Unsupported Browser
The American College of Surgeons website is not compatible with Internet Explorer 11, IE 11. For the best experience please update your browser.
Menu
Become a member and receive career-enhancing benefits

Our top priority is providing value to members. Your Member Services team is here to ensure you maximize your ACS member benefits, participate in College activities, and engage with your ACS colleagues. It's all here.

Become a Member
Become a member and receive career-enhancing benefits

Our top priority is providing value to members. Your Member Services team is here to ensure you maximize your ACS member benefits, participate in College activities, and engage with your ACS colleagues. It's all here.

Become a Member
ACS
ACS Case Reviews

Pheochromocytoma in Late Pregnancy Associated with Genetic Mutation

July 8, 2024

Abstract

Background

Pheochromocytoma (PCC), a rare catecholamine-producing tumor with an estimated annual incidence of only 0.8 per 100,000 individuals, presents a complex management challenge during pregnancy due to catecholamine excess. Management strategies rely heavily on expert opinion as the limited number of cases makes it difficult to establish definitive guidelines.

Summary

A 39-year-old multiparous female diagnosed with pheochromocytoma at 31 weeks gestation required a multidisciplinary approach due to the late detection. This report details the management strategy employed by each involved team. Following diagnosis and initiation of alpha blockade, the patient’s increasingly labile blood pressure necessitated admission at 36 weeks for labor induction. Labor induction was attempted but resulted in stalled dilation, prompting a cesarean section delivery of a healthy baby at 36 weeks gestation. Laparoscopic resection through the abdomen of the pheochromocytoma was safely deferred until two months postpartum. Germline testing of the patient revealed the presence of a succinate dehydrogenase complex subunit B (SDH-B) mutation.

Conclusion

Pheochromocytoma during pregnancy can pose a diagnostic challenge. However, certain clinical indicators like admitting hypertension, sweating, prior pheochromocytoma diagnosis, relevant genetic mutations, or the presence of an adrenal mass can aid identification. Early pregnancy (less than 24 weeks) necessitates prompt adrenalectomy. Conversely, managing pheochromocytoma medically in the third trimester is advisable, postponing surgery until after delivery to minimize risks from heightened vascularity and bleeding during pregnancy. Scheduled cesarean delivery is preferred for better control and fewer hemodynamic changes compared to vaginal birth.

Key Words

pheochromocytoma; pregnancy; laparoscopic adrenalectomy; succinate dehydrogenase complex mutation; SDHB


Case Description

Pheochromocytoma (PCC), a rare catecholamine-producing adrenal tumor with an estimated annual incidence of 0.8 per 100,000 individuals,1 presents a significant risk factor in pregnancy, with less than 250 cases of pheochromocytoma antepartum in the literature.2 Diagnosis typically relies on urine metanephrine excess with imaging to localize tumor mass.3 Obstetric indications dictate the mode of delivery. While laparoscopic adrenalectomy is the preferred approach, the timing of adrenalectomy depends upon gestational age at the time of diagnosis.4 A systematic review of 135 reports (77 pregnancies) found no difference in fetal mortality when adrenalectomy was performed during pregnancy compared to postpartum. However, there were significantly better outcomes (improved fetal and maternal mortality) when a diagnosis of pheochromocytoma was made in the antenatal period rather than during delivery or postpartum.4

A 39-year-old female (gravida five, para four) initially presented with uncontrolled hypertension at 24 weeks of pregnancy. Her medical history was significant only for attention deficit disorder treated with amphetamine/dextroamphetamine and four prior-term vaginal deliveries with few complications. At the onset, the patient was suspected to have gestational hypertension or pre-eclampsia. As the pregnancy progressed, however, she continued to have refractory hypertension, headaches, palpitations, and profuse diaphoresis, requiring several hospital admissions. This classic triad of symptoms, in addition to her refractory hypertension, warranted further diagnostic evaluation. Notably, the patient did not endorse a family history of relevant conditions such as uncontrolled hypertension, pheochromocytoma and paraganglioma syndromes, medullary thyroid cancer, Von Hippel Lindau syndrome, or neurofibromatosis.

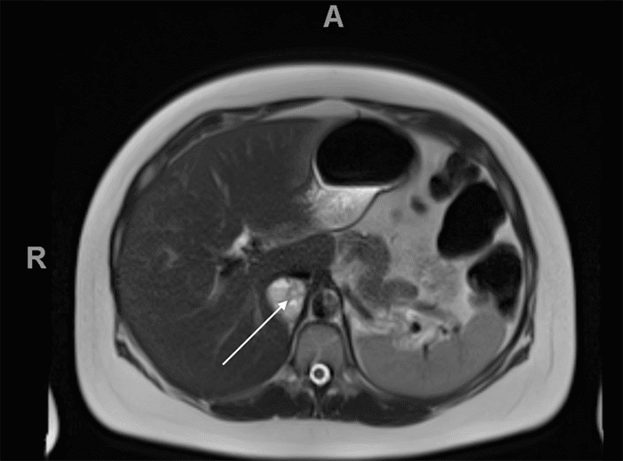
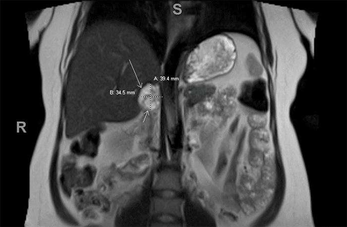
Biochemical testing at 31 weeks gestation revealed significantly elevated urine normetanephrine (4630 mcg/24 hour; normal 35-482 mcg/24 hour) and total metanephrine (4786 mcg/24 hour; normal 115-695 mcg/24 hour) levels, while catecholamine levels were within normal range. Subsequent magnetic resonance imaging (MRI) of the chest, abdomen, and pelvis revealed a 3.4 × 3.6 × 3.9 cm heterogenous mass in the right adrenal gland (Figures 1-3), consistent with pheochromocytoma.

Figure 1. Coronal View of T2-Weighted MRI (arrow indicating pheochromocytoma). Published With Permission

Figure 2. Sagittal View of T2-Weighted MRI (arrow indicating pheochromocytoma). Published With Permission

Figure 3. Sagittal View of T2-Weighted MRI Showing Patient at 31 weeks Gestation. Published With Permission

During the third trimester of pregnancy, a pheochromocytoma diagnosis was confirmed. A multidisciplinary team conference was convened, including obstetric maternal-fetal medicine, neonatology, endocrinology, endocrine surgery, and anesthesia. She was started on prazosin to maintain adequate alpha-receptor blockade. Subsequently, metoprolol and nifedipine were added to the regimen to control tachycardia and hypertension after successful alpha-blockade.

At 36 weeks of pregnancy, the patient underwent medical induction. However, she experienced dilation arrest and subsequently underwent a low transverse cesarean section under epidural anesthesia. The healthy newborn weighed 3.23 kg with reassuring Apgar scores (7 and 9). The postpartum course was uneventful, during which the patient continued appropriate alpha and beta blockade to prepare for the definitive adrenalectomy of the patient’s hyperfunctioning adrenal gland.

At two months postpartum, the patient underwent uncomplicated right laparoscopic adrenalectomy. The final pathology confirmed the presence of a pheochromocytoma. Genetic testing identified an autosomal dominant mutation in the succinate dehydrogenase complex subunit B gene. Genetic testing is pending for her children.

Discussion

Pheochromocytoma is rare, and its occurrence during pregnancy is even more uncommon, with a reported frequency of 1 in 54,000 pregnancies.5 Diagnosis and management are not always straightforward. While patients typically present with hypertension, the classic triad of headaches, diaphoresis, and palpitations is less common.6 Hypertension at admission, sweating, and history of known pheochromocytoma, adrenal mass, or pheochromocytoma associated gene mutation are independent factors in an antepartum diagnosis.5 Independent factors for a postpartum diagnosis include initial diagnosis of pre-eclampsia, obstetrics admission, and maternal tachycardia.5 The most reliable method for definitive diagnosis of pheochromocytoma involves measuring 24-hour urine fractionated metanephrines and catecholamines.7 This case demonstrates the intricate interplay between physiological changes of pregnancy and the presentation of pheochromocytoma, highlighting the crucial need for a high index of suspicion and a multifaceted diagnostic approach.

Diagnosis of pheochromocytoma in pregnancy relies on two mainstays: 24-hour urine metanephrine testing and localization imaging studies. Management typically involves alpha-blocker therapy, such as prazosin, to control catecholamine surges and blood pressure fluctuations. In this case, prazosin was used rather than phenoxybenzamine for insurance limitations.9 A retrospective review focused on patients diagnosed with pheochromocytoma in early pregnancy suggests delaying adrenalectomy during pregnancy can be detrimental, potentially leading to a higher incidence of emergency deliveries and perinatal complications in three out of ten deliveries.10

While metanephrines do not cross the placenta, maternal catecholamine vasoconstriction due to pheochromocytoma poses a significant risk to the fetus. This vasoconstriction can theoretically increase the rates of spontaneous abortion, intrauterine growth restriction, premature delivery, and fetal hypoxia,11,12 as emphasized by neonatology colleagues within the multidisciplinary team. Supporting this concern, a systematic review suggests early laparoscopic adrenalectomy benefits pregnant women diagnosed with pheochromocytoma before 24 weeks,4 a finding corroborated by early case reports.11,13-15

The optimal management of pheochromocytoma diagnosed in late pregnancy has not been definitively established. Delivery method and timing of adrenalectomy lack clear consensus. Cesarean section is commonly utilized due to the controlled environment of the operating room and concern about catecholamine surges during contractions, but strong evidence is lacking.16 Successful vaginal delivery has also been described.17 Considering this and the advantages of vaginal delivery, our multidisciplinary team opted for a trial of labor. The patient, experiencing labile blood pressure despite alpha-blockade and subsequent beta-blockade, was medically induced at 36 weeks of pregnancy. The neonatology team expressed concern about fetal hypoperfusion due to ongoing hypertension was weighed against lung maturity at this gestational age.

Upon admission for induction, a short-acting calcium channel blocker was added to her antihypertensive regimen. An epidural with slow titration of bupivacaine and fentanyl was placed for spinal anesthesia to create a deeper anesthetic block while minimizing sudden sympathectomy in the setting of her pheochromocytoma. The patient was induced with misoprostol, artificial rupture of membranes, as well as oxytocin. Despite misoprostol, amniotomy, and oxytocin, a lack of cervical change after 24 hours and persistent category two fetal heart tracings characterized by intermittent late decelerations indicated failed labor induction. Consequently, the patient underwent a successful cesarean section with bilateral tubal ligation. She was continued on alpha and beta blockade as well as calcium channel blockade postoperatively and discharged after delivery on postoperative day 3.

After delivery, it has been established as safe to wait at least six weeks for planned pheochromocytoma resection.18-20 Adrenalectomy can be performed either laparoscopically or through an open procedure.21 Based on these data and input from our expert multidisciplinary panel, the team performed a staged laparoscopic transperitoneal right adrenalectomy two months postpartum. At this time, the patient’s anatomy had returned to baseline, without concern for vascular vasodilation that would make the surgery a higher risk for serious bleeding complications.

Pheochromocytoma and paragangliomas are commonly associated with germline mutations, with approximately 40% of PCC patients lacking a family history still exhibiting them. Therefore, it is recommended that all patients with PCC undergo germline genetic testing,8 as exemplified by this case. Postoperative testing revealed a succinate dehydrogenase B (SDHB) mutation. This particular mutation is one of ten genetic mutations strongly linked with pheochromocytoma, characterized by an autosomal dominant tumor suppressor gene mutation. SDHB mutations not only elevate the risk of PCC recurrence but also increase the lifetime risk of various other malignancies, including gastrointestinal stromal tumors, thyroid cancer, neuroblastoma, renal cell carcinoma, and other malignancies.8 Germline SDHB mutations are found in approximately 10% of patients with PCC or paraganglioma, with 40% of carriers developing metastatic disease.9 These profound implications extend beyond the index patient to their offspring, necessitating implementation of cancer screening protocols outlined in the International Consensus Guidelines. This comprehensive screening regimen incorporates symptom assessment, blood pressure monitoring, urine biochemistry evaluation, and multi-modality MRI scans encompassing the head, neck, thorax, and abdomen/pelvis.22 By proactively identifying these mutations and implementing appropriate screening measures, clinicians can significantly improve patient outcomes and guide informed risk management strategies for family members.

Conclusion

Pheochromocytoma during pregnancy can result in a diagnostic dilemma. A high index of suspicion is required in the setting of hypertension refractory to medical management. Clinical indicators like admission hypertension, sweating, prior pheochromocytoma history, or genetic predisposition can aid early diagnosis.5 For cases identified before 24 weeks, prompt adrenalectomy may be necessary. Scheduled cesarean delivery is often preferred due to better control over hemodynamics. This case report highlights the benefits of medical management of pheochromocytoma during the third trimester of pregnancy, deferring surgical resection until postpartum to avoid morbidity associated with increased vascularity and bleeding risk in pregnancy.

Lessons Learned

This case report highlights the critical role of a multidisciplinary team in achieving successful pregnancy and delivery outcomes in women with pheochromocytoma. Maintaining a broad differential diagnosis for pregnancy-related hypertension is essential, as early pheochromocytoma identification significantly reduces maternal and fetal complications. While definitive guidelines are lacking, management strategies typically hinge on gestational age at diagnosis. For patients diagnosed before 24 weeks, antepartum laparoscopic adrenalectomy is preferred. Conversely, those diagnosed later often receive medical management until after delivery.

Authors

Pollack NSa; Winget Vb; Zwart Ac; McCoy Jd; Lesser KBb; Morris-Wiseman LFa

Author Affiliations

  1. Department of Surgery, University of Arizona College of Medicine, Tucson, AZ 85724
  2. Department of Obstetrics and Gynecology, University of Arizona College of Medicine, Tucson, AZ 85724
  3. Endocrinology, Tucson Endocrine Associates, Tucson, AZ 85741
  4. Department of Anesthesiology, University of Arizona College of Medicine, Tucson, AZ 85724

Corresponding Author

Lilah F. Morris-Wiseman, MD, FACS
Department of Surgery
Johns Hopkins University
600 N. Wolfe Street, Blalock 606
Baltimore, MD 21287
Email: lmorri54@jhu.edu

Disclosure Statement

The authors have no conflicts of interest to disclose.

Funding/Support

The authors have no relevant financial relationships or in-kind support to disclose.

Received: August 4, 2021
Revision received: December 20, 2021
Accepted: January 24, 2022

References

  1. Beard CM, Sheps SG, Kurland LT, Carney JA, Lie JT. Occurrence of pheochromocytoma in Rochester, Minnesota, 1950 through 1979. Mayo Clin Proc. 1983;58(12):802-804.
  2. Habra B, Mghari GE, Ansari NE. Un cas de phéochromocytome découvert au cours d’une grossesse gémellaire: un diagnostic à ne pas méconnaître et revue de littérature [A case of pheochromocytoma discovered during a twin pregnancy: a diagnosis not to be misunderstood and literature review]. Pan Afr Med J. 2018;29:168. Published 2018 Mar 23. doi:10.11604/pamj.2018.29.168.13901
  3. Boyle JG, Davidson DF, Perry CG, Connell JM. Comparison of diagnostic accuracy of urinary free metanephrines, vanillyl mandelic Acid, and catecholamines and plasma catecholamines for diagnosis of pheochromocytoma. J Clin Endocrinol Metab. 2007;92(12):4602-4608. doi:10.1210/jc.2005-2668
  4. Biggar MA, Lennard TW. Systematic review of phaeochromocytoma in pregnancy. Br J Surg. 2013;100(2):182-190. doi:10.1002/bjs.8976
  5. Langton K, Tufton N, Akker S, et al. Pregnancy and phaeochromocytoma/paraganglioma: clinical clues affecting diagnosis and outcome - a systematic review. BJOG. 2021;128(8):1264-1272. doi:10.1111/1471-0528.16635
  6. Falhammar H, Kjellman M, Calissendorff J. Initial clinical presentation and spectrum of pheochromocytoma: a study of 94 cases from a single center. Endocr Connect. 2018;7(1):186-192. doi:10.1530/EC-17-0321
  7. Kudva YC, Sawka AM, Young WF Jr. Clinical review 164: The laboratory diagnosis of adrenal pheochromocytoma: the Mayo Clinic experience. J Clin Endocrinol Metab. 2003;88(10):4533-4539. doi:10.1210/jc.2003-030720
  8. Fishbein L, Nathanson KL. Pheochromocytoma and paraganglioma: understanding the complexities of the genetic background. Cancer Genet. 2012;205(1-2):1-11. doi:10.1016/j.cancergen.2012.01.009
  9. Lenders JW, Duh QY, Eisenhofer G, et al. Pheochromocytoma and paraganglioma: an endocrine society clinical practice guideline [published correction appears in J Clin Endocrinol Metab. 2023 Apr 13;108(5):e200]. J Clin Endocrinol Metab. 2014;99(6):1915-1942. doi:10.1210/jc.2014-1498
  10. Donatini G, Kraimps JL, Caillard C, et al. Pheochromocytoma diagnosed during pregnancy: lessons learned from a series of ten patients [published correction appears in Surg Endosc. 2018 Mar 20;:]. Surg Endosc. 2018;32(9):3890-3900. doi:10.1007/s00464-018-6128-x
  11. van der Weerd K, van Noord C, Loeve M, et al. Endocrinology in pregnancy: Pheochromocytoma in pregnancy: case series and review of literature. Eur J Endocrinol. 2017;177(2):R49-R58. doi:10.1530/EJE-16-0920
  12. Iijima S. Impact of maternal pheochromocytoma on the fetus and neonate. Gynecol Endocrinol. 2019;35(4):280-286. doi:10.1080/09513590.2018.1540568
  13. Łubińska M, Hoffmann M, Jendrzejewski J, Kobiela P, Kobiela J, Sworczak K. Successful surgical treatment of pheochromocytoma during pregnancy. Pol Arch Intern Med. 2018;128(5):322-323. doi:10.20452/pamw.4247
  14. E Paula FA, Dos Santos RI Junior , Ferruzzi OA, Melo RO, Takaku M. Laparoscopic approach to pheochromocytoma in pregnancy: case report. Int Braz J Urol. 2018;44(3):629-633. doi:10.1590/S1677-5538.IBJU.2017.0540
  15. Chmielewski G, Walczyk A, Kowalska A. Two cases of pheochromocytoma in pregnancy: a multidisciplinary challenge. Endokrynol Pol. 2020;71(1):98-99. doi:10.5603/EP.a2019.0039
  16. Lenders JWM, Langton K, Langenhuijsen JF, Eisenhofer G. Pheochromocytoma and Pregnancy. Endocrinol Metab Clin North Am. 2019;48(3):605-617. doi:10.1016/j.ecl.2019.05.006
  17. Wing LA, Conaglen JV, Meyer-Rochow GY, Elston MS. Paraganglioma in Pregnancy: A Case Series and Review of the Literature. J Clin Endocrinol Metab. 2015;100(8):3202-3209. doi:10.1210/jc.2015-2122
  18. Kaluarachchi VTS, Bulugahapitiya U, Arambewela M, Gunathilake S. Successful Management of Pheochromocytoma Detected in Pregnancy by Interval Adrenalectomy in a VHL Patient. Case Rep Endocrinol. 2018;2018:9014585. Published 2018 Jul 19. doi:10.1155/2018/9014585
  19. Giampaolino P, Della Corte L, Formisano C, et al. Successful management of a third-trimester pregnancy complicated by pheochromocytoma: case report. Gynecol Endocrinol. 2018;34(12):1016-1018. doi:10.1080/09513590.2018.1480712
  20. Shah S, Edwards L, Robinson A, Crosthwaite A, Houlihan C, Paizis K. A rare cause of hypertension in pregnancy: Phaeochromocytoma. Obstet Med. 2017;10(2):83-84. doi:10.1177/1753495X16669995
  21. Lal G, Duh QY. Laparoscopic adrenalectomy--indications and technique. Surg Oncol. 2003;12(2):105-123. doi:10.1016/s0960-7404(03)00036-7
  22. Amar L, Pacak K, Steichen O, et al. International consensus on initial screening and follow-up of asymptomatic SDHx mutation carriers. Nat Rev Endocrinol. 2021;17(7):435-444. doi:10.1038/s41574-021-00492-3