bowel mobilized during his index exploratory laparotomy, which could have contributed to his bascule.4 Our patient had never had abdominal surgery prior to his small bowel resection, so he was unlikely to have adhesive disease and was positioned in the normal supine position for both surgeries. Other etiologies have been proposed as contributing factors, including congenital malrotation, intraoperative positioning, and previous abdominal surgery.

Multiple case reports of a cecal volvulus or bascule following laparoscopic ventral hernia repair, laparoscopic appendectomy, or laparoscopic cholecystectomy have been reported as well as instances of a Meckel’s diverticulum causing a volvulus from the cecum twisting around a vitelline band.5 There appear to be no previously reported cecal bascules occurring after small bowel resection in the literature, specifically a resection for Meckel’s diverticulitis.

Conclusion

We present the first case of a cecal bascule following an exploratory laparotomy and small bowel resection for Meckel’s diverticulitis. Although no guidelines apply to this patient’s case, a cecal bascule/volvulus should be on the differential for abdominal distention in a patient’s status post-open abdominal surgery.

Lessons Learned

Postoperative abdominal distention should always be closely monitored in patients who have undergone major abdominal surgery. After imaging identifies a dilated cecum consistent with a cecal volvulus/bascule, there should be no delay in taking a patient to the operating room to prevent ischemic bowel from occurring.

Authors

Kastl A; Krzyzaniak M; Tadlock M; Schutt R

Author Affiliations

Department of General Surgery, Naval Medical Center San Diego, San Diego, CA 92134

Corresponding Author

Alexander Kastl, DO
Department of General Surgery
Naval Medical Center San Diego
34800 Bob Wilson Drive
San Diego, CA 92134
Email: alexander.j.kastl.mil@mail.mil

Disclosure Statement

The authors have no conflicts of interest to disclose.

Funding/Support

The authors have no relevant financial relationships or in-kind support to disclose.

Received: July 16, 2020
Revision received: November 9, 2020
Accepted: November 24, 2020

References

  1. Sagar J, Kumar V, Shah DK. Meckel's diverticulum: a systematic review [published correction appears in J R Soc Med. 2007 Feb;100(2):69]. J R Soc Med. 2006;99(10):501-505. doi:10.1258/jrsm.99.10.501
  2. Feller AA, Movson J, Shah SA. Meckel diverticulum: a geriatric disease masquerading as common gastrointestinal tract disorders. Arch Intern Med. 2003;163(17):2093-2096. doi:10.1001/archinte.163.17.2093
  3. Delabrousse E, Sarliève P, Sailley N, Aubry S, Kastler BA. Cecal volvulus: CT findings and correlation with pathophysiology. Emerg Radiol. 2007;14(6):411-415. doi:10.1007/s10140-007-0647-4
  4. Ferguson L, Higgs Z, Brown S, McCarter D, McKay C. Intestinal volvulus following laparoscopic surgery: a literature review and case report. J Laparoendosc Adv Surg Tech A. 2008;18(3):405-410. doi:10.1089/lap.2007.0027
  5. Neidlinger NA, Madan AK, Wright MJ. Meckel's diverticulum causing cecal volvulus. Am Surg. 2001;67(1):41-43.