Unsupported Browser
The American College of Surgeons website is not compatible with Internet Explorer 11, IE 11. For the best experience please update your browser.
Menu
Become a member and receive career-enhancing benefits

Our top priority is providing value to members. Your Member Services team is here to ensure you maximize your ACS member benefits, participate in College activities, and engage with your ACS colleagues. It's all here.

Become a Member
Become a member and receive career-enhancing benefits

Our top priority is providing value to members. Your Member Services team is here to ensure you maximize your ACS member benefits, participate in College activities, and engage with your ACS colleagues. It's all here.

Become a Member
ACS
Case Reviews in Surgery

Penetrating Chest Trauma from a Crossbow Injury

Penetrating Chest Trauma from a Crossbow Injury

March 2, 2020

Abstract

Background

Crossbow injuries are rarely reported in the trauma literature. However, the morbidity and mortality associated with these injuries remains significant. It is imperative to discuss the resuscitation and surgical management of these patients. We present the case of a patient who survived a crossbow injury to the chest that resulted in a T3 spinal cord injury. This report focuses on the steps of his initial presentation and operative management. A literature review of this unusual type of penetrating trauma is also presented.

Summary

A 51-year-old man was transported by EMS to a Level I trauma center following an assault from a crossbow arrow to his anterior chest. He was in hemorrhagic shock on arrival to the Emergency Department. Massive transfusion protocol was initiated. On the primary trauma survey, the patient had evidence of bilateral paralysis in his lower extremities. He was taken emergently to the operating room, for a right thoracotomy, right upper lobe resection, and removal of the arrow from the thoracic spinal cord. Throughout the post-operative recovery period, the patient still had significant residual paralysis. The patient was discharged to inpatient rehabilitation 11 days after initial presentation. At seven-month follow-up after hospital discharge, the patient still had complete paralysis below the level of T3.

Conclusion

This case report describes a transthoracic crossbow injury resulting in spinal cord injury. Operative management, namely utilizing the foreign body’s capacity to tamponade as the surgical team worked to achieve hemostasis, is at the crux of the success of this patient’s operation. To our knowledge, this is the first case in the literature in which an arrow penetrated through the thoracic spine with resultant paraplegia in the surviving patient.

Key Words

Crossbow, foreign body removal, penetrating trauma, tamponade


Case Description

In the modern era of trauma surgery, penetrating trauma due to crossbow injuries is uncommon. Nevertheless, these rare events are technically demanding for trauma surgeons. The associated morbidity and mortality is high due to the severe nature of the injury. In this case report, we report the unusual case of a patient surviving a penetrating transthoracic crossbow arrow injury traversing the spinal cord, with an emphasis on the immediate resuscitation and critical intraoperative steps. The unusual nature of this type of injury, including the arrow traversing the anterior chest to the thoracic vertebral column to yield a spinal cord injury, resulted in an operative challenge. The management of this patient by collaborating trauma surgeons and neurosurgeons, in an unconventional case to both subspecialties, highlights innovative hemostatic techniques. We also identified eleven case reports in the literature of survived injuries from crossbows to the midsection.

A 51-year-old man was found unresponsive on a street in a major urban city with an initial GCS of 3. He was covered in blood and had a broken arrow lying next to him. He had an obvious penetrating wound to his right anterior chest,. The wound was shaped similar to an arrowhead but no object was protruding from his chest. He was transported by pre-hospital medical providers to the Emergency Department (ED) of the Level 1 trauma center. His GCS improved en route to 12 but he remained hypotensive.

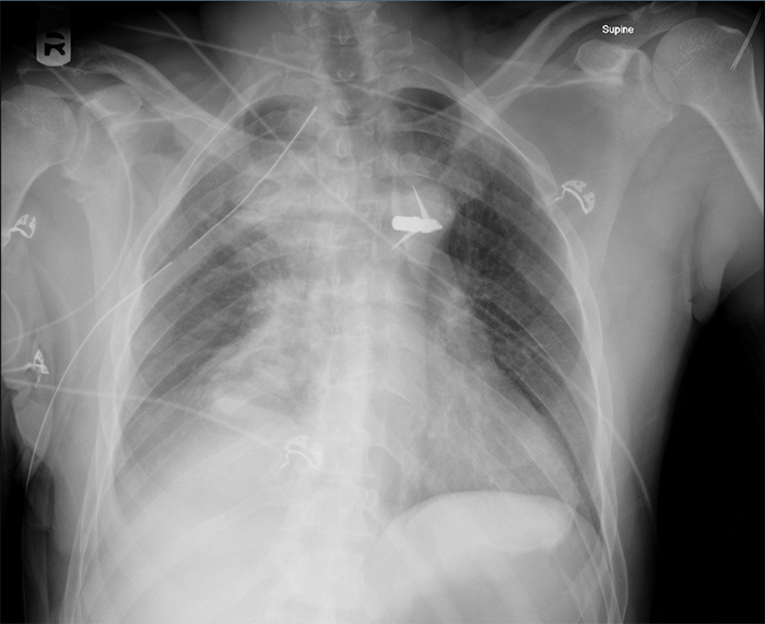
On arrival to the ED, the patient had absent right-sided breath sounds and was hypotensive. Urgent needle decompression was performed followed by placement of a 28 French chest tube with evacuation of 550 mL blood. Massive transfusion protocols were initiated. Primary trauma survey was significant for bilateral lower extremity paralysis. In addition to the penetrating wound to his right anterior chest, he also had a palpable foreign body in the subcutaneous tissue posteriorly in his left upper back near his spinal cord. Chest x-ray was significant for metallic foreign bodies near the aortic arch and a widened mediastinum (Figure 1). Focused assessment with sonography for trauma (FAST) exam was negative for cardiac tamponade. The patient continued to remain hypotensive and was taken emergently to the operating room for an open right thoracotomy.

Figure 1. AP supine chest x-ray of a 51-year-old man upon arrival to the trauma bay with a penetrating arrow thoracic injury
Figure 1. AP supine chest x-ray of a 51-year-old man upon arrival to the trauma bay with a penetrating arrow thoracic injury

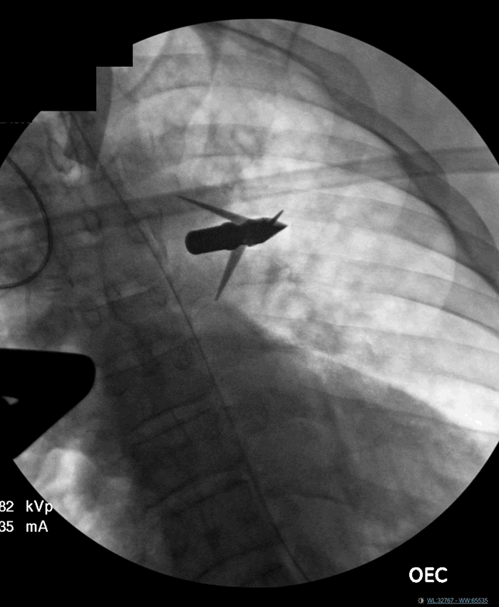
The operative approach was initially an anterior lateral thoracotomy at the fifth intercostal space. Approximately 1 L of hematoma with blood clots were evacuated from the chest. There was obvious active bleeding from the upper lobe of the right lung, which was trapped to the posterior chest wall by the arrow shaft. This area of lung was divided in order to remove it from the arrow shaft and the damaged segment was removed as a wedge using a GIA stapler. The arrow was then visualized penetrating the vertebral column just superior to the arch of the azygos vein. Exsanguination from the arrow tract was apparent, which was suture ligated using 4-0 prolene sutures. The chest cavity was explored, and no further injuries to the lungs or the great vessels were observed. The chest was packed for hemostasis. The tip of the arrow was identified laterally at the level of T4 and penetrated across the midline to the spinal cord. Neurosurgery was consulted to remove a portion of the foreign body traversing the spinal cord. An intra-operative lateral mid-thoracic x-ray revealed that the arrowhead wings were posterior to the spine (Figure 2). The remaining 8 cm of arrow shaft extending from the thoracic cavity was clipped at the level where it entered the vertebral column (Figure 3) and removed from the chest cavity. A wound vacuum dressing was applied over the chest wound.

Figure 2. Intraoperative fluoroscopy image
Figure 2. Intraoperative fluoroscopy image
Figure 3. Intraoperative gross image
Figure 3. Intraoperative gross image

Due to the location of the arrowhead, a posterior approach was taken to remove it. The patient was positioned prone. The posterior wound was explored, and the arrowhead and residual shaft were extricated (Figure 4) with difficulty. There was obvious bleeding from the spinal cord where the arrowhead had penetrated. A midline incision at the level of bleeding was made, ultimately exposing significant bleeding from a laceration in the left lamina at T5, caused by the penetrating injury, which was controlled with gel foam packing and electrocautery. At this point, the laceration in the left lamina was irrigated, and hemostasis was achieved with bipolar electrocautery, and closed in layers. He was then positioned supine again and his right chest was re-inspected to ensure hemostasis was maintained at the injury site in the anterior portion of the vertebral column. The site was packed with hemostatic agents and laparotomy pads, and the wound vacuum was reapplied. He was taken to the trauma ICU in critical condition. The patient received MTP with 1:1 PRBCs:FFP, for a total of 25 units of PRBCs, 25 units FFP, in addition to platelets, cryoprecipitate, transexamic acid, and fluids.

Figure 4. Removed foreign body: the arrow from the crossbow in pieces
Figure 4. Removed foreign body: the arrow from the crossbow in pieces

On postoperative day 1, the patient underwent a re-exploration of the right thoracic cavity, with removal of the packs and wound closure. No further evidence of bleeding was observed intra-operatively. A post-operative CT scan showed a T5 vertebral body fracture and T6 superior articular facet fracture (Figure 5). MRI demonstrated partial transection and contusion at T5 (Figure 6). The patient remained in the ICU for 9 days post-operatively. He had continued bilateral lower extremity paralysis below level T4. He was subsequently discharged to inpatient neurologic rehabilitation on post-operative day 11. At the time of discharge, the patient had permanent paraplegia below T3. The patient was seen in clinic seven months after his injury with no further neurologic recovery.

Figure 5. CT thoracic spine without contrast: axial view
Figure 5. CT thoracic spine without contrast: axial view
Figure 6. MRI thoracic spine without contrast, T2: sagittal view
Figure 6. MRI thoracic spine without contrast, T2: sagittal view

Discussion

Penetrating trauma from an arrow is an uncommon injury but has a high associated mortality and poses unique challenges in clinical management. When these incidents occur, this mechanism is most commonly the result from accidental firing or suicide attempts, while homicide attempts are least frequently reported in the literature (Table 1).1-13 In our case report, we described the case of a patient who survived a crossbow injury to the chest from a homicide attempt that resulted in a permanent spinal cord injury below T3.

Table 1. Summary of previous studies of crossbow injuries to the midsection

Author

Anatomic sections involved

Organs injured

Surgical intervention

Injury Intention

Outcome

Post-operative course

Besler et al. (1997)1

L hemithorax, L mediastinum

1. Left anterior descending artery (LAD)
2. Inter-ventricular septum (IVS)

1. Median sternotomy without opening pleura
2. Pericardiotomy
3. Removal of bolt from LAD and IVS

Suicide attempt

Full recovery

Uneventful

Chang and Hsee (2010)2

Thorax

1. L pleura
2. R erector spinae muscle

1. L chest tube for hemopneumo-thorax
2. Incision of R back to access erector spinae
3. Removal of bolt via advancement anterior to posterior through the muscle

Accidental firing

Full recovery

Uneventful; LOS 3 days

Fradet et al. (1988)3

LUQ, L mediastinum, L hemi-thorax

1. L lobe of liver
2. Diaphragm
3. Posterior mediastinum
4. Lower thoracic aorta

1. Thoraco-abdominal incision of L 7th intercostal space
2. Evacuation of 1L of blood and clot in L chest
3. Control of dissected aorta
4. Aortic anastomosis with Gore-Tex
4. Laparotomy for liver injuries

Accidental firing

Full recovery

Uneventful, LOS 8 days

Hunt and Sodergren (2017)4

L thoraco-abdominal cavity

1. Peri-cardium
2. Diaphragm
3. Liver
4. Distal Pancreas
5. L kidney

1. Midline laparotomy and pericardotomy
2. Divided arrow below diaphragm
3. Bolt shaft removed from liver
4. Distal pancreatectomy and splenectomy
5. Complete removal of foreign body
6. L renorrhaphy

Suicide attempt

Survival

Discharged POD 7 to psychiatric unit

Karger et al. (2004)5

Thoraco-abdominal cavity

1. L upper arm
2. Peri-cardium
3. Thorax
4. Stomach
5. Liver

Unknown; surgery survival time 6.5 hrs

Homicide attempt

Death

Kennedy et al. (2012)6

L hemithorax

1. Pulmonary hilum
2. Upper lobe of L lung

1. L anterolateral thoracotomy to control pulmonary hilum bleed
2. Removal of bolt
3. L Chest tube

Unknown

Full recovery

Uneventful; ICU LOS 3 days, then discharged; follow-up 1 month with no complications

Koizumi et al. (2014)7

R anterior thorax, R anterior abdomen

1. Middle lobe of R lung
2. Diaphragm
3. Liver

1. R anterior thoracotomy in L lateral decubitus
2. Partial resection of middle lobe
3. Bolt removed from liver through abdominal incision

Suicide attempt

Full recovery

Uneventful; LOS 12 days

Kruke-meyer et al. (2005)8

L thoraco-abdominal cavity

1. L lung (lobe unspecified)
2. Diaphragm
3. Liver

1. Massive transfusion
2. Thoracotomy (type not noted)
3. Laparotomy 4. B/l chest tubes
5. Blood transfusion

Homicide attempt

Survival

Complicated stay: POD 13 extubated but continued on intensive respiratory therapy; POD 14 chest tubes removed, stepped down from ICU status; POD 16 discharged to outpatient aftercare

Mullan et al. (1991)9

L hemithorax, L mediastinum

1. Lower sternum
2. Peri-cardium
3. Anterior wall of right ventricle
4. Inter-ventricular septum
5. Posterior wall of L ventricle
6. Descending aorta

1. Femoro-femoral cannulation for cardiopulmonary bypass
2. Median sternotomy
3. Aortobicaval cannulation and bypass under profound hypothermia (10-15°C) and intermittent circulatory arrest
4. Exposure of aorta through posterior pericardium
5. Bolt removal
6. Anastomosis of aorta

Suicide attempt

Full recovery

Uneventful; POD 8 patient discharged himself

Preiss et al. (2003)10

L hemithorax

1. Peri-cardium
2. Myo-cardium
3. Inter-ventricular septum (IVS)

1. Median sternotomy
2. Pericardotomy, empty pericardium noted
3. Cardiorrhaphy of myocardium and IVS with pericardial patch

Suicide attempt

Full recovery

Uneventful

Wan and Kefaloy-annis (2016)11

L hemithorax

1. L upper lobe of lung
2. L lower lobe of lung
3. T spine

Posterolateral thoracotomy

Suicide attempt

Unknown

Unknown

When stratified by location of the injury, transcranial or transorbital were the most frequent locations.8,14-26 These wounds present with unique concerns, including immediate concern for airway compromise,20,21,24,25 necessity for facial reconstruction,22,25 monitoring for significant intracranial hemorrhage14-21 and neurologic injury,14,16-22,24,25 and were usually the result of a suicide attempt.8,13,14,16-19,22,24-26 Patients reported to survive crossbow injuries at a higher rate typically had thoracic or thoracoabdominal impalement. In review of the literature, thoracic wounds remain largely confined to one hemithorax,2,3,6,7,8,11 some involving mediastinal or cardiac injuries,1,3,4,8,9,10 with occasional abdominal involvement.3,4,7 Surprisingly, most patients struck with an arrow below the neck had a relatively normal neurologic exam, presenting with a Glasgow Coma Scale patient score greater than or equal to 13.1,3,5,7,8,9,11,27,28 Thus, spinal cord injury as a result of penetration from an arrow is not well-described. We identified several case reports that describe the arrow’s trajectory in close proximity to the spinal cord. A case report published by Wan et al. describes an arrow traversing a patient’s left hemithorax, damaging both the left upper and lower lobes of the lung, and striking the thoracic spine.11 A case report from Chang and Hsee described a patient with the arrow’s trajectory crossing midline, entering from the left supraclavicular fossa and lodging in the right erector spinae muscle.2 Finally, an additional case report by Kovari in which the shaft traversed the spinal canal, but the cord remained intact. The patient developed mild ataxia, which may have been a result of minor trauma to the spinal cord.29 However, no case reports reported a situation in which the patient’s spinal cord was transected as a result of the injury.

The majority of previously published case reports focused on important features of the mechanism of an injury. Arrows fired from a crossbow, despite their high speed, have less kinetic energy than a bullet.5,6,8,12,13,15,30-34 This important distinction results in difficulty damaging bony structures,5,15,35 thereby reducing the risk of bone fragments.18 A bullet has the kinetic energy to fracture vertebrae and thus injure the spinal cord, whereas the arrow’s pathway must access the cord without being hindered by bony processes. To our knowledge, this case is the first report to detail spinal cord damage from an arrow.

As such, another unique aspect of this case was the operative management involving both trauma and neurosurgical teams was central to minimizing the neurologic deficits in delivering life-saving care. Strategic management of the arrowhead as a tamponade as well as the shaft to facilitate hemostasis is critical. The operative management of the foreign body’s piecewise removal was an essential feature of this case. Some previous case reports described intraoperative detachment of the point from the bolt, leaving only the arrowhead to tamponade the tissue in which it lodged,2,3,6,-9,27,28 in our operation, we applied this concept in a different manner, using the shaft to tamponade. Once proximal hemostasis was achieved, the shaft was divided at its midpoint, facilitating control of hemostasis as well as visualization of deeper injuries: maximizing control over the foreign body’s movement to minimize further damage is essential.2,3,6,-9,27,28 This approach enabled the trauma surgeons to take an anterolateral approach to the thoracotomy, and then the neurosurgeons to remove the arrowhead and address the spinal and muscular wounds from a posterior approach. The neurosurgical team elected to keep the arrowhead attached to the shaft, since arrowhead protruded posterior to the spine. As such, the remaining shaft-and-point remnant was removed from the left posterior thorax. This was similar to the approach reported previously by Chang and Hsee,2 but in our case the bolt had pierced the musculature through-and-through, rather than stopping within the muscle tissue, requiring surgical advancement through a pierced muscle for its removal.

To our knowledge, this patient is the first case of a patient surviving a penetrating crossbow injury involving transection of the spinal cord resulting in permanent neurologic damage. Additionally, factors that distinguish this case from previously published ones include the pathway of the arrow that crossed midline and damaged one lobe of the lung, but no other mediastinal structures, including the great vessels or the heart. Despite the fact that penetrating trauma from arrows are rare, our report highlights several critical aspects of treating these patients. Surgeons should be familiar with the need to have a multi-disciplinary approach to repair the affected organs while minimizing nerve damage, and utilization of a foreign body in hemodynamic control.

Lessons Learned

In the anterior-to-posterior transthoracic penetrating crossbow injury patient, a spinal cord injury must be considered. Foreign body removal requires careful operative planning and a multi-disciplinary approach. As demonstrated in our case, the utilization of the bolt and shaft of the penetrating arrow as a means to temporary tamponade the bleeding in order to achieve hemostasis proximally may minimize blood loss.

Authors

Shana M. Zucker, BA
Tulane University School of Medicine
Department of Surgery
New Orleans, LA

Alison A. Smith, MD, PhD
Tulane University School of Medicine
Department of Surgery
New Orleans, LA

Shahrzad Talebinejad, MD
North Oaks
Department of Surgery
Hammond, LA

Chrissy Guidry, DO
Tulane University School of Medicine
Department of Surgery
New Orleans, LA

Patrick McGrew, MD
Tulane University School of Medicine
Department of Surgery
New Orleans, LA

Clifton McGinness, MD, FACS
Tulane University School of Medicine
Department of Surgery
New Orleans, LA

Juan Duchesne, MD, FACS
Tulane University School of Medicine
Department of Surgery
New Orleans, LA

Rebecca Schroll, MD, FACS
Tulane University School of Medicine
Department of Surgery
New Orleans, LA

Correspondence

Shana Zucker
Tulane University School of Medicine
1430 Tulane Ave, Dept. of Surgery, SL-22
New Orleans, LA 70112
Phone: 847-641-1431
Email: szucker@tulane.edu

Disclosures

The authors have no conflicts of interest to disclose

References

  1. Besler K, Kleiber M, Zerkowski HR, Trübner K. Non-lethal penetrating cardiac injury from a crossbow bolt. Int J Legal Med. 1998;111(2):88-90.
  2. Chang WK, Hsee LC. Crossbow injury in a developed country. Injury. 2010;41(10):1090-2.
  3. Fradet G, Nelems B, Müller NL. Penetrating injury of the torso with impalement of the thoracic aorta: preoperative value of the computed tomographic scan. Ann Thorac Surg. 1988;45(6):680-1.
  4. Hunt D, Sodergren M. Crossbow bolt injury: an unusual case of penetrating trauma. J R Army Med Corps. 2017;163(5):364.
  5. Karger B, Bratzke H, Grass H, et al. Crossbow homicides. Int J Legal Med. 2004;118(6):332-6.
  6. Kennedy RO, Gonzalez RP, Brevard SB. Penetrating thoracic arrow injury: a flashback to the Wild West. Am Surg. 2013;79(11):1226-7.
  7. Koizumi T, Imamura N, Aruga N, Watanabe H, Nakagawa T, Masuda R, Iwazaki M. Successful Treatment of Penetrating Chest Injury Caused by a Crossbow. Tokai J Exp Clin Med 2014;39(2):64-68.
  8. Krukemeyer MG, Grellner W, Gehrke G, Koops E, Püschel K. Survived crossbow injuries. Am J Forensic Med Pathol. 2006;27(3):274-6.
  9. Mullan FJ, O’Kane HOJ, Dasmahapatra HK, Fisher RB, Gibbons JRP. Mediastinal transfixion with a crossbow bolt. Br J Surg. 1991;78(8):972-973.
  10. Preiss M, Besler K, Zerkowski HR. Suicidal crossbow bolt cardiac injury. Surgery. 2003;133(2):228-9.
  11. Wan Y, Kefaloyannis E. Penetrating chest injury caused by self-inflicted crossbow arrow traversing the hemithorax. Eur J Cardiothorac Surg. 2016;50(3):580.
  12. Rogers C, Dowell S, Choi JH, Sathyavagiswaran L. Crossbow Injuries. J Forensic Sci. 1990;35(4):886-890.
  13. Smyk D. Crossbow injuries: a case report. J Forensic Leg Med. 2009;16(6):343-5.
  14. Kulwin CG, Denardo A, Khairi S, Payner T. Neurosurgical Management of Self-Inflicted Cranial Crossbow Injury. World Neurosurg. 2018;116:69-71.
  15. Kondo T, Takahashi M, Kuse A, et al. Autopsy Case of a Penetrating Wound to the Left Cerebral Hemisphere Caused by an Accidental Shooting With a Crossbow. Am J Forensic Med Pathol. 2018;39(2):164-168.
  16. Ishigami D, Ota T. Traumatic Pseudoaneurysm of the Distal Anterior Cerebral Artery Following Penetrating Brain Injury Caused by a Crossbow Bolt: A Case Report. NMC Case Rep J. 2018;5(1):21-26.
  17. Panata L, Lancia M, Persichini A, Scalise pantuso S, Bacci M. A crossbow suicide. Forensic Sci Int. 2017;281:e19-e23.
  18. Zyck S, Toshkezi G, Krishnamurthy S, et al. Treatment of Penetrating Nonmissile Traumatic Brain Injury. Case Series and Review of the Literature. World Neurosurg. 2016;91:297-307.
  19. Xiao J, Bennett GJ, Lutske ME, Belles WJ, Guo WA. Oral, maxillary, and cranial impalement injury by a crossbow arrow. Surgery. 2016;159(4):1234-5.
  20. Hengzhu Z, Enxi X, Lei S, Xiaodong W, Lun D. A rare case of penetrating brain injury by crossbow in a 22-month-old child. Pediatr Emerg Care. 2014;30(6):421-3.
  21. Jain D, Aggarwal G, Lubana P, Moses S. Penetrating craniofacial arrow injury. J Neurosci Rural Pract. 2010;1(1):17-9.
  22. Osborne SF, Papchenko T, De souza CF, Polkinghorne PJ, Hart R. Orbital crossbow injury. Clin Experiment Ophthalmol. 2009;37(5):527-9.
  23. Pomara C, D'errico S, Neri M. An unusual case of crossbow homicide. Forensic Sci Med Pathol. 2007;3(2):124-7.
  24. Kaye K, Kilgore KP, Grorud C. Transoral crossbow injury: an unusual case of central nervous system foreign body. J Trauma. 2004;57(3):653-5.
  25. Joly LM, Oswald AM, Disdet M, Raggueneau JL. Difficult endotracheal intubation as a result of penetrating cranio-facial injury by an arrow. Anesth Analg. 2002;94(1):231-2, table of contents.
  26. Byard RW, Koszyca B, James R. Crossbow suicide: mechanisms of injury and neuropathologic findings. Am J Forensic Med Pathol. 1999;20(4):347-53.
  27. Grellner W, Buhmann D, Giese A, Gehrke G, Koops E, Püschel K. Fatal and non-fatal injuries caused by crossbows. Forensic Sci Int. 2004;142(1):17-23.
  28. Zátopková L, Hejna P. Fatal suicidal crossbow injury—the ability to act. J Forensic Sci. 2011;56(2):537-40.
  29. Kovari VZ. Successfully treated transoral crossbow injury to the axial spine causing mild neurologic deficit: case presentation. Eur Spine J. 2017;26(Suppl 1):24-30.
  30. Cina SJ, Radentz SS, Smialek, JE. Suicide using a compound bow and arrow. Am J Forensic Med Pathol. 1998;19(1):102-105.
  31. Downs JCU, Nichols CA, Scala-Barnett, D, Lifschultz, BD. Handling and Interpretation of Crossbow Injuries. J Forensic Sci. 1994:39(2):428-445.
  32. Wilson CI, Altschul S, Mead A, Flannagan LM. Bloodstain pattern analysis in a case of suicide with a compound bow and arrow. Am J Forensic Med Pathol. 2004;25(1):80-2.
  33. Frank M, Schikorr W, Tesch R, et al. Ballistic parameters and trauma potential of pistol crossbows. Int J Legal Med. 2013;127(4):777-82.
  34. Gresham, GA. Arrows of Outrageous Fortune. Med Sci Law. 1977;17(4)239-240.
  35. Sung L, Kesha K, Hudson J, Root K, Hlavaty L. Morphology of Modern Arrowhead Tips on Human Skin Analog. J Forensic Sci. 2018;63(1):140-150.