Unsupported Browser
The American College of Surgeons website is not compatible with Internet Explorer 11, IE 11. For the best experience please update your browser.
Menu
Become a member and receive career-enhancing benefits

Our top priority is providing value to members. Your Member Services team is here to ensure you maximize your ACS member benefits, participate in College activities, and engage with your ACS colleagues. It's all here.

Become a Member
Become a member and receive career-enhancing benefits

Our top priority is providing value to members. Your Member Services team is here to ensure you maximize your ACS member benefits, participate in College activities, and engage with your ACS colleagues. It's all here.

Become a Member
ACS
ACS Case Reviews

Complex Recurrent Incisional Hernia Repair Status Post-Kidney Transplant

Abstract

Background

Incisional hernias following solid organ transplantation present unique surgical challenges. These are often impacted by factors such as impaired wound healing secondary to immunosuppressive therapy and the frequent presence of significant comorbidities, including obesity. This report details the complex, staged management of a recurrent, large ventral hernia in a morbidly obese patient with a history of deceased donor kidney transplantation and multiple prior episodes of fascial dehiscence.

Summary

We describe the case of a 64-year-old morbidly obese female who developed recurrent fascial dehiscence following a deceased donor kidney transplantation. Her initial incisional hernia occurred four days posttransplantation, necessitating operative repair with biologic mesh placement. This was complicated by a second episode of fascial dehiscence two days later, attributed to fascial ischemia and retraction from the mesh, requiring mesh explantation and closure of only the subcutaneous tissues due to limited fascial viability. After recovering from her transplantation and undergoing a laparoscopic sleeve gastrectomy with subsequent significant weight loss (60 lbs), she presented for elective definitive ventral hernia repair. This complex procedure involved a multidisciplinary approach with component separation (transversus abdominis release) and panniculectomy.

Conclusion

This case underscores the critical importance of a staged, multidisciplinary approach in managing large, complex incisional hernia defects, particularly in immunosuppressed transplant recipients with significant comorbidities. It also highlights the pivotal role of preoperative risk factor modification, such as substantial weight loss achieved through bariatric surgery, in optimizing patients for definitive hernia repair and potentially improving long-term outcomes.

Key Words

complex incisional hernia; post-kidney transplant complications; retrorectus repair; TAR


Case Description

A 64-year-old female with a significant past medical history, including chronic obstructive pulmonary disease (COPD) with a notable smoking history (quit two years prior), morbid obesity (initial BMI 38 kg/m²), type 2 diabetes mellitus (last HbA1c 6.8%), and diabetic nephropathy culminating in end-stage kidney disease requiring hemodialysis, presented to our center for deceased donor kidney transplantation (DDKTx). She underwent an uneventful DDKTx in November 2022, with the allograft sited in the right lower quadrant via a standard retroperitoneal approach through a Gibson incision. A muscle-sparing technique was employed, with dissection along the semilunar line to access the retroperitoneum; the peritoneum was not violated. The abdominal fascia was closed with a running #1 PDS suture. Standard induction immunosuppression with thymoglobulin and methylprednisolone was administered. Postoperatively, she experienced delayed extubation, attributed to significant perioperative fluid shifts and increased intra-abdominal pressure exacerbated by her adiposity, requiring initial management in the intensive care unit (ICU) with diuresis and aggressive pulmonary toilet before successful extubation. Her immediate postoperative immunosuppressive regimen included prednisone 40 mg daily, tacrolimus, and mycophenolate.

On postoperative day (POD) 4 following transplantation, she developed a palpable bulge at her incision site, concerning for fascial dehiscence, which was confirmed on computed tomography (CT) (Figure 1A). She was taken to the operating room (OR) for repair. Intraoperatively, the fascia was noted to be thin and friable, making primary approximation difficult. A Permacol™ biologic inlay mesh was utilized to bridge the fascial defect and was secured circumferentially to the fascial edges with interrupted Prolene sutures; the peritoneal cavity was not entered during this second operation. Despite this, on POD 2 following this mesh repair (POD 6 from initial transplant), the patient acutely re-developed a palpable bulge, again concerning for recurrent fascial dehiscence. She returned urgently to the OR, where the fascial edges were found to be ischemic and retracted from the previously placed mesh, resulting in a repeat dehiscence (Figure 1B). Given her immunosuppressed state, pre-existing obesity, and the already failed attempt at mesh closure, the decision was made to explant the mesh, débride non-viable fascia, and perform a tension-free closure of only the overlying subcutaneous tissues and skin, effectively creating a planned ventral hernia. The peritoneal cavity was not violated during this third operation. After a prolonged hospitalization, the patient recovered appropriately and was discharged home.

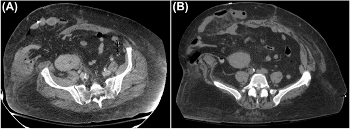
Figure 1. CT Demonstrating Sequential Fascial Dehiscences. Published with Permission

Axial CT images. (A) Scan obtained on POD 2 following kidney transplantation, demonstrating the initial fascial dehiscence with herniation of intra-abdominal contents. (B) Scan obtained on POD 7 following kidney transplantation (and after the first attempted mesh repair), showing recurrence of the fascial dehiscence with evidence of fascial edge retraction from the biologic mesh
Axial CT images. (A) Scan obtained on POD 2 following kidney transplantation, demonstrating the initial fascial dehiscence with herniation of intra-abdominal contents. (B) Scan obtained on POD 7 following kidney transplantation (and after the first attempted mesh repair), showing recurrence of the fascial dehiscence with evidence of fascial edge retraction from the biologic mesh

Following recovery from her kidney transplantation and its acute complications, the patient was evaluated for bariatric surgery, with an initial BMI of 37.9 kg/m², aiming for significant weight loss prior to attempting definitive hernia repair. Approximately ten months after her kidney transplant, she underwent a laparoscopic vertical sleeve gastrectomy. This resulted in a substantial 60 lb weight loss over the subsequent nine months, decreasing her BMI to 25.1 kg/m². As a consequence of this significant weight reduction, she also developed a large pannus of excess abdominal skin.

After multidisciplinary discussions involving minimally invasive surgery, plastic surgery, and transplant surgery teams, a combined procedure for definitive hernia repair with component separation and panniculectomy was planned. Approximately 22 months after her kidney transplant and 12 months after her bariatric surgery, the patient presented for this definitive repair. Preoperative axial CT imaging was performed to aid in surgical planning (Figure 2).

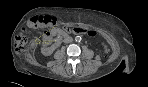
Figure 2. Preoperative Computed Tomography (CT) Prior to Definitive Incisional Hernia Repair. Published with Permission

Preoperative axial CT scan obtained approximately two years following kidney transplantation, demonstrating a large ventral hernia defect (measuring approximately 7.5 cm in transverse dimension on this image) containing loops of small and large bowel, situated in the region of her transplanted kidney
Preoperative axial CT scan obtained approximately two years following kidney transplantation, demonstrating a large ventral hernia defect (measuring approximately 7.5 cm in transverse dimension on this image) containing loops of small and large bowel, situated in the region of her transplanted kidney

Intraoperatively, the patient was placed in the supine position, and the midline as well as planned panniculectomy incisions were marked (Figure 3). An infra-umbilical transverse incision was made, standard for a panniculectomy. The skin and subcutaneous tissue were dissected off the underlying fascia and hernia sac, exposing the right-sided fascial defect, the herniated bowel, and the transplanted kidney. The intraoperatively measured hernia defect was larger than anticipated from preoperative CT, measuring approximately 15 × 15 cm (Figure 4). Extensive adhesiolysis was required to free the incarcerated bowel. The transplanted kidney and its ureter were carefully identified and preserved, with meticulous dissection to mobilize these structures off Cooper’s ligament and the pubic tubercle (Figure 5).

Figure 3. Preoperative Abdominal Appearance. Published with Permission

Preoperative clinical photograph of the patient’s abdomen, demonstrating the large, right-sided incisional hernia and significant pannus
Preoperative clinical photograph of the patient’s abdomen, demonstrating the large, right-sided incisional hernia and significant pannus

Figure 4. Intraoperative View of Hernia Defect. Published with Permission

Intraoperative photograph after opening the hernia sac, illustrating the extensive 15 × 15 cm fascial defect with herniated bowel visible
Intraoperative photograph after opening the hernia sac, illustrating the extensive 15 × 15 cm fascial defect with herniated bowel visible

Figure 5. Identification of Transplanted Kidney and Ureter. Published with Permission

Intraoperative photograph showing the carefully dissected and identified transplanted kidney and ureter (ureter indicated at the tip of the forceps) within the right lower quadrant operative field
Intraoperative photograph showing the carefully dissected and identified transplanted kidney and ureter (ureter indicated at the tip of the forceps) within the right lower quadrant operative field

The midline fascia was incised. Upon entering the retrorectus plane, it became evident that the posterior rectus sheath could not be approximated primarily. Therefore, a bilateral transversus abdominis release (TAR) was performed. Despite the TAR, there remained insufficient tissue laxity for primary tension-free closure of the posterior layer. Consequently, an omental flap was mobilized and used as an interposition graft, secured circumferentially with PDS suture, to facilitate visceral coverage (Figure 6). A BARD® Midweight monofilament polypropylene mesh, measuring 26 × 36 cm and tailored to 26 × 30 cm, was then placed as an underlay. The mesh was secured inferomedially to Cooper’s ligament and the right inguinal ligament (Figure 7). Two Stryker ICONIX® 2 Anchor 2.3 mm devices were deployed into the cortex of the anterior superior iliac spine (ASIS) on each side, to which the mesh was also secured, as no other robust inferolateral anchoring points were identified. The mesh extended to the psoas muscles bilaterally.

Figure 6. Retrorectus Space Closure with Omental Interposition. Published with Permission

Intraoperative photograph after bilateral TAR, showing the omental flap mobilized and sutured as an interposition layer to facilitate closure over the viscera due to inability to primarily approximate the posterior rectus sheath
Intraoperative photograph after bilateral TAR, showing the omental flap mobilized and sutured as an interposition layer to facilitate closure over the viscera due to inability to primarily approximate the posterior rectus sheath

Figure 7. Placement of Polypropylene Mesh. Published with Permission

Intraoperative photograph demonstrating the placement of the BARD® Midweight monofilament polypropylene mesh (26 × 30 cm) in the retrorectus underlay position, secured to surrounding ligamentous and bony structures.
Intraoperative photograph demonstrating the placement of the BARD® Midweight monofilament polypropylene mesh (26 × 30 cm) in the retrorectus underlay position, secured to surrounding ligamentous and bony structures.

The anterior rectus sheath was then closed over the mesh. While most of the anterior sheath could be approximated with a running #1 PDS suture, some tension was encountered, and a segment could not be primarily closed. The redundant hernia sac was de-epithelialized and utilized as an interposition flap between these fascial edges to ensure complete mesh coverage (Figure 8). One Jackson-Pratt (JP) drain was placed in the retrorectus space, overlying the mesh. The patient was then placed in a flexed (jackknife) position for completion of the panniculectomy by the plastic surgery team. Excess skin from approximately 2 cm below the umbilicus to the pubis was excised in an elliptical fashion. Two additional JP drains were placed in the subcutaneous tissue pocket created by the panniculectomy, and Scarpa’s fascia was closed with interrupted PDS sutures. The abdominal skin was closed with a running Stratafix™ suture (Figure 9).

Figure 8. Anterior Rectus Sheath Closure. Published with Permission

Intraoperative photograph showing the closure of the anterior rectus sheath. Note the use of the hernia sac as an interposition flap between fascial edges where primary approximation was not tension-free, ensuring complete coverage of the underlying mesh. A JP drain is visible overlying the mesh
Intraoperative photograph showing the closure of the anterior rectus sheath. Note the use of the hernia sac as an interposition flap between fascial edges where primary approximation was not tension-free, ensuring complete coverage of the underlying mesh. A JP drain is visible overlying the mesh

Figure 9. Conclusion of Combined Hernia Repair and Panniculectomy. Published with Permission

Clinical photograph at the conclusion of the procedure, showing the closed abdominal incision and the placement of three JP drains
Clinical photograph at the conclusion of the procedure, showing the closed abdominal incision and the placement of three JP drains

Following the combined hernia repair and panniculectomy, the patient was transferred to the ICU for close monitoring. She recovered well, was subsequently transferred to the surgical ward, and was discharged home on postoperative day seven. Her JP drain overlying the mesh was removed prior to discharge, while the bilateral panniculectomy drains remained in place. She re-presented to the emergency department two days after discharge with fevers, shortness of breath, and leukocytosis. CT imaging of the chest, abdomen, and pelvis at that time raised concern for bibasilar pneumonia but confirmed an intact ventral hernia repair without any acute intra-abdominal abnormalities. She was readmitted to the ICU for sepsis management and treated for hospital-acquired pneumonia with intravenous antibiotics. She recovered from this episode and was discharged home. Both subcutaneous JP drains from the panniculectomy were removed in the outpatient setting following her discharge. As of her last follow-up, her hernia repair has remained intact without any signs of recurrence or complications, and she has successfully returned to her normal activities.

Discussion

The surgical management of incisional hernias in patients who have undergone solid organ transplantation presents a unique confluence of challenges. The incidence of incisional hernias following kidney transplantation is estimated to range from 1.6% to as high as 18%.1 This increased susceptibility is multifactorial, significantly influenced by immunosuppressive therapy, which can impair normal wound healing processes, and the frequent coexistence of comorbidities such as obesity and diabetes mellitus. Key predisposing factors for incisional hernia development post-kidney transplant include excess body weight, age greater than 50 years, and female gender;2 our patient exhibited all these risk factors. While age and gender are non-modifiable, aggressive preoperative weight management in obese transplant candidates may play a crucial role in reducing the risk of early postoperative fascial dehiscence and subsequent incisional hernia formation. Beyond the typical concerns of bowel incarceration or strangulation, early abdominal wall dehiscence in the post-transplant setting also poses a potential, albeit indirect, risk to graft survival through systemic complications or the need for further surgical interventions in a vulnerable patient. Interestingly, sleeve gastrectomy performed prior to kidney transplantation has been shown to improve graft survival and is considered safe in patients on dialysis.3 It is therefore reasonable to hypothesize that had this patient undergone bariatric surgery before her kidney transplant, the risk of her large, recurrent incisional hernia might have been mitigated. This consideration has influenced a shift in clinical practice at our institution, with increased efforts to evaluate morbidly obese patients on the kidney transplant waiting list in our bariatric surgery clinic for potential pre-transplant weight optimization.

In cases where incisional hernias do develop post-transplantation, the timing of definitive hernia repair relative to the transplant procedure is a critical consideration. Immediate repair is often necessary for acute complications such as incarcerated or strangulated hernias, or for early postoperative fascial dehiscence, as demonstrated in this case. However, for elective repairs of established hernias, the procedure should ideally be deferred until the transplanted organ function is stable and the patient’s overall medical condition has been optimized, including adequate management of comorbidities such as weight and diabetes, to maximize the likelihood of a successful repair and minimize perioperative complications. The reported rate of abdominal wall complications following kidney transplantation is substantial, ranging from approximately 10.5% to 21%.4 These complications are thought to arise from a combination of factors, including pre-existing comorbidities, obesity, and the effects of immunosuppressants on tissue healing. Notably, the incidence of abdominal wall complications requiring operative repair after kidney transplantation is higher in patients with diabetes;5 our patient's end-stage kidney disease was secondary to poorly controlled diabetes. Following multidisciplinary discussion, the decision was made in her case to pursue sleeve gastrectomy with documented significant weight loss prior to attempting definitive hernia repair. It is well established that sleeve gastrectomy can improve glycemic control and ameliorate type 2 diabetes in morbidly obese patients. This patient demonstrated improved glucose control preoperatively, with an HbA1c of 6.4% at the time of her definitive hernia repair.

Among the various surgical approaches for incisional hernia repair, mesh reinforcement is generally considered the gold standard for achieving durable outcomes, particularly in complex or recurrent hernias. However, there is no universal consensus on the optimal type of mesh or its ideal placement (e.g., onlay, inlay, sublay, underlay), and data specifically addressing these factors in the post-transplant population are limited.5 The decision to use mesh, and the choice of mesh type, must be individualized. While mesh placement significantly reduces the risk of hernia recurrence, concerns regarding infection and foreign body reaction are heightened in immunosuppressed transplant recipients. Therefore, careful consideration of mesh type and placement is necessary, and it may be prudent to avoid prosthetic mesh in the very early postoperative period following transplantation due to the higher risk of infection associated with initial high-dose immunosuppression. In this case, the patient was approximately two years post-kidney transplant with stable graft function and was on a maintenance immunosuppression regimen (tacrolimus and low-dose prednisone), which mitigated some of the immediate post-transplant concerns regarding mesh infection. A midweight polypropylene mesh was selected for her definitive repair.

The use of bone anchors to augment mesh fixation has gained popularity, particularly in challenging anatomical locations such as lumbar or flank hernias, or when robust fascial tissue for suturing is limited. In this case, the deployment of cortical bone anchors into the anterior superior iliac spine provided sturdy points for lateral mesh fixation and proved to be a valuable adjunct in this complex ventral hernia repair, where traditional suture fixation to attenuated fascia might have been less secure.6 Despite a bilateral TAR to achieve myofascial advancement, a small defect remained in the posterior rectus sheath at the site of her original hernia, which could not be primarily closed without tension. A well-vascularized omental flap was effectively mobilized and used as an interposition graft in this area to complete the posterior sheath closure and provide visceral protection. Other advanced reconstructive techniques considered for posterior sheath closure, had the omental flap been insufficient, included contralateral rectus muscle advancement flaps or further chemical component separation with botulinum toxin A injections; however, these were not ultimately necessary. For the anterior sheath closure, most of the fascia was approximated without significant tension. However, a small area of exposed mesh remained where complete fascial apposition was not possible. The previously preserved, de-epithelialized hernia sac proved useful here, as it was mobilized and used as an interpositional flap to bridge this small gap in the anterior fascial edges, ensuring complete coverage of the underlying prosthetic mesh. While a muscle flap could have been another consideration for this anterior defect, the hernia sac provided adequate coverage and a satisfactory closure.

Conclusion

This case report underscores the critical importance of a well-coordinated, multidisciplinary approach in managing complex incisional hernias in post-transplant patients, who often present with a confluence of risk factors for poor wound healing and hernia recurrence. In obese patients awaiting kidney transplantation, proactive discussion and consideration of pre- or post-transplant bariatric surgery, such as sleeve gastrectomy, should be initiated to mitigate the incidence and recurrence of ventral hernias, thereby potentially improving overall surgical outcomes. When approaching complex ventral hernias in the post-kidney transplant patient, surgeons should be prepared to employ a wide array of advanced reconstructive techniques, including component separation, appropriate mesh selection and fixation (potentially with bone anchors), and the use of autologous tissue flaps (e.g., omentum, hernia sac) to achieve a durable, tension-free repair and minimize the likelihood of recurrence.

Lessons Learned

The patient’s pre-transplant BMI of 38 kg/m² not only placed her at an elevated risk for the initial incisional hernia that occurred shortly after kidney transplantation but also likely contributed to the subsequent hernia recurrence and the complexity of the definitive repair. Consequently, as part of the preoperative evaluation for kidney transplantation at our institution, an enhanced focus is now placed on assessing patient BMI and overall body habitus, with earlier referral to our bariatric weight center for consideration of pre-transplant sleeve gastrectomy or other weight management strategies in appropriate candidates. It is anticipated that such a proactive pathway may reduce the incidence of incisional hernias following kidney transplantation and contribute to improved long-term surgical and allograft outcomes.

Authors

Benjamin RM; Dore FJ; Belin LJ; Czerniach D; Castle JM; Cherng NB

Author Affiliation

Department of Surgery, University of Massachusetts Memorial Hospital, Worcester, MA 01605

Corresponding Author

Nicole B. Cherng, MD, FASMBS, FACS
Department of Surgery
University of Massachusetts Memorial Hospital
55 Lake Avenue North
Worcester, MA 01605
Email: nicole.cherng@umassmemorial.org

Disclosure Statement

The authors have no conflicts of interest to disclose.

Funding/Support

The authors have no relevant financial relationships or in-kind support to disclose.

Received: December 5, 2024
Revision received: April 28, 2025
Accepted: May 9, 2025

References

  1. Gómez-Dos-Santos V, López-Plaza JA, Molina-Villar JM, et al. Prevention of incisional hernia after kidney transplantation: study protocol for a randomized controlled trial. Trials. 2023;24(1):528. doi:10.1186/s13063-023-07545-0
  2. Mahdavi R, Mehrabi M. Incisional hernia after renal transplantation and its repair with propylene mesh. Urol J. 2004;1(4):259-262. PMID:17914703.
  3. Ku E, McCulloch CE, Roll GR, et al. Bariatric surgery prior to transplantation and risk of early hospital re-admission, graft failure, or death following kidney transplantation. Am J Transplant. 2021;21(11):3750-3757. doi:10.1111/ajt.16779
  4. Lau NS, Ahmadi N, Verran D. Abdominal wall complications following renal transplantation in adult recipients - factors associated with interventional management in one unit. BMC Surg. 2019;19(1):10. doi:10.1186/s12893-019-0468-x
  5. Kanella I, Kengadaran K, Papalois V. Management of incisional hernias in renal transplant patients. Transplant Rep. 2023;8(4):100148. doi:10.1016/j.tpr.2023.100148
  6. Yee JA, Harold KL, Cobb WS, Carbonell AM. Bone anchor mesh fixation for complex laparoscopic ventral hernia repair. Surg Innov. 2008;15(4):292-296. doi:10.1177/1553350608325231