Unsupported Browser
The American College of Surgeons website is not compatible with Internet Explorer 11, IE 11. For the best experience please update your browser.
Menu
Become a member and receive career-enhancing benefits

Our top priority is providing value to members. Your Member Services team is here to ensure you maximize your ACS member benefits, participate in College activities, and engage with your ACS colleagues. It's all here.

Become a Member
Become a member and receive career-enhancing benefits

Our top priority is providing value to members. Your Member Services team is here to ensure you maximize your ACS member benefits, participate in College activities, and engage with your ACS colleagues. It's all here.

Become a Member
ACS
ACS Case Reviews

Exercise-Induced Abdominal Pain: A Rare Case of Benign Adult Ileocolic Intussusception

December 16, 2022

Abstract

Background

A 56-year-old female with exercise-induced sharp abdominal pain and intermittent hematochezia was found to have ileocolic intussusception with a benign organic lead point.

Summary

This otherwise healthy patient presented asymptomatically as a referral to surgical services following the identification of an approximately 20 cm ileocolic intussusception on computed tomography. She was undergoing a prolonged outpatient workup for abdominal pain and fecal urgency exacerbated by exercise over the preceding year. Workup included a colonoscopy with normal colonic and terminal ileal mucosa. She was maintained on a regimen of stool softeners and dietary and lifestyle modifications. Notably, the patient had no obstructive symptoms, was tolerating a normal diet, and had normal nutritional status. On exam, she had a benign abdomen and all lab values, including a carcinoembryonic antigen, were within normal limits. She was taken to the operating room for a laparoscopic converted to open reduction of the intussusception followed by resection of the ileal mass with primary entero-enteric anastomosis. She had an uncomplicated recovery and had resolution of abdominal pain postoperatively. Final pathology revealed an inflammatory fibroid polyp.

Conclusion

Adult ileocolic intussusception is an uncommon cause of abdominal pain with non-specific presenting symptoms, exercise-induced pain, and fecal urgency in this patient. Early cross-sectional imaging can facilitate definitive surgical management. Although malignancy must remain in the differential, reduction of intussusception before resection should be considered to preserve bowel length in cases where oncologic lymph node resection is unnecessary.

Key Words

adult intussusception; inflammatory fibroid polyp


Case Description

Adult intussusception is rare and is usually associated with an organic lead point, raising concern for malignancy. Diagnosis is challenging due to intermittent non-specific symptoms. This is the case of an adult with an atypical presentation of chronic ileocolic intussusception due to an uncommon benign tumor: an inflammatory fibroid polyp.

The patient is an active, healthy 56-year-old female with a medical and surgical history remarkable only for small uterine fibroids and a laparoscopic tubal ligation. She reported experiencing exercise-induced sharp abdominal pain followed by fecal urgency, loose stools, and intermittent hematochezia over the preceding year. Her outpatient workup began with an unremarkable colonoscopy. She was treated with stool softeners and dietary and lifestyle modifications without improvement.

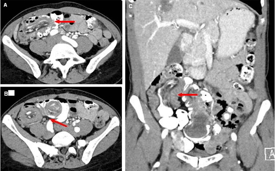
Approximately one year later, computed tomography (CT) of the abdomen and pelvis revealed long-segment ileocolic intussusception with a soft tissue mass at the distal end of the intussusceptum (Figure 1). Oral contrast passed the point of intussusception, and there was no proximal bowel dilatation. Due to this imaging finding, the patient was asked to present to the emergency department for an initial surgical evaluation.

Figure 1. Abdominal CT Imaging of Ileocolic Intussusception. Published with Permission

Representative axial views with A) long segment and B) classic “target sign” C) coronal view with long segment ileocolic intussusception. Red arrows highlight area of intussusception.

On presentation, the patient denied current pain or bleeding and reiterated the above history, now with spontaneous pain episodes for one month. She tolerated her diet, passed flatus, and denied night sweats or weight loss. On exam, she had normal vital signs and a soft, nontender, nondistended abdomen. Laboratory evaluation demonstrated a normal lactate: 1.3 mmol/L (0.5-2.2 mmol/L), white blood cell count: 6.2 K/UL (4.2-9.4 K/UL), hemoglobin: 12.9 g/dL (11.9-15.3 g/dL), creatinine: 0.75 mg/dL (0.5-0.9 mg/dL), and albumin: 4.4 g/dL (3.5-5.2 g/dL). Her carcinoembryonic antigen (CEA) was within normal limits at 2.5 ng/mL (0.2-4.7 ng/mL).

Due to the unclear duration of long-segment intussusception and concern for impending bowel ischemia, the patient went to the operating room for diagnostic laparoscopy. An ileal intussusceptum was identified within the ascending colon. The liver and peritoneal surfaces were grossly normal. Given the normal CEA and recent normal colonoscopy, suspicion for a right-sided colon cancer was low. A lower midline laparotomy was performed and approximately 20 cm of intussusceptum was reduced until a firm, smooth, rubbery ileal mass was encountered. This 4 × 3 cm mass was adherent to bowel with enlarged mesenteric lymph nodes (Figure 2). The decision to reduce the intussusceptum prior to resection enabled the preservation of bowel length with the option for interval oncologic resection if warranted after final pathology.

Figure 2. Small Bowel Mass Identified Intraoperatively. Published with Permission

Approximately 4 × 3 cm mass with healthy-appearing ileum proximally and distally.

The mass and associated mesentery were resected with a margin of healthy ileum on either side. An end-to-end hand-sewn anastomosis was performed due to a short distal terminal ileum; this allowed the preservation of the ileocecal valve. The patient recovered uneventfully and was discharged home on postoperative day 1.

Final pathology revealed a poorly-circumscribed proliferation of bland spindle cells in a fibromyxoid stroma with prominent eosinophils. Immunohistochemical stains included negative S100, CD117, smooth muscle actin, and positive CD34 in the spindle cells of interest, consistent with the rare, benign diagnosis of inflammatory fibroid polyp (IFP).1

At the four-month follow-up, the patient had resolution of her preoperative abdominal pain, however persistent constipation, and intermittent diarrhea. She followed with gastroenterology and was started on Linaclotide in addition to as-needed stool softeners for slow transit constipation.

Discussion

Adult intussusception accounts for just 5% of all intussusceptions.2 In contrast to pediatrics, where most cases lack a pathologic lead point, an organic tumor is identified in 70-90% of adults.3-5 Although ileocolic intussusception is predominant in children, it accounts for less than 25% of adult cases.5-7 Lead-point pathology is diverse, including benign entities such as adenoma and hemangioma, as well as malignancies such as adenocarcinoma, gastrointestinal stromal tumor, or lymphoma.4

To our knowledge, the presentation of chronic ileocolic intussusception with exercise-induced abdominal pain has not been previously described. The etiology of pain may be secondary to exercise-induced decreased splanchnic blood flow8 in the setting of venous mesenteric congestion within the intussusceptum, leading to impaired bowel perfusion. Adults with intussusception often report chronic and intermittent symptoms, leading to a delay in diagnosis.9,10 CT scan is sensitive for intussusception3 and can identify an organic tumor if present. Early cross-sectional imaging should be considered in patients with atypical abdominal pain.

The classic triad seen in children of cramping abdominal pain, tender abdominal mass, and bloody diarrhea is rarely seen in adults.11 Adult presenting symptoms are variable across the literature. Some report the most frequent symptom is obstruction,2 while others report abdominal pain (55%).5 In cases with a pathologic lead point, the most common presentation is obstruction.11 This case highlights that intussusception should remain on the differential for abdominal pain in cases without obstructive symptoms.

Although the lead point in enteric intussusception is benign in 50-75% of cases, ileocolic intussusception carries a higher risk of malignancy.4,7,10 IFP is a rare cause of ileocolic intussusception, with only a few reported cases, most of which have presented as bowel obstruction.12-15 One case presented with anemia and weight loss, mimicking cecal adenocarcinoma.16

IFP was first described in 194917 and has been referred to by multiple names (gastric eosinophilic submucosal granuloma, hemangiopericytoma, polypoid myoendithelioma, myxoma inflammatory pseudotumor).9 The majority (70%) of IFPs are gastric, while just 23% are in the small bowel. Histologically, IFP is defined by eosinophilic inflammatory cells with immunohistochemical staining positive for CD34 and negative for CD117 and S100. Rapid growth can occur, but recurrence following resection is uncommon.1,18 The cause of IFPs is unknown; however, suggested etiologies include genetic, allergic, bacterial, and physical irritants.1,12

There is debate over the appropriate management of adult intussusception.19 Due to the risk of malignancy and seeding, reduction before resection remains controversial; however, may be safe in select cases.11,20 Some propose endoscopic reduction prior to surgical resection.13 Still, this may be challenging in cases of ileocolic intussusception, due to the inability to pass the ileocecal valve.5 In our case, we opted to reduce the intussusception surgically. This allowed the preservation of small bowel length and ileo-ileal anastomosis with preservation of the ileocecal valve.

Conclusion

Adult ileocolic intussusception is an uncommon cause of abdominal pain with non-specific presenting symptoms, exercise-induced pain, and fecal urgency in this patient. Early cross-sectional imaging can facilitate definitive surgical management. Although malignancy must remain in the differential, reduction of intussusception before resection should be considered to preserve bowel length in cases where oncologic lymph node resection is not necessary.

Lessons Learned

Early cross-sectional imaging can be helpful in the workup of atypical adult abdominal pain. Although frequently due to a malignant lead-point, adult ileocolic intussusception can also be caused by benign tumors such as IFP. Reduction prior to resection should be considered in select cases of adult ileocolic intussusception.

Author Disclaimer

The opinions or assertions contained herein are the private ones of the authors and are not to be construed as official or reflecting the views of the Department of Defense, the Uniformed Services University of the Health Sciences or any other agency of the US Government.

References

  1. Liu TC, Lin MT, Montgomery EA, Singhi AD. Inflammatory fibroid polyps of the gastrointestinal tract: spectrum of clinical, morphologic, and immunohistochemistry features. Am J Surg Pathol. 2013;37(4):586-592. doi:10.1097/PAS.0b013e31827ae11e
  2. Azar T, Berger DL. Adult intussusception. Ann Surg. 1997;226(2):134-138. doi:10.1097/00000658-199708000-00003
  3. de Clerck F, Vanderstraeten E, De Vos M, Van Steenkiste C. Adult intussusception: 10-year experience in two Belgian centres. Acta Gastroenterol Belg. 2016;79(3):301-308.
  4. Cera SM. Intestinal intussusception. Clin Colon Rectal Surg. 2008;21(2):106-113. doi:10.1055/s-2008-1075859
  5. Honjo H, Mike M, Kusanagi H, Kano N. Adult intussusception: a retrospective review. World J Surg. 2015;39(1):134-138. doi:10.1007/s00268-014-2759-9
  6. Brayton D, Norris WJ. Intussusception in adults. Am J Surg. 1954;88(1):32-43. doi:10.1016/0002-9610(54)90328-1
  7. Goh BK, Quah HM, Chow PK, et al. Predictive factors of malignancy in adults with intussusception. World J Surg. 2006;30(7):1300-1304. doi:10.1007/s00268-005-0491-1
  8. ter Steege RW, Kolkman JJ. Review article: the pathophysiology and management of gastrointestinal symptoms during physical exercise, and the role of splanchnic blood flow. Aliment Pharmacol Ther. 2012;35(5):516-528. doi:10.1111/j.1365-2036.2011.04980.x
  9. Wang N, Cui XY, Liu Y, et al. Adult intussusception: a retrospective review of 41 cases. World J Gastroenterol. 2009;15(26):3303-3308. doi:10.3748/wjg.15.3303
  10. Khan MN, Agrawal A, Strauss P. Ileocolic Intussusception - A rare cause of acute intestinal obstruction in adults; Case report and literature review. World J Emerg Surg. 2008;3:26. Published 2008 Aug 4. doi:10.1186/1749-7922-3-26
  11. Marinis A, Yiallourou A, Samanides L, et al. Intussusception of the bowel in adults: a review. World J Gastroenterol. 2009;15(4):407-411. doi:10.3748/wjg.15.407
  12. Akbulut S. Intussusception due to inflammatory fibroid polyp: a case report and comprehensive literature review. World J Gastroenterol. 2012;18(40):5745-5752. doi:10.3748/wjg.v18.i40.5745
  13. Mochizuki T, Hirata Y, Kitamura S, Nishida T, Sakimoto H. Laparoscopic operation after pre-operative reduction of an intussusception-induced inflammatory fibroid polyp. J Surg Case Rep. 2017;2017(2):rjx026. Published 2017 Feb 23. doi:10.1093/jscr/rjx026
  14. Mader S, Ting J, Nabi H. Ileocolic intussusception from an inflammatory fibroid polyp: a rare cause of adult small bowel obstruction. ANZ J Surg. 2019;89(3):E100-E101. doi:10.1111/ans.14086
  15. Jacobs TM, Lambrianides AL. Inflammatory fibroid polyp presenting as intussusception. J Surg Case Rep. 2013;2013(2):rjt005. Published 2013 Feb 22. doi:10.1093/jscr/rjt005
  16. Gara N, Falzarano JS, Limm WM, Namiki TS, Tom LK. Ileal inflammatory fibroid polyp causing chronic ileocolic intussusception and mimicking cecal carcinoma. World J Gastrointest Oncol. 2009;1(1):89-92. doi:10.4251/wjgo.v1.i1.89
  17. Vanek J. Gastric submucosal granuloma with eosinophilic infiltration. Am J Pathol. 1949;25(3):397-411.
  18. Wysocki AP, Taylor G, Windsor JA. Inflammatory fibroid polyps of the duodenum: a review of the literature. Dig Surg. 2007;24(3):162-168. doi:10.1159/000102099
  19. Rajesh A, Chandra A. Re: Ileocolic intussusception from an inflammatory fibroid polyp: a rare cause of adult small bowel obstruction. ANZ J Surg. 2019;89(7-8):981-982. doi:10.1111/ans.15294
  20. Olasky J, Moazzez A, Barrera K, et al. In the era of routine use of CT scan for acute abdominal pain, should all adults with small bowel intussusception undergo surgery?. Am Surg. 2009;75(10):958-961.

Authors

Herrick-Reynolds KMa; Gosztyla CEa; Bowyer MWa,b

Author Affiliations

  1. Department of Surgery, Walter Reed National Military Medical Center, Bethesda, MD 20814
  2. Department of Surgery, Uniformed Services University of Health Sciences, Bethesda, MD 20814

Corresponding Author

Mark Bowyer, MD, FACS
Department of Surgery
Uniformed Services University and Walter Reed National Military Medical Center
4301 Jones Bridge Road
Bethesda, MD 20814
Phone: 301-295-8155
Email: mark.bowyer@usuhs.edu

Disclosure Statement

The authors have no conflicts of interest to disclose.

Funding/Support

The authors have no relevant financial relationships or in-kind support to disclose.

Received: February 17, 2021
Revision received: May 19, 2021
Accepted: June 22, 2021