Unsupported Browser
The American College of Surgeons website is not compatible with Internet Explorer 11, IE 11. For the best experience please update your browser.
Menu
Become a member and receive career-enhancing benefits

Our top priority is providing value to members. Your Member Services team is here to ensure you maximize your ACS member benefits, participate in College activities, and engage with your ACS colleagues. It's all here.

Become a Member
Become a member and receive career-enhancing benefits

Our top priority is providing value to members. Your Member Services team is here to ensure you maximize your ACS member benefits, participate in College activities, and engage with your ACS colleagues. It's all here.

Become a Member
ACS
Case Reviews in Surgery

Lung Herniation Following Blunt Thoracic Trauma

Lung incarceration is a potentially debilitating and life-threatening condition.

May 17, 2021

Abstract

Background

Lung incarceration is a potentially debilitating and life-threatening condition. It occurs when lung parenchyma becomes caught outside of the thoracic cavity, often associated with a chest wall defect. There are multiple etiologies for this condition, most of which require surgical intervention. Traumatic chest wall disruption is the most common cause of pulmonary herniation. There is little consensus on standard operative therapy.

Summary

We present the case of a 59-year-old male who sustained a traumatic pulmonary hernia following a motor vehicle collision. He presented in a delayed fashion with increasing chest discomfort and coughing. On CT, he was found to have multiple right-sided rib fractures and an incarcerated lung. He was taken to the operating room for a right thoracotomy. The hernia was surgically reduced, and internal fixation (ORIF) of ribs was performed. He tolerated surgery well and recovered uneventfully.

Conclusion

Management of pulmonary herniation is dependent on patient symptoms and characteristics of the chest wall defect. A variety of strategies may be employed with favorable patient outcomes.

Key Words

lung herniation; trauma; rib fixation


Case Description

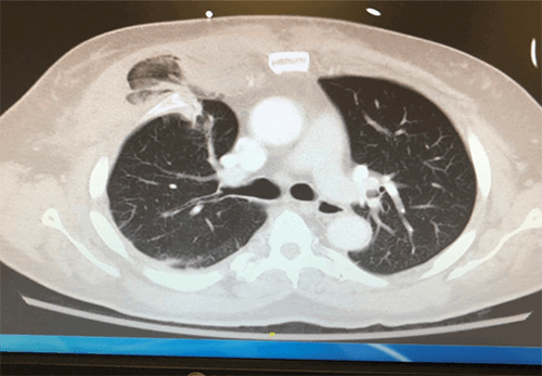
A 59-year-old man was transferred to our level 1 trauma center from a nearby emergency department. He was involved in a motor vehicle collision ten days earlier but was found to have no injuries at that time. Since the collision, he developed worsening chest pain and coughing. His symptoms continued to decline until an episode of hemoptysis brought him to the outside emergency department for evaluation. A CT scan was performed at that time which demonstrated right pulmonary herniation and first through fifth costal cartilage fractures (Figure 1). He was transferred to our Level 1 trauma center for escalation of care. Once at the trauma center, there was fullness in the antero-medial aspect of the right chest wall on examination. The decision was therefore made to take him to the operating room for a right thoracotomy.

Figure 1. Right lung herniation with ribs 1-5 costal cartilage fractures

In the operating room, the patient was intubated with a dual-lumen endotracheal tube. He was placed in the left lateral decubitus position, and a right anterolateral thoracotomy incision was made at the fourth intercostal space. A large hernia sac was encountered containing entrapped right middle lobe of the lung (Figure 2).

Figure 2. Intraoperative picture of the hernia

The sac was incised, and the lung carefully reduced into the chest cavity with gentle manipulation of the ribs. The incarcerated lung was ischemic but viable. After the lung was reduced, it was reinflated and expanded well. The fractures of ribs two, three, and four were easily visualized within our field. These ribs were reapproximated with the Zimmer Biomet fixation system (Figure 3 and Figure 4). The costochondral defect at the second rib was so significant that the plate spanned to the manubrium to secure the fixation plate. This was done with care as not to injure any mediastinal structures behind the sternum.

Figure 3. Intraoperative picture of the repair

Figure 4. Postoperative X ray

A 32-French apical chest tube was placed under direct visualization. The defect between the ribs was closed with an intercostal muscle flap and pericostal sutures. Given the proximity to the mediastinum, fixation of a mesh was not possible. An intercostal nerve block was performed with liposomal bupivacaine and the patient was taken to the trauma intensive care unit postoperatively. He was extubated shortly following surgery with a vital capacity of 1.5 liters.

The patient had an uneventful hospital course and was discharged on postoperative day five. He has been seen twice in our outpatient office, most recently two months post-operatively. His pain remains under control and has incurred no respiratory complications.

Discussion

Pulmonary hernias are uncommon. Only approximately 300 cases were reported in the literature1 since Roland first described herniation of the lung in 1499.2 Chest wall hernias were later classified by Morel-Lavalée in 1847.3 They are described by anatomic or etiologic classification. From an anatomic perspective, herniation may occur in the cervical, intercostal, or diaphragmatic regions. The etiological group is further subdivided into congenital (20 percent) or acquired (80 percent).4 Most of the acquired etiologies are traumatic (52 percent), but they may also occur spontaneously (30 percent) or due to underlying lung pathology (18 percent).5 Chest wall hernias occur most frequently in the anterior chest, near the sternum. This is due to the lack of muscular support from the latissimus, rhomboid, and trapezius muscles.6

Prospective data on the most effective surgical management of lung herniation is lacking. Rigid prostheses provide chest wall stability and potentially decrease respiratory complication; however, they may be associated with more wound complications. Generally, posterior and apical defects do not require chest wall reconstruction, given the natural structure of the sternum, scapula, and clavicle. Defects closer to ribs five and six may require synthetic mesh to bridge the gap. Many large anterior and lateral defects are associated with paradoxical chest wall motion and need rigid reconstruction with plates.7

In 2002, Weissberg et al., published one of the largest single-center case series. They looked at eight patients over 17 years old who had lung herniation. Three cases were postoperative hernias, one was due to chronic cough, and four were congenital in origin. Three cases were managed nonoperatively as they had minimal symptoms. Four cases were managed with pericostal fixation, and one large defect was repaired with a Marlex mesh patch. There were no recurrences.8 Identifying which patients to repair surgically and which to observe is another area in question concerning chest wall defects and lung herniation. Small, asymptomatic hernias may heal spontaneously or remain occult.9 Hernias that are larger, or associated with flail chest, benefit from rib fixation, closure of the chest wall defect or both.10

Another large case series published in 2018 by Kuckelman et al. examined 24 patients over 32 years. They developed an operative grade for traumatic rib cage hernias (TRCH) to standardize operative care. By their grading scheme, the patient described above would have classified as grade 2 TRCH, he had multiple displaced rib fractures and an intercostal muscle defect of greater than two centimeters with partial organ herniation. Based on this, the repair recommendations made by Kuckelman and coauthors are akin to what was performed with the current patient: rib plating with primary repair of the chest wall defect. Although that study involves a small sample size, given the rare nature of TRCH, they describe a novel approach to this complex surgical condition.11

In our case study, the defect was small and easily covered by an intercostal muscle flap. The proximity of the high, antero-medial chest wall disruption was too close to major mediastinal structures to secure a mesh patch safely. The patient did well postoperatively from respiratory, pain, and functional standpoints.

Conclusion

Lung herniation is an uncommon condition. Management strategies are non-standardized and patient-specific. We describe the case of a traumatic pulmonary hernia due to rib fractures following a motor vehicle collision. This patient was treated with hernia reduction, rib fixation with an intercostal flap to bridge the defect, and local nerve blockade. He had minimal postoperative pain and an uneventful hospital course. This case demonstrates the importance of tailoring the treatment of lung herniation to patient symptomatology and the reduction of morbidity.

Lessons Learned

Traumatic pulmonary herniation is rare and has no standard management guidelines. Treatment planning is based on patient symptomatology, size of the defect, location of the defect, and the severity of any associated rib fractures. Operative strategies should aim to reduce pain and improve respiratory status with as little morbidity as possible.

Authors

Teichman ALa; Perea LLb; Chovanes JJc

Author Affiliations

  1. Robert Wood Johnson University Hospital, Department of Surgery-Division of Acute Care Surgery,
    New Brunswick, NJ 08901
  2. Lancaster General Health, Department of Surgery-Division of Trauma and Acute Care Surgery, Lancaster, PA 17602
  3. Cooper University Hospital, Department of Surgery-Division of Trauma and Acute Care Surgery,
    Camden, NJ 08103

Corresponding Author

Amanda L. Teichman, MD
Robert Wood Johnson University Hospital
Department of Surgery, Division of Acute Care Surgery
125 Paterson Street, Ste. 6300
New Brunswick, NJ 08901
Phone: (908) 216-6053
E-mail: ateich13@rwjms.rutgers.edu

Disclosure Statement

The authors have no conflicts of interest to disclose.

References

  1. Fackeldey V, Junge K, Hinck D, et al. Repair of intercostal pulmonary herniation. Hernia. 2003;7(4):215-217. doi:10.1007/s10029-003-0135-z
  2. Roland. De Pulmonis sanaripot. De Chavliae G. 1499;XXV(III):144
  3. Morel-Lavallée A. Hernies Du poumon. Bull Soc Chir Paris 1845–1847;1:75–195.
  4. Tack D, Wattiez A, Schtickzelle JC, Delcour C. Spontaneous lung herniation after a single cough. Eur Radiol. 2000;10(3):500-502. doi:10.1007/s003300050084
  5. Akkas Y, Peri NG, Kocer B, Kaplan T. Repair of lung herniation with titanium prosthetic ribs and Prolene mesh. Asian Cardiovasc Thorac Ann. 2016;24(3):280-282. doi:10.1177/0218492315619509
  6. Sulaiman A, Cottin V, De Souza Neto EP, et al. Cough-induced intercostal lung herniation requiring surgery: Report of a case. Surg Today. 2006;36(11):978-980. doi:10.1007/s00595-006-3284-8
  7. Thomas PA, Brouchet L. Prosthetic reconstruction of the chest wall. Thorac Surg Clin. 2010;20(4):551-558. doi:10.1016/j.thorsurg.2010.06.006
  8. Weissberg D, Refaely Y. Hernia of the lung. Ann Thorac Surg. 2002;74(6):1963-1966. doi:10.1016/s0003-4975(02)04077-8
  9. Arslanian A, Oliaro A, Donati G, Filosso PL. Posttraumatic pulmonary hernia. J Thorac Cardiovasc Surg. 2001;122(3):619-621. doi:10.1067/mtc.2001.114630
  10. Slobogean GP, MacPherson CA, Sun T, Pelletier ME, Hameed SM. Surgical fixation vs nonoperative management of flail chest: a meta-analysis. J Am Coll Surg. 2013;216(2):302-11.e1. doi:10.1016/j.jamcollsurg.2012.10.010
  11. Kuckelman J, Karmy-Jones R, Windell E, et al. Traumatic thoracic rib cage hernias: Operative management and proposal for a new anatomic-based grading system. Am J Surg. 2018;215(5):794-800. doi:10.1016/j.amjsurg.2017.12.013