Unsupported Browser
The American College of Surgeons website is not compatible with Internet Explorer 11, IE 11. For the best experience please update your browser.
Menu
Become a member and receive career-enhancing benefits

Our top priority is providing value to members. Your Member Services team is here to ensure you maximize your ACS member benefits, participate in College activities, and engage with your ACS colleagues. It's all here.

Become a Member
Become a member and receive career-enhancing benefits

Our top priority is providing value to members. Your Member Services team is here to ensure you maximize your ACS member benefits, participate in College activities, and engage with your ACS colleagues. It's all here.

Become a Member
ACS
ACS Case Reviews

Herniorrhaphy and Gastropexy in the Treatment of Acute Gastric Outlet Obstruction from a Gastric Paracolostomy Herniation

March 6, 2025

Abstract

Background

Despite its rarity, gastric parastomal hernia presents a significant complication. It can lead to both acute gastric outlet obstruction and potentially life-threatening visceral strangulation. This report describes a case of acute gastric outlet obstruction secondary to gastric incarceration within a parastomal hernia, successfully managed with laparoscopic parastomal hernia repair and gastropexy.

Summary

A 91-year-old frail patient with multiple comorbidities presented with a large, non-reducible parastomal hernia containing loops of small bowel, as well as the gastric body and pyloric antrum. This resulted in high-grade gastric outlet obstruction, with the transition point at the hernia fascial defect. The patient had a history of rectal cancer treated 20 years prior with low anterior resection and end colostomy in the left lower quadrant.

Following nasogastric decompression and manual reduction of the hernia, along with fluid resuscitation and electrolyte correction, the patient underwent laparoscopic repair of the 8 × 8 cm parastomal hernia using composite mesh and the keyhole technique. Due to increased gastric mobility and ligamentous laxity, a prophylactic gastropexy was also performed to mitigate the risk of future gastric migration and herniation.

Conclusion

Given the risks of recurrence, incarceration, and strangulation, operative repair is recommended for stomach-containing parastomal hernias. Concomitant gastropexy should be considered to further reduce the risk of recurrence.

Key Words

parastomal hernia; gastric herniation; gastric outlet obstruction; gastropexy


Case Description

Incarceration of the stomach within a parastomal hernia is a rare but serious complication, potentially leading to acute gastric outlet obstruction and visceral strangulation. Documented cases are scarce, with only a handful reported in the literature.1‒9 This report describes a case of acute gastric outlet obstruction secondary to gastric incarceration in a para-colostomy hernia, successfully managed with laparoscopic parastomal hernia repair and gastropexy. A review of the literature further highlights the challenges associated with this condition.

A 91-year-old frail male with multiple comorbidities, including a history of rectal cancer treated 20 years prior with low anterior resection and end-colostomy, presented with a three-day history of abdominal pain, nausea, vomiting, anorexia, and decreased ostomy output. He had a history of a chronic parastomal hernia with prior episodes of small bowel obstruction managed non-operatively. Previous imaging had not demonstrated gastric herniation.

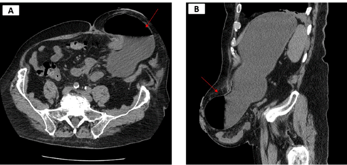
On presentation, vital signs were stable, and physical examination revealed a large, non-reducible, non-tender parastomal bulge. Laboratory findings were notable for leukocytosis (17.6 × 109/L), hypochloremia (95 mmol/L), hypokalemia (3.0 mmol/L), and mild lactic acidosis (2.5 mmol/L). CT scan of the abdomen demonstrated a left lower quadrant parastomal hernia containing small bowel loops, the gastric body, and the pyloric antrum. Gastric distention with air-fluid levels and a decompressed duodenum indicated a high-grade gastric outlet obstruction, with the transition point in the herniated stomach (Figure 1).

Figure 1. CT Scan of Stomach Herniation (arrows) Within Large Parastomal Hernia in LLQ (arrows). Published with Permission

(A) Axial and (B) sagittal views
(A) Axial and (B) sagittal views

A nasogastric tube was placed in the emergency department, yielding a large volume of gastric contents. Following decompression, the hernia was manually reduced. The patient was admitted for fluid resuscitation, electrolyte correction, and bowel rest. After 72 hours, his condition improved, colostomy output resumed, the nasogastric tube was removed, and oral feeding was initiated.

Following multidisciplinary preoperative risk assessment and optimization of his COPD and chronic atrial fibrillation, the patient underwent laparoscopic parastomal hernia repair to prevent future obstructive episodes. Extensive omental and small bowel adhesions surrounding the hernia were lysed, and incarcerated small bowel loops were freed. The size of the defect was measured to be 8 × 8 cm (Figure 2).

Figure 2. Intraoperative View of Parastomal Hernia Defect, Measuring 8 × 8 cm (arrows). Published with Permission

The hernia repair involved a composite mesh (ProceedTM, Ethicon, Somerville, NJ, USA) using a keyhole technique with a 4 cm mesh overlap. The mesh was secured with transfascial sutures and tacks (Figure 3). Gaps between the colostomy and the mesh keyhole were closed with sutures and an omental flap (Figure 3).

Figure 3. Laparoscopic View of Repaired Parastomal Hernia. Published with Permission

Upper arrow: mesh covering the defect. Lower arrow: omental flap interposed between the colostomy and mesh keyhole
Upper arrow: mesh covering the defect. Lower arrow: omental flap interposed between the colostomy and mesh keyhole

Given the increased gastric mobility and ligament laxity associated with advanced age, a prophylactic gastropexy was performed using three non-absorbable seromuscular sutures placed intracorporeally along the greater curvature (Figure 4). Suture ends were passed through the abdominal wall and tied.

Figure 4. Laparoscopic View of Gastropexy. Published with Permission

Operation was achieved with three non-absorbable seromuscular sutures placed intracorporeally along the greater curvature of the stomach.
Operation was achieved with three non-absorbable seromuscular sutures placed intracorporeally along the greater curvature of the stomach.

The patient's postoperative course was uneventful, and he was subsequently discharged to an assisted-living facility. He had an unremarkable recovery, reported feeling well without abdominal pain, tolerated a regular diet, and had a functioning ostomy with no palpable parastomal hernia at his one-month follow-up clinic visit.

Discussion

Parastomal hernias, the most common complication of ostomy formation, occur in nearly 50% of patients.10 End colostomies are associated with the highest incidence, while loop ileostomies have the lowest. These hernias typically contain omentum or bowel.10,11 Risk factors include advanced age, obesity, diabetes, tobacco use, stoma type, and emergent stoma creation.11 Unlike other hernias, surgical repair of parastomal hernias is generally reserved for symptomatic patients with bowel obstruction, pouching difficulties, or cosmetic concerns. Surgical approaches include primary fascial repair, stoma relocation, and prosthetic repair, with the latter offering the best long-term outcomes and lowest recurrence rates.11

Para-colostomy hernias containing stomach are rare, and large-scale studies are currently lacking. Case reports suggest advanced age and significant time elapsed since stoma creation (>2 years) as potential risk factors.2,4,7,8,12‒17 The increased prevalence in elderly patients may be attributed to age-related laxity of gastric suspensory ligaments.3

Clinical presentation is often nonspecific, including nausea, vomiting, and abdominal pain.2,4,7,8,13‒17 While most patients maintain ostomy output and present with a benign abdominal exam,8,13 some may experience decreased output.4,16 Although parastomal hernias are often palpable, physical examination alone cannot determine hernia contents. Symptom onset can range from acute to chronic, with some patients reporting symptoms for up to a month before presentation.

Initial management involves nasogastric decompression for symptom relief.2,13‒17 However, surgical repair is generally preferred to prevent recurrence. While some patients underwent surgery during the index hospitalization,2,4,8 others were deemed high-risk, and conservative management was chosen, acknowledging the potential for recurrence.13‒18

Surgical exploration typically reveals viable stomach; one case reported necrotic tissue requiring debridement but not gastrectomy.7 Surgical management generally involves hernia reduction, ostomy relocation (in some cases), and hernia defect repair.2,4,7,8,19

Our approach to gastropexy, in this case, draws upon the paraesophageal hernia repair (PEHR) literature. While percutaneous endoscopic gastrostomy (PEG) tube gastropexy is often used in PEHR for postoperative gastric venting and feeding access, our patient declined PEG placement, prompting suture gastropexy. Although comparative data are lacking, suture gastropexy avoids PEG-related complications such as dislodgement, leaks, and stoma site issues when gastric decompression and feeding are not required.

Anterior gastropexy in PEHR has been suggested to reduce recurrence compared to hiatal hernia repair alone,20,21 but conflicting data exist.22 A randomized trial is ongoing to address this question.23 Until results are available, the decision to perform gastropexy during PEHR is based on a risk-benefit assessment considering patient-specific factors.

Similar to PEHR, hernia reduction with gastropexy alone, while minimizing procedural risk in high-risk patients, carries a high recurrence risk.24,25 Therefore, hernia repair is generally recommended when feasible.26

Given the rarity of gastric parastomal hernias, our management was guided by PEHR principles. We elected to repair the hernia defect due to the patient's surgical candidacy. We performed suture gastropexy, reasoning that the potential benefit of reduced recurrence outweighed the short-term discomfort from suture sites.

To our knowledge, this is the first reported case of gastropexy performed during repair of a stomach-containing parastomal hernia. Upon diagnosis, nasogastric decompression should be initiated, followed by prompt surgical consultation. While surgery may be contraindicated in some patients, we recommend operative management for these hernias due to the risks of recurrence and complications. Gastropexy may be considered during repair to further reduce recurrence, especially in elderly patients with ligamentous laxity. Multidisciplinary, patient-centered discussion and preoperative optimization are essential for all patients.

Conclusion

Stomach-containing parastomal hernias, while rare, represent a serious complication of parastomal hernia formation. Due to the risks of recurrence, incarceration, and strangulation, operative repair is recommended when feasible, considering the patient's comorbidities and functional status. Concomitant gastropexy should be considered to further mitigate the risk of recurrence.

Lessons Learned

Parastomal hernias containing stomach, although rare, pose a significant surgical challenge, often occurring in older patients with multiple comorbidities. A multidisciplinary, patient-centered approach, including thorough preoperative optimization, is crucial for these complex cases. Surgeons should be prepared to address the hernia defect and consider performing a gastropexy, as demonstrated successfully in this case, to reinforce the repair and prevent future herniation.

Authors

Foroushani Sa,b; Gaetani RSc; Siegel Aa,d; Chugh Pa,b; Kristo Ga,d

Author Affiliations

  1. Department of Surgery, Veterans Affairs Boston Healthcare System, Boston, MA 02132
  2. Department of Surgery, Boston Medical Center, Boston University Medical School, Boston, MA
  3. Department of Surgery, Lahey Hospital and Medical Center, Tufts University School of Medicine, Boston, MA
  4. Department of Surgery, Brigham and Women's Hospital, Harvard Medical School, Boston, MA

Corresponding Author

Gentian Kristo, MD, MPH, FACS
Department of Surgery
Veterans Affairs Boston Healthcare System (112-C)
1400 VFW Parkway
West Roxbury, MA 02132
Email: gentian.kristo@va.gov

Disclosure Statement

The authors have no conflicts of interest to disclose.

Funding/Support

The authors have no relevant financial relationships or in-kind support to disclose.

Received: September 5, 2022
Revision received: February 3, 2023
Accepted: June 24, 2023

References

  1. Figiel LS, Figiel SJ. Gastric herniation as a complication of transverse colostomy. Radiology. 1967;88(5):995-996. doi:10.1148/88.5.995
  2. McAllister JD, D'Altorio RA. A rare cause of parastomal hernia: stomach herniation. South Med J. 1991;84(7):911-912. doi:10.1097/00007611-199107000-00023
  3. Ellingson TL, Maki JH, Kozarek RA, Patterson DJ. An incarcerated peristomal gastric hernia causing gastric outlet obstruction. J Clin Gastroenterol. 1993;17(4):314-316. doi:10.1097/00004836-199312000-00011
  4. Bota E, Shaikh I, Fernandes R, Doughan S. Stomach in a parastomal hernia: uncommon presentation. BMJ Case Rep. 2012;2012:bcr0120125508. Published 2012 Mar 8. doi:10.1136/bcr.01.2012.5508
  5. Ramia-Ángel JM, De la Plaza R, Quiñones-Sampedro J, Veguillas P, García-Parreño J. Education and Imaging. Gastrointestinal: gastric incarceration in parastomal hernia. J Gastroenterol Hepatol. 2012;27(8):1405. doi:10.1111/j.1440-1746.2012.07181.x
  6. Ilyas C, Young AL, Lewis M, Suppia A, Gerotfeke R, Perry EP. Parastomal hernia causing gastric emphysema. Ann R Coll Surg Engl. 2012;94(2):e72-e73. doi:10.1308/003588412X13171221588613
  7. Marsh AK, Hoejgaard M. Incarcerated and perforated stomach found in parastomal hernia: a case of a stomach in a parastomal hernia and subsequent strangulation-induced necrosis and perforation. J Surg Case Rep. 2013;2013(4):rjt029. Published 2013 Apr 18. doi:10.1093/jscr/rjt029
  8. Barber-Millet S, Pous S, Navarro V, Iserte J, García-Granero E. Parastomal hernia containing stomach. Int Surg. 2014;99(4):404-406. doi:10.9738/INTSURG-D-13-00100
  9. Asadov R, Kuzan TY, Ergelen R, Demirbağ T, Tüney D. Uncommon parastomal hernia containing stomach: CT findings and review of literature. Imaging Med. 2017;9:817-822.
  10. Antoniou SA, Agresta F, Garcia Alamino JM, et al. European Hernia Society guidelines on prevention and treatment of parastomal hernias. Hernia. 2018;22(1):183-198. doi:10.1007/s10029-017-1697-5
  11. Styliński R, Alzubedi A, Rudzki S. Parastomal hernia - current knowledge and treatment. Wideochir Inne Tech Maloinwazyjne. 2018;13(1):1-8. doi:10.5114/wiitm.2018.72685
  12. Waheed A, Zeller PE, Bishop PJ, Robinson SK, Tuma F. Gastric Parastomal Hernia: A Case Report of a Rare yet Fascinating Clinical Entity. Cureus. 2019;11(6):e4886. Published 2019 Jun 11. doi:10.7759/cureus.4886
  13. Khan S, Khan M, Harris M, Murphy SR, Dionisio P. A Case of Gastric Outlet Obstruction Secondary to Parastomal Stomach Herniation. Cureus. 2022;14(3):e23536. Published 2022 Mar 27. doi:10.7759/cureus.23536
  14. Eastment J, Burstow M.v Parastomal stomach herniation complicated by gastric outlet obstruction: A case report and literature review. Int J Surg Case Rep. 2018;53:273-276. doi:10.1016/j.ijscr.2018.10.049
  15. Christodoulou P, Liapis SC. Incomplete Gastric Obstruction Due to Herniation of Stomach Into Parastomal Hernia: A Case Report. Cureus. 2022;14(2):e22479. Published 2022 Feb 22. doi:10.7759/cureus.22479
  16. Centauri S, Buxey K, Chouhan H, Teoh W, Suhardja T. Beware the fully reducible large parastomal hernia in elderly female patients: acute gastric outlet obstruction in parastomal hernia. ANZ J Surg. 2020;90(4):E73-E74. doi:10.1111/ans.15302
  17. Wu PH, Jao SW. Stomach herniation through para-colostomy hernia. Indian J Surg. 2021;83(6):806-807. doi: 10.1007/s12262-020-02329-1
  18. Bull N, Chan DL, Ravindran P, Sano SD, White SI. Gastric outlet obstruction secondary to parastomal hernia: case report and literature review. ANZ J Surg. 2019;89(3):E96-E97. doi:10.1111/ans.14066
  19. Townsend CM. Sabiston Textbook of Surgery: The Biological Basis of Modern Surgical Practice. 20th ed. Philadelphia, PA: Elsevier; 2021.
  20. Ponsky J, Rosen M, Fanning A, Malm J. Anterior gastropexy may reduce the recurrence rate after laparoscopic paraesophageal hernia repair. Surg Endosc. 2003;17(7):1036-1041. doi:10.1007/s00464-002-8765-2
  21. Poncet G, Robert M, Roman S, Boulez JC. Laparoscopic repair of large hiatal hernia without prosthetic reinforcement: late results and relevance of anterior gastropexy. J Gastrointest Surg. 2010;14(12):1910-1916. doi:10.1007/s11605-010-1308-6
  22. Diaz S, Brunt LM, Klingensmith ME, Frisella PM, Soper NJ. Laparoscopic paraesophageal hernia repair, a challenging operation: medium-term outcome of 116 patients. J Gastrointest Surg. 2003;7(1):59-67. doi:10.1016/S1091-255X(02)00151-8
  23. Blake KE, Zolin SJ, Tu C, et al. Comparing anterior gastropexy to no anterior gastropexy for paraesophageal hernia repair: a study protocol for a randomized control trial. Trials. 2022;23(1):616. Published 2022 Jul 30. doi:10.1186/s13063-022-06571-8
  24. Rosenberg J, Jacobsen B, Fischer A. Fast-track giant paraoesophageal hernia repair using a simplified laparoscopic technique. Langenbecks Arch Surg. 2006;391(1):38-42. doi:10.1007/s00423-005-0008-2
  25. Agwunobi AO, Bancewicz J, Attwood SE. Simple laparoscopic gastropexy as the initial treatment of paraoesophageal hiatal hernia. Br J Surg. 1998;85(5):604-606. doi:10.1046/j.1365-2168.1998.00639.x
  26. Bruenderman EH, Martin RCG, Kehdy FJ. Outcomes after Laparoscopic Gastropexy as an Alternative for Paraesophageal Hernia Repair. JSLS. 2020;24(4):e2020.00059. doi:10.4293/JSLS.2020.00059