Unsupported Browser
The American College of Surgeons website is not compatible with Internet Explorer 11, IE 11. For the best experience please update your browser.
Menu
Become a member and receive career-enhancing benefits

Our top priority is providing value to members. Your Member Services team is here to ensure you maximize your ACS member benefits, participate in College activities, and engage with your ACS colleagues. It's all here.

Become a Member
Become a member and receive career-enhancing benefits

Our top priority is providing value to members. Your Member Services team is here to ensure you maximize your ACS member benefits, participate in College activities, and engage with your ACS colleagues. It's all here.

Become a Member
ACS
ACS Case Reviews

Traumatic Infiltration of Prostate Into Bladder after Motor Vehicle Collision

October 20, 2023

Abstract

Background

A 68-year-old male patient with blunt pelvic trauma suffered a prostatic avulsion.

Summary

Following a motor vehicle collision (MVC), a 68-year-old male was transferred to a Level I Trauma Center due to hemodynamic instability. Initial resuscitation was initiated, and primary/secondary surveys were completed with an appropriate response. CT imaging revealed multiple injuries, including a lateral compression type II pelvic fracture without active hemorrhage and prostate and intra/extraperitoneal bladder trauma. The placement of a foley catheter or a rigid wire by urology was not achievable, consistent with the complex urologic injury seen on CT, prompting operative intervention. In the operating room, the prostate was found to be avulsed associated with a large bladder base defect and deemed not reconstructible. The prostate with associated urethra and avulsed inferior bladder were excised, the bladder repaired in layers, and a suprapubic tube was placed. Prostate avulsion requiring excision is not described in the literature previously. General principles of trauma management, including balanced resuscitation and CT imaging upon stabilization, allowed for a multidisciplinary approach to care with early urology involvement, contributing to a favorable outcome for the patient.

Conclusion

Prostate avulsion is a rare complication of pelvic trauma, typically associated with injury to multiple organ systems. Early involvement of appropriate subspecialists ensures an ideal outcome.

Key Words

prostate injury; urethral injury; urologic trauma


Case Description

The patient is a 68-year-old male involved in an MVC with passenger-side T-bone impact and significant intrusion. The patient was transported to a regional emergency department, where he was initially alert and hemodynamically stable. During initial workup, he became hypotensive, requiring intubation, intravenous fluid and blood products administration for resuscitation, and tranexamic acid. Transfer to the Level I Trauma Center was then initiated.

Upon arrival, the patient had an initial blood pressure of 64/38 mm Hg and a heart rate of 142 beats per minute. Primary and secondary surveys were performed, and further resuscitation with massive transfusion protocol was initiated, with an appropriate hemodynamic response. A physical exam revealed an unstable pelvis and blood at the urethral meatus. Pelvic binding with a sheet was initiated. Chest X ray showed a left hemothorax, with subsequent tube thoracostomy returning 700 mL of blood. Pelvis X ray demonstrated multiple pelvic fractures. The focused assessment of sonography in trauma (FAST) exam was negative; however, it was noted that the bladder had a hyperechoic mass within its lumen.

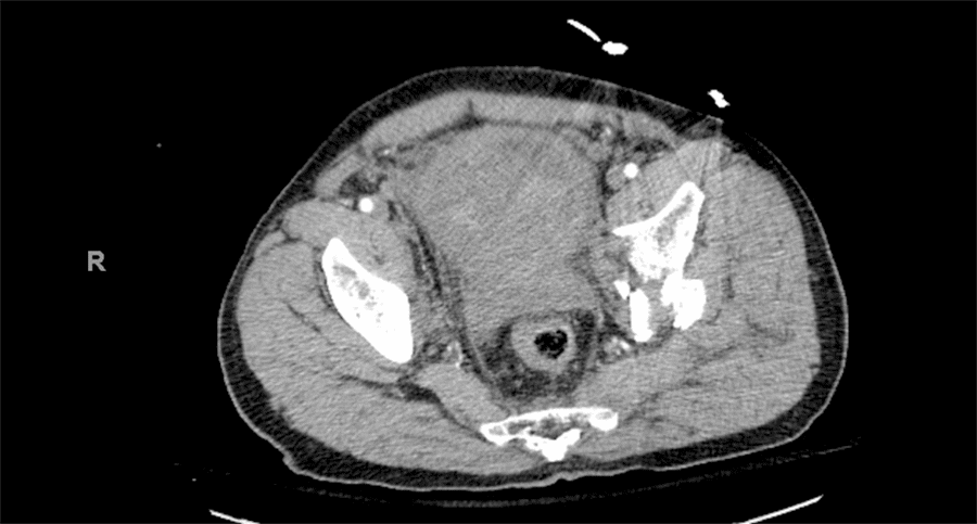
After initial resuscitation and subsequent stabilization, the patient was taken for a CT scan. Head and cervical spine imaging revealed no abnormalities. CT of the chest, abdomen, and pelvis revealed bilateral pneumothoraces, left 3-4 rib fractures, possible grade I splenic injury, lateral compression type 2 pelvic fracture with a left acetabular fracture, free intraabdominal fluid, and suggestion of intra/extraperitoneal bladder injury as well as a prostate injury with bony pelvic fragments protruding into the inferior bladder. There was a loss of delineation between the posterior aspect of the bladder and the prostate on CT imaging (Figure 1).

Figure 1. Cross-Sectional CT Imaging Demonstrating Loss of Delineation between Posterior Aspect of Bladder and Anterior Prostate. Published with Permission

Scattered heterogeneous debris noted within the urinary bladder
Scattered heterogeneous debris noted within the urinary bladder

Given the extent of injuries seen on CT and the need for emergent intervention to rule out a bowel injury, a retrograde urethrogram was not obtained. Urology made an unsuccessful attempt to pass a Foley catheter or rigid wire. It was determined that while the penile urethra was intact, the bulbar urethra was completely obliterated. Multidisciplinary discussion between trauma surgery, orthopedic surgery, and urology determined that the patient required surgical exploration to rule out bowel injury, further assess bladder and prostate damage, and possibly examine and externally fix the bony pelvis.

At laparotomy, there was a hemoperitoneum, zone 2 and zone 3 nonexpanding hematomas, and a grade I liver laceration in the sixth segment. Hemostasis of the liver was achieved with cautery. No bowel injury was noted, but a mesenteric tear in the ileum was repaired. A small serosal defect was noted on the anterior surface of the bladder. Upon entering the bladder, a large amount of hematuria was evacuated. A significant amount of prostatic tissue was protruding into the base of the bladder through a 6–8 cm defect. There was a complete distortion of anatomical planes below the defect, with profuse venous bleeding into the cavity where the prolapsed prostatic tissue was now located, making a simple prostatectomy impossible. The bladder neck could not be located despite multiple attempts with dilators and Glidewire. The injury was determined to lack immediate reconstructive options, given the inability to recannulate the urethra or preserve the prostate. Therefore, the intruding portion of the prostate, with the urethra and associated inferior bladder wall, was excised. The inferior bladder defect was then closed, followed by the placement of a 22 French, three-way suprapubic catheter. Both ureteral orifices were found to be uninvolved in the injury. The anterior bladder wall was then closed in two layers.

Given the extent of the bladder injury and necessary repair, orthopedic surgery elected to delay intervention. Damage control measures were initiated to allow for a second look at the bladder repair and to reassess some persistent oozing from the injured pelvis, which responded to packing. The abdomen was hemostatic the following day and was closed. On postoperative day 5 from his index operation, the patient underwent an open reduction and internal fixation of the left acetabulum fracture.

The postoperative course was complicated by an infected hematoma, requiring drain placement by interventional radiology. He also developed a paracolic abscess several weeks postop after rehabilitation discharge, requiring readmission, antibiotics, and another IR drain. The patient is currently recovering well with his suprapubic catheter in place. Urology has had discussions regarding reconstructive options; however, the patient is not interested in extensive surgery at this point.

Discussion

Although 3% of pelvic trauma cases involve the skeleton, skeletal trauma is responsible for 10% to 16% of mortality.1-3 Urogenital injuries are common sequelae of pelvic fractures. Pelvic fracture is present in 85% to 100% of bladder ruptures, with 60% to 85% of cases occurring from blunt trauma.4 Findings on physical exam of prostatic or urethral injury may be blood at the urethral meatus, high-riding prostate on rectal exam, or urinary retention. Standard management of intraperitoneal bladder injuries involves a two-layer closure with various reconstruction options if the ureters are involved. Extraperitoneal bladder injuries are typically managed with an indwelling catheter, although certain circumstances also require operative repair.5

Given the destructive nature of the injury, there are limited reconstruction options for this patient. Cystoscopy, RUG, and VCUG performed in follow-up reveal focal severe stricture of the prostatic urethra and contrast extravasation along the posterior aspect of the prosthetic urethra consistent with contained leak due to urethral injury. Given complete posterior urethral disruption, his options include chronic suprapubic catheter exchanges, the creation of a continent stomal diversion (Mitrofanoff) and attempted posterior urethral realignment. This last option requires the patient to understand the high risk of incontinence.

Although rare, there is a description in the literature of simultaneous neck of the bladder and urethral injury in the setting of pelvic fracture. Two case series have described avulsions of the urethra with bladder neck injuries with reconstructive options in both males and females.6-7 However, the severity of injury noted in this patient requiring prostatectomy is not previously described in the literature, as reconstructive or diversion options were not immediately available for this patient, given the extent of the damage.6 Management is also debated in the literature, given the high complication rates for stricture and incompetence.8 The care of this patient represents an alternative management strategy for destructive prostate/bladder neck trauma.

Conclusion

Prostate avulsion is a rare complication of pelvic trauma, typically associated with injury to multiple organ systems. Early involvement of appropriate subspecialists ensures an ideal outcome.

Lessons Learned

Complex pelvic fractures are associated with urologic injuries, which may be challenging to manage. Early multidisciplinary involvement of subspecialists allows for consideration of treatment options that may improve functional outcomes. Excision of avulsed prostate and urethra is an option for destructive prostatic/bladder neck injury.

Authors

Springer Ja; Brastauskas Ib; Lundy Mb; Painter MDb

Author Affiliations

  1. Wake Forest University School of Medicine, Winston-Salem, NC 27101
  2. Department of Surgery, Wake Forest School of Medicine, Winston-Salem, NC 27101

Corresponding Author

Matthew D. Painter, MD
Department of Trauma Surgery
Atrium Health Wake Forest Baptist
1 Medical Center Boulevard
Winston-Salem, NC 27157
Email: paintermd@alumni.vcu.edu

Disclosure Statement

The authors have no conflicts of interest to disclose.

Funding/Support

The authors have no relevant financial relationships or in-kind support to disclose.

Received: January 5, 2021
Revision received: February 14, 2021
Accepted: April 19, 2021

References

  1. Cullinane DC, Schiller HJ, Zielinski MD, et al. Eastern Association for the Surgery of Trauma practice management guidelines for hemorrhage in pelvic fracture--update and systematic review. J Trauma. 2011;71(6):1850-1868. doi:10.1097/TA.0b013e31823dca9a
  2. Coccolini F, Stahel PF, Montori G, et al. Pelvic trauma: WSES classification and guidelines. World J Emerg Surg. 2017;12:5. Published 2017 Jan 18. doi:10.1186/s13017-017-0117-6
  3. Arvieux C, Thony F, Broux C, et al. Current management of severe pelvic and perineal trauma. J Visc Surg. 2012;149(4):e227-e238. doi:10.1016/j.jviscsurg.2012.06.004
  4. Grotz MR, Allami MK, Harwood P, Pape HC, Krettek C, Giannoudis PV. Open pelvic fractures: epidemiology, current concepts of management and outcome
  5. Holevar M. Ebert J. Luchette F.et al. Practice Management Guidelines for the Management of Genitourinary Trauma. Chicago: Eastern Association for the Surgery of Trauma; 2004.
  6. Mundy AR, Andrich DE. Pelvic fracture-related injuries of the bladder neck and prostate: their nature, cause and management. BJU Int. 2010;105(9):1302-1308. doi:10.1111/j.1464-410X.2009.08970.x
  7. Black PC, Miller EA, Porter JR, Wessells H. Urethral and bladder neck injury associated with pelvic fracture in 25 female patients. J Urol. 2006;175(6):2140-2144. doi:10.1016/S0022-5347(06)00309-0
  8. Koraitim MM. Pelvic fracture urethral injuries: the unresolved controversy. J Urol. 1999;161(5):1433-1441.