Unsupported Browser
The American College of Surgeons website is not compatible with Internet Explorer 11, IE 11. For the best experience please update your browser.
Menu
Become a member and receive career-enhancing benefits

Our top priority is providing value to members. Your Member Services team is here to ensure you maximize your ACS member benefits, participate in College activities, and engage with your ACS colleagues. It's all here.

Become a Member
Become a member and receive career-enhancing benefits

Our top priority is providing value to members. Your Member Services team is here to ensure you maximize your ACS member benefits, participate in College activities, and engage with your ACS colleagues. It's all here.

Become a Member
ACS
Case Reviews in Surgery

Gastrointestinal Manifestations of COVID-19 Mimicking a Surgical Abdomen

January 7, 2022

Abstract

Background

In addition to typical respiratory manifestations, gastrointestinal symptoms have also been reported in a subset of patients infected by the novel severe acute respiratory syndrome coronavirus (SAR-CoV-2). This case report presents a COVID-19 positive patient with gastrointestinal manifestations alone, resembling a surgical abdomen.

Summary

A 56-year-old female presented to the emergency department following one day of severe abdominal pain associated with nausea and vomiting. She was admitted to the surgery service because of the magnitude of pain and possible intestinal ischemia based on computer tomography (CT) scan findings of thickened loops of small bowel, ascites, mesenteric edema and congestion, and suggestion of pneumatosis. The patient tested positive for SARS-CoV-19 the following day, despite a lack of common COVID-19 symptoms of cough, shortness of breath, and fever. She was managed medically and discharged following a 13-day hospitalization.

Conclusion

During the current pandemic, COVID-19 should be considered in the differential diagnosis for patients who present with abdominal pain and gastrointestinal symptoms typical of gastroenteritis or surgical abdomen, even if they lack respiratory symptoms of COVID-19. Universal precautions are necessary when managing such patients to decrease potential exposure to healthcare workers and other patients.

Key Words

COVID-19; gastrointestinal symptoms; gastroenteritis; acute abdominal pain


Case Description

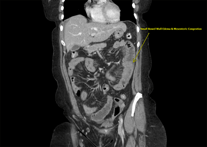
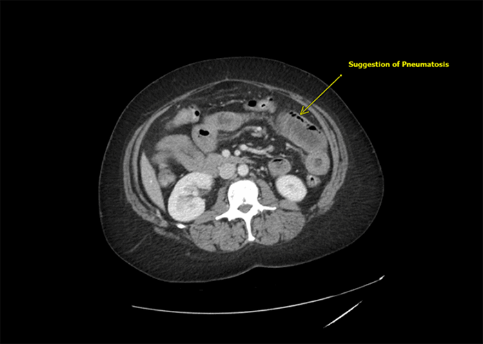
The patient is a 56-year old female with a body mass index (BMI) of 33.2 kg/m2, Type II diabetes mellitus, hypertension, asthma, and previous abdominal surgery, including appendectomy and hysterectomy. She presented to the emergency room in early May 2020 with severe periumbilical pain, rated 10/10, and nausea and vomiting, which had begun the evening prior. On physical examination, she appeared uncomfortable. She had lower and left-sided abdominal tenderness with guarding. At presentation, the patient denied fever, chills, cough, or shortness of breath. Initially, she was tachycardic (pulse rate 108) but was normotensive and had normal oxygen saturation on room air. Laboratory values were normal except for leukocytosis (white blood cell count 12.2 × 1000/μL) and elevated blood glucose. Lactate was normal at 1.1 mmol/L. Computed tomography (CT) scan showed bowel wall thickening involving large portions of the jejunum and ileum with mesenteric congestion and a moderate amount of free fluid in the pelvis (Figure 1). There was no sign of thromboembolism in the main mesenteric vessels, but there was a suggestion of pneumatosis in the left mid-abdomen (Figure 2). Peripheral patchy ground-glass opacities were seen in the visualized lower portions of both lungs, suggestive of atypical or viral pneumonia.

Figure 1. Coronal CT of Abdomen and Pelvis with Intravenous Contrast. Published with Permission

Multiple loops of small bowel demonstrated severe bowel wall thickening with mesenteric congestion and edema.

Figure 2. Axial CT of Abdomen and Pelvis with Intravenous Contrast; Suggestion of Pneumatosis Intestinalis. Published with Permission

Given the severity of abdominal pain and CT scan findings, the patient was admitted to surgery service for observation. Initial treatment included intravenous fluid, pain medication, venous thromboembolic prophylaxis with enoxaparin, prophylactic ceftriaxone and metronidazole, and nil per os. The COVID-19 reverse transcription-polymerase chain reaction (PCR) test produced a positive result soon after surgical evaluation. At this point, our institution's COVID-19 medicine team took over her care while the surgical team monitored her abdominal pain. Additional labs including CRP, ferritin, procalcitonin, LDH, BNP, troponin, D-dimer, fibrinogen and PT/PTT were sent; all were elevated except for troponin and PT/PTT. As part of the treatment algorithm for patients with COVID-19 at our institution, she was treated with hydroxychloroquine for six days and a steroid taper. She was also treated with ceftriaxone and metronidazole for eight days to prevent gastrointestinal bacterial translocation and bacterial pneumonia. The patient continued to have abdominal pain and lacked appetite. She also developed diarrhea. Testing was negative for common sources of infectious diarrhea, including Clostridium difficile, Giardia lamblia, Cryptosporidium, and Norovirus.

On the fourth day of hospitalization, a follow-up abdominal and pelvic CT scan showed interval resolution of previously noted thickened jejunal and ileal loops, decreased pelvic ascites, and resolution of previously seen perihepatic ascites. Regarding her pulmonary status, there was an interval increase in peripheral ground-glass opacities and patchy consolidations, most consistent with COVID-19 related pneumonia. Interestingly, the patient never manifested respiratory signs or other typical symptoms of COVID-19 during her hospitalization. The patient's symptoms improved over the next nine days, her diet was advanced slowly, and she was discharged on hospital day 13 for home isolation.

Discussion

The most common manifestations of COVID-19 include fever, chills, cough, shortness of breath, and fatigue.14 Gastrointestinal symptoms such as nausea, vomiting, and diarrhea are less common, and fewer than 10 percent of patients present with abdominal pain.2,5 This case highlights an atypical manifestation of SARS-CoV-19 gastroenteritis that resembled an acute surgical abdomen. SARS-CoV-19 likely enters human host cells through cellular receptor angiotensin-converting enzyme 2 (ACE 2), which is expressed in both intestinal cells and alveolar type 2 cells in the lung. The virus can possibly replicate in the gastrointestinal tract.6,7 Additionally, studies have identified SARS-CoV-2 RNA in stool specimens of infected patients, sometimes even when the nasopharyngeal test returns negative.8

Abdominal pain appears to be the least common manifestation of gastrointestinal involvement, with studies reporting abdominal pain in 2‒6 percent of gastrointestinal presentations in COVID-19 patients.3,7,9 Poggiali et al. recently reported a cohort of ten COVID-19 positive patients presenting with gastrointestinal symptoms of which only one had non-surgical abdominal pain. Saeed et al. further describe nine COVID-19 positive patients presenting with abdominal pain, all of whom were eventually discharged home.10 Sellevoll et al. recently reported a case of acute abdominal pain that was initially suspicious for cholecystitis but was later attributed to COVID-19 upon imaging that was negative for cholecystitis and positive SARS-CoV-19 PCR test.11 Similar to our case, the patient presented by Sellevoll also did not experience respiratory symptoms, but CT scan findings in the lower thorax were consistent with viral pneumonia.

Mesenteric ischemia, which often presents as an acute abdomen, has been reported among patients with COVID-19. Observation of ischemic symptoms and prophylactic anticoagulation therapy have been suggested in these cases.1215 COVID-19 predisposes patients to a prothrombotic state as evidenced by increases in D-dimer levels and inflammatory markers among those infected.16,17 Therefore, those infected with COVID-19 are at greater risk for venous and arterial thromboembolism.1820 Although there was no evidence of thromboembolism in the main mesenteric vessels and their major branches on our patient's imaging, the CT scan did raise the possibility of intestinal pneumatosis and ischemia. These intestinal findings had resolved on repeat imaging. Regardless, our patient was treated with prophylactic enoxaparin during the entire hospitalization and as part of the treatment algorithm for patients with COVID-19 infection.

In the ongoing COVID-19 pandemic, surgeons have a continued responsibility in providing acute care for patients, including assessing acute abdominal pain and deciding if surgery is warranted. This case highlights a patient with COVID-19, who presented with only gastrointestinal symptoms suggestive of surgical abdomen that, in the end, did not require surgery. We underscore the importance of including COVID-19 on a differential diagnosis in the setting of an acute abdomen, even in the absence of hallmark symptoms of fever, cough, and shortness of breath.

Conclusion

COVID-19 management is rapidly evolving, but significant knowledge gaps in clinical understanding continue to persist. While most symptomatic patients present with typical signs of fever, cough, fatigue, and muscle ache, a small subset of patients may present with gastrointestinal symptoms only, including acute abdominal pain. This case demonstrates the importance of considering the atypical COVID-19 gastroenteritis in the differential diagnosis for abdominal pain. Awareness of atypical presentations is vital for triage, early treatment, prevention of spread, and streamlined personnel and resource utilization.

Lessons Learned

Gastrointestinal symptoms and abdominal pain may be the sole presentation in a small subset of COVID-19 patients lacking typical symptoms of fever, cough, fatigue, and shortness of breath. Surgeons must be vigilant in evaluating patients with acute abdominal pain in a COVID-19 era.

Authors

Chan SMa; Ying LDb; Morton JMb; Ghiassi Sb

Author Affiliations

  1. Yale School of Medicine, New Haven, CT, 06510
  2. Department of Surgery, Yale School of Medicine, New Haven, CT, 06510

Corresponding Author

Saber Ghiassi, MD, MPH, FACS
Yale Bariatric & Minimally Invasive Surgery
2000 Post Road, Ste. 101
Fairfield, CT, 06824
Phone: (203) 418-9520
E-mail: saber.ghiassi@yale.edu

Disclosure Statement

The authors have no conflicts of interest to disclose.

Funding/Support

The authors have no financial relationships or in-kind support to disclose.

Received: July 14, 2020
Revision Received: November 1, 2020
Accepted for Publication: November 24, 2020

References

  1. Guan WJ, Ni ZY, Hu Y, et al. Clinical characteristics of coronavirus disease 2019 in China. N Engl J Med. 2020;382(18):1708-1720. doi:10.1056/NEJMoa2002032
  2. Zhang B, Zhou X, Qiu Y, et al. Clinical characteristics of 82 cases of death from COVID-19. PLoS One. 2020;15(7):e0235458. Published 2020 Jul 9. doi:10.1371/journal.pone.0235458
  3. Zhang JJ, Dong X, Cao YY, et al. Clinical characteristics of 140 patients infected with SARS-CoV-2 in Wuhan, China. Allergy. 2020;75(7):1730-1741. doi:10.1111/all.14238
  4. Symptoms of COVID-19. Centers for Disease Control and Prevention. Accessed June 16, 2020.
  5. Wang D, Hu B, Hu C, et al. Clinical characteristics of 138 hospitalized patients with 2019 novel coronavirus-infected pneumonia in Wuhan, China [published correction appears in JAMA. 2021 Mar 16;325(11):1113]. JAMA. 2020;323(11):1061-1069. doi:10.1001/jama.2020.1585
  6. Vaduganathan M, Vardeny O, Michel T, McMurray JJV, Pfeffer MA, Solomon SD. Renin-Angiotensin-Aldosterone system inhibitors in patients with COVID-19. N Engl J Med. 2020;382(17):1653-1659. doi:10.1056/NEJMsr2005760
  7. Wong SH, Lui RN, Sung JJ. COVID-19 and the digestive system. J Gastroenterol Hepatol. 2020;35(5):744-748. doi:10.1111/jgh.15047
  8. Yang L, Tu L. Implications of gastrointestinal manifestations of COVID-19. Lancet Gastroenterol Hepatol. 2020;5(7):629-630. doi:10.1016/S2468-1253(20)30132-1
  9. Pan L, Mu M, Yang P, et al. Clinical characteristics of COVID-19 patients with digestive symptoms in Hubei, China: a descriptive, cross-sectional, multicenter study. Am J Gastroenterol. 2020;115(5):766-773. doi:10.14309/ajg.0000000000000620
  10. Saeed U, Sellevoll HB, Young VS, Sandbaek G, Glomsaker T, Mala T. COVID-19 may present with acute abdominal pain. Br J Surg. 2020;107(7):e186-e187. doi:10.1002/bjs.11674
  11. Sellevoll HB, Saeed U, Young VS, Sandbæk G, Gundersen K, Mala T. Acute abdomen as an early symptom of COVID-19. Covid-19 med akutte magesmerter som debutsymptom. Tidsskr Nor Laegeforen. 2020;140(7):10.4045/tidsskr.20.0262. Published 2020 Mar 31. doi:10.4045/tidsskr.20.0262
  12. Vartanoglu Aktokmakyan T, Tokocin M, Meric S, Celebi F. Is mesenteric ischemia in COVID-19 patients a surprise?. Surg Innov. 2021;28(2):236-238. doi:10.1177/1553350620962892
  13. Rodriguez-Nakamura RM, Gonzalez-Calatayud M, Martinez Martinez AR. Acute mesenteric thrombosis in two patients with COVID-19. Two cases report and literature review. Int J Surg Case Rep. 2020;76:409-414. doi:10.1016/j.ijscr.2020.10.040
  14. Singh B, Mechineni A, Kaur P, et al. Acute intestinal ischemia in a patient with COVID-19 infection. Korean J Gastroenterol. 2020;76(3):164-166. doi:10.4166/kjg.2020.76.3.164
  15. Parry AH, Wani AH, Yaseen M. Acute mesenteric ischemia in severe coronavirus-19 (COVID-19): possible mechanisms and diagnostic pathway. Acad Radiol. 2020;27(8):1190. doi:10.1016/j.acra.2020.05.016
  16. Teuwen LA, Geldhof V, Pasut A, Carmeliet P. COVID-19: the vasculature unleashed [published correction appears in Nat Rev Immunol. 2020 Jun 4;:]. Nat Rev Immunol. 2020;20(7):389-391. doi:10.1038/s41577-020-0343-0
  17. Connors JM, Levy JH. COVID-19 and its implications for thrombosis and anticoagulation. Blood. 2020;135(23):2033-2040. doi:10.1182/blood.2020006000
  18. Klok FA, Kruip MJHA, van der Meer NJM, et al. Incidence of thrombotic complications in critically ill ICU patients with COVID-19. Thromb Res. 2020;191:145-147. doi:10.1016/j.thromres.2020.04.013
  19. Moll M, Zon RL, Sylvester KW, et al. VTE in ICU patients with COVID-19. Chest. 2020;158(5):2130-2135. doi:10.1016/j.chest.2020.07.031
  20. Cheruiyot I, Kipkorir V, Ngure B, Misiani M, Munguti J, Ogeng'o J. Arterial thrombosis in coronavirus disease 2019 patients: a rapid systematic review. Ann Vasc Surg. 2021;70:273-281. doi:10.1016/j.avsg.2020.08.087